MUC6 Antibody (SPM598) - IHC-Prediluted

Images

 
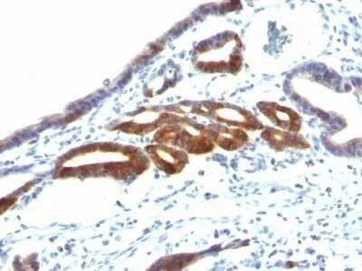
Immunohistochemistry-Paraffin: MUC6 Antibody (SPM598) - IHC-Prediluted [NBP2-48340] - Human Gastric Carcinoma stained with MUC6 Monoclonal Antibody (SPM598).

Product Details

Summary
Reactivity HuSpecies Glossary
Applications IHC
Clone
SPM598
Clonality
Monoclonal
Host
Mouse
Conjugate
Unconjugated
Format
IHC-Prediluted

Order Details

MUC6 Antibody (SPM598) - IHC-Prediluted Summary

Description
The prediluted antibody does not require any mixing, dilution, reconstitution, or titration; the antibody is ready-to-use and optimized for staining.
Immunogen
A synthetic peptide of the Gastric MUC6 tandem repeat sequence (Uniprot: Q6W4X9)
Localization
Cytoplasmic & Secreted
Isotype
IgG1 Kappa
Clonality
Monoclonal
Host
Mouse
Gene
MUC6
Purity
Protein A or G purified
Innovator's Reward
Test in a species/application not listed above to receive a full credit towards a future purchase.

Applications/Dilutions

Dilutions
  • Immunohistochemistry
  • Immunohistochemistry-Paraffin
Application Notes
Hu-chromosome location: 11p15.5 Immunohistochemistry-Paraffin 2 - 4 ug/ml for 30 minutes at RT; Staining of formalin-fixed tissues requires boiling tissue sections in 10mM citrate buffer, pH 6.0, for 10 - 20 min followed by cooling at RT for 20 minutes. The 7mL size is a pre-diluted size and no additional dilutions are required before using this item for the intended application.
Theoretical MW
252 kDa.
Disclaimer note: The observed molecular weight of the protein may vary from the listed predicted molecular weight due to post translational modifications, post translation cleavages, relative charges, and other experimental factors.

Packaging, Storage & Formulations

Storage
Store at 4C.
Buffer
10 mM PBS with 0.05% BSA
Preservative
0.05% Sodium Azide
Purity
Protein A or G purified

Alternate Names for MUC6 Antibody (SPM598) - IHC-Prediluted

  • gastric mucin
  • Gastric mucin-6
  • MUC-6
  • mucin 6, gastric
  • mucin 6, oligomeric mucus/gel-forming
  • mucin-6

Background

Mucin is a high M.W. (>1,000 kDa) glycoprotein, expressed by mucus cells of the gastric epithelium and by goblet cells of the fetal, precancerous and cancerous colon, but not by those of the normal colon. It also appears in other epithelial tissues, which are embryologically derived from the foregut (epigastric and bronchial epithelium) and in M ller ducts (mucus cells of the endocervix and urethral epithelium near the prostatic utriculus).

Limitations

This product is for research use only and is not approved for use in humans or in clinical diagnosis. Primary Antibodies are guaranteed for 1 year from date of receipt.

Customers Who Viewed This Item Also Viewed...

NB120-11197
Species: Hu, Mu
Applications: Flow-IC, Flow, ICC/IF (-), IHC, IHC-Fr,  IHC-P, WB
NBP2-15196
Species: Bv(-), Ch, Fe, Hu, Ma, Pm, Mu, Po, Rb, Rt
Applications: DB, Flow-IC, Flow, ICC/IF, IHC, IHC-Fr,  IHC-P, WB
NB120-22711
Species: Hu, Mu
Applications: ELISA, Flow, ICC/IF, IHC, IHC-Fr,  IHC-P
NBP1-92151
Species: Hu
Applications: ICC/IF, IHC,  IHC-P
H00004585-M07
Species: Hu, Mu
Applications: ELISA, IHC,  IHC-P, WB
AF1126
Species: Mu
Applications: ELISA(Cap), ELISA(Det), ELISA(Sta), IHC, IP, WB
NBP2-67309
Species: Hu, Rt
Applications: Flow, ICC/IF, IHC,  IHC-P, IP, WB
NBP2-24583
Species: Bv, Eq, Hu, Mu, Ma-Op, Pm, Rt
Applications: IHC,  IHC-P, WB
NBP2-44434
Species: Hu, Rt(-)
Applications: Flow, ICC/IF, IF, IHC,  IHC-P
NB200-103
Species: Hu, Mu, Rt, Xp(-), Ye
Applications: CyTOF-ready, ELISA, Flow-IC, Flow, ICC/IF, IHC, IHC-Fr,  IHC-P, IP, WB
NBP2-47940
Species: Hu
Applications: CyTOF-ready, Flow, ICC/IF, IF, IHC,  IHC-P, Simple Western, WB
NBP1-82045
Species: Hu
Applications: IHC,  IHC-P
NBP1-85630
Species: Hu
Applications: IHC,  IHC-P, WB
NBP1-85632
Species: Hu
Applications: ICC/IF, IHC,  IHC-P
NBP1-90813
Species: Hu
Applications: IHC,  IHC-P, WB
MAB4077
Species: Hu
Applications: IHC, WB
AF231
Species: Hu
Applications: CyTOF-ready, Dual ISH-IHC, ELISA(Cap), ELISA(Det), ELISA(Sta), Flow, ICC, IHC, IP, Simple Western, WB
1129-ER
Species: Hu
Applications: BA

Publications for MUC6 Antibody (NBP2-48340) (0)

There are no publications for MUC6 Antibody (NBP2-48340).
By submitting your publication information earn gift cards and discounts for future purchases.

Reviews for MUC6 Antibody (NBP2-48340) (0)

There are no reviews for MUC6 Antibody (NBP2-48340). By submitting a review you will receive an Amazon e-Gift Card or Novus Product Discount.
  • Review with no image -- $10/€7/£6/$10 CAD/¥70 Yuan/¥1110 Yen
  • Review with an image -- $25/€18/£15/$25 CAD/¥150 Yuan/¥2500 Yen

Product General Protocols

Find general support by application which include: protocols, troubleshooting, illustrated assays, videos and webinars.

FAQs for MUC6 Antibody (NBP2-48340) (0)

There are no specific FAQs related to this product. Read our general customer & technical service FAQs.

Customers Who Bought This Also Bought

Contact Information

Product PDFs

Calculators

Concentration Calculator

The concentration calculator allows you to quickly calculate the volume, mass or concentration of your vial. Simply enter your mass, volume, or concentration values for your reagent and the calculator will determine the rest.

=
÷

Review this Product

Be the first to review our MUC6 Antibody (SPM598) - IHC-Prediluted and receive a gift card or discount.

Bioinformatics

Gene Symbol MUC6