NDUFB8 Antibody (JG61-36)

Images

 
Western Blot: NDUFB8 Antibody (JG61-36) [NBP2-75586] - Analysis of NDUFB8 on different lysates using anti-NDUFB8 antibody at 1/1,000 dilution. Positive control: Lane 1: 293 Lane 2: A549 Lane 3: Mouse heart Lane 4: Rat ...read more
Immunohistochemistry-Paraffin: NDUFB8 Antibody (JG61-36) [NBP2-75586] - Analysis of paraffin-embedded rat heart tissue using anti-NDUFB8 antibody. Counter stained with hematoxylin.
Flow Cytometry: NDUFB8 Antibody (JG61-36) [NBP2-75586] - Analysis of 293Tcells with NDUFB8 antibody at 1/100 dilution (yellow) compared with an unlabelled control (cells without incubation with primary antibody; ...read more
Immunohistochemistry-Paraffin: NDUFB8 Antibody (JG61-36) [NBP2-75586] - Analysis of paraffin-embedded human liver cancer tissue using anti-NDUFB8 antibody. Counter stained with hematoxylin.
Immunohistochemistry-Paraffin: NDUFB8 Antibody (JG61-36) [NBP2-75586] - Analysis of paraffin-embedded human kidney tissue using anti-NDUFB8 antibody. Counter stained with hematoxylin.
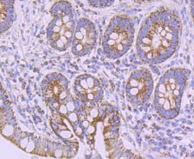
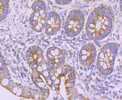
Immunohistochemistry-Paraffin: NDUFB8 Antibody (JG61-36) [NBP2-75586] - Analysis of paraffin-embedded human small intestine tissue using anti-NDUFB8 antibody. Counter stained with hematoxylin.

Product Details

Summary
Product Discontinued
View other related NDUFB8 Primary Antibodies

Order Details


    • Catalog Number
      NBP2-75586
    • Availability
      Product Discontinued

    Can't find what you are looking for? Use our Antibody Concierge Service & we will help you locate your antibody!

    Or feel free to contact us for alternative products.

NDUFB8 Antibody (JG61-36) Summary

Additional Information
Recombinant Monoclonal Antibody.
Immunogen
Recombinant protein within Human NDUFB8 aa 1-186 / 186. (SwissProt: O95169 Human; SwissProt: Q9D6J5 Mouse)
Localization
Mitochondrion.
Isotype
IgG
Clonality
Monoclonal
Host
Rabbit
Gene
NDUFB8
Purity
Protein A purified
Innovator's Reward
Test in a species/application not listed above to receive a full credit towards a future purchase.

Applications/Dilutions

Dilutions
  • Flow Cytometry 1:50-1:100
  • Immunocytochemistry/ Immunofluorescence 1:50
  • Immunohistochemistry
  • Immunohistochemistry-Paraffin 1:50-1:200
  • Immunoprecipitation 1:10-1:50
  • Western Blot 1:500-1:2000
Theoretical MW
22 kDa.
Disclaimer note: The observed molecular weight of the protein may vary from the listed predicted molecular weight due to post translational modifications, post translation cleavages, relative charges, and other experimental factors.
Publications
Read Publications using
NBP2-75586 in the following applications:

  • IP
    1 publication
  • WB
    3 publications

Packaging, Storage & Formulations

Storage
Store at 4C short term. Aliquot and store at -20C long term. Avoid freeze-thaw cycles.
Buffer
TBS (pH7.4), 0.05% BSA, 40% Glycerol
Preservative
0.05% Sodium Azide
Concentration
1 mg/ml
Purity
Protein A purified

Alternate Names for NDUFB8 Antibody (JG61-36)

  • CI-ASHImitochondrial
  • NADH dehydrogenase (ubiquinone) 1 beta subcomplex, 8 (19kD, ASHI)
  • NADH dehydrogenase (ubiquinone) 1 beta subcomplex, 8, 19kDa
  • NADH:ubiquinone oxidoreductase ASHI subunit
  • NADH-ubiquinone oxidoreductase ASHI subunit

Background

Accessory subunit of the mitochondrial membrane respiratory chain NADH dehydrogenase (Complex I), that is believed not to be involved in catalysis. Complex I functions in the transfer of electrons from NADH to the respiratory chain. The immediate electron acceptor for the enzyme is believed to be ubiquinone

Limitations

This product is for research use only and is not approved for use in humans or in clinical diagnosis. Primary Antibodies are guaranteed for 1 year from date of receipt.

Customers Who Viewed This Item Also Viewed...

NBP2-61871
Species: Hu
Applications: ELISA, Flow, ICC/IF, IHC,  IHC-P, WB
NB100-64775
Species: Hu
Applications: CyTOF-ready, ELISA, Flow, Func, IHC, IHC-Fr, IHC-P (-), IP
NBP1-86644
Species: Hu
Applications: ICC/IF, IHC,  IHC-P, WB
AF6386
Species: Hu
Applications: IP, WB
NBL1-14964
Species: Hu
Applications: WB
NBP1-86641
Species: Hu
Applications: ICC/IF, IHC,  IHC-P, KD, WB
NBP2-76393
Species: Hu, Mu
Applications: CHIP-SEQ, Flow, ICC/IF, IHC,  IHC-P, IP, WB
NBP2-01650
Species: Hu, Pm, Mu
Applications: Flow, IHC,  IHC-P, WB
NBP1-87069
Species: Hu, Mu
Applications: ICC/IF, IHC,  IHC-P, KD, Simple Western, WB
NBP2-72909
Species: Hu, Mu, Rt
Applications: CyTOF-ready, Flow, ICC/IF, WB
H00003126-P01
Species: Hu
Applications: ELISA, AP, PA, WB
NBP2-50419
Species: Hu
Applications: CyTOF-ready, Flow, IP
NBP1-87826
Species: Hu, Rt
Applications: ICC/IF, IHC,  IHC-P, Simple Western, WB
M6000B
Species: Mu
Applications: ELISA
NBP1-89945
Species: Hu, Mu, Rt
Applications: ICC/IF, IHC,  IHC-P, KD, WB
NBP2-02623
Species: Ca, Hu, Mu, Rt
Applications: Flow, ICC/IF, IHC,  IHC-P, WB
NBP2-93743
Species: Hu, Mu, Rt
Applications: ICC/IF, WB
NB100-565
Species: Hu, Mu, Rt
Applications: ICC/IF, IHC,  IHC-P, IP, KO, WB
NBP3-47373
Species: Hu, Mu, Rt
Applications: ELISA, IHC, WB

Publications for NDUFB8 Antibody (NBP2-75586)(3)

Reviews for NDUFB8 Antibody (NBP2-75586) (0)

There are no reviews for NDUFB8 Antibody (NBP2-75586). By submitting a review you will receive an Amazon e-Gift Card or Novus Product Discount.
  • Review with no image -- $10/€7/£6/$10 CAD/¥70 Yuan/¥1110 Yen
  • Review with an image -- $25/€18/£15/$25 CAD/¥150 Yuan/¥2500 Yen

Product General Protocols

Video Protocols

WB Video Protocol
ICC/IF Video Protocol

FAQs for NDUFB8 Antibody (NBP2-75586) (0)

There are no specific FAQs related to this product. Read our general customer & technical service FAQs.

Secondary Antibodies

 

Isotype Controls

Additional NDUFB8 Products

Research Areas for NDUFB8 Antibody (NBP2-75586)

Find related products by research area.

Blogs on NDUFB8

There are no specific blogs for NDUFB8, but you can read our latest blog posts.

Contact Information

Product PDFs

Calculators

Concentration Calculator

The concentration calculator allows you to quickly calculate the volume, mass or concentration of your vial. Simply enter your mass, volume, or concentration values for your reagent and the calculator will determine the rest.

=
÷

Review this Product

Be the first to review our NDUFB8 Antibody (JG61-36) and receive a gift card or discount.

Bioinformatics

Gene Symbol NDUFB8