Ku80/XRCC5 Antibody (SC06-14)

Images

 
Western Blot: Ku80/XRCC5 Antibody (SC06-14) [NBP2-67583] - Western blot analysis of Ku80/XRCC5 on different lysates. Proteins were transferred to a PVDF membrane and blocked with 5% BSA in PBS for 1 hour at room ...read more
Immunocytochemistry/ Immunofluorescence: Ku80/XRCC5 Antibody (SC06-14) [NBP2-67583] - Staining Ku80 in SW480 cells (green). The nuclear counter stain is DAPI (blue). Cells were fixed in paraformaldehyde, permeabilised ...read more
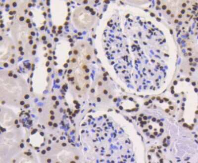
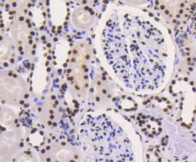
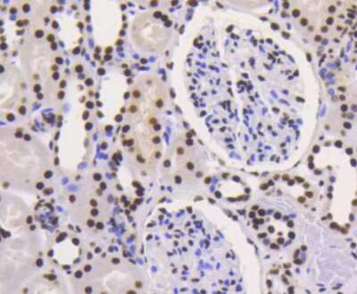
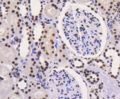
Immunohistochemistry-Paraffin: Ku80/XRCC5 Antibody (SC06-14) [NBP2-67583] - Immunohistochemical analysis of paraffin-embedded human kidney tissue using anti-Ku80/XRCC5 antibody. Counter stained with hematoxylin.
Immunocytochemistry/ Immunofluorescence: Ku80/XRCC5 Antibody (SC06-14) [NBP2-67583] - Staining Ku80 in A549 cells (green). The nuclear counter stain is DAPI (blue). Cells were fixed in paraformaldehyde, permeabilised ...read more
Immunocytochemistry/ Immunofluorescence: Ku80/XRCC5 Antibody (SC06-14) [NBP2-67583] - Staining Ku80 in Hela cells (green). The nuclear counter stain is DAPI (blue). Cells were fixed in paraformaldehyde, permeabilised ...read more
Immunohistochemistry-Paraffin: Ku80/XRCC5 Antibody (SC06-14) [NBP2-67583] - Analysis of paraffin-embedded human breast carcinoma tissue using anti-Ku80 antibody. Counter stained with hematoxylin.
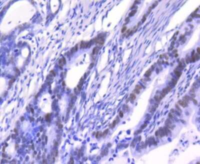
Immunohistochemistry-Paraffin: Ku80/XRCC5 Antibody (SC06-14) [NBP2-67583] - Analysis of paraffin-embedded human colon cancer tissue using anti-Ku80 antibody. Counter stained with hematoxylin.
Immunohistochemistry-Paraffin: Ku80/XRCC5 Antibody (SC06-14) [NBP2-67583] - Analysis of paraffin-embedded human kideny tissue using anti-Ku80 antibody. Counter stained with hematoxylin.
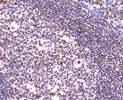
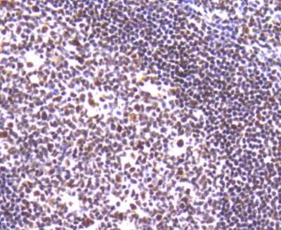
Immunohistochemistry-Paraffin: Ku80/XRCC5 Antibody (SC06-14) [NBP2-67583] - Analysis of paraffin-embedded human tonsil tissue using anti-Ku80 antibody. Counter stained with hematoxylin.

Product Details

Summary
Product Discontinued
View other related Ku80/XRCC5 Primary Antibodies

Order Details


    • Catalog Number
      NBP2-67583
    • Availability
      Product Discontinued

    Can't find what you are looking for? Use our Antibody Concierge Service & we will help you locate your antibody!

    Or feel free to contact us for alternative products.

Ku80/XRCC5 Antibody (SC06-14) Summary

Additional Information
Recombinant Monoclonal Antibody.
Immunogen
Synthetic peptide within Human Ku80/XRCC5 aa 693-732 / 732. (SwissProt: P13010 Human)
Localization
Nucleus, Chromosome.
Isotype
IgG
Clonality
Monoclonal
Host
Rabbit
Gene
XRCC5
Purity
Protein A purified
Innovator's Reward
Test in a species/application not listed above to receive a full credit towards a future purchase.

Applications/Dilutions

Dilutions
  • Immunocytochemistry/ Immunofluorescence 1:50-1:200
  • Immunohistochemistry
  • Immunohistochemistry-Paraffin 1:50-1:200
  • Immunoprecipitation
  • Western Blot 1:1000-1:2000

Packaging, Storage & Formulations

Storage
Store at 4C short term. Aliquot and store at -20C long term. Avoid freeze-thaw cycles.
Buffer
TBS (pH7.4), 0.05% BSA, 40% Glycerol
Preservative
0.05% Sodium Azide
Concentration
1 mg/ml
Purity
Protein A purified

Alternate Names for Ku80/XRCC5 Antibody (SC06-14)

  • 80kDa
  • ATP-dependent DNA helicase 2 subunit 2
  • ATP-dependent DNA helicase II 80 kDa subunit
  • CTC85
  • CTCBF
  • EC 3.6.4.-
  • FLJ39089
  • G22P2
  • KARP1
  • KARP-1
  • Ku80
  • Ku86 autoantigen related protein 1,86 kDa subunit of Ku antigen
  • Ku86
  • Ku86DNA repair protein XRCC5
  • KUB2
  • NFIV
  • Thyroid-lupus autoantigen
  • TLAA
  • X-ray repair complementing defective repair in Chinese hamster cells 5(double-strand-break rejoining)CTC box-binding factor 85 kDa subunit
  • X-ray repair complementing defective repair in Chinese hamster cells 5(double-strand-break rejoining; Ku autoantigen, 80kD)
  • X-ray repair cross-complementing protein 5
  • X-ray repair, complementing defective, repair in Chinese hamster
  • XRCC5

Background

Ku80, also known as XRCC5, plays a role in many diverse processes including cell signaling, proliferation, DNA repair, replication, transcriptional activation and apoptosis.

As one half of the heterodimer complex Ku, Ku80 is required for proper maintenance of the telomeric C strand. Ku80 also plays a role in DNA repair as an essential subunit of DNA-dependent protein kinase (DNA-PK) that phosphorylates certain transcription factors (Sp1, Oct-1 and p53). The heterodimer Ku binds double stranded DNA breaks for non-homologous end joining repair. Ku mutants are defective in T-DNA integration and over-expression confers increased resistance to DNA damage agents and increased susceptibility to T-DNA transformation.

Limitations

This product is for research use only and is not approved for use in humans or in clinical diagnosis. Primary Antibodies are guaranteed for 1 year from date of receipt.

Customers Who Viewed This Item Also Viewed...

NB100-658
Species: Hu
Applications: IP, KD, WB
NBP2-34247
Species: Ch(-), Hu, Mu(-), Pm, Rt(-)
Applications: Flow-IC, Flow, ICC/IF
NBP1-89463
Species: Hu
Applications: ICC/IF, IHC,  IHC-P, KD, WB
NB200-103
Species: Hu, Mu, Rt, Xp(-), Ye
Applications: CyTOF-ready, ELISA, Flow-IC, Flow, ICC/IF, IHC, IHC-Fr,  IHC-P, IP, WB
NBP2-16182
Species: Hu, Mu, Rt
Applications: ICC/IF, IHC,  IHC-P, WB
NBP2-27335
Species: Hu, Mu, Rt(-)
Applications: CyTOF-ready, Flow, ICC/IF, WB
NB100-309
Species: Hu, Pm, Mu, Rt
Applications: ChIP, ELISA, Flow, ICC/IF, IHC,  IHC-P, IP, KD, PAGE, Single-Cell Western, WB
NBP1-90149
Species: Hu, Mu, Rt
Applications: IHC,  IHC-P, WB
AF6696
Species: Hu, Mu, Rt
Applications: ICC, WB
NBP2-29463
Species: Pm, Hu, Pm, Mu
Applications: Flow, ICC/IF, IHC,  IHC-P, WB
NBP2-15939
Species: Hu
Applications: ICC/IF, IHC,  IHC-P, IP, WB
AF771
Species: Mu
Applications: IHC, Neut, WB
NBP1-81404
Species: Hu
Applications: ICC/IF, IHC,  IHC-P, WB
NBP2-43648
Species: Hu, Mu, Rt, Ze
Applications: ICC/IF, IHC,  IHC-P, WB
NB100-148
Species: Ch, Hu, Mu, Rt
Applications: ChIP, ICC/IF, IHC, IHC-Fr,  IHC-P, IP, In vitro, KD, PLA, WB
NB100-147
Species: Hu, Pm, Mu, Rt
Applications: ICC/IF, IHC,  IHC-P, IP, In vitro, KD, WB
NB100-183
Species: Hu
Applications: WB
NBP2-67583
Species: Hu
Applications: WB, ICC/IF, IHC, IP

Publications for Ku80/XRCC5 Antibody (NBP2-67583) (0)

There are no publications for Ku80/XRCC5 Antibody (NBP2-67583).
By submitting your publication information earn gift cards and discounts for future purchases.

Reviews for Ku80/XRCC5 Antibody (NBP2-67583) (0)

There are no reviews for Ku80/XRCC5 Antibody (NBP2-67583). By submitting a review you will receive an Amazon e-Gift Card or Novus Product Discount.
  • Review with no image -- $10/€7/£6/$10 CAD/¥70 Yuan/¥1110 Yen
  • Review with an image -- $25/€18/£15/$25 CAD/¥150 Yuan/¥2500 Yen

Product General Protocols

Find general support by application which include: protocols, troubleshooting, illustrated assays, videos and webinars.

Video Protocols

WB Video Protocol
ICC/IF Video Protocol

FAQs for Ku80/XRCC5 Antibody (NBP2-67583) (0)

There are no specific FAQs related to this product. Read our general customer & technical service FAQs.

Contact Information

Product PDFs

Calculators

Concentration Calculator

The concentration calculator allows you to quickly calculate the volume, mass or concentration of your vial. Simply enter your mass, volume, or concentration values for your reagent and the calculator will determine the rest.

=
÷

Review this Product

Be the first to review our Ku80/XRCC5 Antibody (SC06-14) and receive a gift card or discount.

Bioinformatics

Gene Symbol XRCC5