MLH3 Antibody (CL14096) - Azide and BSA Free

Images

 
Orthogonal Strategies: Analysis in human endometrium and skeletal muscle tissues using NBP3-43850 antibody. Corresponding MLH3 RNA-seq data are presented for the same tissues.
Staining in A-431 cell line with Anti-MLH3 monoclonal antibody) .
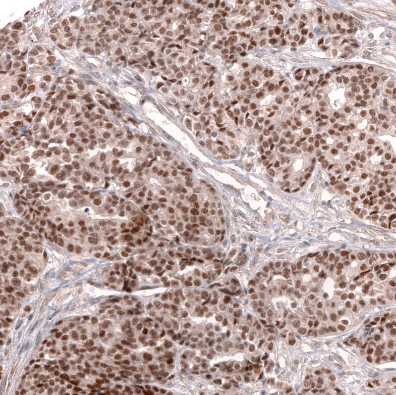
Staining of human endometrial cancer shows moderate nuclear positivity in tumor cells.
Staining of human fallopian tube shows moderate nuclear positivity in glandular cells.
Staining of human endometrium shows moderate nuclear positivity in glandular cells.
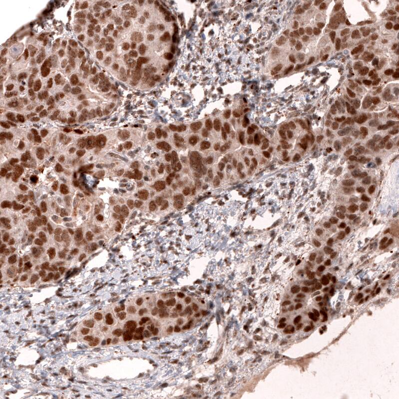
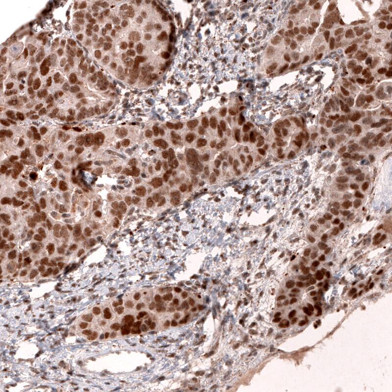
Staining of human ovarian cancer (papillary carcinoma) shows strong nuclear positivity in tumor cells.
Staining of human ovarian cancer (high grade serous ovarian carcinoma) shows strong nuclear positivity in tumor cells.
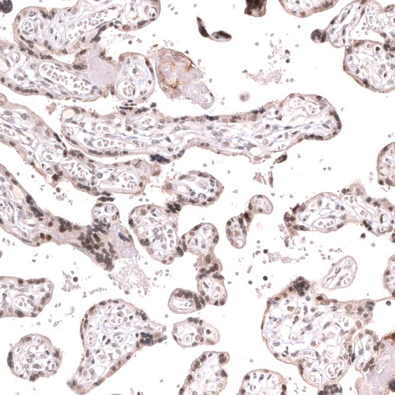
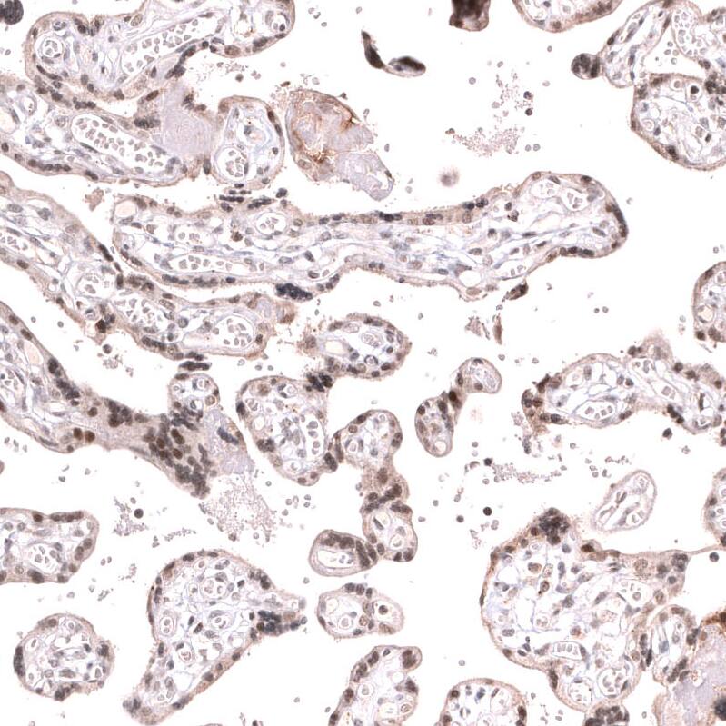
Staining of human placenta shows moderate nuclear positivity in trophoblastic cells.
Staining of human skeletal muscle shows no positivity in myocytes as expected.
Analysis in human cell line SCLC-21H.

Product Details

Summary
Reactivity HuSpecies Glossary
Applications WB, ICC/IF, IHC
Clone
CL14096
Clonality
Monoclonal
Host
Mouse
Conjugate
Unconjugated
Format
Azide and BSA Free
Concentration
LYOPH
Validated by:
       

Orthogonal Strategies

 

Order Details

MLH3 Antibody (CL14096) - Azide and BSA Free Summary

Description
Novus Biologicals Mouse MLH3 Antibody (CL14096) - Azide and BSA Free (NBP3-24597) is a monoclonal antibody validated for use in IHC, WB and ICC/IF. All Novus Biologicals antibodies are covered by our 100% guarantee.
Immunogen
This antibody was generated using a synthetic peptide of Q9UHC1, with the exact immunogen sequence remaining proprietary.
Isotype
IgG2a
Clonality
Monoclonal
Host
Mouse
Gene
MLH3
Purity
Protein A purified
Innovator's Reward
Test in a species/application not listed above to receive a full credit towards a future purchase.

Applications/Dilutions

Dilutions
  • Immunocytochemistry/ Immunofluorescence 2-10 ug/ml
  • Immunohistochemistry-Paraffin 1:20-1:50
  • Western Blot 1 ug/ml
Application Notes
For IHC-Paraffin, we recommend using Heat-Induced Epitope Retrieval (HIER) with a pH level of 6. This optimized retrieval method ensures the best results for your experiments, For Immunocytochemistry/ Immunofluorescence/IF, we recommend using a combination of PFA and Triton X-100. This will give you the optimal results for your experiments.

Packaging, Storage & Formulations

Storage
Store at 4C short term. Aliquot and store at -20C long term. Avoid freeze-thaw cycles.
Buffer
Lyophilized from a 0.2 um filtered solution in PBS with Trehalose
Preservative
No Preservative
Concentration
LYOPH
Purity
Protein A purified
Reconstitution Instructions
Centrifuge the vial of lyophilized antibody at 12,000 x g for 20 seconds. Reconstitute by adding sterile, distilled water to achieve a final antibody concentration of 1mg/ml.

Alternate Names for MLH3 Antibody (CL14096) - Azide and BSA Free

  • DNA mismatch repair protein Mlh3
  • HNPCC7
  • MGC138372
  • mutL (E. coli) homolog 3
  • mutL homolog 3 (E. coli)
  • MutL protein homolog 3

Background

MLH3 is a member of the MutL-homolog (MLH) family of DNA mismatch repair (MMR) genes. MLH genes are implicated in maintaining genomic integrity during DNA replication and after meiotic recombination. The protein encoded by this gene functions as a heterodimer with other family members. Somatic mutations in this gene frequently occur in tumors exhibiting microsatellite instability, and germline mutations have been linked to hereditary nonpolyposis colorectal cancer type 7 (HNPCC7). Several alternatively spliced transcript variants have been identified, but the full-length nature of only two transcript variants has been determined. [provided by RefSeq]

Limitations

This product is for research use only and is not approved for use in humans or in clinical diagnosis. Primary Antibodies are guaranteed for 1 year from date of receipt.

Customers Who Viewed This Item Also Viewed...

NBP2-67381
Species: Hu, Mu, Rt
Applications: Flow, ICC/IF, IHC,  IHC-P, IP, KO, WB
NBP3-07211
Species: Ca, Hu
Applications: Flow, ICC/IF, IHC,  IHC-P, Simple Western, WB
NBP1-83319
Species: Hu, Mu, Rt
Applications: ICC/IF, IHC,  IHC-P, WB
NBP2-46459
Species: Hu
Applications: ICC/IF, IHC,  IHC-P, WB
AF2535
Species: Mu
Applications: CyTOF-ready, Flow, IHC, WB
NBP3-13739
Species: Hu
Applications: ELISA, Flow, ICC/IF, IP, PA
NBP3-24587
Species: Hu
Applications: ICC/IF, IHC,  IHC-P, WB
NBP2-94754
Species: Mu, Rt
Applications: ELISA, WB
NBP1-20946
Species: Hu
Applications: IHC,  IHC-P, PEP-ELISA, WB
NB100-148
Species: Ch, Hu, Mu, Rt
Applications: ChIP, ICC/IF, IHC, IHC-Fr,  IHC-P, IP, In vitro, KD, PLA, WB
NBP2-16391
Species: Hu, Mu
Applications: ICC/IF, WB
NBP1-89929
Species: Hu
Applications: ICC/IF, IHC,  IHC-P, WB
NB200-103
Species: Hu, Mu, Rt, Xp(-), Ye
Applications: CyTOF-ready, ELISA, Flow-IC, Flow, ICC/IF, IHC, IHC-Fr,  IHC-P, IP, WB
NBP1-91189
Species: Hu, Mu(-)
Applications: ICC/IF, IHC,  IHC-P, WB (-)
NBP2-95212
Species: Hu, Mu, Rt
Applications: ELISA, ICC/IF, IHC,  IHC-P, WB
NBP1-88052
Species: Hu, Mu, Rt
Applications: IHC,  IHC-P, WB
NB300-229
Species: Ch, Hu(-), Ma, Pm, Mu, Pa, Rt
Applications: ChIP, ChIP, ICC/IF, IHC, IHC-Fr,  IHC-P, IP, Simple Western, WB
NBP1-58172
Species: Hu, Mu
Applications: WB

Publications for MLH3 Antibody (NBP3-43850) (0)

There are no publications for MLH3 Antibody (NBP3-43850).
By submitting your publication information earn gift cards and discounts for future purchases.

Reviews for MLH3 Antibody (NBP3-43850) (0)

There are no reviews for MLH3 Antibody (NBP3-43850). By submitting a review you will receive an Amazon e-Gift Card or Novus Product Discount.
  • Review with no image -- $10/€7/£6/$10 CAD/¥70 Yuan/¥1110 Yen
  • Review with an image -- $25/€18/£15/$25 CAD/¥150 Yuan/¥2500 Yen

Product General Protocols

Find general support by application which include: protocols, troubleshooting, illustrated assays, videos and webinars.

Video Protocols

WB Video Protocol
ICC/IF Video Protocol

FAQs for MLH3 Antibody (NBP3-43850) (0)

There are no specific FAQs related to this product. Read our general customer & technical service FAQs.

Secondary Antibodies

 

Isotype Controls

Additional MLH3 Products

Research Areas for MLH3 Antibody (NBP3-43850)

Find related products by research area.

Blogs on MLH3

There are no specific blogs for MLH3, but you can read our latest blog posts.

Customers Who Bought This Also Bought

Contact Information

Product PDFs

Calculators

Concentration Calculator

The concentration calculator allows you to quickly calculate the volume, mass or concentration of your vial. Simply enter your mass, volume, or concentration values for your reagent and the calculator will determine the rest.

=
÷

Review this Product

Be the first to review our MLH3 Antibody (CL14096) - Azide and BSA Free and receive a gift card or discount.

Bioinformatics

Gene Symbol MLH3