LUZP4 Antibody - BSA Free

Images

 
Immunohistochemistry-Paraffin: LUZP4 Antibody [NBP1-94093] - Staining of human colon shows no positivity in glandular cells as expected.
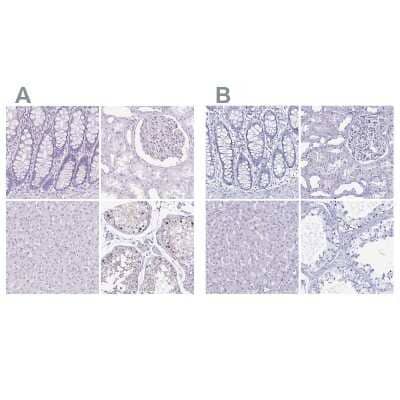
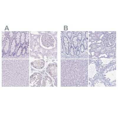
Independent Antibodies: Immunohistochemistry-Paraffin: LUZP4 Antibody [NBP1-94093] - Staining of human colon, kidney, liver and testis using Anti-LUZP4 antibody NBP1-94093 (A) shows similar protein distribution ...read more
Orthogonal Strategies: Immunohistochemistry-Paraffin: LUZP4 Antibody [NBP1-94093] - Analysis in human testis and liver tissues. Corresponding LUZP4 RNA-seq data are presented for the same tissues.
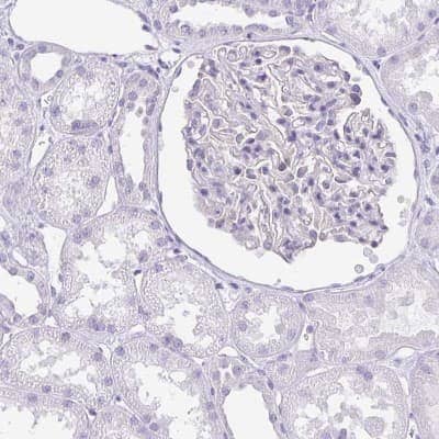
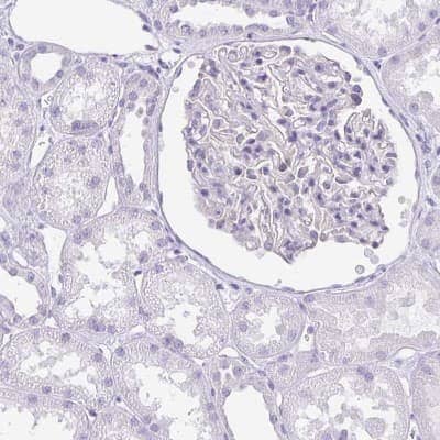
Immunohistochemistry-Paraffin: LUZP4 Antibody [NBP1-94093] - Staining of human kidney shows no positivity in cells in tubules as expected.
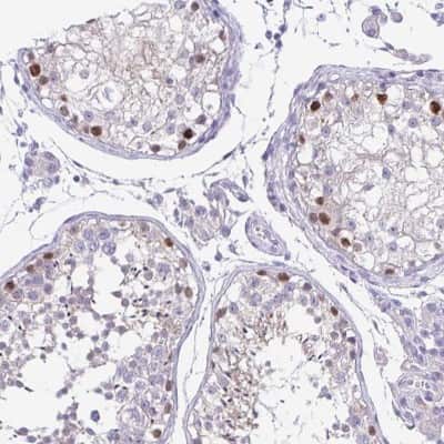
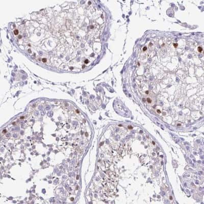
Immunohistochemistry-Paraffin: LUZP4 Antibody [NBP1-94093] - Staining of human testis shows moderate nuclear positivity in cells in seminiferous ducts.
Immunohistochemistry-Paraffin: LUZP4 Antibody [NBP1-94093] - Staining of human liver shows no positivity in hepatocytes as expected.

Product Details

Summary
Reactivity HuSpecies Glossary
Applications IHC
Clonality
Polyclonal
Host
Rabbit
Conjugate
Unconjugated
Format
BSA Free

Order Details

View Available Formulations
Catalog# & Formulation Size Price

LUZP4 Antibody - BSA Free Summary

Description
Novus Biologicals Rabbit LUZP4 Antibody - BSA Free (NBP1-94093) is a polyclonal antibody validated for use in IHC. All Novus Biologicals antibodies are covered by our 100% guarantee.
Immunogen
This antibody was developed against Recombinant Protein corresponding to amino acids: SERSHGHSERSHGHSERSHGHSKRSRSQGDLVDTQSDLIATQRDLIATQKDLIATQRDLIATQRDLIVTQRDLVATERDLINQSGRSHGQSERHQRYSTGK
Isotype
IgG
Clonality
Polyclonal
Host
Rabbit
Gene
LUZP4
Purity
Immunogen affinity purified
Innovator's Reward
Test in a species/application not listed above to receive a full credit towards a future purchase.

Applications/Dilutions

Dilutions
  • Immunohistochemistry 1:200 - 1:500
  • Immunohistochemistry-Paraffin 1:200 - 1:500
Application Notes
For IHC-Paraffin, HIER pH 6 retrieval is recommended.
Control Peptide
LUZP4 Protein (NBP1-94093PEP)

Packaging, Storage & Formulations

Storage
Store at 4C short term. Aliquot and store at -20C long term. Avoid freeze-thaw cycles.
Buffer
PBS (pH 7.2) and 40% Glycerol
Preservative
0.02% Sodium Azide
Purity
Immunogen affinity purified

Alternate Names for LUZP4 Antibody - BSA Free

  • leucine zipper protein 4

Limitations

This product is for research use only and is not approved for use in humans or in clinical diagnosis. Primary Antibodies are guaranteed for 1 year from date of receipt.

Customers Who Viewed This Item Also Viewed...

NB300-229
Species: Ch, Hu(-), Ma, Pm, Mu, Pa, Rt
Applications: ChIP, ChIP, ICC/IF, IHC, IHC-Fr,  IHC-P, IP, Simple Western, WB
NBP1-47714
Species: Hu
Applications: Flow, ICC/IF, IHC,  IHC-P, WB
H00006757-M01
Species: Hu
Applications: ELISA, IHC,  IHC-P, WB
NBP3-20167
Species: Hu
Applications: ELISA, Flow, ICC/IF, IHC, IP, WB
NB200-109
Species: Hu, Mu
Applications: ChIP, ChIP, CyTOF-ready, Flow, GS, ICC/IF, IP, WB
NB100-68160
Species: Hu, Mu
Applications: IHC,  IHC-P, PEP-ELISA, WB
NB300-560
Species: Av, Bv, Ma, Hu, Mu, Pm, Rt
Applications: IF, IHC, IHC-Fr,  IHC-P, WB
NBP3-46274
Species: Hu
Applications: ELISA, IHC, WB
NBP2-41318
Species: Hu, Mu, Rt
Applications: ELISA, ICC/IF, IHC,  IHC-P, WB
NBP1-86595
Species: Hu
Applications: IHC,  IHC-P, WB
NB200-179
Species: Hu, Mu, Rt
Applications: ICC/IF, IHC, IHC-Fr,  IHC-P, KD, Simple Western, WB
NBP1-85397
Species: Hu
Applications: IHC,  IHC-P, WB
NBP2-49659
Species: Hu
Applications: IHC,  IHC-P
NBP1-89173
Species: Hu
Applications: IHC,  IHC-P
H00055835-M02
Species: Hu
Applications: ELISA, IP, S-ELISA, WB
NBP3-42950
Species: Hu
Applications: ELISA, ICC/IF, IHC, WB
NB110-40662
Species: Ca, Hu, Mu, Rt
Applications: PEP-ELISA
NBP1-94093
Species: Hu
Applications: IHC

Publications for LUZP4 Antibody (NBP1-94093) (0)

There are no publications for LUZP4 Antibody (NBP1-94093).
By submitting your publication information earn gift cards and discounts for future purchases.

Reviews for LUZP4 Antibody (NBP1-94093) (0)

There are no reviews for LUZP4 Antibody (NBP1-94093). By submitting a review you will receive an Amazon e-Gift Card or Novus Product Discount.
  • Review with no image -- $10/€7/£6/$10 CAD/¥70 Yuan/¥1110 Yen
  • Review with an image -- $25/€18/£15/$25 CAD/¥150 Yuan/¥2500 Yen

Product General Protocols

Find general support by application which include: protocols, troubleshooting, illustrated assays, videos and webinars.

FAQs for LUZP4 Antibody (NBP1-94093) (0)

There are no specific FAQs related to this product. Read our general customer & technical service FAQs.

Customers Who Bought This Also Bought

Contact Information

Product PDFs

Calculators

Concentration Calculator

The concentration calculator allows you to quickly calculate the volume, mass or concentration of your vial. Simply enter your mass, volume, or concentration values for your reagent and the calculator will determine the rest.

=
÷

Review this Product

Be the first to review our LUZP4 Antibody - BSA Free and receive a gift card or discount.

Bioinformatics

Gene Symbol LUZP4