NEK9 Antibody

Images

 
Immunohistochemistry-Paraffin: NEK9 Antibody [NLS7967] - Anti-NEK9 antibody IHC of human Lymph Node, Non-Hodgkins Lymphoma. Immunohistochemistry of formalin-fixed, paraffin-embedded tissue after heat-induced antigen ...read more
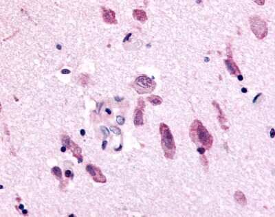
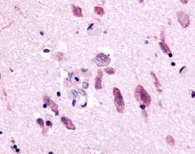
Immunohistochemistry-Paraffin: NEK9 Antibody [NLS7967] - Analysis of anti-NEK9 antibody with human brain at 3.6 ug/ml.

Product Details

Summary
Product Discontinued
View other related NEK9 Primary Antibodies

Order Details


    • Catalog Number
      NLS7967
    • Availability
      Product Discontinued

    Can't find what you are looking for? Use our Antibody Concierge Service & we will help you locate your antibody!

    Or feel free to contact us for alternative products.

NEK9 Antibody Summary

Immunogen
Synthetic 19 amino acid peptide from Pro/Ser/Thr rich domain of human NEK9.
Localization
Cytoplasmic
Specificity
Human NEK9. BLAST analysis of the peptide immunogen showed no homology with other human proteins.
Predicted Species
Primate (100%). Backed by our 100% Guarantee.
Isotype
IgG
Clonality
Polyclonal
Host
Rabbit
Gene
NEK9
Purity
Immunogen affinity purified
Innovator's Reward
Test in a species/application not listed above to receive a full credit towards a future purchase.

Applications/Dilutions

Dilutions
  • Immunohistochemistry
  • Immunohistochemistry-Paraffin 3.6 ug/ml
Control
NEK9 Overexpression Lysate

Reactivity Notes

Predicted cross-reactivity based on sequence identity: Gorilla (100%), Gibbon (100%), Monkey (89%), Marmoset (89%).

Packaging, Storage & Formulations

Storage
Store at 4C short term. Aliquot and store at -20C long term. Avoid freeze-thaw cycles.
Buffer
PBS
Preservative
0.1% Sodium Azide
Concentration
1.0 mg/ml
Purity
Immunogen affinity purified

Alternate Names for NEK9 Antibody

  • DKFZp434D0935
  • KIAA1995
  • MGC138306
  • MGC16714
  • Nek8
  • Nek8NERCC1
  • NEK9
  • NERCC
  • Nercc1 kinase
  • NERCCEC 2.7.11.1
  • Never in mitosis A-related kinase 9
  • NIMA (never in mitosis gene a)- related kinase 9
  • NimA-related kinase 8
  • NIMA-related kinase Nek8
  • NimA-related protein kinase 9
  • serine/threonine-protein kinase Nek9

Background

NEK9, a NEK type protein kinase, regulates chromosome alignment and segregation in mitosis. The protein has a N-terminal NIMA-like catalytic domain, a central domain with homology to the guanine nucleotide exchange factor for the GTPase Ran (RCC1), and a C-terminal coiled-coil domain. It is phosphorylated by active p34(Cdc2) and is capable of autophosphorylation and oligomerization. The activated protein binds Nek6 and RCC1, and has been shown to associate with the human homolog of the Drosophila protein Bicaudal D (Bicd2) in vivo and to phosphorylate this coiled-coil protein in vitro. NEK9 expression has been documented in normal human brain. ESTs have been isolated from several tissue libraries, including normal bone, lymph and thymus and cancerous cervix, eye, lymph and placenta.

Limitations

This product is for research use only and is not approved for use in humans or in clinical diagnosis. Primary Antibodies are guaranteed for 1 year from date of receipt.

Customers Who Viewed This Item Also Viewed...

NBP1-47865
Species: Hu, Mu, Rt
Applications: Flow, ICC/IF, IHC,  IHC-P, WB
NBP3-25575
Species: Hu, Mu
Applications: ICC/IF, IHC,  IHC-P, WB
H00004751-M11
Species: Hu, Mu, Rt
Applications: ELISA, ICC/IF, WB
NBP1-85729
Species: Hu, Mu, Rt
Applications: ICC/IF, IHC,  IHC-P, WB
NB500-181
Species: Dr, Hu, Ma, Mu, Pl, Po, Rt
Applications: IB, ICC/IF, IP, WB
NBP1-85638
Species: Hu
Applications: ICC/IF, IHC,  IHC-P, WB
NBP1-82884
Species: Hu, Mu
Applications: IHC,  IHC-P
NBP3-46466
Species: Hu, Mu, Rt
Applications: ELISA, ICC/IF, IHC, WB
AF6000
Species: Hu, Mu
Applications: IHC, Simple Western, WB
NBP1-80944
Species: Hu
Applications: ICC/IF, IHC,  IHC-P
NBP1-48291
Species: Hu, Mu, Rt
Applications: Flow, IHC,  IHC-P, IP, WB
NBP2-67796
Species: Hu, Mu, Rt
Applications: ICC/IF, IHC,  IHC-P, IP, WB
NBP2-13650
Species: Hu
Applications: ICC/IF, IHC,  IHC-P, WB
NBP3-47315
Species: Hu, Mu
Applications: ELISA, ICC/IF, IHC, IP, WB
AF6270
Species: Hu
Applications: ICC
NBP2-93637
Species: Hu, Mu, Rt
Applications: ELISA, ICC/IF, WB
NBP2-33466
Species: Hu
Applications: ICC/IF, IHC,  IHC-P, WB
H00121441-M05
Species: Bv, Hu, Mu, Po, Rt, Sh
Applications: ELISA, IB, ICC/IF, IHC,  IHC-P, WB
NBP1-87789
Species: Hu
Applications: ICC/IF, IHC,  IHC-P
NLS7967
Species: Hu, Pm
Applications: IHC

Publications for NEK9 Antibody (NLS7967) (0)

There are no publications for NEK9 Antibody (NLS7967).
By submitting your publication information earn gift cards and discounts for future purchases.

Reviews for NEK9 Antibody (NLS7967) (0)

There are no reviews for NEK9 Antibody (NLS7967). By submitting a review you will receive an Amazon e-Gift Card or Novus Product Discount.
  • Review with no image -- $10/€7/£6/$10 CAD/¥70 Yuan/¥1110 Yen
  • Review with an image -- $25/€18/£15/$25 CAD/¥150 Yuan/¥2500 Yen

Product General Protocols

Find general support by application which include: protocols, troubleshooting, illustrated assays, videos and webinars.

FAQs for NEK9 Antibody (NLS7967) (0)

There are no specific FAQs related to this product. Read our general customer & technical service FAQs.

Control Lysate(s)

Secondary Antibodies

 

Isotype Controls

Additional NEK9 Products

Research Areas for NEK9 Antibody (NLS7967)

Find related products by research area.

Blogs on NEK9

There are no specific blogs for NEK9, but you can read our latest blog posts.

Contact Information

Product PDFs

Calculators

Concentration Calculator

The concentration calculator allows you to quickly calculate the volume, mass or concentration of your vial. Simply enter your mass, volume, or concentration values for your reagent and the calculator will determine the rest.

=
÷

Review this Product

Be the first to review our NEK9 Antibody and receive a gift card or discount.

Bioinformatics

Gene Symbol NEK9
Entrez