NDUFA6 Antibody - BSA Free

Images

 
Western Blot: NDUFA6 Antibody - BSA Free [NBP3-47373] - Human heart tissue were subjected to SDS PAGE followed by western blot with (NDUFA6 antibody) at dilution of 1:1000
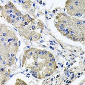
Immunohistochemistry: NDUFA6 Antibody - BSA Free [NBP3-47373] - Immunohistochemistry of paraffin-embedded human stomach using (NDUFA6 antibody) at dilution of 1:100

Product Details

Summary
Reactivity Hu, Mu, RtSpecies Glossary
Applications WB, ELISA, IHC
Clonality
Polyclonal
Host
Rabbit
Conjugate
Unconjugated
Format
BSA Free

Order Details

NDUFA6 Antibody - BSA Free Summary

Description
Novus Biologicals Rabbit NDUFA6 Antibody - BSA Free (NBP3-47373) is a polyclonal antibody validated for use in IHC, WB and ELISA. All Novus Biologicals antibodies are covered by our 100% guarantee.
Immunogen
NADH dehydrogenase (ubiquinone) 1 alpha subcomplex, 6, 14kDa. (Uniprot# P56556)
Isotype
IgG
Clonality
Polyclonal
Host
Rabbit
Gene
NDUFA6
Purity
Immunogen affinity purified
Innovator's Reward
Test in a species/application not listed above to receive a full credit towards a future purchase.

Applications/Dilutions

Dilutions
  • ELISA
  • Immunohistochemistry 1:50 - 1:100
  • Western Blot 1:500 - 1:2000
Theoretical MW
14 kDa.
Disclaimer note: The observed molecular weight of the protein may vary from the listed predicted molecular weight due to post translational modifications, post translation cleavages, relative charges, and other experimental factors.

Packaging, Storage & Formulations

Storage
Store at -20C. Avoid freeze-thaw cycles.
Buffer
PBS, 50% Glycerol, pH (7.3)
Preservative
0.02% Sodium Azide
Purity
Immunogen affinity purified

Alternate Names for NDUFA6 Antibody - BSA Free

  • CI-B14NADH dehydrogenase (ubiquinone) 1 alpha subcomplex, 6 (14kD, B14)
  • LYR motif-containing protein 6
  • LYRM66
  • NADH dehydrogenase (ubiquinone) 1 alpha subcomplex, 6, 14kDa
  • NADH-ubiquinone oxidoreductase B14 subunit

Background

Accessory subunit of the mitochondrial membrane respiratory chain NADH dehydrogenase (Complex I), that is believed to be not involved in catalysis. Complex I functions in the transfer of electrons from NADH to the respiratory chain. The immediate electron acceptor for the enzyme is believed to be ubiquinone

Limitations

This product is for research use only and is not approved for use in humans or in clinical diagnosis. Primary Antibodies are guaranteed for 1 year from date of receipt.

Customers Who Viewed This Item Also Viewed...

NBP2-61871
Species: Hu
Applications: ELISA, Flow, ICC/IF, IHC,  IHC-P, WB
NBP2-93743
Species: Hu, Mu, Rt
Applications: ICC/IF, WB
NBP3-03538
Species: Hu, Mu, Rt
Applications: ICC/IF, IHC,  IHC-P, KO, WB
NBP2-82039
Species: Hu, Mu, Rt
Applications: ELISA, ICC/IF, IHC,  IHC-P, WB
NBP1-88929
Species: Hu
Applications: IHC,  IHC-P, WB
NBP2-45570
Species: Hu, Mu, Rt
Applications: Flow, IHC,  IHC-P, WB
AF6457
Species: Hu
Applications: WB
NBP1-89342
Species: Hu, Mu
Applications: ICC/IF, IHC,  IHC-P, IP, WB
NBP2-45946
Species: Ca, Hu, Pm, Mu, Rt
Applications: ICC/IF, IHC,  IHC-P, WB
NBP2-13893
Species: Hu
Applications: IHC,  IHC-P, WB
NBP2-67150
Species: Hu, Mu, Rt
Applications: IHC, IHC-Fr,  IHC-P, IP, WB
NBP3-17255
Species: Hu
Applications: ICC/IF, WB
NBP1-59069
Species: Hu
Applications: ICC/IF, IHC,  IHC-P, WB
NBP1-88937
Species: Hu
Applications: IHC,  IHC-P, WB
NB120-6405
Species: Rt
Applications: B/N, CyTOF-ready, EM, ELISA, Flow-IC, Flow, ICC/IF, IHC, IHC-Fr,  IHC-P, IP
NB100-64775
Species: Hu
Applications: CyTOF-ready, ELISA, Flow, Func, IHC, IHC-Fr, IHC-P (-), IP
NBP2-47480
Species: Hu
Applications: ChIP-EXO-SEQ, ICC/IF, IHC,  IHC-P, WB
NBP3-03243
Species: Hu, Mu, Rt
Applications: ICC/IF, IHC,  IHC-P, WB
NBP2-94617
Species: Hu, Mu, Rt
Applications: ELISA, ICC/IF, IHC,  IHC-P, WB
NBP1-92172
Species: Hu
Applications: ICC/IF, IHC,  IHC-P, WB

Publications for NDUFA6 Antibody (NBP3-47373) (0)

There are no publications for NDUFA6 Antibody (NBP3-47373).
By submitting your publication information earn gift cards and discounts for future purchases.

Reviews for NDUFA6 Antibody (NBP3-47373) (0)

There are no reviews for NDUFA6 Antibody (NBP3-47373). By submitting a review you will receive an Amazon e-Gift Card or Novus Product Discount.
  • Review with no image -- $10/€7/£6/$10 CAD/¥70 Yuan/¥1110 Yen
  • Review with an image -- $25/€18/£15/$25 CAD/¥150 Yuan/¥2500 Yen

Product General Protocols

Find general support by application which include: protocols, troubleshooting, illustrated assays, videos and webinars.

Video Protocols

WB Video Protocol

FAQs for NDUFA6 Antibody (NBP3-47373) (0)

There are no specific FAQs related to this product. Read our general customer & technical service FAQs.

Secondary Antibodies

 

Isotype Controls

Additional NDUFA6 Products

Array NBP3-47373

Research Areas for NDUFA6 Antibody (NBP3-47373)

Find related products by research area.

Blogs on NDUFA6

There are no specific blogs for NDUFA6, but you can read our latest blog posts.

Customers Who Bought This Also Bought

Contact Information

Product PDFs

Calculators

Concentration Calculator

The concentration calculator allows you to quickly calculate the volume, mass or concentration of your vial. Simply enter your mass, volume, or concentration values for your reagent and the calculator will determine the rest.

=
÷

Review this Product

Be the first to review our NDUFA6 Antibody - BSA Free and receive a gift card or discount.

Bioinformatics

Gene Symbol NDUFA6