MyoD Antibody (MYOD1/7149) - BSA Free

Images

 
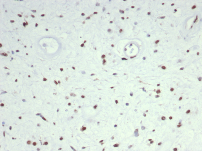
Formalin-fixed, paraffin-embedded human rhabdomyosarcoma stained with MyoD antibody (MYOD1/7149). HIER: Tris/EDTA, pH9.0, 45min. Secondary: HRP-polymer, 30min. DAB, 5min.

Product Details

Summary
Reactivity HuSpecies Glossary
Applications IHC
Clone
MYOD1/7149
Clonality
Monoclonal
Host
Mouse
Conjugate
Unconjugated
Format
BSA Free
Concentration
1 mg/ml

Order Details

MyoD Antibody (MYOD1/7149) - BSA Free Summary

Description
Positive Controls: Rhabdomyosarcoma

Antibody with azide - store at 2 to 8C. Antibody without azide - store at -20 to -80C. Non-hazardous. No MSDS required.
Immunogen
Recombinant mouse MyoD protein
Epitope
aa 180-189
Localization
Nucleus. Only nuclear staining should be considered as evidence of skeletal muscle differentiation.
Specificity
The epitope of this monoclonal antibody maps between amino acid 180-189 in the C-terminal of mouse MyoD protein It does not cross react with myogenin, Myf5, or Myf6 Antibody to MyoD labels the nuclei of myoblasts in developing muscle tissues
Isotype
IgG1 Kappa
Clonality
Monoclonal
Host
Mouse
Gene
MYOD1
Purity
Protein A or G purified
Innovator's Reward
Test in a species/application not listed above to receive a full credit towards a future purchase.

Applications/Dilutions

Dilutions
  • Immunohistochemistry-Paraffin 1-2 ug/ml
Application Notes
Immunohistochemistry (Formalin-fixed): 1-2ug/ml for 30 minutes. at RT. Staining of formalin-fixed tissues requires heating tissue sections in 10mM Tris with 1mM EDTA, pH 9.0, for 45 min at 95C followed by cooling at RT for 20 minutes.

Optimal dilution for a specific application should be determined.

Packaging, Storage & Formulations

Storage
Store at -20 to -70C. Avoid freeze-thaw cycles.
Buffer
10mM PBS
Preservative
0.05% Sodium Azide
Concentration
1 mg/ml
Purity
Protein A or G purified

Alternate Names for MyoD Antibody (MYOD1/7149) - BSA Free

  • bHLHc1
  • bHLHc1BHLHC1
  • Class C basic helix-loop-helix protein 1
  • MYF3
  • MYF3Myf-3
  • MyoD
  • MYOD1
  • MYODmyoblast determination protein 1
  • myogenic differentiation 1
  • Myogenic factor 3myf-3
  • PUM

Background

The Myogenic determination gene (MyoD) was first identified by the virtue of its ability to convert embryonic mouse fibroblast cells to muscle cells. It was subsequently shown that forced expression of MyoD (human homolog is myf 3) gene in a wide variety of normal and neoplastic cells could either convert the cells to muscle cells or activate a set of the otherwise transcriptionally inactive muscle-specific genes in these cells. The regulatory domain of the MyoD gene product lies within a 70 amino acid region and comprises a basic DNA binding motif and a helix-loop-helix (HLH) dimerization motif. Subsequent studies identified three other genes whose products shared sequence homology for the basic HLH domain of MyoD. These are; myf5, myogenin (human homolog is myf4) and myf6 (also known as MRF4 and herculin).

Limitations

This product is for research use only and is not approved for use in humans or in clinical diagnosis. Primary Antibodies are guaranteed for 1 year from date of receipt.

Customers Who Viewed This Item Also Viewed...

MAB66861
Species: Hu
Applications: ICC, WB
NBP2-44245
Species: Hu, Mu, Rt
Applications: IHC,  IHC-P, WB
NBP1-52030
Species: Hu
Applications: PEP-ELISA, WB
AF3844
Species: Hu, Mu
Applications: IHC
NBP2-29463
Species: Pm, Hu, Pm, Mu
Applications: Flow, ICC/IF, IHC,  IHC-P, WB
MAB1675
Species: Ch, Hu, Mu, Rt
Applications: ICC, IHC
291-G1
Species: Hu
Applications: BA
788-G8/CF
Species: Hu, Mu, Rt
Applications: BA
H00004205-M15
Species: Hu
Applications: ELISA, ICC/IF, WB
MAB2457
Species: Hu, Mu
Applications: CyTOF-ready, ICC, ICFlow, WB
NBP2-46085
Species: Hu
Applications: IHC,  IHC-P, WB
H00027065-M01
Species: Hu, Rt
Applications: ELISA, ICC/IF, S-ELISA, WB
NBP1-89953
Species: Hu, Mu
Applications: ICC/IF, IHC,  IHC-P
AF6116
Species: Hu
Applications: ICC, WB
MAB7650
Species: Mu
Applications: IHC, WB
NBP2-13957
Species: Hu
Applications: IHC,  IHC-P, WB
AF4377
Species: Hu, Mu
Applications: ICC, Simple Western, WB
MAB4470
Species: All-Multi
Applications: Flow, ICC, IHC, WB
NBP2-67471
Species: Hu, Mu, Rt
Applications: ICC/IF, IHC,  IHC-P, WB
NBP3-20804
Species: Hu
Applications: IHC

Publications for MyoD Antibody (NBP3-20804) (0)

There are no publications for MyoD Antibody (NBP3-20804).
By submitting your publication information earn gift cards and discounts for future purchases.

Reviews for MyoD Antibody (NBP3-20804) (0)

There are no reviews for MyoD Antibody (NBP3-20804). By submitting a review you will receive an Amazon e-Gift Card or Novus Product Discount.
  • Review with no image -- $10/€7/£6/$10 CAD/¥70 Yuan/¥1110 Yen
  • Review with an image -- $25/€18/£15/$25 CAD/¥150 Yuan/¥2500 Yen

Product General Protocols

Find general support by application which include: protocols, troubleshooting, illustrated assays, videos and webinars.

FAQs for MyoD Antibody (NBP3-20804) (0)

There are no specific FAQs related to this product. Read our general customer & technical service FAQs.

Secondary Antibodies

 

Isotype Controls

Additional MyoD Products

Research Areas for MyoD Antibody (NBP3-20804)

Find related products by research area.

Blogs on MyoD

There are no specific blogs for MyoD, but you can read our latest blog posts.

Customers Who Bought This Also Bought

Contact Information

Product PDFs

Calculators

Concentration Calculator

The concentration calculator allows you to quickly calculate the volume, mass or concentration of your vial. Simply enter your mass, volume, or concentration values for your reagent and the calculator will determine the rest.

=
÷

Review this Product

Be the first to review our MyoD Antibody (MYOD1/7149) - BSA Free and receive a gift card or discount.

Bioinformatics

Gene Symbol MYOD1