Laminin beta 1 Antibody (JM099-03)

Images

 
Western Blot: Laminin beta 1 Antibody (JM099-03) [NBP2-66926] - Western blot analysis of Laminin beta 1 on A431 cell lysates. Proteins were transferred to a PVDF membrane and blocked with 5% BSA in PBS for 1 hour at ...read more
Immunohistochemistry-Paraffin: Laminin beta 1 Antibody (JM099-03) [NBP2-66926] - Analysis of paraffin-embedded mouse small intestine tissue using anti-Laminin beta 1 antibody. Counter stained with hematoxylin.
Flow Cytometry: Laminin beta 1 Antibody (JM099-03) [NBP2-66926] - Analysis of A431 cells with Laminin beta 1 antibody at 1/50 dilution (red) compared with an unlabelled control (cells without incubation with primary ...read more
Immunohistochemistry-Paraffin: Laminin beta 1 Antibody (JM099-03) [NBP2-66926] - Analysis of paraffin-embedded human kidney tissue using anti-Laminin beta 1 antibody. Counter stained with hematoxylin.
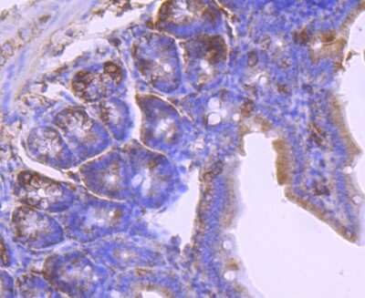
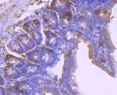
Immunohistochemistry-Paraffin: Laminin beta 1 Antibody (JM099-03) [NBP2-66926] - Analysis of paraffin-embedded mouse colon tissue using anti-Laminin beta 1 antibody. Counter stained with hematoxylin.
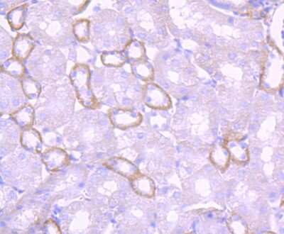
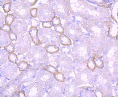
Immunohistochemistry-Paraffin: Laminin beta 1 Antibody (JM099-03) [NBP2-66926] - Analysis of paraffin-embedded mouse kidney tissue using anti-Laminin beta 1 antibody. Counter stained with hematoxylin.
Immunohistochemistry-Paraffin: Laminin beta 1 Antibody (JM099-03) [NBP2-66926] - Analysis of paraffin-embedded mouse prostate tissue using anti-Laminin beta 1 antibody. Counter stained with hematoxylin.

Product Details

Summary
Product Discontinued
View other related Laminin beta 1 Primary Antibodies

Order Details


    • Catalog Number
      NBP2-66926
    • Availability
      Product Discontinued

    Can't find what you are looking for? Use our Antibody Concierge Service & we will help you locate your antibody!

    Or feel free to contact us for alternative products.

Laminin beta 1 Antibody (JM099-03) Summary

Additional Information
Recombinant Monoclonal Antibody.
Immunogen
Synthetic peptide within Human Laminin beta 1 aa 1,721-1,769 / 1,786. (SwissProt: P07942 Human; SwissProt: P02469 Mouse; Entrez Gene: 298941 Rat)
Localization
Secreted.
Isotype
IgG
Clonality
Monoclonal
Host
Rabbit
Gene
LAMB1
Purity
Protein A purified
Innovator's Reward
Test in a species/application not listed above to receive a full credit towards a future purchase.

Applications/Dilutions

Dilutions
  • Flow Cytometry 1:50-1:100
  • Immunohistochemistry
  • Immunohistochemistry-Paraffin 1:50-1:200
  • Western Blot 1:500-1:2000

Packaging, Storage & Formulations

Storage
Store at 4C short term. Aliquot and store at -20C long term. Avoid freeze-thaw cycles.
Buffer
TBS (pH7.4), 0.05% BSA, 40% Glycerol
Preservative
0.05% Sodium Azide
Concentration
1 mg/ml
Purity
Protein A purified

Alternate Names for Laminin beta 1 Antibody (JM099-03)

  • CLM
  • cutis laxa with marfanoid phenotype
  • Laminin B1 chain
  • laminin subunit beta-1
  • laminin, beta 1
  • Laminin-1 subunit beta
  • Laminin-10 subunit beta
  • Laminin-12 subunit beta
  • Laminin-2 subunit beta
  • Laminin-6 subunit beta
  • Laminin-8 subunit beta
  • MGC142015

Background

Laminins are essential and abundant structural non-collagenous glycoproteins localizing to basement membranes. Basement membranes (cell-associated extracellular matrices (ECMs)) are polymers of Laminins with stabilizing type IV collagen networks, nidogen and several proteoglycans. Basement membranes are found under epithelial layers, around the endothelium of blood vessels and surrounding muscle, peripheral nerve and fat cells. Formation of basement membranes influences cell proliferation, phenotype, migration, gene expression and tissue architecture. Each Laminin is a heterotrimer of alpha, beta and gamma chain subunits that undergoes cell-secretion and incorporation into the ECM. Laminins can self-assemble and bind to other matrix macromolecules, and have unique and shared cell interactions mediated by Integrins, dystroglycan and cognate Laminin receptors. The human Laminin gamma-1 gene maps to chromosome 1q31 and is ubiquitously expressed in tissues that produce basement membranes.

Limitations

This product is for research use only and is not approved for use in humans or in clinical diagnosis. Primary Antibodies are guaranteed for 1 year from date of receipt.

Customers Who Viewed This Item Also Viewed...

NBP2-44751
Species: Bv, Hu, Mu
Applications: Flow, ICC/IF, IF, IHC, IHC-Fr,  IHC-P
NBP1-91258
Species: Bv, Ca, Eq, Fe, Hu, Mu, Po, Rt
Applications: ICC/IF, IHC, IHC-Fr,  IHC-P, Simple Western, WB
NBP1-26612
Species: Hu
Applications: IP (-), WB
AF3398
Species: Hu, Mu, Rt
Applications: ICC, KO, Simple Western, WB
NB300-144
Species: ChHa, Hu, In, Ma, Mu, Rb, Rt, Sh
Applications: Flow, ICC/IF, IHC-FrFl, IHC, IHC-Fr,  IHC-P, WB
NBP2-34594
Species: Hu, Pm
Applications: CyTOF-ready, Flow, ICC/IF, IHC,  IHC-P
NBP2-38449
Species: Hu
Applications: ICC/IF, IHC,  IHC-P
AF4478
Species: Hu
Applications: IHC, WB
NBP1-86616
Species: Hu
Applications: IHC,  IHC-P, WB
NBP2-58917
Species: Hu
Applications: IHC,  IHC-P, WB
NBP3-41306
Species: Hu, Mu, Rt
Applications: WB
AF1230
Species: Hu, Mu, Rt
Applications: IHC, KO, WB
PP-H8132-00
Species: Hu
Applications: IHC, IP, WB
MAB1417
Species: Bv, Hu, Mu
Applications: ICC, IHC
NB100-524
Species: Hu, Mu
Applications: Flow-IC, Flow, ICC/IF, IHC, IHC-Fr,  IHC-P, IP, WB

Publications for Laminin beta 1 Antibody (NBP2-66926) (0)

There are no publications for Laminin beta 1 Antibody (NBP2-66926).
By submitting your publication information earn gift cards and discounts for future purchases.

Reviews for Laminin beta 1 Antibody (NBP2-66926) (0)

There are no reviews for Laminin beta 1 Antibody (NBP2-66926). By submitting a review you will receive an Amazon e-Gift Card or Novus Product Discount.
  • Review with no image -- $10/€7/£6/$10 CAD/¥70 Yuan/¥1110 Yen
  • Review with an image -- $25/€18/£15/$25 CAD/¥150 Yuan/¥2500 Yen

Product General Protocols

Find general support by application which include: protocols, troubleshooting, illustrated assays, videos and webinars.

Video Protocols

WB Video Protocol

FAQs for Laminin beta 1 Antibody (NBP2-66926) (0)

There are no specific FAQs related to this product. Read our general customer & technical service FAQs.

Contact Information

Product PDFs

Calculators

Concentration Calculator

The concentration calculator allows you to quickly calculate the volume, mass or concentration of your vial. Simply enter your mass, volume, or concentration values for your reagent and the calculator will determine the rest.

=
÷

Review this Product

Be the first to review our Laminin beta 1 Antibody (JM099-03) and receive a gift card or discount.

Bioinformatics

Gene Symbol LAMB1