Myosin heavy chain 11 Antibody (CL14619) - Azide and BSA Free

Images

 
Staining of human breast shows strong cytoplasmic positivity in myoepithelial cells.
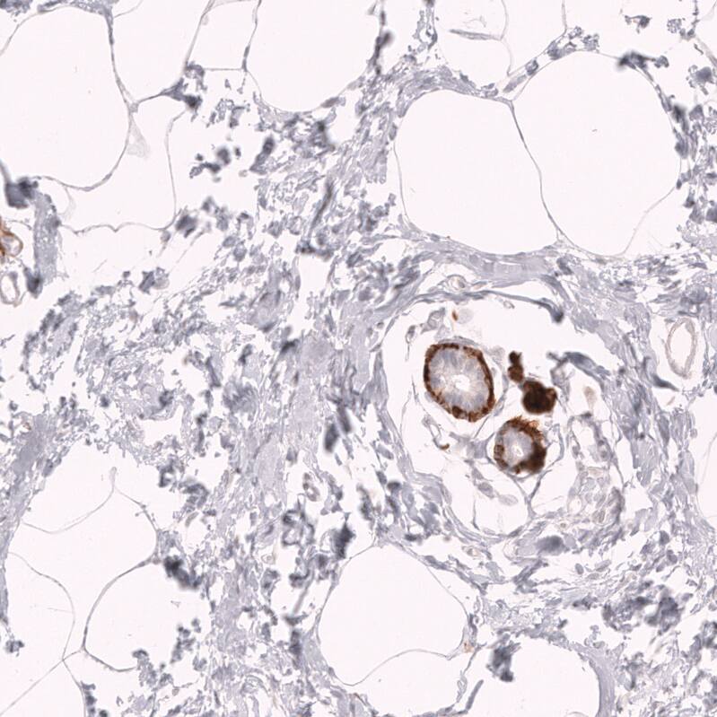
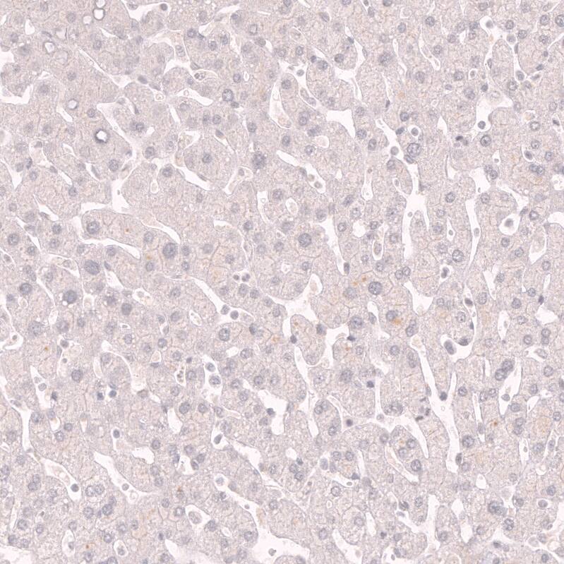
Orthogonal Strategies: Analysis in human prostate and liver tissues using NBP3-44141 antibody. Corresponding Myosin heavy chain 11 RNA-seq data are presented for the same tissues.
Staining of human prostate shows strong cytoplasmic positivity in smooth muscle cells.
Staining of human liver shows no positivity in hepatocytes as expected.
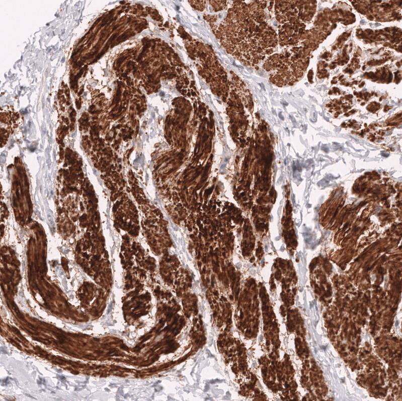
Staining of human smooth muscle shows strong cytoplasmic positivity in smooth muscle cells.
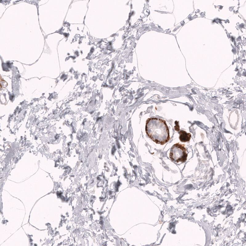
Analysis in human prostate tissue.

Product Details

Summary
Reactivity HuSpecies Glossary
Applications WB, IHC
Clone
CL14619
Clonality
Monoclonal
Host
Mouse
Conjugate
Unconjugated
Format
Azide and BSA Free
Concentration
LYOPH
Validated by:
       

Orthogonal Strategies

 

Order Details

Myosin heavy chain 11 Antibody (CL14619) - Azide and BSA Free Summary

Description
Novus Biologicals Mouse Myosin heavy chain 11 Antibody (CL14619) - Azide and BSA Free (NBP3-26875) is a monoclonal antibody validated for use in IHC and WB. All Novus Biologicals antibodies are covered by our 100% guarantee.
Immunogen
This antibody was generated using a recombinant protein sequence of P35749, with the exact immunogen sequence remaining proprietary.
Isotype
IgG2a
Clonality
Monoclonal
Host
Mouse
Gene
MYH11
Purity
Protein A purified
Innovator's Reward
Test in a species/application not listed above to receive a full credit towards a future purchase.

Applications/Dilutions

Dilutions
  • Immunohistochemistry-Paraffin 1:1000 - 1:2500
  • Western Blot 1 ug/ml
Application Notes
For IHC-Paraffin, HIER pH 6 retrieval is recommended.

Packaging, Storage & Formulations

Storage
Store at 4C short term. Aliquot and store at -20C long term. Avoid freeze-thaw cycles.
Buffer
Lyophilized from a 0.2 um filtered solution in PBS with Trehalose
Preservative
No Preservative
Concentration
LYOPH
Purity
Protein A purified
Reconstitution Instructions
Centrifuge the vial of lyophilized antibody at 12,000 x g for 20 seconds. Reconstitute by adding sterile, distilled water to achieve a final antibody concentration of 1mg/ml.

Alternate Names for Myosin heavy chain 11 Antibody (CL14619) - Azide and BSA Free

  • AAT4
  • FAA4
  • MYH11 myosin, heavy chain 11, smooth muscle
  • MYH11
  • SMHC
  • SMMHC
  • Smooth muscle myosin heavy chain

Background

The protein encoded by the MYH11 gene is a smooth muscle myosin belonging to the myosin heavy chain family. The gene product is a subunit of a hexameric protein that consists of two heavy chain subunits and two pairs of non-identical light chain subunits. MYH11 functions as a major contractile protein, converting chemical energy into mechanical energy through the hydrolysis of ATP. The gene encoding a human ortholog of rat NUDE1 is transcribed from the reverse strand of this gene, and its 3' end overlaps with that of the latter. The pericentric inversion of chromosome 16 [inv(16)(p13q22)] produces a chimeric transcript that encodes a protein consisting of the first 165 residues from the N terminus of core-binding factor beta in a fusion with the C-terminal portion of the smooth muscle myosin heavy chain. This chromosomal rearrangement is associated with acute myeloid leukemia of the M4Eo subtype. Alternative splicing generates isoforms that are differentially expressed, with ratios changing during muscle cell maturation. Alternatively spliced transcript variants encoding different isoforms have been identified.

Limitations

This product is for research use only and is not approved for use in humans or in clinical diagnosis. Primary Antibodies are guaranteed for 1 year from date of receipt.

Customers Who Viewed This Item Also Viewed...

NBP1-92025
Species: Hu, Mu, Rt
Applications: ICC/IF, IHC,  IHC-P, WB
NBP3-46466
Species: Hu, Mu, Rt
Applications: ELISA, ICC/IF, IHC, WB
NBP1-89105
Species: Hu
Applications: ICC/IF, IHC,  IHC-P, WB
AF7349
Species: Hu, Mu
Applications: ICC, WB
NBP2-55747
Species: Hu
Applications: ICC/IF, WB
AF5414
Species: Hu
Applications: Simple Western, WB
NB100-59787
Species: Hu, Mu
Applications: Flow, IB, ICC/IF, IHC,  IHC-P, IP, KD, PLA, WB
NBP2-45545
Species: Hu, Mu, Rt
Applications: IHC,  IHC-P, WB
NB600-507
Species: Hu, Mu, Rt
Applications: IHC,  IHC-P, KD, PEP-ELISA, WB
AF5129
Species: Hu
Applications: WB
NBP2-52406
Species: Hu
Applications: ELISA, IHC,  IHC-P, WB
NBP2-47525
Species: Hu
Applications: IHC,  IHC-P, WB
NBP1-62489
Species: Dr, Hu, Mu
Applications: WB
NBP1-80695
Species: Hu
Applications: ChIP-EXO-SEQ, ICC/IF, IHC,  IHC-P, WB
MAB812
Species: Hu
Applications: CyTOF-ready, Flow

Publications for Myosin heavy chain 11 Antibody (NBP3-44141) (0)

There are no publications for Myosin heavy chain 11 Antibody (NBP3-44141).
By submitting your publication information earn gift cards and discounts for future purchases.

Reviews for Myosin heavy chain 11 Antibody (NBP3-44141) (0)

There are no reviews for Myosin heavy chain 11 Antibody (NBP3-44141). By submitting a review you will receive an Amazon e-Gift Card or Novus Product Discount.
  • Review with no image -- $10/€7/£6/$10 CAD/¥70 Yuan/¥1110 Yen
  • Review with an image -- $25/€18/£15/$25 CAD/¥150 Yuan/¥2500 Yen

Product General Protocols

Find general support by application which include: protocols, troubleshooting, illustrated assays, videos and webinars.

Video Protocols

WB Video Protocol

FAQs for Myosin heavy chain 11 Antibody (NBP3-44141) (0)

There are no specific FAQs related to this product. Read our general customer & technical service FAQs.

Secondary Antibodies

 

Isotype Controls

Additional Myosin heavy chain 11 Products

Research Areas for Myosin heavy chain 11 Antibody (NBP3-44141)

Find related products by research area.

Blogs on Myosin heavy chain 11

There are no specific blogs for Myosin heavy chain 11, but you can read our latest blog posts.

Customers Who Bought This Also Bought

Contact Information

Product PDFs

Calculators

Concentration Calculator

The concentration calculator allows you to quickly calculate the volume, mass or concentration of your vial. Simply enter your mass, volume, or concentration values for your reagent and the calculator will determine the rest.

=
÷

Review this Product

Be the first to review our Myosin heavy chain 11 Antibody (CL14619) - Azide and BSA Free and receive a gift card or discount.

Bioinformatics

Gene Symbol MYH11