MCM3 Antibody (MCM3/3221) - Azide and BSA Free

Images

 
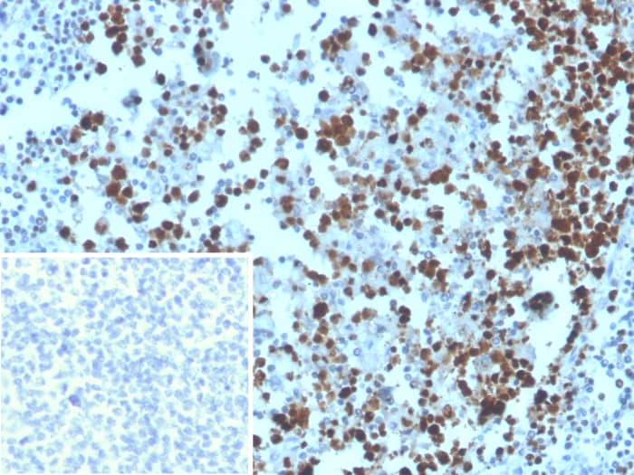
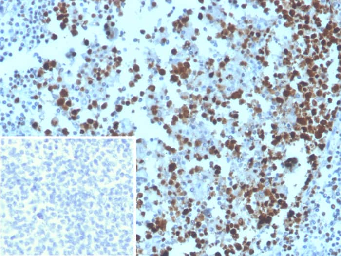
Formalin-fixed, paraffin-embedded human tonsil stained with MCM3 antibody (MCM3/3221) - Azide and BSA Free. Inset: PBS instead of primary antibody, secondary only control.
Formalin-fixed, paraffin-embedded human colon carcinoma stained with MCM3 antibody (MCM3/3221) - Azide and BSA Free. HIER: Tris/EDTA, pH9.0, 45min. Secondary: HRP-polymer, 30min. DAB, 5min.
Analysis of Protein Array containing more than 19,000 full-length human proteins using MCM3 antibody (MCM3/3221) - Azide and BSA Free

Product Details

Summary
Reactivity HuSpecies Glossary
Applications IHC
Clone
MCM3/3221
Clonality
Monoclonal
Host
Mouse
Conjugate
Unconjugated
Format
Azide and BSA Free
Concentration
1 mg/ml

Order Details

MCM3 Antibody (MCM3/3221) - Azide and BSA Free Summary

Description
Antibody without azide - store at -20 to -80C.
Immunogen
Recombinant fragment (aa 650-750) of human MCM3 protein (exact sequence is proprietary)
Localization
Nucleus.
Marker
Proliferation Marker
Isotype
IgG1 Kappa
Clonality
Monoclonal
Host
Mouse
Gene
MCM3
Purity
Protein A or G purified
Innovator's Reward
Test in a species/application not listed above to receive a full credit towards a future purchase.

Applications/Dilutions

Dilutions
  • Immunohistochemistry-Paraffin 1-2ug/ml
Application Notes
Immunohistochemistry-Paraffin: 1-2ug/ml for 30 minutes at RT. Staining of formalin-fixed tissues requires heating tissue sections in 10mM Tris with 1mM EDTA, pH 9.0, for 45 min at 95C followed by cooling at RT for 20 minutes. Optimal dilution for a specific application should be determined.

Packaging, Storage & Formulations

Storage
Store at -20 to -80C. Avoid freeze-thaw cycles.
Buffer
10mM PBS
Preservative
No Preservative
Concentration
1 mg/ml
Purity
Protein A or G purified

Alternate Names for MCM3 Antibody (MCM3/3221) - Azide and BSA Free

  • cervical cancer proto-oncogene 5
  • DNA polymerase alpha holoenzyme-associated protein P1
  • DNA replication factor MCM3
  • DNA replication licensing factor MCM3
  • EC 3.6.4.12
  • HCC5
  • hRlf beta subunit
  • MCM3 minichromosome maintenance deficient 3 (S. cerevisiae)
  • MCM3 minichromosome maintenance deficient 3
  • MGC1157
  • minichromosome maintenance complex component 3
  • minichromosome maintenance deficient (S. cerevisiae) 3
  • minichromosome maintenance deficient 3
  • P1.h
  • p102
  • P1-MCM3
  • replication licensing factor, beta subunit
  • RLF subunit beta
  • RLFB

Background

MCM3 is encoded by this gene is one of the highly conserved mini-chromosome maintenance proteins (MCM) that are involved in the initiation of eukaryotic genome replication. The hexameric protein complex formed by MCM proteins is a key component of the pre-replication complex (pre_RC) and may be involved in the formation of replication forks and in the recruitment of other DNA replication related proteins. This protein is a subunit of the protein complex that consists of MCM2-7. It has been shown to interact directly with MCM5/CDC46. This protein also interacts with, and thus is acetlyated by MCM3AP, a chromatin-associated acetyltransferase. The acetylation of this protein inhibits the initiation of DNA replication and cell cycle progression.

Limitations

This product is for research use only and is not approved for use in humans or in clinical diagnosis. Primary Antibodies are guaranteed for 1 year from date of receipt.

Customers Who Viewed This Item Also Viewed...

H00004176-M01
Species: Hu
Applications: ELISA, ICC/IF, IHC,  IHC-P, PLA, WB
NBP2-19804
Species: Hu, Mu
Applications: ICC/IF, IHC,  IHC-P, WB
NB100-288
Species: Hu, Mu
Applications: IHC,  IHC-P, IP, WB
NBP1-33105
Species: Hu, Mu
Applications: ChIP, ICC/IF, IHC,  IHC-P, IP, WB
NB100-79778
Species: Hu, Mu
Applications: ICC/IF, IHC,  IHC-P, IP, WB
NBP1-82642
Species: Hu, Mu, Rt
Applications: CHIP-SEQ, ICC/IF, IHC,  IHC-P, KD, WB
NBP3-46263
Species: Hu, Mu, Rt
Applications: ELISA, ICC/IF, IHC, IP, WB
NBP2-15837
Species: Hu, Mu, Rt
Applications: ICC/IF, IHC,  IHC-P, WB
NB500-106
Species: Ch, Dr, Fi, Hu, Mar, Mu, Po, Pm, Rb, Rt, Ye, Ze
Applications: ChIP, ChIP, ELISA, Flow, ICC/IF, IHC-FrFl, IHC, IHC-Fr,  IHC-P, IP, Simple Western, WB
NBP2-29463
Species: Pm, Hu, Pm, Mu
Applications: Flow, ICC/IF, IHC,  IHC-P, WB
NBP3-47902
Species: Hu, Mu, Rt
Applications: ELISA, IHC, WB
NBP2-30949
Species: Hu
Applications: IHC,  IHC-P
NBP1-97512
Species: Mu
Applications: ICC/IF, IHC, IHC-Fr,  IHC-P, IP, WB
NBP2-44520
Species: Ca(-), Hu, Rt(-)
Applications: Flow-IC, Flow, ICC/IF, IF, IHC,  IHC-P, MI, WB
NBP1-81293
Species: Hu
Applications: ICC/IF, IHC,  IHC-P, KD, WB
NBP1-62583
Species: Hu
Applications: WB
NB100-74635
Species: Hu
Applications: IHC,  IHC-P, IP, WB (-)
NBP3-45326
Species: Hu, Mu, Rt
Applications: ELISA, IHC, WB
H00004999-M01
Species: Hu
Applications: ELISA, IHC,  IHC-P, S-ELISA, WB
NBP3-24055
Species: Hu
Applications: IHC

Publications for MCM3 Antibody (NBP3-24055) (0)

There are no publications for MCM3 Antibody (NBP3-24055).
By submitting your publication information earn gift cards and discounts for future purchases.

Reviews for MCM3 Antibody (NBP3-24055) (0)

There are no reviews for MCM3 Antibody (NBP3-24055). By submitting a review you will receive an Amazon e-Gift Card or Novus Product Discount.
  • Review with no image -- $10/€7/£6/$10 CAD/¥70 Yuan/¥1110 Yen
  • Review with an image -- $25/€18/£15/$25 CAD/¥150 Yuan/¥2500 Yen

Product General Protocols

Find general support by application which include: protocols, troubleshooting, illustrated assays, videos and webinars.

FAQs for MCM3 Antibody (NBP3-24055) (0)

There are no specific FAQs related to this product. Read our general customer & technical service FAQs.

Customers Who Bought This Also Bought

Contact Information

Product PDFs

Calculators

Concentration Calculator

The concentration calculator allows you to quickly calculate the volume, mass or concentration of your vial. Simply enter your mass, volume, or concentration values for your reagent and the calculator will determine the rest.

=
÷

Review this Product

Be the first to review our MCM3 Antibody (MCM3/3221) - Azide and BSA Free and receive a gift card or discount.

Bioinformatics

Gene Symbol MCM3