LRRC67 Antibody

Images

 
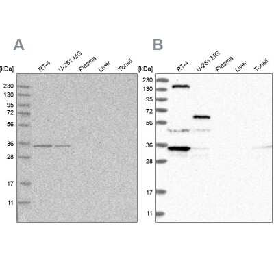
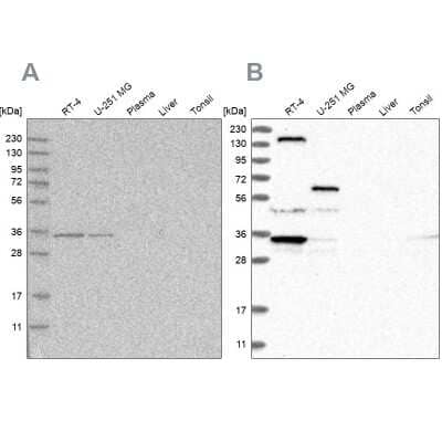
Independent Antibodies: Western Blot: LRRC67 Antibody [NBP1-84048] - Analysis using Anti-PPP1R42 antibody NBP1-84048 (A) shows similar pattern to independent antibody NBP1-84047 (B).
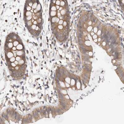
Immunohistochemistry-Paraffin: LRRC67 Antibody [NBP1-84048] - Staining of human colon shows moderate cytoplasmic positivity in glandular cells.

Product Details

Summary
Product Discontinued
View other related LRRC67 Primary Antibodies
Validated by:
 

Independent Antibodies

       

Order Details


    • Catalog Number
      NBP1-84048
    • Availability
      Product Discontinued

    Can't find what you are looking for? Use our Antibody Concierge Service & we will help you locate your antibody!

    Or feel free to contact us for alternative products.

LRRC67 Antibody Summary

Immunogen
This antibody was developed against Recombinant Protein corresponding to amino acids: LTHLYLQNNCISCIENLRSLKKLEKLYLGGNYIAVIEGLEGLGELRELHVENQRLPLGEKLLFDPRTL
Predicted Species
Mouse (96%), Rat (94%). Backed by our 100% Guarantee.
Isotype
IgG
Clonality
Polyclonal
Host
Rabbit
Gene
PPP1R42
Purity
Immunogen affinity purified
Innovator's Reward
Test in a species/application not listed above to receive a full credit towards a future purchase.

Applications/Dilutions

Dilutions
  • Immunohistochemistry 1:20 - 1:50
  • Immunohistochemistry-Paraffin 1:20 - 1:50
  • Western Blot 0.04-0.4 ug/ml
Application Notes
For IHC-Paraffin, HIER pH 6 retrieval is recommended.

Packaging, Storage & Formulations

Storage
Store at 4C short term. Aliquot and store at -20C long term. Avoid freeze-thaw cycles.
Buffer
PBS (pH 7.2) and 40% Glycerol
Preservative
0.02% Sodium Azide
Purity
Immunogen affinity purified

Alternate Names for LRRC67 Antibody

  • dtr
  • leucine rich repeat containing 67
  • leucine-rich repeat-containing protein 67

Limitations

This product is for research use only and is not approved for use in humans or in clinical diagnosis. Primary Antibodies are guaranteed for 1 year from date of receipt.

Customers Who Viewed This Item Also Viewed...

AF-259-NA
Species: Hu
Applications: ELISA(Cap), ELISA(Det), ELISA(Sta), IHC, Neut, WB
NBP1-86893
Species: Hu
Applications: ICC/IF, IHC,  IHC-P, WB
NBP1-89946
Species: Hu
Applications: ICC/IF, IHC,  IHC-P
NB120-22711
Species: Hu, Mu
Applications: ELISA, Flow, ICC/IF, IHC, IHC-Fr,  IHC-P
NB110-97871
Species: Hu, Mu
Applications: CyTOF-ready, Flow, ICC/IF, IHC, IHC-Fr,  IHC-P, IP
NBP1-72042
Species: Hu, Mu, Rt
Applications: ICC/IF, IHC,  IHC-P, PEP-ELISA, WB
NB110-89474
Species: Bv, Ce, ChHa, Hu, Pm, Mu, Rt, RM
Applications: Dual ISH-IHC, Flow-CS, Flow, ICC/IF, IHC, IHC-Fr,  IHC-P, ISH, Simple Western, Single-Cell Western, WB
7268-CT
Species: Hu
Applications: BA
MAB32652
Species: Hu
Applications: CyTOF-ready, ELISA, Flow, KO
NB100-524
Species: Hu, Mu
Applications: Flow-IC, Flow, ICC/IF, IHC, IHC-Fr,  IHC-P, IP, WB
NBP2-79843
Species: Hu
Applications: CyTOF-ready, ELISA, Flow, ICC/IF, IHC,  IHC-P, PA, WB
NB100-39002
Species: Bv, Hu, Mu, Rt
Applications: Dual ISH-IHC, Flow, IB, ICC/IF, IHC,  IHC-P, IP, Single-Cell Western, WB
NB500-327
Species: Hu
Applications: CyTOF-ready, ELISA, Flow, IHC,  IHC-P, In vitro, WB
NBP1-19371
Species: Ca, Hu, Mu, Po, Rb, Rt
Applications: Dual ISH-IHC, Flow, ICC/IF, IHC, IHC-Fr,  IHC-P, Simple Western, WB
236-EG
Species: Hu
Applications: BA
DDX0362P-100
Species: Eq, Hu, Mu, Po, Rt
Applications: ELISA, Flow, ICC/IF, IHC, IHC-Fr,  IHC-P
AF-259-NA
Species: Hu
Applications: ELISA(Cap), ELISA(Det), ELISA(Sta), IHC, Neut, WB

Publications for LRRC67 Antibody (NBP1-84048) (0)

There are no publications for LRRC67 Antibody (NBP1-84048).
By submitting your publication information earn gift cards and discounts for future purchases.

Reviews for LRRC67 Antibody (NBP1-84048) (0)

There are no reviews for LRRC67 Antibody (NBP1-84048). By submitting a review you will receive an Amazon e-Gift Card or Novus Product Discount.
  • Review with no image -- $10/€7/£6/$10 CAD/¥70 Yuan/¥1110 Yen
  • Review with an image -- $25/€18/£15/$25 CAD/¥150 Yuan/¥2500 Yen

Product General Protocols

Find general support by application which include: protocols, troubleshooting, illustrated assays, videos and webinars.

Video Protocols

WB Video Protocol

FAQs for LRRC67 Antibody (NBP1-84048) (0)

There are no specific FAQs related to this product. Read our general customer & technical service FAQs.

Contact Information

Product PDFs

Calculators

Concentration Calculator

The concentration calculator allows you to quickly calculate the volume, mass or concentration of your vial. Simply enter your mass, volume, or concentration values for your reagent and the calculator will determine the rest.

=
÷

Review this Product

Be the first to review our LRRC67 Antibody and receive a gift card or discount.

Bioinformatics

Gene Symbol PPP1R42