Ly6K Antibody (CL2433) - Azide and BSA Free

Images

 
Lane 1: Marker [kDa]Lane 2: Human testis tissue lysate
Staining of human liver shows absence of immunoreactivity (negative control).
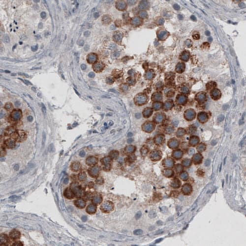
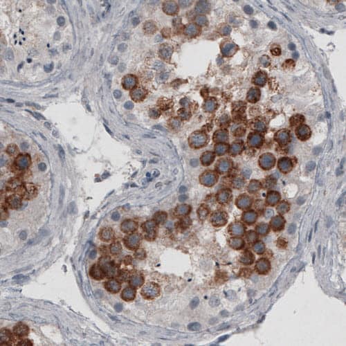
Staining of human testis shows strong cytoplasmic immunoreactivity in a subset of cells in seminiferous tubules.

Product Details

Summary
Reactivity HuSpecies Glossary
Applications WB, IHC
Clone
CL2433
Clonality
Monoclonal
Host
Mouse
Conjugate
Unconjugated
Format
Azide and BSA Free
Concentration
LYOPH

Order Details

Ly6K Antibody (CL2433) - Azide and BSA Free Summary

Description
Novus Biologicals Mouse Ly6K Antibody (CL2433) - Azide and BSA Free (NBP2-36763) is a monoclonal antibody validated for use in IHC and WB. All Novus Biologicals antibodies are covered by our 100% guarantee.
Immunogen
This antibody was generated using a recombinant protein sequence of Q17RY6, with the exact immunogen sequence remaining proprietary.
Isotype
IgG1
Clonality
Monoclonal
Host
Mouse
Gene
LY6K
Purity
Protein A purified
Innovator's Reward
Test in a species/application not listed above to receive a full credit towards a future purchase.

Applications/Dilutions

Dilutions
  • Immunohistochemistry-Paraffin 1:200 - 1:500
  • Western Blot 1 ug/ml
Application Notes
For IHC-Paraffin, HIER pH 6 retrieval is recommended.

Packaging, Storage & Formulations

Storage
Store at 4C short term. Aliquot and store at -20C long term. Avoid freeze-thaw cycles.
Buffer
Lyophilized from a 0.2 um filtered solution in PBS with Trehalose
Preservative
No Preservative
Concentration
LYOPH
Purity
Protein A purified
Reconstitution Instructions
Centrifuge the vial of lyophilized antibody at 12,000 x g for 20 seconds. Reconstitute by adding sterile, distilled water to achieve a final antibody concentration of 1mg/ml.

Alternate Names for Ly6K Antibody (CL2433) - Azide and BSA Free

  • cancer/testis antigen 97
  • CO16
  • CT97
  • FLJ35226
  • HSJ001348
  • Ly6K
  • ly-6K
  • lymphocyte antigen 6 complex, locus K
  • lymphocyte antigen 6K

Background

Ly-6K may play a role in cell growth

Limitations

This product is for research use only and is not approved for use in humans or in clinical diagnosis. Primary Antibodies are guaranteed for 1 year from date of receipt.

Customers Who Viewed This Item Also Viewed...

MAB6028
Species: Hu
Applications: WB
NBP1-87512
Species: Hu
Applications: IHC,  IHC-P
NBP1-84339
Species: Hu
Applications: IHC,  IHC-P, WB
NBP2-59475
Species: Hu
Applications: ELISA, ICC/IF, WB
NBP2-92630
Species: Hu, Mu, Rt
Applications: ELISA, ICC/IF, IHC,  IHC-P, WB
NBP1-84357
Species: Hu
Applications: IHC,  IHC-P, WB
AF2780
Species: Hu
Applications: ELISA(Cap), ELISA(Det), ELISA(Sta), IHC, WB
AF7028
Species: Mu, Rt
Applications: ICC, WB
NB100-64775
Species: Hu
Applications: CyTOF-ready, ELISA, Flow, Func, IHC, IHC-Fr, IHC-P (-), IP
NBP1-90095
Species: Hu
Applications: IHC,  IHC-P
H00008000-M03
Species: Hu
Applications: ELISA, PA, WB
AF467
Species: Hu, Mu
Applications: CyTOF-ready, Flow, ICC, IHC, Simple Western, WB
NBP1-26612
Species: Hu
Applications: IP (-), WB
AF5415
Species: Hu
Applications: ICC, IHC, Simple Western, WB
NBP2-02541
Species: Hu, Pm, Mu, Pm, Rt
Applications: ICC/IF, IHC,  IHC-P, WB
NBP1-89284
Species: Hu, Po
Applications: ICC/IF, IHC,  IHC-P, KD, WB

Publications for Ly6K Antibody (NBP3-44484) (0)

There are no publications for Ly6K Antibody (NBP3-44484).
By submitting your publication information earn gift cards and discounts for future purchases.

Reviews for Ly6K Antibody (NBP3-44484) (0)

There are no reviews for Ly6K Antibody (NBP3-44484). By submitting a review you will receive an Amazon e-Gift Card or Novus Product Discount.
  • Review with no image -- $10/€7/£6/$10 CAD/¥70 Yuan/¥1110 Yen
  • Review with an image -- $25/€18/£15/$25 CAD/¥150 Yuan/¥2500 Yen

Product General Protocols

Find general support by application which include: protocols, troubleshooting, illustrated assays, videos and webinars.

Video Protocols

WB Video Protocol

FAQs for Ly6K Antibody (NBP3-44484) (0)

There are no specific FAQs related to this product. Read our general customer & technical service FAQs.

Customers Who Bought This Also Bought

Contact Information

Product PDFs

Calculators

Concentration Calculator

The concentration calculator allows you to quickly calculate the volume, mass or concentration of your vial. Simply enter your mass, volume, or concentration values for your reagent and the calculator will determine the rest.

=
÷

Review this Product

Be the first to review our Ly6K Antibody (CL2433) - Azide and BSA Free and receive a gift card or discount.

Bioinformatics

Gene Symbol LY6K