Metadherin Antibody (OTI1B6) - Azide and BSA Free

Images

 
Western Blot: LYRIC Antibody (OTI1B6) - Azide and BSA Free [NBP2-72552] - Analysis of HEK293T cells were transfected with the pCMV6-ENTRY control (Left lane) or pCMV6-ENTRY LYRIC.
Immunohistochemistry: LYRIC Antibody (OTI1B6) - Azide and BSA Free [NBP2-72552] - Analysis of Carcinoma of Human kidney tissue. (Heat-induced epitope retrieval by 1 mM EDTA in 10mM Tris, pH8.5, 120C for 3min)
Immunohistochemistry: LYRIC Antibody (OTI1B6) - Azide and BSA Free [NBP2-72552] - Analysis of Adenocarcinoma of Human colon tissue. (Heat-induced epitope retrieval by 1 mM EDTA in 10mM Tris, pH8.5, 120C for 3min)
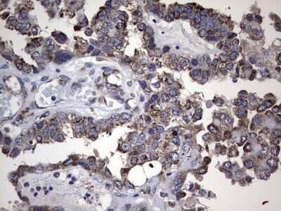
Immunohistochemistry: LYRIC Antibody (OTI1B6) - Azide and BSA Free [NBP2-72552] - Analysis of Adenocarcinoma of Human ovary tissue. (Heat-induced epitope retrieval by 1 mM EDTA in 10mM Tris, pH8.5, 120C for 3min)
Immunohistochemistry: LYRIC Antibody (OTI1B6) - Azide and BSA Free [NBP2-72552] - Analysis of Carcinoma of Human liver tissue.(Heat-induced epitope retrieval by 1 mM EDTA in 10mM Tris, pH8.5, 120C for 3min)

Product Details

Summary
Reactivity Hu, Mu, RtSpecies Glossary
Applications WB, IHC
Clone
OTI1B6
Clonality
Monoclonal
Host
Mouse
Conjugate
Unconjugated
Format
Azide and BSA Free
Concentration
LYOPH

Order Details

Metadherin Antibody (OTI1B6) - Azide and BSA Free Summary

Description
Novus Biologicals Mouse Metadherin Antibody (OTI1B6) - Azide and BSA Free (NBP2-46026) is a monoclonal antibody validated for use in IHC and WB. All Novus Biologicals antibodies are covered by our 100% guarantee.
Immunogen
Human recombinant protein fragment corresponding to amino acids 70-582 of human Metadherin (NP_848927)produced in SF9 cell.
Isotype
IgG1
Clonality
Monoclonal
Host
Mouse
Gene
MTDH
Purity
Immunogen affinity purified
Innovator's Reward
Test in a species/application not listed above to receive a full credit towards a future purchase.

Applications/Dilutions

Dilutions
  • Immunohistochemistry 1:150
  • Immunohistochemistry-Paraffin
  • Western Blot 1:2000
Theoretical MW
63.7 kDa.
Disclaimer note: The observed molecular weight of the protein may vary from the listed predicted molecular weight due to post translational modifications, post translation cleavages, relative charges, and other experimental factors.

Reactivity Notes

Please note that this antibody is reactive to Mouse and derived from the same host, Mouse. Mouse-On-Mouse blocking reagent may be needed for IHC and ICC experiments to reduce high background signal. You can find these reagents under catalog numbers PK-2200-NB and MP-2400-NB. Please contact Technical Support if you have any questions.

Packaging, Storage & Formulations

Storage
Store at -20C. Avoid freeze-thaw cycles.
Buffer
Lyophilized from PBS (pH 7.3) with 8% Trehalose
Preservative
No Preservative
Concentration
LYOPH
Purity
Immunogen affinity purified
Reconstitution Instructions
we recommend adding 100uL distilled water to a final antibody concentration of about 1 mg/mL. To use this carrier-free antibody for conjugation experiment, we strongly recommend performing another round of desalting process.

Alternate Names for Metadherin Antibody (OTI1B6) - Azide and BSA Free

  • 3D3
  • AEG1
  • AEG-13D3/LYRIC
  • AEG1LYRIC/3D3
  • Astrocyte elevated gene-1 protein
  • LYRIC
  • LYRICMetastasis adhesion protein
  • Lysine-rich CEACAM1 co-isolated protein
  • Metadherin
  • MTDH
  • protein LYRIC

Background

LYRIC is a type II membrane protein, the precise role of which has yet to be defined. It is expressed in breast and prostate carcinoma and is a potential mediator of lung metastasis. It has also been found in mouse Purkinje neurons and cerebellum. In epithelial cells it is recruited to tight junctions (TJ) during the maturation of the TJ complexes. LYRIC co-localizes with beta-catenin in normal and tumour tissues.

Limitations

This product is for research use only and is not approved for use in humans or in clinical diagnosis. Primary Antibodies are guaranteed for 1 year from date of receipt.

Customers Who Viewed This Item Also Viewed...

AF887
Species: Hu, Mu, Rt
Applications: CyTOF-ready, IHC, ICFlow, Simple Western, WB
NB100-56583
Species: Hu, Rb, Rt
Applications: Flow, IHC,  IHC-P, KO, Simple Western, WB
NBP1-20136
Species: Hu, Pm, Mu, Rt
Applications: Flow, ICC/IF, IHC,  IHC-P, In vivo, ISH, WB
NB600-302
Species: Bv, Dr, Hu, Mu
Applications: ChIP, ELISA, Flow-IC, Flow, IB, ICC/IF, IHC, IHC-Fr,  IHC-P, IP, PLA, S-ELISA, Simple Western, WB
NBP2-19804
Species: Hu, Mu
Applications: ICC/IF, IHC,  IHC-P, WB
NBP2-15071
Species: Hu, Mu, Rt
Applications: ICC/IF, IHC,  IHC-P, KO, WB
NBP2-46404
Species: Hu, Mu, Rt
Applications: IHC,  IHC-P
NBP2-29463
Species: Pm, Hu, Pm, Mu
Applications: Flow, ICC/IF, IHC,  IHC-P, WB
DMP900
Species: Hu
Applications: ELISA
NB200-103
Species: Hu, Mu, Rt, Xp(-), Ye
Applications: CyTOF-ready, ELISA, Flow-IC, Flow, ICC/IF, IHC, IHC-Fr,  IHC-P, IP, WB
NBP2-94469
Species: Hu, Mu, Rt
Applications: ICC/IF, IHC,  IHC-P, IP, KO, WB
NBP1-85047
Species: Hu, Mu, Po, Rt
Applications: ICC/IF, IHC,  IHC-P, Simple Western, WB
NB100-56566
Species: Bv, Hu, Ma, Mu, Po, Rt
Applications: B/N, ChIP, CyTOF-ready, DB, Dual ISH-IHC, ELISA(Cap), ELISA, Flow-CS, Flow-IC, Flow, ICC/IF, IHC, IHC-Fr,  IHC-P, In vitro, KD, KO, PAGE, Simple Western, WB
MAB22441
Species: Hu
Applications: ELISA(Cap), ELISA(Det), ELISA(Sta), IHC, WB

Publications for Metadherin Antibody (NBP2-72552) (0)

There are no publications for Metadherin Antibody (NBP2-72552).
By submitting your publication information earn gift cards and discounts for future purchases.

Reviews for Metadherin Antibody (NBP2-72552) (0)

There are no reviews for Metadherin Antibody (NBP2-72552). By submitting a review you will receive an Amazon e-Gift Card or Novus Product Discount.
  • Review with no image -- $10/€7/£6/$10 CAD/¥70 Yuan/¥1110 Yen
  • Review with an image -- $25/€18/£15/$25 CAD/¥150 Yuan/¥2500 Yen

Product General Protocols

Find general support by application which include: protocols, troubleshooting, illustrated assays, videos and webinars.

Video Protocols

WB Video Protocol

FAQs for Metadherin Antibody (NBP2-72552) (0)

There are no specific FAQs related to this product. Read our general customer & technical service FAQs.

Customers Who Bought This Also Bought

Contact Information

Product PDFs

Calculators

Concentration Calculator

The concentration calculator allows you to quickly calculate the volume, mass or concentration of your vial. Simply enter your mass, volume, or concentration values for your reagent and the calculator will determine the rest.

=
÷

Review this Product

Be the first to review our Metadherin Antibody (OTI1B6) - Azide and BSA Free and receive a gift card or discount.

Bioinformatics

Gene Symbol MTDH