NECAB1 Antibody (CL0575) - Azide and BSA Free

Images

 
Orthogonal Strategies: Analysis in human cerebral cortex and pancreas tissues using NBP3-43975 antibody. Corresponding NECAB1 RNA-seq data are presented for the same tissues.
Lane 1: Marker [kDa]Lane 2: Human cerebral cortex lysate
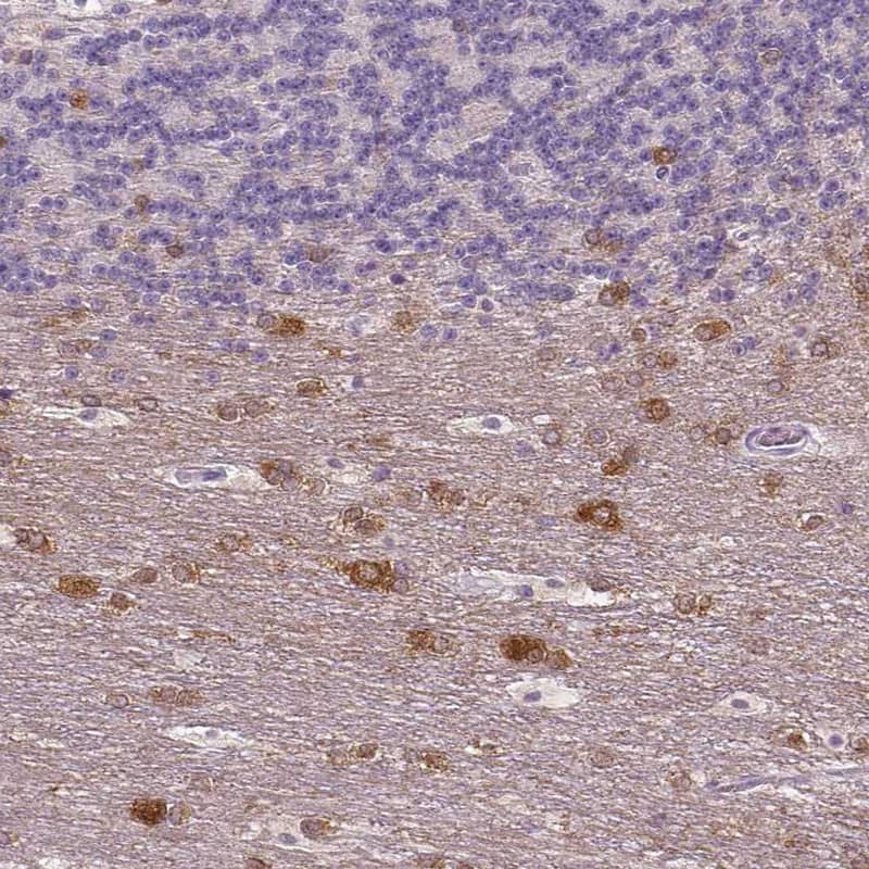
Staining of human cerebellum shows moderate cytoplasmic positivity in neurons.
Staining of human cerebral cortex shows strong cytoplasmic positivity in neurons.
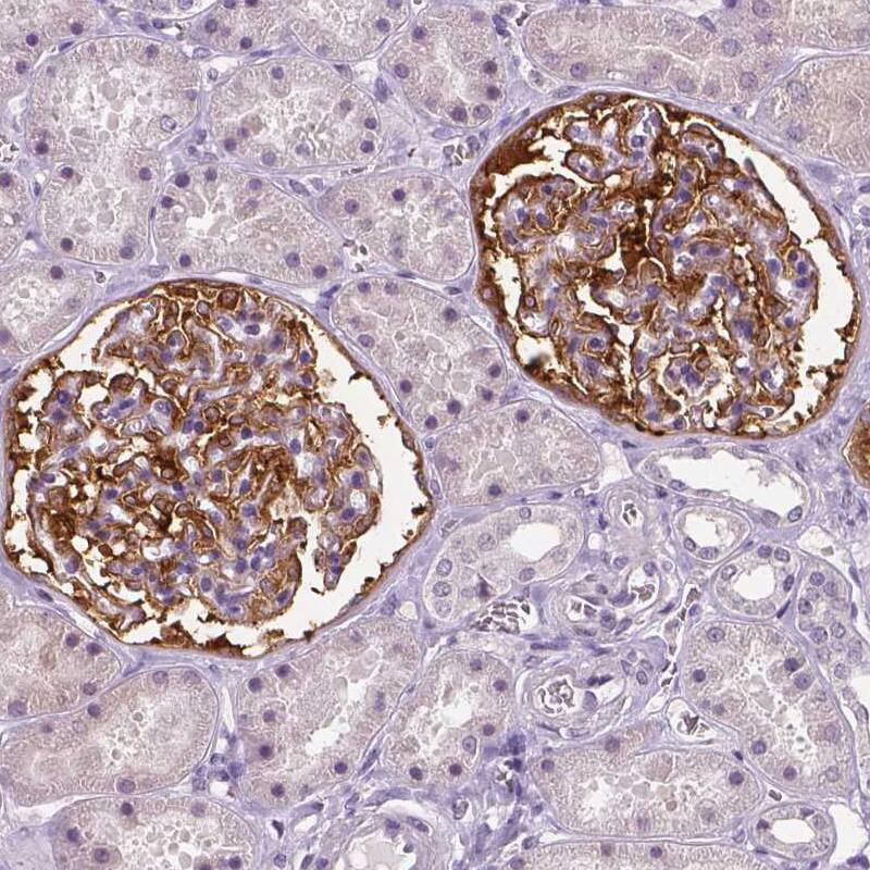
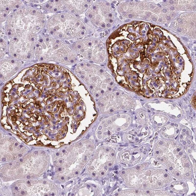
Staining of human kidney shows strong cytoplasmic positivity in cells in glomeruli.
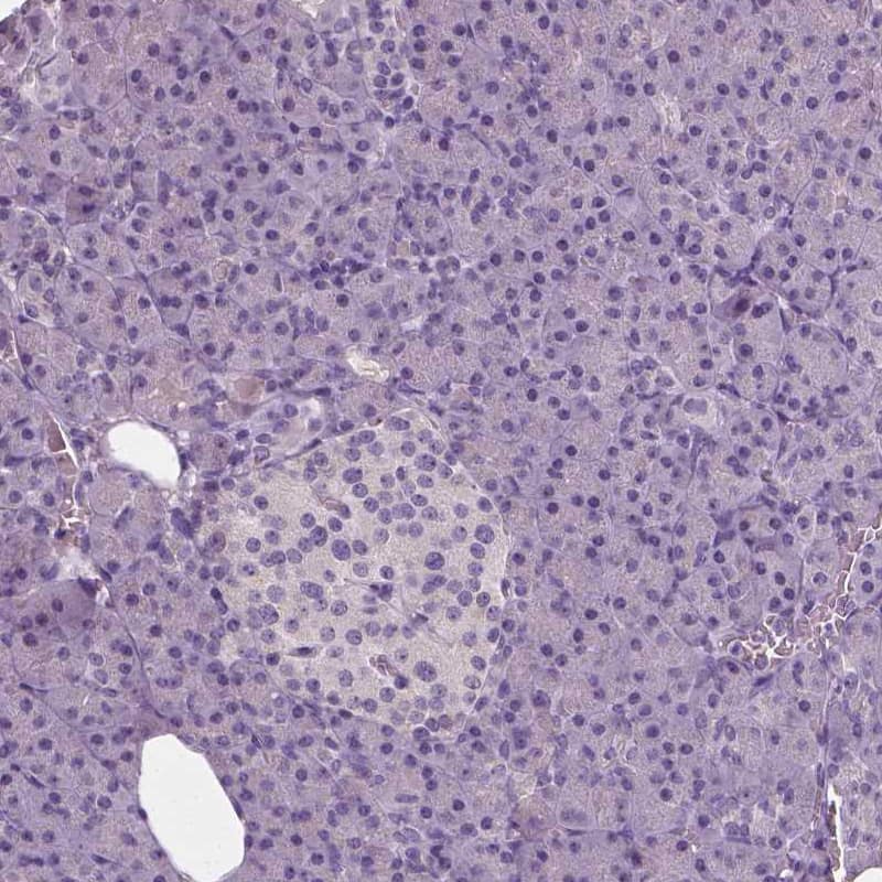
Staining of human pancreas shows no positivity in exocrine glandular cells as expected.

Product Details

Summary
Reactivity HuSpecies Glossary
Applications WB, IHC
Clone
CL0575
Clonality
Monoclonal
Host
Mouse
Conjugate
Unconjugated
Format
Azide and BSA Free
Concentration
LYOPH
Validated by:
       

Orthogonal Strategies

 

Order Details

NECAB1 Antibody (CL0575) - Azide and BSA Free Summary

Description
Novus Biologicals Mouse NECAB1 Antibody (CL0575) - Azide and BSA Free (NBP2-52945) is a monoclonal antibody validated for use in IHC and WB. All Novus Biologicals antibodies are covered by our 100% guarantee.
Immunogen
This antibody was generated using a recombinant protein sequence of Q8N987, with the exact immunogen sequence remaining proprietary.
Isotype
IgG2a
Clonality
Monoclonal
Host
Mouse
Gene
NECAB1
Purity
Protein A purified
Innovator's Reward
Test in a species/application not listed above to receive a full credit towards a future purchase.

Applications/Dilutions

Dilutions
  • Immunohistochemistry-Paraffin 1:500 - 1:1000
  • Western Blot 1 ug/ml
Application Notes
For IHC-Paraffin, HIER pH 6 retrieval is recommended.

Packaging, Storage & Formulations

Storage
Store at 4C short term. Aliquot and store at -20C long term. Avoid freeze-thaw cycles.
Buffer
Lyophilized from a 0.2 um filtered solution in PBS with Trehalose
Preservative
No Preservative
Concentration
LYOPH
Purity
Protein A purified
Reconstitution Instructions
Centrifuge the vial of lyophilized antibody at 12,000 x g for 20 seconds. Reconstitute by adding sterile, distilled water to achieve a final antibody concentration of 1mg/ml.

Alternate Names for NECAB1 Antibody (CL0575) - Azide and BSA Free

  • EF hand calcium binding protein 1
  • EFCBP1
  • EF-hand calcium binding protein 1
  • EF-hand calcium-binding protein 1
  • neuronal calcium binding protein
  • Neuronal calcium-binding protein 1
  • N-terminal EF-hand calcium binding protein 1
  • N-terminal EF-hand calcium-binding protein 1
  • STIP-1
  • synaptotagmin interacting protein 1

Background

The NECAB1 gene codes for a N-terminal EF-hand calcium-binding protein 1 that in isoform 1 is 351 amino acids long and 40 kDA and in isoform 2 is 100 amino acids long at 11 kDA. NECAB1 has been linked to diseases such as seizures, schizophrenia, alzheimer's disease, motor neuron disease, neuronitis, and neurodegenerative disease.

Limitations

This product is for research use only and is not approved for use in humans or in clinical diagnosis. Primary Antibodies are guaranteed for 1 year from date of receipt.

Customers Who Viewed This Item Also Viewed...

NBP2-50028
Species: Bv, Hu, Mu, Rt
Applications: ICC/IF, IHC-FrFl, IHC,  IHC-P, WB
H00030818-M01
Species: Hu
Applications: ELISA, ICC/IF, IP, S-ELISA, WB
NBP1-84002
Species: Hu, Mu
Applications: ICC/IF, IHC,  IHC-P, WB
NBP2-68925
Species: Hu
Applications: IHC,  IHC-P, WB
H00010963-M01
Species: Hu, Mu
Applications: ELISA, ICC/IF, IHC,  IHC-P, IP, S-ELISA, WB
AF2185
Species: Hu, Mu, Rt
Applications: IP, WB
NBP1-88220
Species: Hu, Mu, Rt
Applications: ICC/IF, IHC,  IHC-P, KD, WB
NBP1-88191
Species: Hu, Mu
Applications: IHC,  IHC-P, WB
NB120-11427
Species: Fe, Hu, Mu, Rt
Applications: ELISA, ICC/IF, IHC-FrFl, IHC, IHC-Fr,  IHC-P, IP, WB
NBP2-14871
Species: Mu, Rt
Applications: ICC/IF, WB
NB120-2860
Species: Ba, Bv, Ch, Hu, Mu, Rt
Applications: ELISA, Flow, ICC/IF, IHC,  IHC-P, WB
NBP2-15669
Species: Mu, Rt, Ze
Applications: IHC-WhMt, IHC, WB
NBP1-06274
Species: Ce, Ch, Dr, Hu, Mu, Rt, Sh, Ze
Applications: Flow, ICC/IF, IHC-FrFl, IHC,  IHC-P, Simple Western, WB
NB100-74510
Species: Hu, Mu, Pm, Rt
Applications: ELISA, ICC/IF, IHC,  IHC-P, IP, WB
H00003208-B01P
Species: Hu
Applications: ICC/IF, WB
NLS418
Species: Hu
Applications: IHC,  IHC-P
NBP1-40364
Species: Hu
Applications: IHC,  IHC-P, IP, WB
NBP1-39474
Species: Ca, Gp, Hu, Mu, Po, Rb, Rt, Sh
Applications: CyTOF-ready, Flow-IC, Flow, ICC/IF, IHC, IHC-Fr,  IHC-P, WB
NBP1-88219
Species: Hu, Mu
Applications: IHC,  IHC-P, WB
NBP3-43975
Species: Hu
Applications: WB, IHC

Publications for NECAB1 Antibody (NBP3-43975) (0)

There are no publications for NECAB1 Antibody (NBP3-43975).
By submitting your publication information earn gift cards and discounts for future purchases.

Reviews for NECAB1 Antibody (NBP3-43975) (0)

There are no reviews for NECAB1 Antibody (NBP3-43975). By submitting a review you will receive an Amazon e-Gift Card or Novus Product Discount.
  • Review with no image -- $10/€7/£6/$10 CAD/¥70 Yuan/¥1110 Yen
  • Review with an image -- $25/€18/£15/$25 CAD/¥150 Yuan/¥2500 Yen

Product General Protocols

Find general support by application which include: protocols, troubleshooting, illustrated assays, videos and webinars.

Video Protocols

WB Video Protocol

FAQs for NECAB1 Antibody (NBP3-43975) (0)

There are no specific FAQs related to this product. Read our general customer & technical service FAQs.

Customers Who Bought This Also Bought

Contact Information

Product PDFs

Calculators

Concentration Calculator

The concentration calculator allows you to quickly calculate the volume, mass or concentration of your vial. Simply enter your mass, volume, or concentration values for your reagent and the calculator will determine the rest.

=
÷

Review this Product

Be the first to review our NECAB1 Antibody (CL0575) - Azide and BSA Free and receive a gift card or discount.

Bioinformatics

Gene Symbol NECAB1