Ku70/XRCC6 Antibody (JM61-31)

Images

 
Western Blot: Ku70/XRCC6 Antibody (JM61-31) [NBP2-66920] - Western blot analysis of Ku70/XRCC6 on different lysates. Proteins were transferred to a PVDF membrane and blocked with 5% BSA in PBS for 1 hour at room ...read more
Immunocytochemistry/ Immunofluorescence: Ku70/XRCC6 Antibody (JM61-31) [NBP2-66920] - Staining Ku 70 in MCF-7 cells (green). The nuclear counter stain is DAPI (blue). Cells were fixed in paraformaldehyde, permeabilised ...read more
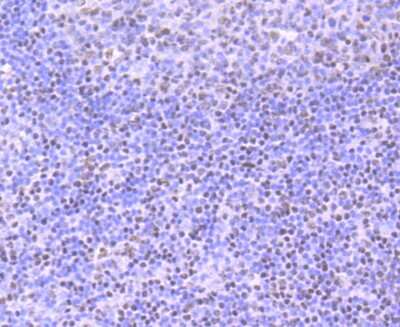
Immunohistochemistry-Paraffin: Ku70/XRCC6 Antibody (JM61-31) [NBP2-66920] - Analysis of paraffin-embedded human tonsil tissue using anti-Ku 70 antibody. Counter stained with hematoxylin.
Flow Cytometry: Ku70/XRCC6 Antibody (JM61-31) [NBP2-66920] - Analysis of Hela cells with Ku 70 antibody at 1/50 dilution (red) compared with an unlabelled control (cells without incubation with primary antibody; black). ...read more
Western Blot: Ku70/XRCC6 Antibody (JM61-31) [NBP2-66920] - Analysis of Ku 70 on different cells lysates using anti-Ku 70 antibody at 1/500 dilution. Positive control: Line 1: Hela Line 2: Jurkat
Immunocytochemistry/ Immunofluorescence: Ku70/XRCC6 Antibody (JM61-31) [NBP2-66920] - Staining Ku 70 in A549 cells (red). The nuclear counter stain is DAPI (blue). Cells were fixed in paraformaldehyde, permeabilised ...read more
Immunocytochemistry/ Immunofluorescence: Ku70/XRCC6 Antibody (JM61-31) [NBP2-66920] - Staining Ku 70 in Hela cells (red). The nuclear counter stain is DAPI (blue). Cells were fixed in paraformaldehyde, permeabilised ...read more
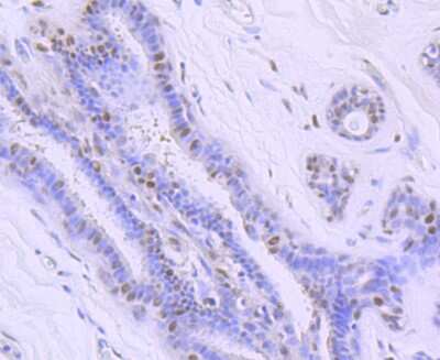
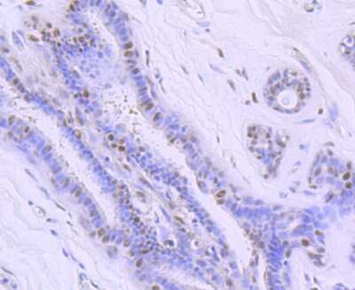
Immunohistochemistry-Paraffin: Ku70/XRCC6 Antibody (JM61-31) [NBP2-66920] - Analysis of paraffin-embedded human breast cancer tissue using anti-Ku 70 antibody. Counter stained with hematoxylin.

Product Details

Summary
Product Discontinued
View other related Ku70/XRCC6 Primary Antibodies

Order Details


    • Catalog Number
      NBP2-66920
    • Availability
      Product Discontinued

    Can't find what you are looking for? Use our Antibody Concierge Service & we will help you locate your antibody!

    Or feel free to contact us for alternative products.

Ku70/XRCC6 Antibody (JM61-31) Summary

Additional Information
Recombinant Monoclonal Antibody.
Immunogen
Synthetic peptide within Human Ku70/XRCC6 aa 521-564 / 609. (SwissProt: P12956 Human)
Localization
Nucleus. Chromosome.
Isotype
IgG
Clonality
Monoclonal
Host
Rabbit
Gene
XRCC6
Purity
Protein A purified
Innovator's Reward
Test in a species/application not listed above to receive a full credit towards a future purchase.

Applications/Dilutions

Dilutions
  • Flow Cytometry 1:50-1:100
  • Immunocytochemistry/ Immunofluorescence 1:50-1:200
  • Immunohistochemistry
  • Immunohistochemistry-Paraffin 1:50-1:200
  • Immunoprecipitation
  • Western Blot 1:500-1:2000

Packaging, Storage & Formulations

Storage
Store at 4C short term. Aliquot and store at -20C long term. Avoid freeze-thaw cycles.
Buffer
TBS (pH7.4), 0.05% BSA, 40% Glycerol
Preservative
0.05% Sodium Azide
Concentration
1 mg/ml
Purity
Protein A purified

Alternate Names for Ku70/XRCC6 Antibody (JM61-31)

  • 5'-deoxyribose-5-phosphate lyase Ku70
  • 5'-dRP lyase Ku70
  • 70 kDa subunit of Ku antigen
  • ATP-dependent DNA helicase 2 subunit 1
  • ATP-dependent DNA helicase II 70 kDa subunit
  • CTC box binding factor 75 kDa subunit
  • CTC box-binding factor 75 kDa subunit
  • CTC75
  • CTCBF
  • D22S731
  • EC 3.6.4.-
  • EC 4.2.99.-
  • G22P1
  • G22P1Ku70
  • Ku autoantigen p70 subunit
  • Ku autoantigen, 70kDa
  • Ku70
  • ML8
  • ML8,70 kDa subunit
  • thyroid-lupus autoantigen p70
  • Thyroid-lupus autoantigen
  • TLAA
  • TLAAD22S671
  • X-ray repair complementing defective repair in Chinese hamster cells 6DNA repair protein XRCC6
  • X-ray repair cross-complementing protein 6
  • XRCC6

Background

The Ku autoantigen is a heterodimer of 70kDa (p70) and ~80kDa (p80) proteins. The p70/p80 dimer is important for function of a 460kDa DNAdependent protein kinase that phosphorylates certain transcription factors, including Sp1, Oct-1, p53, and SV40 large T antigen in vitro. Ku protein plays a role in cell signaling, proliferation, DNA repair, replication, transcriptional activation, and apoptosis.

Limitations

This product is for research use only and is not approved for use in humans or in clinical diagnosis. Primary Antibodies are guaranteed for 1 year from date of receipt.

Customers Who Viewed This Item Also Viewed...

NB100-508
Species: Ha, Hu, Mu, Rt
Applications: ChIP, IP, WB
NB100-658
Species: Hu
Applications: IP, KD, WB
NBP2-16182
Species: Hu, Mu, Rt
Applications: ICC/IF, IHC,  IHC-P, WB
NBP1-89463
Species: Hu
Applications: ICC/IF, IHC,  IHC-P, KD, WB
NB200-103
Species: Hu, Mu, Rt, Xp(-), Ye
Applications: CyTOF-ready, ELISA, Flow-IC, Flow, ICC/IF, IHC, IHC-Fr,  IHC-P, IP, WB
NBP2-27335
Species: Hu, Mu, Rt(-)
Applications: CyTOF-ready, Flow, ICC/IF, WB
NB100-309
Species: Hu, Pm, Mu, Rt
Applications: ChIP, ELISA, Flow, ICC/IF, IHC,  IHC-P, IP, KD, PAGE, Single-Cell Western, WB
AF820
Species: Hu, Mu
Applications: ICC, IHC, KO, Simple Western, WB
NB100-148
Species: Ch, Hu, Mu, Rt
Applications: ChIP, ICC/IF, IHC, IHC-Fr,  IHC-P, IP, In vitro, KD, PLA, WB
NB100-183
Species: Hu
Applications: WB
NB100-147
Species: Hu, Pm, Mu, Rt
Applications: ICC/IF, IHC,  IHC-P, IP, In vitro, KD, WB
NB500-106
Species: Ch, Dr, Fi, Hu, Mar, Mu, Po, Pm, Rb, Rt, Ye, Ze
Applications: ChIP, ChIP, ELISA, Flow, ICC/IF, IHC-FrFl, IHC, IHC-Fr,  IHC-P, IP, Simple Western, WB
NB100-143
Species: Ha, Hu, Ma, Mu, Pm
Applications: ChIP, ChIP, ELISA, Flow, IB, ICC/IF, IHC,  IHC-P, IP, ISH, KD, KO, PAGE, WB
NBP2-29463
Species: Pm, Hu, Pm, Mu
Applications: Flow, ICC/IF, IHC,  IHC-P, WB
AF2747
Species: Mu
Applications: ELISA(Cap), ELISA(Det), ELISA(Sta), IHC, IP, WB
NBP2-43648
Species: Hu, Mu, Rt, Ze
Applications: ICC/IF, IHC,  IHC-P, WB
NB110-57130
Species: ChHa, Hu, Mu, Pm, Rt
Applications: ChIP, DB, ELISA, Flow-IC, Flow, ICC/IF, IHC,  IHC-P, IP, KD, Simple Western, WB
NBP2-66920
Species: Hu
Applications: WB, Flow, ICC/IF, IHC, IP

Publications for Ku70/XRCC6 Antibody (NBP2-66920) (0)

There are no publications for Ku70/XRCC6 Antibody (NBP2-66920).
By submitting your publication information earn gift cards and discounts for future purchases.

Reviews for Ku70/XRCC6 Antibody (NBP2-66920) (0)

There are no reviews for Ku70/XRCC6 Antibody (NBP2-66920). By submitting a review you will receive an Amazon e-Gift Card or Novus Product Discount.
  • Review with no image -- $10/€7/£6/$10 CAD/¥70 Yuan/¥1110 Yen
  • Review with an image -- $25/€18/£15/$25 CAD/¥150 Yuan/¥2500 Yen

Product General Protocols

Video Protocols

WB Video Protocol
ICC/IF Video Protocol

FAQs for Ku70/XRCC6 Antibody (NBP2-66920) (0)

There are no specific FAQs related to this product. Read our general customer & technical service FAQs.

Contact Information

Product PDFs

Calculators

Concentration Calculator

The concentration calculator allows you to quickly calculate the volume, mass or concentration of your vial. Simply enter your mass, volume, or concentration values for your reagent and the calculator will determine the rest.

=
÷

Review this Product

Be the first to review our Ku70/XRCC6 Antibody (JM61-31) and receive a gift card or discount.

Bioinformatics

Gene Symbol XRCC6