HBLD2 Antibody - BSA Free

Images

 
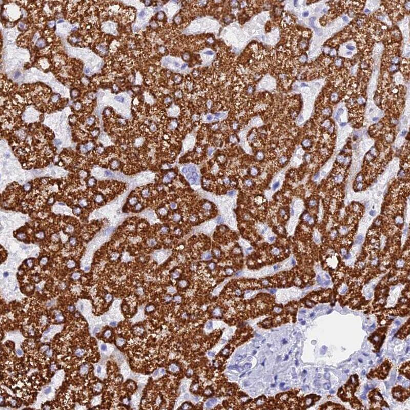
Staining of human liver shows strong cytoplasmic granular positivity in hepatocytes.
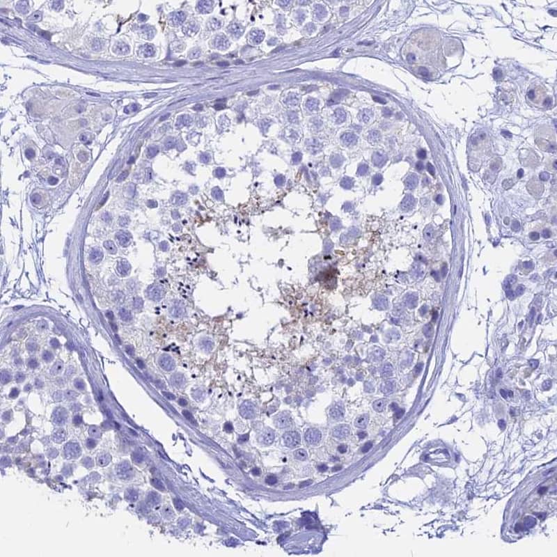
Staining of human testis shows weak cytoplasmic positivity in spermatids.
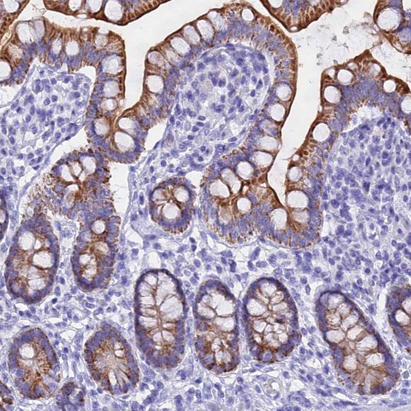
Staining of human small intestine shows strong cytoplasmic granular positivity in glandular cells.
Staining of human lymph node shows no positivity in non-germinal center cells as expected.
Analysis in human cell line NTERA-2.

Product Details

Summary
Reactivity Hu, Mu, RtSpecies Glossary
Applications WB, IHC
Clonality
Polyclonal
Host
Rabbit
Conjugate
Unconjugated
Format
BSA Free

Order Details

View Available Formulations
Catalog# & Formulation Size Price

HBLD2 Antibody - BSA Free Summary

Description
Novus Biologicals Rabbit HBLD2 Antibody - BSA Free (NBP1-89715) is a polyclonal antibody validated for use in IHC and WB. All Novus Biologicals antibodies are covered by our 100% guarantee.
Immunogen
This antibody was developed against Recombinant Protein corresponding to amino acids: DKLSSEFVFNNPNIKGTCGCGESFNI
Predicted Species
Mouse (92%), Rat (96%). Backed by our 100% Guarantee.
Isotype
IgG
Clonality
Polyclonal
Host
Rabbit
Gene
ISCA1
Purity
Affinity purified
Innovator's Reward
Test in a species/application not listed above to receive a full credit towards a future purchase.

Applications/Dilutions

Dilutions
  • Immunohistochemistry 1:200 - 1:500
  • Immunohistochemistry-Paraffin 1:200 - 1:500
  • Western Blot 0.04-0.4 ug/ml
Application Notes
For IHC-Paraffin, HIER pH 6 retrieval is recommended.
Control Peptide
HBLD2 Protein (NBP1-89715PEP)

Packaging, Storage & Formulations

Storage
Store at 4C short term. Aliquot and store at -20C long term. Avoid freeze-thaw cycles.
Buffer
PBS (pH 7.2) and 40% Glycerol
Preservative
0.02% Sodium Azide
Purity
Affinity purified

Alternate Names for HBLD2 Antibody - BSA Free

  • HESB like domain containing 2
  • HESB-like domain-containing protein 2
  • HISCA
  • hIscAmitochondrial
  • Iron-sulfur assembly protein IscA
  • iron-sulfur cluster assembly 1 homolog (S. cerevisiae)

Background

ISCA1 is a mitochondrial protein involved in the biogenesis and assembly of iron-sulfur clusters, which play a role inelectron-transfer reactions (Cozar-Castellano et al., 2004 (PubMed 15262227)).(supplied by OMIM)

Limitations

This product is for research use only and is not approved for use in humans or in clinical diagnosis. Primary Antibodies are guaranteed for 1 year from date of receipt.

Customers Who Viewed This Item Also Viewed...

NBP1-89716
Species: Hu
Applications: IHC,  IHC-P, WB
NBP1-83611
Species: Hu
Applications: ICC/IF, IHC,  IHC-P, WB
NBP1-81853
Species: Hu
Applications: ICC/IF, IHC,  IHC-P, WB
NBP1-94027
Species: Hu
Applications: IHC,  IHC-P, WB
NBP1-90157
Species: Hu
Applications: ICC/IF, IHC,  IHC-P, WB
H00005729-B01P
Species: Hu
Applications: Flow, ICC/IF, WB
NBP2-37933
Species: Hu
Applications: ICC/IF, IHC,  IHC-P
NBP2-48836
Species: Ca, Hu
Applications: ICC/IF, IHC,  IHC-P
H00006193-M02
Species: Hu, Mu, Pr, Rt
Applications: ELISA, ICC/IF, WB
NBP1-87372
Species: Hu, Mu, Rt
Applications: ICC/IF, IHC,  IHC-P, WB
NB110-61010
Species: Hu
Applications: CyTOF-ready, Flow, ICC/IF, IHC, IP, RIA, WB
NBP3-38499
Species: Hu, Mu, Rt
Applications: ELISA, ICC/IF, WB
NB100-81029
Species: Hu, Mu, Rt
Applications: ELISA, ICC/IF, IHC,  IHC-P, WB
NBP2-25162
Species: Bv, Eq, Hu, Mu, Po, Rt
Applications: ICC/IF, IHC, PLA, WB
NBP1-89897
Species: Hu
Applications: IHC,  IHC-P, WB
NBP1-84730
Species: Hu
Applications: ICC/IF, IHC,  IHC-P, WB
H00006583-A01
Species: Ca, Hu, Mu, Rt
Applications: ELISA, ICC/IF, IHC-WhMt, IHC, IHC-Fr, WB
NBP1-89715
Species: Hu, Mu, Rt
Applications: WB, IHC

Publications for HBLD2 Antibody (NBP1-89715) (0)

There are no publications for HBLD2 Antibody (NBP1-89715).
By submitting your publication information earn gift cards and discounts for future purchases.

Reviews for HBLD2 Antibody (NBP1-89715) (0)

There are no reviews for HBLD2 Antibody (NBP1-89715). By submitting a review you will receive an Amazon e-Gift Card or Novus Product Discount.
  • Review with no image -- $10/€7/£6/$10 CAD/¥70 Yuan/¥1110 Yen
  • Review with an image -- $25/€18/£15/$25 CAD/¥150 Yuan/¥2500 Yen

Product General Protocols

Find general support by application which include: protocols, troubleshooting, illustrated assays, videos and webinars.

Video Protocols

WB Video Protocol

FAQs for HBLD2 Antibody (NBP1-89715) (0)

There are no specific FAQs related to this product. Read our general customer & technical service FAQs.

Customers Who Bought This Also Bought

Contact Information

Product PDFs

Calculators

Concentration Calculator

The concentration calculator allows you to quickly calculate the volume, mass or concentration of your vial. Simply enter your mass, volume, or concentration values for your reagent and the calculator will determine the rest.

=
÷

Review this Product

Be the first to review our HBLD2 Antibody - BSA Free and receive a gift card or discount.

Bioinformatics

Gene Symbol ISCA1