LIN-28A Antibody (JA10-63)

Images

 
Western Blot: LIN-28A Antibody (JA10-63) [NBP2-66932] - Analysis of LIN-28A on K562 cell lysates. Proteins were transferred to a PVDF membrane and blocked with 5% BSA in PBS for 1 hour at room temperature. The primary ...read more
Immunohistochemistry-Paraffin: LIN-28A Antibody (JA10-63) [NBP2-66932] - Analysis of paraffin-embedded mouse placenta tissue with Rabbit anti-LIN-28A antibody washed with ddH2O and PBS, and then probed with the primary ...read more
Flow Cytometry: LIN-28A Antibody (JA10-63) [NBP2-66932] - Analysis of Hela cells with Lin-28 antibody at 1/50 dilution (red) compared with an unlabelled control (cells without incubation with primary antibody; black). ...read more
Western Blot: LIN-28A Antibody (JA10-63) [NBP2-66932] - Analysis of Lin-28 on NCCIT cells lysates using anti-Lin-28 antibody at 1/500 dilution.
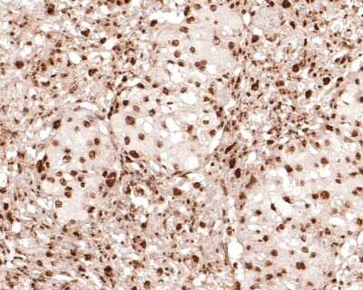
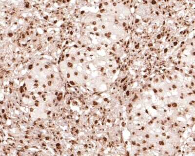
Immunohistochemistry-Paraffin: LIN-28A Antibody (JA10-63) [NBP2-66932] - Analysis of paraffin-embedded rat testis tissue with Rabbit anti-LIN-28A antibody washed with ddH2O and PBS, and then probed with the primary ...read more
Immunohistochemistry-Paraffin: LIN-28A Antibody (JA10-63) [NBP2-66932] - Analysis of paraffin-embedded human testis tissue with Rabbit anti-LIN-28A antibody washed with ddH2O and PBS, and then probed with the primary ...read more

Product Details

Summary
Product Discontinued
View other related LIN-28A Primary Antibodies

Order Details


    • Catalog Number
      NBP2-66932
    • Availability
      Product Discontinued

    Can't find what you are looking for? Use our Antibody Concierge Service & we will help you locate your antibody!

    Or feel free to contact us for alternative products.

LIN-28A Antibody (JA10-63) Summary

Additional Information
Recombinant Monoclonal Antibody.
Immunogen
Synthetic peptide within Human LIN-28A aa 10-59 / 209. (SwissProt: Q9H9Z2 Human; SwissProt: Q8K3Y3 Mouse; SwissProt: D3ZZA6 Rat)
Localization
Cytoplasm. Nucleus.
Isotype
IgG
Clonality
Monoclonal
Host
Rabbit
Gene
LIN28A
Purity
Protein A purified
Innovator's Reward
Test in a species/application not listed above to receive a full credit towards a future purchase.

Applications/Dilutions

Dilutions
  • Flow Cytometry 1:50-1:100
  • Immunohistochemistry-Paraffin 1:400
  • Immunoprecipitation 1:10-1:50
  • Western Blot 1:500-1:1000

Packaging, Storage & Formulations

Storage
Store at 4C short term. Aliquot and store at -20C long term. Avoid freeze-thaw cycles.
Buffer
TBS (pH7.4), 0.05% BSA, 40% Glycerol
Preservative
0.05% Sodium Azide
Concentration
1 mg/ml
Purity
Protein A purified

Alternate Names for LIN-28A Antibody (JA10-63)

  • CSDD1
  • CSDD1lin-28A
  • FLJ12457
  • lin-28 homolog (C. elegans)
  • lin-28 homolog A (C. elegans)
  • LIN28
  • LIN-28
  • LIN28A
  • LIN-28A
  • LIN28RNA-binding protein LIN-28
  • Tex17
  • ZCCHC1
  • ZCCHC1protein lin-28 homolog A
  • Zinc finger CCHC domain-containing protein 1
  • zinc finger, CCHC domain containing 1

Background

lin-28 homolog (C. elegans), also known as CSDD1, ZCCHC1. Entrez Protein NP_078950. LIN28 was first discovered in the nematode C. elegans. It is a heterochronic protein in C. elegans involved in the timing of developmental events and choice of stage specific cell fates. LIN28 expression has been found to be regulated post-transcriptionally by miRNAs in both nematodes and mammals. In humans it is expressed in embryonic stem cells and its expression decreases during differentiation. It is negatively regulated by retinoic acid in neuronal differentiation.

Limitations

This product is for research use only and is not approved for use in humans or in clinical diagnosis. Primary Antibodies are guaranteed for 1 year from date of receipt.

Customers Who Viewed This Item Also Viewed...

AF1759
Species: Hu, Mu
Applications: ChIP, ICC, IP, Simple Western, WB
H00388112-B01P
Species: Hu
Applications: WB
AF1997
Species: Hu
Applications: ChIP, ICC, IHC, Simple Western, WB
AF2018
Species: Hu, Mu, Rt
Applications: ChIP, ICC, IHC, Simple Western, WB
NB600-302
Species: Bv, Dr, Hu, Mu
Applications: ChIP, ELISA, Flow-IC, Flow, IB, ICC/IF, IHC, IHC-Fr,  IHC-P, IP, PLA, S-ELISA, Simple Western, WB
AF3158
Species: Mu
Applications: ChIP, ICC, IHC, WB
NBP2-32352
Species: Hu
Applications: ICC/IF, IHC,  IHC-P, WB
NBP1-06520
Species: Hu, Mu
Applications: IP, KO, WB
NBP1-83976
Species: Hu
Applications: ICC/IF, IHC,  IHC-P
NBP2-37357
Species: Hu, Mu
Applications: CyTOF-ready, ELISA, Flow, IHC,  IHC-P, WB
NB600-235
Species: Hu, Mu, Po
Applications: ChIP, ELISA, Flow, ICC/IF, IHC, IHC-Fr,  IHC-P, IP, WB
NB110-40579
Species: Hu, Mu
Applications: ICC/IF, IHC,  IHC-P, IP, KD, WB
NBP1-03349
Species: Hu, Mu
Applications: ICC/IF, IHC, IHC-Fr, IP, WB
H00057167-M03
Species: Hu, Mu, Rt
Applications: ChIP, ELISA, ICC/IF, IHC,  IHC-P, WB
AF3184
Species: Hu, Mu
Applications: ICC, Simple Western, WB
NBP1-84862
Species: Hu
Applications: ICC/IF, WB

Publications for LIN-28A Antibody (NBP2-66932) (0)

There are no publications for LIN-28A Antibody (NBP2-66932).
By submitting your publication information earn gift cards and discounts for future purchases.

Reviews for LIN-28A Antibody (NBP2-66932) (0)

There are no reviews for LIN-28A Antibody (NBP2-66932). By submitting a review you will receive an Amazon e-Gift Card or Novus Product Discount.
  • Review with no image -- $10/€7/£6/$10 CAD/¥70 Yuan/¥1110 Yen
  • Review with an image -- $25/€18/£15/$25 CAD/¥150 Yuan/¥2500 Yen

Product General Protocols

Find general support by application which include: protocols, troubleshooting, illustrated assays, videos and webinars.

Video Protocols

WB Video Protocol

FAQs for LIN-28A Antibody (NBP2-66932) (0)

There are no specific FAQs related to this product. Read our general customer & technical service FAQs.

Secondary Antibodies

 

Isotype Controls

Additional LIN-28A Products

Research Areas for LIN-28A Antibody (NBP2-66932)

Find related products by research area.

Blogs on LIN-28A.

Deriving neural precursor cells from human induced pluripotent stem cells
By Jennifer Sokolowski, MD, PhD.Human induced pluripotent stem cells (iPSCs) can be used to create models of human organ systems and are useful for a) ascertaining the mechanisms underlying pathological conditions...  Read full blog post.

Contact Information

Product PDFs

Calculators

Concentration Calculator

The concentration calculator allows you to quickly calculate the volume, mass or concentration of your vial. Simply enter your mass, volume, or concentration values for your reagent and the calculator will determine the rest.

=
÷

Review this Product

Be the first to review our LIN-28A Antibody (JA10-63) and receive a gift card or discount.

Bioinformatics

Gene Symbol LIN28A