midA Antibody - BSA Free

Images

 
Immunohistochemistry-Paraffin: midA Antibody [NBP1-91728] - Staining of human testis shows strong cytoplasmic positivity in cells in seminiferous ducts and Leydig cells.
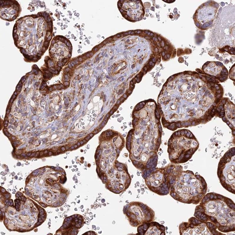
Staining of human placenta shows strong cytoplasmic positivity in trophoblastic cells.
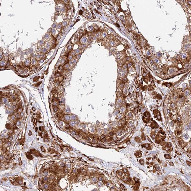
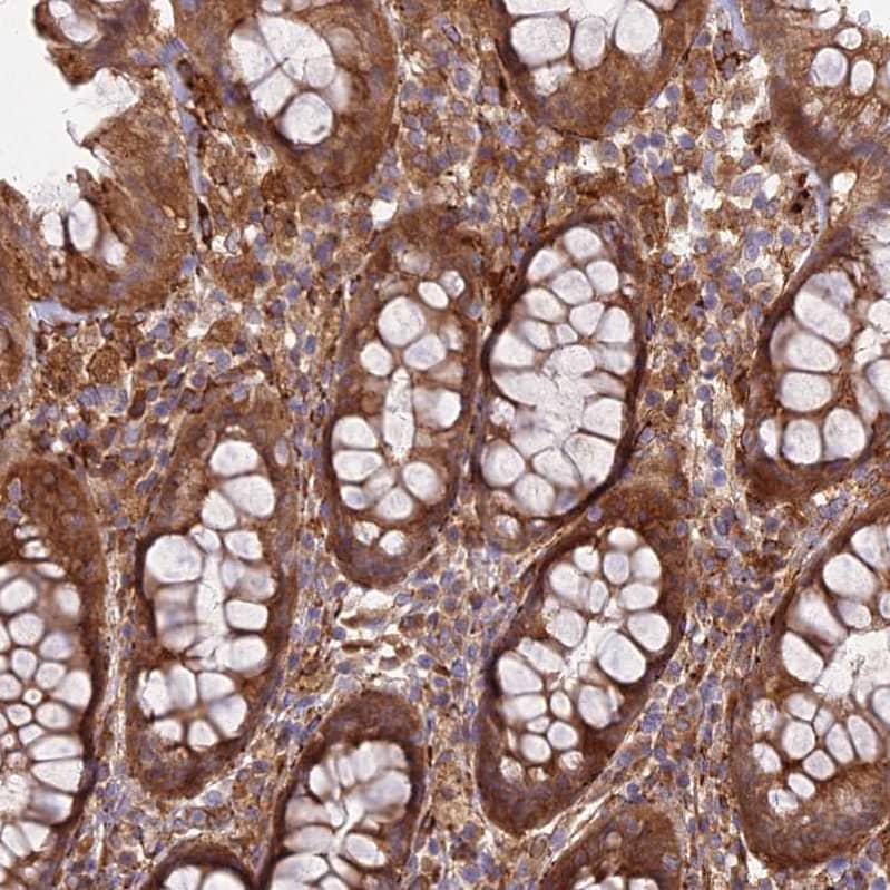
Staining of human rectum shows strong cytoplasmic positivity in glandular cells.
Analysis in control (vector only transfected HEK293T lysate) and NDUFAF7 over-expression lysate (Co-expressed with a C-terminal myc-DDK tag (~3.1 kDa) in mammalian HEK293T cells).
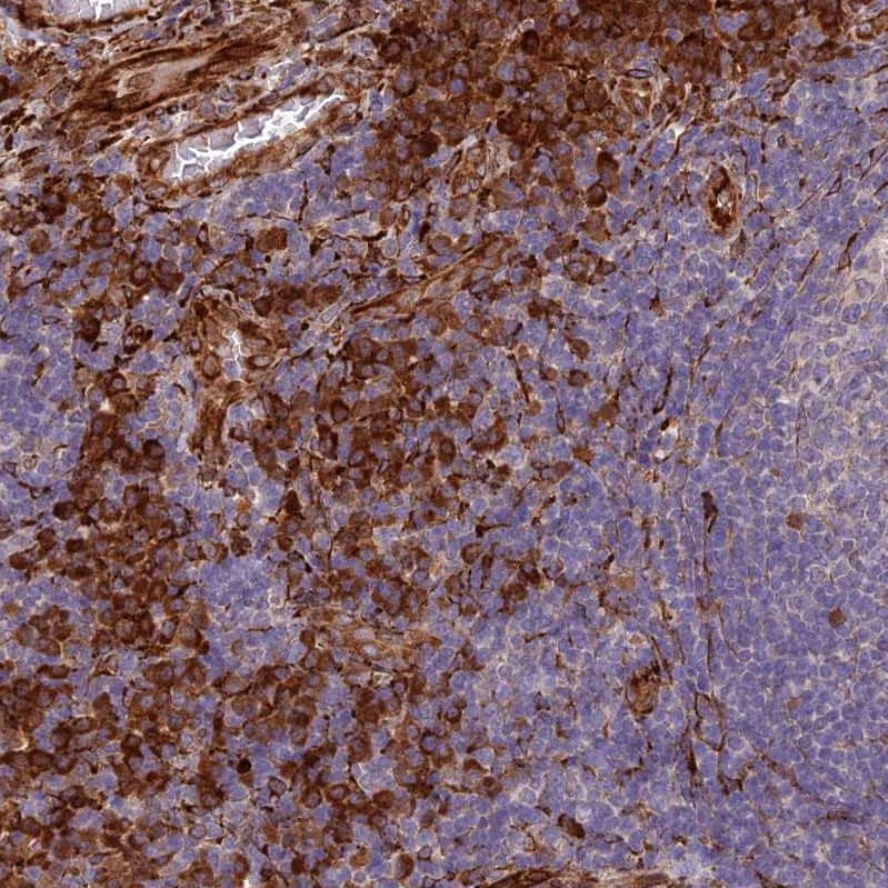
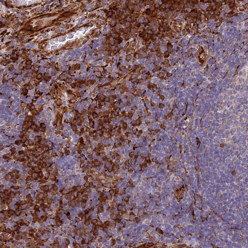
Staining of human tonsil shows strong cytoplasmic positivity in non-germinal center cells.
Staining of human testis shows strong cytoplasmic positivity in cells in seminiferous ducts.

Product Details

Summary
Reactivity HuSpecies Glossary
Applications WB, IHC
Clonality
Polyclonal
Host
Rabbit
Conjugate
Unconjugated
Format
BSA Free

Order Details

View Available Formulations
Catalog# & Formulation Size Price

midA Antibody - BSA Free Summary

Description
Novus Biologicals Rabbit midA Antibody - BSA Free (NBP1-91728) is a polyclonal antibody validated for use in IHC and WB. All Novus Biologicals antibodies are covered by our 100% guarantee.
Immunogen
This antibody was developed against Recombinant Protein corresponding to amino acids: ISVHLVEVSQKLSEIQALTLTKEKVPLERNAGSPVYMKGVTKSGIPISWYRDLHDVPKGYSFYLAHEFFDVLPVHKFQKTPQGWREVFVDIDPQVSD
Isotype
IgG
Clonality
Polyclonal
Host
Rabbit
Gene
NDUFAF7
Purity
Immunogen affinity purified
Innovator's Reward
Test in a species/application not listed above to receive a full credit towards a future purchase.

Applications/Dilutions

Dilutions
  • Immunohistochemistry 1:20 - 1:50
  • Immunohistochemistry-Paraffin 1:20 - 1:50
  • Western Blot 0.04-0.4 ug/ml
Application Notes
For IHC-Paraffin, HIER pH 6 retrieval is recommended.
Control Peptide
midA Protein (NBP1-91728PEP)

Reactivity Notes

Immunogen displays the following percentage of sequence identity for non-tested species: Mouse (87%), Rat (89%)

Packaging, Storage & Formulations

Storage
Store at 4C short term. Aliquot and store at -20C long term. Avoid freeze-thaw cycles.
Buffer
PBS (pH 7.2) and 40% Glycerol
Preservative
0.02% Sodium Azide
Purity
Immunogen affinity purified

Alternate Names for midA Antibody - BSA Free

  • chromosome 2 open reading frame 56
  • MidA
  • mitochondrial
  • PRO1853

Limitations

This product is for research use only and is not approved for use in humans or in clinical diagnosis. Primary Antibodies are guaranteed for 1 year from date of receipt.

Customers Who Viewed This Item Also Viewed...

AF2850
Species: Hu, Mu, Rt
Applications: ICC, IHC, Simple Western, WB
NBP2-22127
Species: Hu, Mu, Pm, Rt
Applications: ELISA, Flow, ICC/IF, IHC,  IHC-P, Simple Western, WB
AF2854
Species: Hu, Mu, Rt
Applications: IHC, WB
NBP1-87511
Species: Hu
Applications: ICC/IF, IHC,  IHC-P, WB
NBP2-47359
Species: Hu
Applications: ICC/IF, IHC,  IHC-P, WB
NBP1-88935
Species: Hu
Applications: ICC/IF, IHC,  IHC-P, WB
NBP1-82787
Species: Hu
Applications: ICC/IF, IHC,  IHC-P, WB
NBP1-26612
Species: Hu
Applications: IP (-), WB
NBP1-89904
Species: Hu
Applications: ICC/IF, IHC,  IHC-P
NBP2-03886
Species: Hu, Mu, Rt
Applications: Flow, IHC,  IHC-P, WB
7570-GH
Species: Hu
Applications: EnzAct
NBP2-93743
Species: Hu, Mu, Rt
Applications: ICC/IF, WB
NBP1-58359
Species: Hu
Applications: IHC,  IHC-P, WB
NBP2-25160
Species: Bv, Ca, Eq, Hu, Mu, Po, Rt
Applications: ICC/IF, IHC, WB
NB600-500
Species: Ec
Applications: ELISA, WB
NBP2-46538
Species: Hu, Mu, Rt
Applications: IHC,  IHC-P, WB
NBP1-89382
Species: Hu, Rt
Applications: IHC,  IHC-P, WB
NBP1-91728
Species: Hu
Applications: WB, IHC

Publications for midA Antibody (NBP1-91728) (0)

There are no publications for midA Antibody (NBP1-91728).
By submitting your publication information earn gift cards and discounts for future purchases.

Reviews for midA Antibody (NBP1-91728) (0)

There are no reviews for midA Antibody (NBP1-91728). By submitting a review you will receive an Amazon e-Gift Card or Novus Product Discount.
  • Review with no image -- $10/€7/£6/$10 CAD/¥70 Yuan/¥1110 Yen
  • Review with an image -- $25/€18/£15/$25 CAD/¥150 Yuan/¥2500 Yen

Product General Protocols

Find general support by application which include: protocols, troubleshooting, illustrated assays, videos and webinars.

Video Protocols

WB Video Protocol

FAQs for midA Antibody (NBP1-91728) (0)

There are no specific FAQs related to this product. Read our general customer & technical service FAQs.

Customers Who Bought This Also Bought

Contact Information

Product PDFs

Calculators

Concentration Calculator

The concentration calculator allows you to quickly calculate the volume, mass or concentration of your vial. Simply enter your mass, volume, or concentration values for your reagent and the calculator will determine the rest.

=
÷

Review this Product

Be the first to review our midA Antibody - BSA Free and receive a gift card or discount.

Bioinformatics

Gene Symbol NDUFAF7