MSH2 Antibody (CL13713) - Azide and BSA Free

Images

 
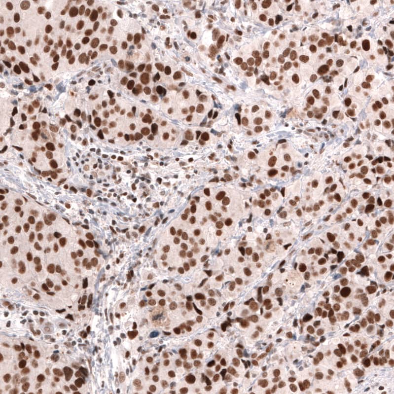
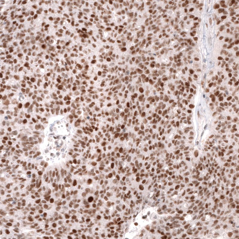
Staining of human breast cancer (ductal carcinoma) shows strong nuclear positivity in tumor cells.
Staining in NTERA-2 cell line with Anti-MSH2 monoclonal antibody) .
Orthogonal Strategies: Analysis in human testis and liver tissues using NBP3-43851 antibody. Corresponding MSH2 RNA-seq data are presented for the same tissues.
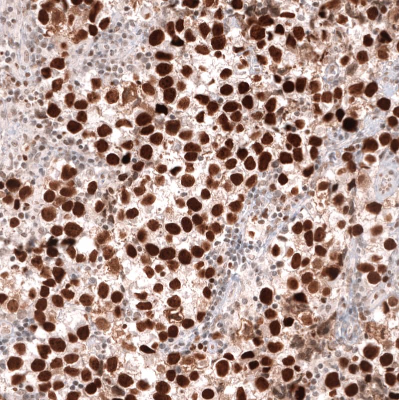
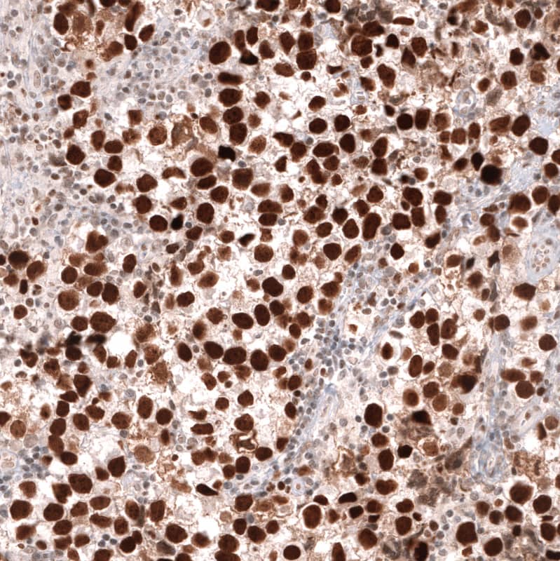
Staining of human colorectal cancer shows strong nuclear positivity in tumor cells.
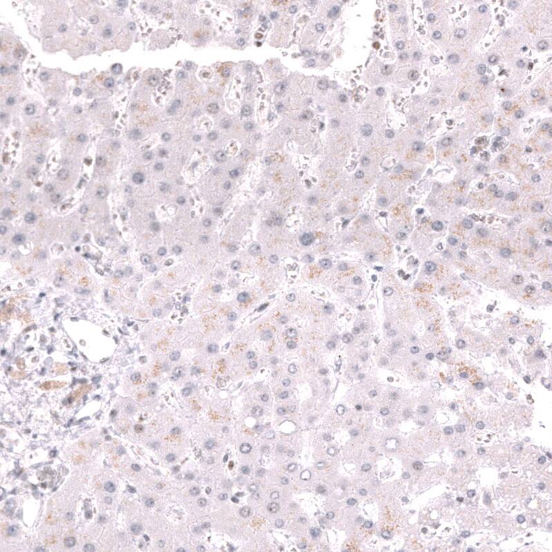
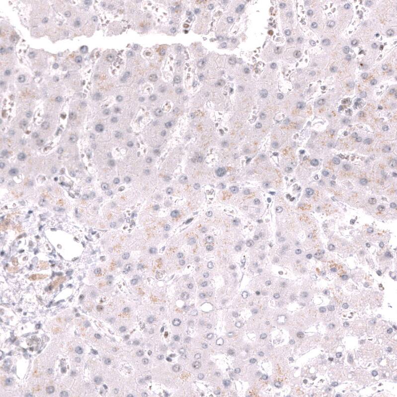
Staining of human liver shows no nuclear positivity in hepatocytes as expected.
Staining of human lymph node shows strong nuclear positivity in germinal center cells.
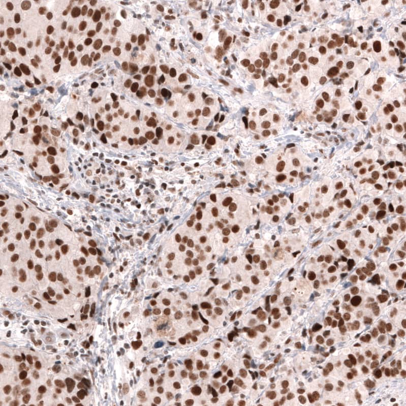
Staining of human ovarian cancer (high grade serous ovarian carcinoma) shows strong nuclear positivity in tumor cells.
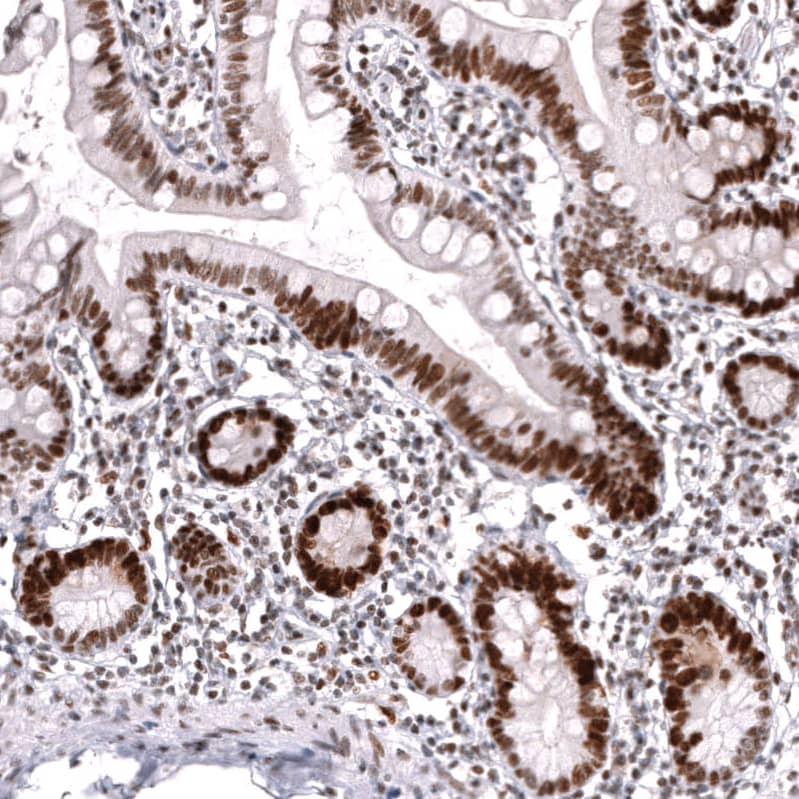
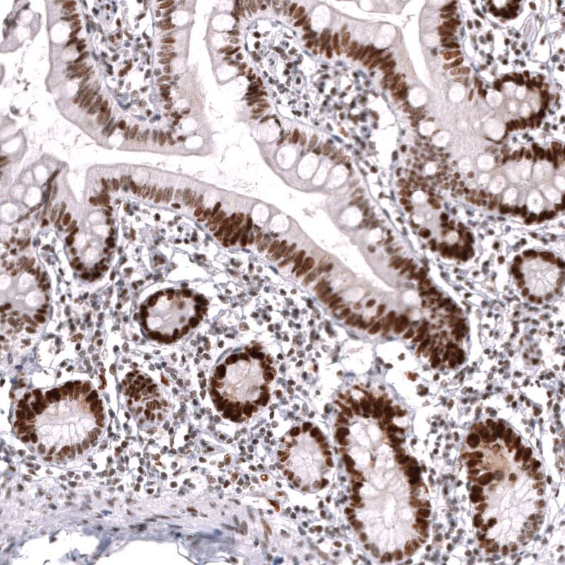
Staining of human small intestine shows strong nuclear positivity in glandular cells.
Analysis in human cell line NTERA-2.
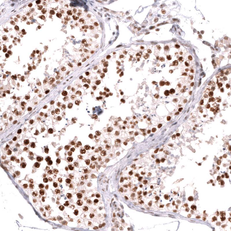
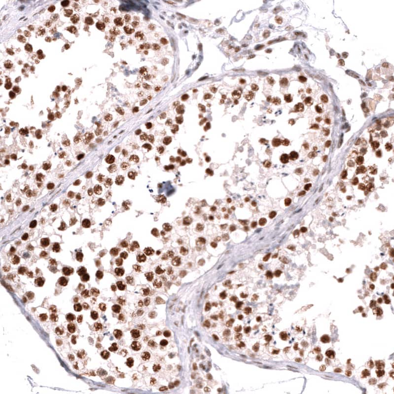
Staining of human testis shows strong nuclear positivity in cells in seminiferous ducts.
Staining of human testis cancer (seminoma) shows strong nuclear positivity in tumor cells.

Product Details

Summary
Reactivity HuSpecies Glossary
Applications WB, ICC/IF, IHC
Clone
CL13713
Clonality
Monoclonal
Host
Mouse
Conjugate
Unconjugated
Format
Azide and BSA Free
Concentration
LYOPH
Validated by:
       

Orthogonal Strategies

 

Order Details

MSH2 Antibody (CL13713) - Azide and BSA Free Summary

Description
Novus Biologicals Mouse MSH2 Antibody (CL13713) - Azide and BSA Free (NBP3-24572) is a monoclonal antibody validated for use in IHC, WB and ICC/IF. All Novus Biologicals antibodies are covered by our 100% guarantee.
Immunogen
This antibody was generated using a synthetic peptide of P43246, with the exact immunogen sequence remaining proprietary.
Isotype
IgG2a
Clonality
Monoclonal
Host
Mouse
Gene
MSH2
Purity
Protein A purified
Innovator's Reward
Test in a species/application not listed above to receive a full credit towards a future purchase.

Applications/Dilutions

Dilutions
  • Immunocytochemistry/ Immunofluorescence 2-10 ug/ml
  • Immunohistochemistry-Paraffin 1:50 - 1:200
  • Western Blot 1 ug/ml
Application Notes
For IHC-Paraffin, we recommend using Heat-Induced Epitope Retrieval (HIER) with a pH level of 6. This optimized retrieval method ensures the best results for your experiments, For Immunocytochemistry/ Immunofluorescence/IF, we recommend using a combination of PFA and Triton X-100. This will give you the optimal results for your experiments.

Packaging, Storage & Formulations

Storage
Store at 4C short term. Aliquot and store at -20C long term. Avoid freeze-thaw cycles.
Buffer
Lyophilized from a 0.2 um filtered solution in PBS with Trehalose
Preservative
No Preservative
Concentration
LYOPH
Purity
Protein A purified
Reconstitution Instructions
Centrifuge the vial of lyophilized antibody at 12,000 x g for 20 seconds. Reconstitute by adding sterile, distilled water to achieve a final antibody concentration of 1mg/ml.

Alternate Names for MSH2 Antibody (CL13713) - Azide and BSA Free

  • COCA1
  • DNA mismatch repair protein Msh2
  • FCC1
  • hMSH2
  • HNPCC
  • HNPCC1
  • HNPCC1mutS (E. coli) homolog 2 (colon cancer, nonpolyposis type 1)
  • LCFS2
  • MSH2
  • mutS homolog 2, colon cancer, nonpolyposis type 1 (E. coli)
  • MutS protein homolog 2

Background

MSH2 was identified as a locus frequently mutated in hereditary nonpolyposis colon cancer (HNPCC). When cloned, it was discovered to be a human homolog of the E. coli mismatch repair gene mutS, consistent with the characteristic alterations in microsatellite sequences (RER+ phenotype) found in HNPCC.

Limitations

This product is for research use only and is not approved for use in humans or in clinical diagnosis. Primary Antibodies are guaranteed for 1 year from date of receipt.

Customers Who Viewed This Item Also Viewed...

NBP2-67381
Species: Hu, Mu, Rt
Applications: Flow, ICC/IF, IHC,  IHC-P, IP, KO, WB
NBP1-83319
Species: Hu, Mu, Rt
Applications: ICC/IF, IHC,  IHC-P, WB
AF2535
Species: Mu
Applications: CyTOF-ready, Flow, IHC, WB
NBP2-46459
Species: Hu
Applications: ICC/IF, IHC,  IHC-P, WB
NB200-103
Species: Hu, Mu, Rt, Xp(-), Ye
Applications: CyTOF-ready, ELISA, Flow-IC, Flow, ICC/IF, IHC, IHC-Fr,  IHC-P, IP, WB
NBP3-24587
Species: Hu
Applications: ICC/IF, IHC,  IHC-P, WB
NBP3-13739
Species: Hu
Applications: ELISA, Flow, ICC/IF, IP, PA
NB100-91662
Species: Hu, Mu, Rt
Applications: Flow, ICC/IF, IHC,  IHC-P, Simple Western, WB
AF4885
Species: Mu
Applications: IP, WB
NBP2-02377
Species: Hu, Mu, Rt
Applications: Flow, ICC/IF, IHC,  IHC-P, WB
NB100-598
Species: Hu
Applications: CyTOF-ready, Flow, ICC/IF, IP, WB
MAB2476
Species: Hu
Applications: IHC, WB
NB200-106
Species: Mu, Rt
Applications: ELISA, ICC/IF, IHC, IHC-Fr,  IHC-P, WB
NB500-106
Species: Ch, Dr, Fi, Hu, Mar, Mu, Po, Pm, Rb, Rt, Ye, Ze
Applications: ChIP, ChIP, ELISA, Flow, ICC/IF, IHC-FrFl, IHC, IHC-Fr,  IHC-P, IP, Simple Western, WB
NBP2-16391
Species: Hu, Mu
Applications: ICC/IF, WB
NBP1-47668
Species: Hu, Pm, Mu, Rt
Applications: Flow, ICC/IF, IHC,  IHC-P, IP, WB
NBP2-29463
Species: Pm, Hu, Pm, Mu
Applications: Flow, ICC/IF, IHC,  IHC-P, WB
NBP2-42864
Species: Hu, Mu, Rt
Applications: ICC/IF, IHC,  IHC-P, IP, WB

Publications for MSH2 Antibody (NBP3-43851) (0)

There are no publications for MSH2 Antibody (NBP3-43851).
By submitting your publication information earn gift cards and discounts for future purchases.

Reviews for MSH2 Antibody (NBP3-43851) (0)

There are no reviews for MSH2 Antibody (NBP3-43851). By submitting a review you will receive an Amazon e-Gift Card or Novus Product Discount.
  • Review with no image -- $10/€7/£6/$10 CAD/¥70 Yuan/¥1110 Yen
  • Review with an image -- $25/€18/£15/$25 CAD/¥150 Yuan/¥2500 Yen

Product General Protocols

Find general support by application which include: protocols, troubleshooting, illustrated assays, videos and webinars.

Video Protocols

WB Video Protocol
ICC/IF Video Protocol

FAQs for MSH2 Antibody (NBP3-43851) (0)

There are no specific FAQs related to this product. Read our general customer & technical service FAQs.

Customers Who Bought This Also Bought

Contact Information

Product PDFs

Calculators

Concentration Calculator

The concentration calculator allows you to quickly calculate the volume, mass or concentration of your vial. Simply enter your mass, volume, or concentration values for your reagent and the calculator will determine the rest.

=
÷

Review this Product

Be the first to review our MSH2 Antibody (CL13713) - Azide and BSA Free and receive a gift card or discount.

Bioinformatics

Gene Symbol MSH2