MGC20410 Antibody (PCRP-BATF2-2B9) - Azide and BSA Free

Images

 
Flow cytometric analysis of PFA-fixed HeLa cells. MGC20410 Mouse Monoclonal Antibody (PCRP-BATF2-2B9) followed by goat anti-mouse IgG-CF488 (blue); isotype control (red).
Analysis of Protein Array containing more than 19,000 full-length human proteins using MGC20410 Mouse Monoclonal Antibody (PCRP-BATF2-2B9).
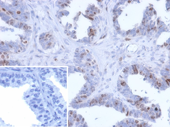
Formalin-fixed, paraffin-embedded human prostate carcinoma stained with MGC20410 antibody (PCRP-BATF2-2B9). Inset: PBS instead of primary antibody; secondary only negative control.

Product Details

Summary
Reactivity HuSpecies Glossary
Applications ELISA, Flow, IHC, IP
Clone
PCRP-BATF2-2B9
Clonality
Monoclonal
Host
Mouse
Conjugate
Unconjugated
Format
Azide and BSA Free
Concentration
1 mg/ml

Order Details

MGC20410 Antibody (PCRP-BATF2-2B9) - Azide and BSA Free Summary

Description
Positive Controls: Human spleen, colon or pancreas.

Antibody with azide - store at 2 to 8C. Antibody without azide - store at -20 to -80C. Non-hazardous. No MSDS required.
Immunogen
Recombinant fragment (around aa5-140) of human MGC20410 (exact sequence is proprietary)
Localization
Nucleus.
Specificity
This antibody recognizes a transcription factor involved in differentiation of CD8+ thymic dendritic cells MGC20410 has been implicated in breast cancer, malignant glioma and metastatis melanoma progression
Isotype
IgG2b Kappa
Clonality
Monoclonal
Host
Mouse
Gene
BATF2
Purity
Protein A or G purified
Innovator's Reward
Test in a species/application not listed above to receive a full credit towards a future purchase.

Applications/Dilutions

Dilutions
  • ELISA
  • Flow Cytometry 1-2 ug/million cells
  • Immunohistochemistry-Paraffin 1-2 ug/ml
  • Immunoprecipitation 1-2 ug per 100-500 ug of protein or 1ml of lysate
Application Notes
ELISA: For coating, order antibody without BSA

Immunohistochemistry (Formalin-fixed): 1-2ug/ml for 30 minutes. at RT. Staining of formalin-fixed tissues requires heating tissue sections in 10mM Tris with 1mM EDTA, pH 9.0, for 45 min at 95C followed by cooling at RT for 20 minutes.

Optimal dilution for a specific application should be determined.

Packaging, Storage & Formulations

Storage
Store at -20 to -70C. Avoid freeze-thaw cycles.
Buffer
10mM PBS
Preservative
No Preservative
Concentration
1 mg/ml
Purity
Protein A or G purified

Alternate Names for MGC20410 Antibody (PCRP-BATF2-2B9) - Azide and BSA Free

  • basic leucine zipper transcription factor, ATF-like 2
  • basic leucine zipper transcriptional factor ATF-like 2
  • B-ATF-2
  • MGC20410
  • SARI
  • suppressor of AP-1 regulated by IFN

Background

BATF2 (Basic leucine zipper transcriptional factor ATF-like 2) is a 274 amino acid member of the AP-1 transcription factor family. It controls the differentiation of lineage-specific cells in the immune system. It participates in differentiating CD8+ thymic conventional dendritic cells and acts by forming a heterodimer with JUN family proteins. They then recognize and bind the DNA sequence 5'-TGA(CG)TCA-3'. It acts as a tumor suppressor by interfering with AP-1 regulated activation of CYR61/CCN1 transcription and its downstream signaling. CYR61/CCN1 signaling induces anchorage-independent growth and invasion in several cancer types, such as breast cancer, malignant glioma and metastatic melanoma.

Limitations

This product is for research use only and is not approved for use in humans or in clinical diagnosis. Primary Antibodies are guaranteed for 1 year from date of receipt.

Customers Who Viewed This Item Also Viewed...

NBP2-67471
Species: Hu, Mu, Rt
Applications: ICC/IF, IHC,  IHC-P, WB
NBP2-38877
Species: Hu
Applications: ICC/IF, IHC,  IHC-P
NBP2-50037
Species: Hu, Mu, Rt
Applications: ICC/IF, IHC, KO, WB
AF2214
Species: Hu
Applications: ICC, IHC, WB
NBP3-16602
Species: Hu, Mu, Rt
Applications: IHC,  IHC-P, IP, WB
NBP1-89544
Species: Hu
Applications: ChIP-EXO-SEQ, ICC/IF, IHC,  IHC-P, WB
NBP2-61931
Species: Hu, Rt
Applications: Flow, ICC/IF, IHC,  IHC-P, WB
NB100-1162
Species: Hu
Applications: IHC,  IHC-P, PEP-ELISA, WB
7268-CT
Species: Hu
Applications: BA
NB100-807
Species: Hu
Applications: ICC/IF, PEP-ELISA, WB
NBP1-68766
Species: Hu, Mu, Rt
Applications: IHC,  IHC-P, PEP-ELISA, WB
NBP1-83976
Species: Hu
Applications: ICC/IF, IHC,  IHC-P
NBP1-88866
Species: Hu
Applications: IHC,  IHC-P
NBP1-57578
Species: Hu
Applications: WB
NBP2-20383
Species: Hu, Mu
Applications: ICC/IF, IHC,  IHC-P, WB
AF5129
Species: Hu
Applications: WB
NBP1-31330
Species: Hu, Pm, Mu, Rt
Applications: ICC/IF, IHC,  IHC-P, IP, WB
NB200-106
Species: Mu, Rt
Applications: ELISA, ICC/IF, IHC, IHC-Fr,  IHC-P, WB
AF4928
Species: Hu
Applications: CyTOF-ready, Flow, WB
NBP3-20913
Species: Hu
Applications: ELISA, Flow, IHC, IP

Publications for MGC20410 Antibody (NBP3-20913) (0)

There are no publications for MGC20410 Antibody (NBP3-20913).
By submitting your publication information earn gift cards and discounts for future purchases.

Reviews for MGC20410 Antibody (NBP3-20913) (0)

There are no reviews for MGC20410 Antibody (NBP3-20913). By submitting a review you will receive an Amazon e-Gift Card or Novus Product Discount.
  • Review with no image -- $10/€7/£6/$10 CAD/¥70 Yuan/¥1110 Yen
  • Review with an image -- $25/€18/£15/$25 CAD/¥150 Yuan/¥2500 Yen

Product General Protocols

Find general support by application which include: protocols, troubleshooting, illustrated assays, videos and webinars.

FAQs for MGC20410 Antibody (NBP3-20913) (0)

There are no specific FAQs related to this product. Read our general customer & technical service FAQs.

Customers Who Bought This Also Bought

Contact Information

Product PDFs

Calculators

Concentration Calculator

The concentration calculator allows you to quickly calculate the volume, mass or concentration of your vial. Simply enter your mass, volume, or concentration values for your reagent and the calculator will determine the rest.

=
÷

Review this Product

Be the first to review our MGC20410 Antibody (PCRP-BATF2-2B9) - Azide and BSA Free and receive a gift card or discount.

Bioinformatics

Gene Symbol BATF2