CROP Antibody - BSA Free

Images

 
Independent Antibodies: Western Blot: CROP Antibody [NBP1-88052] - Analysis using Anti-LUC7L3 antibody NBP1-88052 (A) shows similar pattern to independent antibody NBP1-88053 (B).
Immunohistochemistry-Paraffin: CROP Antibody [NBP1-88052] - Staining of human kidney.
Immunohistochemistry-Paraffin: CROP Antibody [NBP1-88052] - Staining of human lymph node.
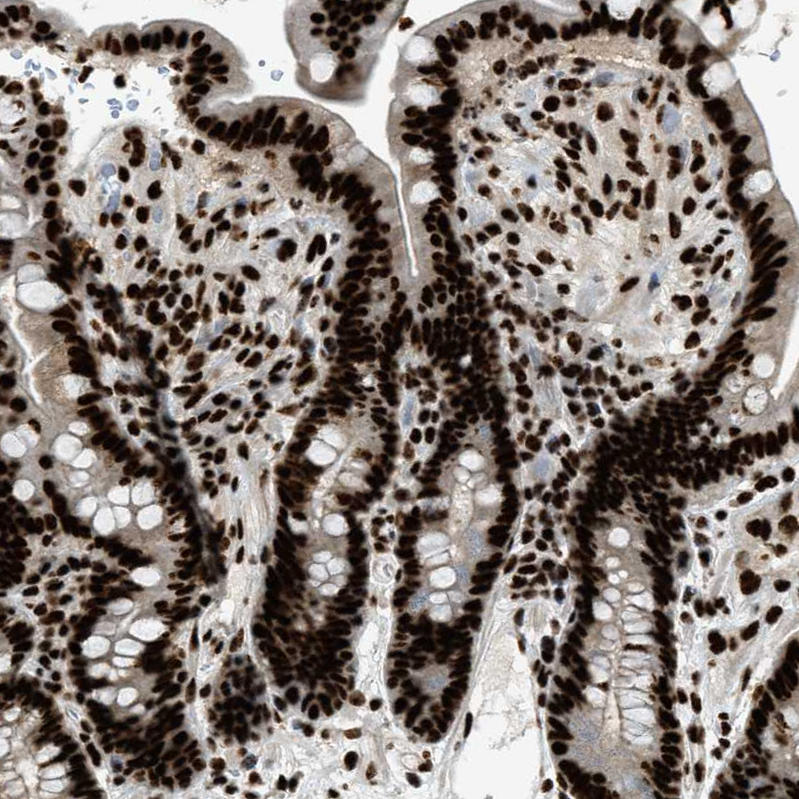
Immunohistochemistry-Paraffin: CROP Antibody [NBP1-88052] - Staining of human colon.
Immunohistochemistry-Paraffin: CROP Antibody [NBP1-88052] - Staining of human cerebral cortex.
Staining of human cerebral cortex shows strong nuclear positivity in neurons.
Independent Antibodies: Staining of human cerebral cortex, gastrointestinal, kidney and lymphoid tissues using Anti-LUC7L3 antibody NBP1-88052 (A) shows similar protein distribution across tissues to independent ...read more
Staining of human lymph node shows strong nuclear positivity in non-germinal center cells.
Staining of human colon shows strong nuclear positivity in glandular cells.
Staining of human kidney shows strong nuclear positivity in cells in tubules and glomeruli.
Lane 1: NIH-3T3 cell lysate (Mouse embryonic fibroblast cells)Lane 2: NBT-II cell lysate (Rat Wistar bladder tumour cells)

Product Details

Summary
Reactivity Hu, Mu, RtSpecies Glossary
Applications WB, IHC
Clonality
Polyclonal
Host
Rabbit
Conjugate
Unconjugated
Format
BSA Free
Validated by:
 

Independent Antibodies

       

Order Details

View Available Formulations
Catalog# & Formulation Size Price

CROP Antibody - BSA Free Summary

Description
Novus Biologicals Rabbit CROP Antibody - BSA Free (NBP1-88052) is a polyclonal antibody validated for use in IHC and WB. All Novus Biologicals antibodies are covered by our 100% guarantee.
Immunogen
This antibody was developed against Recombinant Protein corresponding to amino acids: KQMEVCEVCGAFLIVGDAQSRVDDHLMGKQHMGYAKIKATVEELKEKLRKRTEEPDRDERLKKEKQEREEREKEREREREERER
Isotype
IgG
Clonality
Polyclonal
Host
Rabbit
Gene
LUC7L3
Purity
Immunogen affinity purified
Innovator's Reward
Test in a species/application not listed above to receive a full credit towards a future purchase.

Applications/Dilutions

Dilutions
  • Immunohistochemistry 1:50 - 1:200
  • Immunohistochemistry-Paraffin 1:50 - 1:200
  • Western Blot 0.04-0.4 ug/ml
Application Notes
For IHC-Paraffin, HIER pH 6 retrieval is recommended.
Control Peptide
CROP Protein (NBP1-88052PEP)

Packaging, Storage & Formulations

Storage
Store at 4C short term. Aliquot and store at -20C long term. Avoid freeze-thaw cycles.
Buffer
PBS (pH 7.2) and 40% Glycerol
Preservative
0.02% Sodium Azide
Purity
Immunogen affinity purified

Alternate Names for CROP Antibody - BSA Free

  • cAMP regulatory element-associated protein 1
  • cisplatin resistance associated overexpressed protein
  • cisplatin resistance-associated overexpressed protein
  • Cisplatin resistance-associated-overexpressed protein
  • CREAP1
  • CREAP-1LUC7ACRA
  • CRE-associated protein 1
  • CROPFLJ11063
  • hLuc7A
  • Luc7A
  • LUC7-like 3 (S. cerevisiae)
  • luc7-like protein 3
  • O48
  • OA48-18
  • Okadaic acid-inducible phosphoprotein OA48-18

Limitations

This product is for research use only and is not approved for use in humans or in clinical diagnosis. Primary Antibodies are guaranteed for 1 year from date of receipt.

Customers Who Viewed This Item Also Viewed...

NB100-1481
Species: Hu
Applications: PEP-ELISA, WB
NBP2-29617
Species: Hu
Applications: IHC, IHC-Fr,  IHC-P, WB
AF2338
Species: Hu
Applications: ICC, IP, WB
NB100-1533
Species: Hu, Mu, Po, Rt, Sh
Applications: Flow, ICC/IF, IHC,  IHC-P, PEP-ELISA, WB
DY1707
Species: Hu
Applications: ELISA
DY417
Species: Mu
Applications: ELISA
NBP3-35851
Species: Hu, Mu, Rt
Applications: ELISA, ICC/IF, WB
6507-IL/CF
Species: Hu
Applications: BA
AF5739
Species: Hu, Mu, Rt
Applications: WB
AF009
Species: Hu
Applications: IHC, WB
NB100-56098
Species: Ca, Hu, Mu, Rt
Applications: IHC,  IHC-P, IP, WB
AF1936
Species: Hu
Applications: IP, WB
NBP1-19371
Species: Ca, Hu, Mu, Po, Rb, Rt
Applications: Dual ISH-IHC, Flow, ICC/IF, IHC, IHC-Fr,  IHC-P, Simple Western, WB
NBP1-30320
Species: V-Vi
Applications: WB
H00005555-P01
Species: Hu
Applications: ELISA, AP, PA, PAGE, WB
H00001392-M02
Species: Hu
Applications: ELISA, IHC,  IHC-P, S-ELISA, WB
NBP1-84307
Species: Hu
Applications: ICC/IF, WB
NBP1-83239
Species: Bv, Hu
Applications: IHC,  IHC-P, WB
NBP1-88052
Species: Hu, Mu, Rt
Applications: WB, IHC

Publications for CROP Antibody (NBP1-88052) (0)

There are no publications for CROP Antibody (NBP1-88052).
By submitting your publication information earn gift cards and discounts for future purchases.

Reviews for CROP Antibody (NBP1-88052) (0)

There are no reviews for CROP Antibody (NBP1-88052). By submitting a review you will receive an Amazon e-Gift Card or Novus Product Discount.
  • Review with no image -- $10/€7/£6/$10 CAD/¥70 Yuan/¥1110 Yen
  • Review with an image -- $25/€18/£15/$25 CAD/¥150 Yuan/¥2500 Yen

Product General Protocols

Find general support by application which include: protocols, troubleshooting, illustrated assays, videos and webinars.

Video Protocols

WB Video Protocol

FAQs for CROP Antibody (NBP1-88052) (0)

There are no specific FAQs related to this product. Read our general customer & technical service FAQs.

Secondary Antibodies

 

Isotype Controls

Additional CROP Products

Array NBP1-88052

Research Areas for CROP Antibody (NBP1-88052)

Find related products by research area.

Blogs on CROP

There are no specific blogs for CROP, but you can read our latest blog posts.

Customers Who Bought This Also Bought

Contact Information

Product PDFs

Calculators

Concentration Calculator

The concentration calculator allows you to quickly calculate the volume, mass or concentration of your vial. Simply enter your mass, volume, or concentration values for your reagent and the calculator will determine the rest.

=
÷

Review this Product

Be the first to review our CROP Antibody - BSA Free and receive a gift card or discount.

Bioinformatics

Gene Symbol LUC7L3