MRPL38 Antibody - BSA Free

Images

 
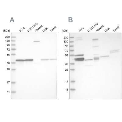
Independent Antibodies: Western Blot: MRPL38 Antibody [NBP1-81672] - Analysis using Anti-MRPL38 antibody NBP1-81672 (A) shows similar pattern to independent antibody NBP1-81673 (B).
Immunocytochemistry/ Immunofluorescence: MRPL38 Antibody [NBP1-81672] - Immunofluorescent staining of human cell line U-251 MG shows localization to mitochondria.
Immunohistochemistry: MRPL38 Antibody [NBP1-81672] - Staining of human gallbladder shows strong cytoplasmic positivity in glandular cells.

Product Details

Summary
Reactivity HuSpecies Glossary
Applications WB, ICC/IF, IHC
Clonality
Polyclonal
Host
Rabbit
Conjugate
Unconjugated
Format
BSA Free
Validated by:
 

Independent Antibodies

       

Order Details

View Available Formulations
Catalog# & Formulation Size Price

MRPL38 Antibody - BSA Free Summary

Description
Novus Biologicals Rabbit MRPL38 Antibody - BSA Free (NBP1-81672) is a polyclonal antibody validated for use in IHC, WB and ICC/IF. Anti-MRPL38 Antibody: Cited in 1 publication. All Novus Biologicals antibodies are covered by our 100% guarantee.
Immunogen
This antibody was developed against Recombinant Protein corresponding to amino acids: EYFGEKTDPKEKIDIGLPPPKVSRTQQLLERKQAIQELRANVEEERAARLRTASVPLDAVRAEWERTCGPYHKQRL
Isotype
IgG
Clonality
Polyclonal
Host
Rabbit
Gene
MRPL38
Purity
Affinity purified
Innovator's Reward
Test in a species/application not listed above to receive a full credit towards a future purchase.

Applications/Dilutions

Dilutions
  • Immunocytochemistry/ Immunofluorescence 0.25-2 ug/ml
  • Immunohistochemistry 1:200 - 1:500
  • Immunohistochemistry-Paraffin 1:200 - 1:500
  • Western Blot 0.04-0.4 ug/ml
Application Notes
For IHC-Paraffin, HIER pH 6 retrieval is recommended. Immunocytochemistry/Immunofluorescence Fixation Permeabilization: Use PFA/Triton X-100.
Control Peptide
MRPL38 Protein (NBP1-81672PEP)
Publications
Read Publication using NBP1-81672.

Reactivity Notes

Immunogen displays the following percentage of sequence identity for non-tested species: Mouse (83%), Rat (80%). Reactivity reported in scientific literature (PMID: 25866880)

Packaging, Storage & Formulations

Storage
Store at 4C short term. Aliquot and store at -20C long term. Avoid freeze-thaw cycles.
Buffer
PBS (pH 7.2) and 40% Glycerol
Preservative
0.02% Sodium Azide
Purity
Affinity purified

Alternate Names for MRPL38 Antibody - BSA Free

  • FLJ13996
  • HSPC262
  • KIAA1863
  • L38MT
  • MGC4810
  • mitochondrial ribosomal protein L38,39S ribosomal protein L38, mitochondrial
  • MRP-L3
  • MRP-L38
  • RPML3

Background

Mammalian mitochondrial ribosomal proteins are encoded by nuclear genes and help in protein synthesis within the mitochondrion. Mitochondrial ribosomes (mitoribosomes) consist of a small 28S subunit and a large 39S subunit. They have an estimated 75% protein to rRNA composition compared to prokaryotic ribosomes, where this ratio is reversed. Another difference between mammalian mitoribosomes and prokaryotic ribosomes is that the latter contain a 5S rRNA. Among different species, the proteins comprising the mitoribosome differ greatly in sequence, and sometimes in biochemical properties, which prevents easy recognition by sequence homology. This gene encodes a 39S subunit protein. [provided by RefSeq]

Limitations

This product is for research use only and is not approved for use in humans or in clinical diagnosis. Primary Antibodies are guaranteed for 1 year from date of receipt.

Customers Who Viewed This Item Also Viewed...

NBP2-30693
Species: Hu
Applications: ICC/IF, IHC,  IHC-P
NBP1-31336
Species: Hu, Mu, Rt
Applications: ICC/IF, IHC,  IHC-P, KD, WB
NBP1-89715
Species: Hu
Applications: IHC,  IHC-P, WB
NBP2-46518
Species: Hu
Applications: IHC,  IHC-P, WB
AF2255
Species: Mu
Applications: Block, CyTOF-ready, Flow, IHC, WB
H00002038-M01
Species: Hu
Applications: ELISA, ICC/IF, WB
NBP1-90649
Species: Hu
Applications: IHC,  IHC-P
H00091107-M02
Species: Hu
Applications: ELISA, ICC/IF, S-ELISA, WB
AF6278
Species: Hu, Mu
Applications: WB
NBP1-58359
Species: Hu
Applications: IHC,  IHC-P, WB
NBP2-25160
Species: Bv, Ca, Eq, Hu, Mu, Po, Rt
Applications: ICC/IF, IHC, WB
AF1927
Species: Hu
Applications: IP, WB
H00006944-M01
Species: Hu
Applications: ELISA, ICC/IF, S-ELISA, WB
NBP2-03993
Species: Bv, Ca, Hu, Mu, Pm
Applications: WB
NBP3-00348
Species: Hu
Applications: ELISA, IHC,  IHC-P, IP, WB
NBP3-48753
Species: Hu, Mu, Rt
Applications: IHC,  IHC-P, WB
NBP2-01763
Species: Hu, Mu, Rt
Applications: Flow, IHC,  IHC-P, WB
NBP1-81672
Species: Hu
Applications: WB, ICC/IF, IHC

Publications for MRPL38 Antibody (NBP1-81672)(1)

Reviews for MRPL38 Antibody (NBP1-81672) (0)

There are no reviews for MRPL38 Antibody (NBP1-81672). By submitting a review you will receive an Amazon e-Gift Card or Novus Product Discount.
  • Review with no image -- $10/€7/£6/$10 CAD/¥70 Yuan/¥1110 Yen
  • Review with an image -- $25/€18/£15/$25 CAD/¥150 Yuan/¥2500 Yen

Product General Protocols

Find general support by application which include: protocols, troubleshooting, illustrated assays, videos and webinars.

Video Protocols

WB Video Protocol
ICC/IF Video Protocol

FAQs for MRPL38 Antibody (NBP1-81672) (0)

There are no specific FAQs related to this product. Read our general customer & technical service FAQs.

Customers Who Bought This Also Bought

Contact Information

Product PDFs

Calculators

Concentration Calculator

The concentration calculator allows you to quickly calculate the volume, mass or concentration of your vial. Simply enter your mass, volume, or concentration values for your reagent and the calculator will determine the rest.

=
÷

Review this Product

Be the first to review our MRPL38 Antibody - BSA Free and receive a gift card or discount.

Bioinformatics

Gene Symbol MRPL38