NHERF-1 Antibody (JJ0946)

Images

 
Western Blot: NHERF-1 Antibody (JJ0946) [NBP2-66981] - Analysis of EBP50 on MCF-7 cells lysates using anti-EBP50 antibody at 1/1,000 dilution.
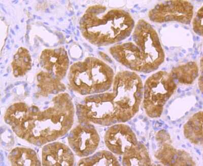
Immunohistochemistry-Paraffin: NHERF-1 Antibody (JJ0946) [NBP2-66981] - Analysis of paraffin-embedded rat kidney tissue using anti-EBP50 antibody. Counter stained with hematoxylin.
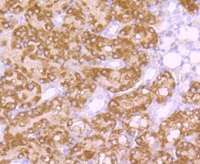
Immunohistochemistry-Paraffin: NHERF-1 Antibody (JJ0946) [NBP2-66981] - Analysis of paraffin-embedded human kidney tissue using anti-EBP50 antibody. Counter stained with hematoxylin.

Product Details

Summary
Product Discontinued
View other related NHERF-1 Primary Antibodies

Order Details


    • Catalog Number
      NBP2-66981
    • Availability
      Product Discontinued

    Can't find what you are looking for? Use our Antibody Concierge Service & we will help you locate your antibody!

    Or feel free to contact us for alternative products.

NHERF-1 Antibody (JJ0946) Summary

Additional Information
Recombinant Monoclonal Antibody.
Immunogen
Recombinant protein within Human NHERF-1 aa 1-150 / 358. (SwissProt: O14745 Human; SwissProt: Q9JJ19 Rat)
Localization
Cytoplasm, Apical cell membrane, Endomembrane system, Cell projection.
Isotype
IgG
Clonality
Monoclonal
Host
Rabbit
Gene
SLC9A3R1
Purity
Protein A purified
Innovator's Reward
Test in a species/application not listed above to receive a full credit towards a future purchase.

Applications/Dilutions

Dilutions
  • Immunohistochemistry
  • Immunohistochemistry-Paraffin 1:50-1:200
  • Western Blot 1:1000-1:2000

Packaging, Storage & Formulations

Storage
Store at 4C short term. Aliquot and store at -20C long term. Avoid freeze-thaw cycles.
Buffer
TBS (pH7.4), 0.05% BSA, 40% Glycerol
Preservative
0.05% Sodium Azide
Concentration
1 mg/ml
Purity
Protein A purified

Alternate Names for NHERF-1 Antibody (JJ0946)

  • EBP50NHERF-1
  • ezrin-radixin-moesin binding phosphoprotein-50
  • Ezrin-radixin-moesin-binding phosphoprotein 50
  • Na(+)/H(+) exchange regulatory cofactor NHE-RF1
  • Na+/H+ exchange regulatory co-factor
  • NHERF1solute carrier family 9 (sodium/hydrogen exchanger), isoform 3 regulator 1
  • NHERFNPHLOP2
  • Regulatory cofactor of Na(+)/H(+) exchanger
  • sodium/hydrogen exchanger regulatory factor 1
  • Sodium-hydrogen exchanger regulatory factor 1
  • solute carrier family 9 (sodium/hydrogen exchanger), isoform 3 regulatoryfactor 1
  • solute carrier family 9 (sodium/hydrogen exchanger), member 3 regulator 1
  • Solute carrier family 9 isoform A3 regulatory factor 1

Background

EBP 50 [ERM (ezrin-radixin-moesin) binding phosphoprotein of 50 kDa] is a PDZ containing protein that is involved in the linkage of integral membrane proteins to the cytoskeleton. EBP50 contains two tandem PDZ domains followed by a carboxy-terminal sequence that binds to members of the ERM family of membrane-cytoskeleton adaptors. The PDZ domains within EBP50 bind to the carboxy termini of such target proteins as beta2 adrenergic receptor, platelet-derived growth factor receptor (PDGFR), and the cystic fibrosis conductance regulator (CFTR). The PDZ domains are also believed to be involved in the oligomerization of EBP 50 to form multiprotein complexes which helps to facilitate the formation of functional signalling complexes. EBP 50 has been shown to link integral membrane proteins to the cytoskeleton by binding to members of the ERM family of proteins, which bind to F-actin. Through these interactions, EBP 50 is implicated in the localization of interactive groups of proteins into subcellular domains and in the regulation of activity of those interacting proteins. Immunohistochemical studies have shown that EBP 50 is found exclusively at the apical membranes of epithelial cells.

Limitations

This product is for research use only and is not approved for use in humans or in clinical diagnosis. Primary Antibodies are guaranteed for 1 year from date of receipt.

Customers Who Viewed This Item Also Viewed...

NBP2-62651
Species: Hu
Applications: IHC,  IHC-P, WB
NBP2-16396
Species: Hu, Mu, Rt, Ze
Applications: ICC/IF, IHC-WhMt, IHC,  IHC-P, WB
NBP1-82574
Species: Hu, Mu, Po
Applications: ICC/IF, IHC, IHC-Fr,  IHC-P, PAGE, WB
MAB7665
Species: Hu
Applications: IHC, WB
NB400-149
Species: Bv, Hu, Mu, Rt(-)
Applications: ICC/IF, IHC,  IHC-P, Simple Western, WB
NBP1-85047
Species: Hu, Mu, Po, Rt
Applications: ICC/IF, IHC,  IHC-P, WB
H00005962-M06
Species: Ch, Hu, Mu, Rt
Applications: ELISA, ICC/IF, IHC, WB
NBP2-32875
Species: Hu, Rt
Applications: Flow, ICC/IF, IHC,  IHC-P, Simple Western, WB
NBP1-86713
Species: Hu
Applications: IHC,  IHC-P
NB300-556
Species: Hu, In, Mu, Pm, Rt
Applications: B/N, ChIP, Flow, ICC/IF, IHC, IHC-Fr,  IHC-P, IP, WB
NBP1-40067
Species: Bv, Ca, Eq, Hu, Pm, Mu, Po, Pm
Applications: ICC/IF, IHC,  IHC-P, WB
NBP2-42216
Species: Hu, Mu
Applications: Flow, ICC/IF, IHC,  IHC-P, IP, WB
NB500-487
Species: Bv, Hu, Mu, Rt
Applications: IHC,  IHC-P, IP, WB
NBP2-82026
Species: Hu, Mu, Rt
Applications: ELISA, ICC/IF, IHC,  IHC-P, WB
AF887
Species: Hu, Mu, Rt
Applications: CyTOF-ready, IHC, ICFlow, Simple Western, WB

Publications for NHERF-1 Antibody (NBP2-66981) (0)

There are no publications for NHERF-1 Antibody (NBP2-66981).
By submitting your publication information earn gift cards and discounts for future purchases.

Reviews for NHERF-1 Antibody (NBP2-66981) (0)

There are no reviews for NHERF-1 Antibody (NBP2-66981). By submitting a review you will receive an Amazon e-Gift Card or Novus Product Discount.
  • Review with no image -- $10/€7/£6/$10 CAD/¥70 Yuan/¥1110 Yen
  • Review with an image -- $25/€18/£15/$25 CAD/¥150 Yuan/¥2500 Yen

Product General Protocols

Find general support by application which include: protocols, troubleshooting, illustrated assays, videos and webinars.

Video Protocols

WB Video Protocol

FAQs for NHERF-1 Antibody (NBP2-66981) (0)

There are no specific FAQs related to this product. Read our general customer & technical service FAQs.

Secondary Antibodies

 

Isotype Controls

Additional NHERF-1 Products

Research Areas for NHERF-1 Antibody (NBP2-66981)

Find related products by research area.

Blogs on NHERF-1

There are no specific blogs for NHERF-1, but you can read our latest blog posts.

Contact Information

Product PDFs

Calculators

Concentration Calculator

The concentration calculator allows you to quickly calculate the volume, mass or concentration of your vial. Simply enter your mass, volume, or concentration values for your reagent and the calculator will determine the rest.

=
÷

Review this Product

Be the first to review our NHERF-1 Antibody (JJ0946) and receive a gift card or discount.

Bioinformatics

Gene Symbol SLC9A3R1