MARK2 Antibody (JE40-97)

Images

 
Western Blot: MARK2 Antibody (JE40-97) [NBP2-75566] - Analysis of MARK2 on MCF-7 (1) and SK-Br-3 (2) cell lysate using anti-MARK2 antibody at 1/2,000 dilution.
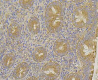
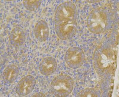
Immunohistochemistry-Paraffin: MARK2 Antibody (JE40-97) [NBP2-75566] - Analysis of paraffin-embedded human appendix tissue using anti-MARK2 antibody. Counter stained with hematoxylin.
Flow Cytometry: MARK2 Antibody (JE40-97) [NBP2-75566] - Analysis of MCF-7 cells with MARK2 antibody at 1/100 dilution (purple) compared with an unlabelled control (cells without incubation with primary antibody; ...read more

Product Details

Summary
Product Discontinued
View other related MARK2 Primary Antibodies

Order Details


    • Catalog Number
      NBP2-75566
    • Availability
      Product Discontinued

    Can't find what you are looking for? Use our Antibody Concierge Service & we will help you locate your antibody!

    Or feel free to contact us for alternative products.

MARK2 Antibody (JE40-97) Summary

Additional Information
Recombinant Monoclonal Antibody.
Immunogen
Recombinant protein within Human MARK2 aa 661-789 / 789. (SwissProt: Q7KZI7 Human)
Localization
Cell membrane. Cytoplasm. Cytoskeleton.
Isotype
IgG
Clonality
Monoclonal
Host
Rabbit
Gene
MARK2
Purity
Protein A purified
Innovator's Reward
Test in a species/application not listed above to receive a full credit towards a future purchase.

Applications/Dilutions

Dilutions
  • Flow Cytometry 1:50-1:100
  • Immunohistochemistry
  • Immunohistochemistry-Paraffin 1:50-1:200
  • Western Blot 1:500-1:2000
Theoretical MW
88 kDa.
Disclaimer note: The observed molecular weight of the protein may vary from the listed predicted molecular weight due to post translational modifications, post translation cleavages, relative charges, and other experimental factors.

Packaging, Storage & Formulations

Storage
Store at 4C short term. Aliquot and store at -20C long term. Avoid freeze-thaw cycles.
Buffer
TBS (pH7.4), 0.05% BSA, 40% Glycerol
Preservative
0.05% Sodium Azide
Concentration
1 mg/ml
Purity
Protein A purified

Alternate Names for MARK2 Antibody (JE40-97)

  • EC 2.7.11
  • EC 2.7.11.1
  • ELKL motif kinase 1
  • ELKL motif kinase
  • EMK-1
  • EMK1PAR-1
  • MAP/microtubule affinity-regulating kinase 2MGC99619
  • PAR1 homolog
  • Par1b
  • Ser/Thr protein kinase PAR-1B
  • serine/threonine protein kinase EMK
  • serine/threonine-protein kinase MARK2

Background

EMK (ELKL Motif Kinase) is a small family of ser/thr protein kinases involved in the control of cell polarity, microtubule stability and cancer. Several cDNA clones have been isolated that encoded two isoforms of the human ser/thr protein kinase EMK1. These isoforms were characterized by the presence of a 162-bp alternative exon that gave rise to two forms, one containing the exon and the other one lacking it. Both forms were found to be coexpressed in a number of selected cell lines and tissue samples. The human EMK1 was shown to be encoded by a single mRNA ubiquitously expressed. [provided by RefSeq]

Limitations

This product is for research use only and is not approved for use in humans or in clinical diagnosis. Primary Antibodies are guaranteed for 1 year from date of receipt.

Customers Who Viewed This Item Also Viewed...

PP-H4417-00
Species: Hu
Applications: DirELISA, IP, WB
NBP1-81746
Species: Hu
Applications: ICC/IF, IHC,  IHC-P, WB
NLS261
Species: Hu
Applications: ICC, IHC,  IHC-P, WB (-)
NBP1-87338
Species: Hu, Mu, Rt
Applications: ICC/IF, IHC,  IHC-P, WB
NBP1-71770
Species: Hu, Mu
Applications: ELISA, ICC/IF, IF, IHC, IHC-Fr,  IHC-P, WB
NBP1-33409
Species: Hu
Applications: ICC/IF, WB
AF2245
Species: Hu
Applications: CyTOF-ready, Flow, IHC, WB
AF1230
Species: Hu, Mu, Rt
Applications: IHC, KO, WB
DYC1825-2
Species: Hu, Mu, Rt
Applications: ELISA
M6000B
Species: Mu
Applications: ELISA
NBP2-67702
Species: Hu, Mu, Rt
Applications: ICC/IF, IHC, IHC-Fr,  IHC-P, WB
H00005555-P01
Species: Hu
Applications: ELISA, AP, PA, PAGE, WB
DCDL40
Species: Hu
Applications: ELISA
2914-HT
Species: Hu
Applications: BA

Publications for MARK2 Antibody (NBP2-75566) (0)

There are no publications for MARK2 Antibody (NBP2-75566).
By submitting your publication information earn gift cards and discounts for future purchases.

Reviews for MARK2 Antibody (NBP2-75566) (0)

There are no reviews for MARK2 Antibody (NBP2-75566). By submitting a review you will receive an Amazon e-Gift Card or Novus Product Discount.
  • Review with no image -- $10/€7/£6/$10 CAD/¥70 Yuan/¥1110 Yen
  • Review with an image -- $25/€18/£15/$25 CAD/¥150 Yuan/¥2500 Yen

Product General Protocols

Find general support by application which include: protocols, troubleshooting, illustrated assays, videos and webinars.

Video Protocols

WB Video Protocol

FAQs for MARK2 Antibody (NBP2-75566) (0)

There are no specific FAQs related to this product. Read our general customer & technical service FAQs.

Secondary Antibodies

 

Isotype Controls

Additional MARK2 Products

Research Areas for MARK2 Antibody (NBP2-75566)

Find related products by research area.

Blogs on MARK2

There are no specific blogs for MARK2, but you can read our latest blog posts.

Contact Information

Product PDFs

Calculators

Concentration Calculator

The concentration calculator allows you to quickly calculate the volume, mass or concentration of your vial. Simply enter your mass, volume, or concentration values for your reagent and the calculator will determine the rest.

=
÷

Review this Product

Be the first to review our MARK2 Antibody (JE40-97) and receive a gift card or discount.

Bioinformatics

Gene Symbol MARK2