LANPL Antibody

Images

 
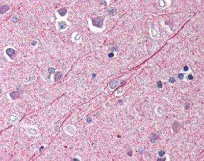
Immunohistochemistry-Paraffin: LANPL Antibody [NBP1-03111] - Staining of human brain, cortex. Immunohistochemistry of formalin-fixed, paraffin-embedded tissue after heat-induced antigen retrieval. Antibody concentration ...read more
Immunofluorescence: LANPL Antibody [NBP1-03111] - Immunofluorescence of LANPL in Human Small Intestine cells with LANPL antibody at 10 ug/ml.

Product Details

Summary
Product Discontinued
View other related LANPL Primary Antibodies

Order Details


    • Catalog Number
      NBP1-03111
    • Availability
      Product Discontinued

    Can't find what you are looking for? Use our Antibody Concierge Service & we will help you locate your antibody!

    Or feel free to contact us for alternative products.

LANPL Antibody Summary

Immunogen
A synthetic peptide corresponding to amino acids close to C-terminus of human LANPL. The immunogen is located within amino acids 200 - 250 of LANPL.
Epitope
Near the C-Terminus, within aa 200-250
Specificity
LANPL has no cross-reaction to PHAP I and PHAP I2a.
Isotype
IgG
Clonality
Polyclonal
Host
Rabbit
Gene
ANP32E
Purity
Peptide affinity purified
Innovator's Reward
Test in a species/application not listed above to receive a full credit towards a future purchase.

Applications/Dilutions

Dilutions
  • ELISA
  • Immunocytochemistry/ Immunofluorescence
  • Immunohistochemistry 1:10-1:500
  • Immunohistochemistry-Paraffin 2.5 ug/ml
  • Western Blot 0.5-2 ug/ml

Packaging, Storage & Formulations

Storage
Store at 4C short term. Aliquot and store at -20C long term. Avoid freeze-thaw cycles.
Buffer
PBS
Preservative
0.02% Sodium Azide
Concentration
1.0 mg/ml
Purity
Peptide affinity purified

Alternate Names for LANPL Antibody

  • acidic (leucine-rich) nuclear phosphoprotein 32 family, member E
  • LANP-like protein
  • LANP-LLANPLacidic leucine-rich nuclear phosphoprotein 32 family member E
  • leucine-rich acidic nuclear protein like
  • MGC5350

Background

Apoptosis is related to many diseases and development. Caspase-9 plays a central role in cell death induced by a variety of apoptosis activators. Cytochrome c, after released from mitochondria, binds to Apaf-1, which forms an apoptosome that in turn binds to and activate procaspase-9. Activated caspase-9 cleaves and activates the effector caspases (caspase-3, -6 and

Limitations

This product is for research use only and is not approved for use in humans or in clinical diagnosis. Primary Antibodies are guaranteed for 1 year from date of receipt.

Customers Who Viewed This Item Also Viewed...

NBP2-99913
Species: Hu
Applications: ELISA, ICC/IF, IHC,  IHC-P, IP, WB
NBP1-51689
Species: Hu
Applications: ELISA, Flow, ICC/IF, IHC,  IHC-P, WB
202-IL
Species: Hu
Applications: BA
NB100-1199
Species: Hu, Mu, Po, Rt
Applications: ICC/IF, IHC,  IHC-P, KD, PEP-ELISA, WB
NBP2-01446
Species: Hu, Mu, Rt
Applications: Flow, ICC/IF, IHC,  IHC-P, WB
NB110-61640
Species: Ca, Ch, Fi, Ha, Hu, Mu, Rb, Rt
Applications: ELISA, ICC/IF, IHC, IP, MiAr, WB
H00001877-M03
Species: Hu
Applications: ELISA, ICC/IF, S-ELISA, WB
NBP1-30888
Species: Hu
Applications: ICC/IF, IHC,  IHC-P, WB
H00001994-M02
Species: Hu
Applications: ELISA, ICC/IF, IHC,  IHC-P, S-ELISA, WB
AF6000
Species: Hu, Mu
Applications: IHC, Simple Western, WB
NBP1-87232
Species: Hu
Applications: ICC/IF, IHC,  IHC-P, WB
1129-ER
Species: Hu
Applications: BA
MAB2669
Species: Hu
Applications: IHC, Simple Western, WB
NBP1-89827
Species: Hu, Mu, Rt
Applications: ICC/IF, IHC,  IHC-P, WB
MAB4775
Species: Hu
Applications: CyTOF-ready, Flow

Publications for LANPL Antibody (NBP1-03111) (0)

There are no publications for LANPL Antibody (NBP1-03111).
By submitting your publication information earn gift cards and discounts for future purchases.

Reviews for LANPL Antibody (NBP1-03111) (0)

There are no reviews for LANPL Antibody (NBP1-03111). By submitting a review you will receive an Amazon e-Gift Card or Novus Product Discount.
  • Review with no image -- $10/€7/£6/$10 CAD/¥70 Yuan/¥1110 Yen
  • Review with an image -- $25/€18/£15/$25 CAD/¥150 Yuan/¥2500 Yen

Product General Protocols

Find general support by application which include: protocols, troubleshooting, illustrated assays, videos and webinars.

Video Protocols

WB Video Protocol
ICC/IF Video Protocol

FAQs for LANPL Antibody (NBP1-03111) (0)

There are no specific FAQs related to this product. Read our general customer & technical service FAQs.

Secondary Antibodies

 

Isotype Controls

Additional LANPL Products

Research Areas for LANPL Antibody (NBP1-03111)

Find related products by research area.

Blogs on LANPL

There are no specific blogs for LANPL, but you can read our latest blog posts.

Contact Information

Product PDFs

Calculators

Concentration Calculator

The concentration calculator allows you to quickly calculate the volume, mass or concentration of your vial. Simply enter your mass, volume, or concentration values for your reagent and the calculator will determine the rest.

=
÷

Review this Product

Be the first to review our LANPL Antibody and receive a gift card or discount.

Bioinformatics

Gene Symbol ANP32E
Entrez
Uniprot