KRTDAP Antibody - BSA Free

Images

 
Orthogonal Strategies: Immunohistochemistry-Paraffin: KRTDAP Antibody [NBP2-38029] - Analysis in human skin and liver tissues. Corresponding KRTDAP RNA-seq data are presented for the same tissues.
Immunohistochemistry-Paraffin: KRTDAP Antibody [NBP2-38029] - Staining of human pancreas shows no positivity in exocrine glandular cells as expected.
Immunohistochemistry-Paraffin: KRTDAP Antibody [NBP2-38029] - Staining of human cervix shows strong cytoplasmic and membranous immunoreactivity in squamous epithelial cells.
Immunohistochemistry-Paraffin: KRTDAP Antibody [NBP2-38029] - Staining of human liver shows no positivity in hepatocytes as expected.
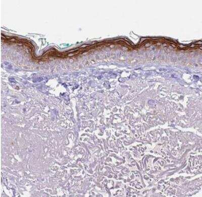
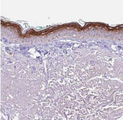
Immunohistochemistry-Paraffin: KRTDAP Antibody [NBP2-38029] - Staining of human skin shows strong cytoplasmic and membranous positivity in keratonocytes.

Product Details

Summary
Reactivity HuSpecies Glossary
Applications IHC
Clonality
Polyclonal
Host
Rabbit
Conjugate
Unconjugated
Format
BSA Free
Validated by:
       

Orthogonal Strategies

 

Order Details

View Available Formulations
Catalog# & Formulation Size Price

KRTDAP Antibody - BSA Free Summary

Description
Novus Biologicals Rabbit KRTDAP Antibody - BSA Free (NBP2-38029) is a polyclonal antibody validated for use in IHC. All Novus Biologicals antibodies are covered by our 100% guarantee.
Immunogen
This antibody was developed against a recombinant protein corresponding to amino acids: TLGGPEEESTIENYASRPEAFNTPFLNIDKLRSAFKADEFLNWHALFESIKRKLPFLN
Isotype
IgG
Clonality
Polyclonal
Host
Rabbit
Gene
KRTDAP
Purity
Affinity purified
Innovator's Reward
Test in a species/application not listed above to receive a full credit towards a future purchase.

Applications/Dilutions

Dilutions
  • Immunohistochemistry 1:1000 - 1:2500
  • Immunohistochemistry-Paraffin 1:1000 - 1:2500
Application Notes
For IHC-Paraffin, HIER pH 6 retrieval is recommended.
Control Peptide
KRTDAP Protein (NBP2-38029PEP)

Packaging, Storage & Formulations

Storage
Store at 4C short term. Aliquot and store at -20C long term. Avoid freeze-thaw cycles.
Buffer
PBS (pH 7.2) and 40% Glycerol
Preservative
0.02% Sodium Azide
Purity
Affinity purified

Alternate Names for KRTDAP Antibody - BSA Free

  • KDAP
  • Keratinocyte Differentiation-Associated Protein
  • KIPV467
  • KRTDAP
  • sk221
  • UNQ467

Limitations

This product is for research use only and is not approved for use in humans or in clinical diagnosis. Primary Antibodies are guaranteed for 1 year from date of receipt.

Customers Who Viewed This Item Also Viewed...

NBP1-86840
Species: Hu
Applications: ICC/IF, IHC,  IHC-P
NBP2-49528
Species: Hu
Applications: ICC/IF, IHC,  IHC-P
NB100-2727
Species: Ca, Hu, Po, Pm
Applications: CyTOF-ready, Flow, ICC/IF, IHC,  IHC-P, IP, WB
NB110-68133
Species: Hu
Applications: IHC,  IHC-P, WB
H00006439-P01
Species: Hu
Applications: ELISA, AP, PA, WB
NBP1-87528
Species: Hu
Applications: ICC/IF, IHC,  IHC-P
NBP2-13957
Species: Hu
Applications: IHC,  IHC-P, WB
NBP2-29411
Species: Bv, Ca, Ch, Hu, Pm, Mu, Rb, Rt, Re
Applications: Flow, ICC/IF, IHC,  IHC-P, WB
NBP2-29429
Species: Bv, Ca, Ch, Hu, Pm, Mu, Rb, Rt, Re, Ze
Applications: CyTOF-reported, Dual ISH-IHC, Flow-IC, Flow, ICC/IF, IHC, IHC-Fr,  IHC-P, Single-Cell Western, WB
NBP1-81321
Species: Hu, Mu, Rt
Applications: ChIP, ICC/IF, IHC,  IHC-P, WB
AF1013
Species: Mu
Applications: IHC, IP, WB
NBP2-01245
Species: Hu, Mu
Applications: Flow, ICC/IF, IHC,  IHC-P, WB
AF944
Species: Hu
Applications: IHC, WB
236-EG
Species: Hu
Applications: BA
MAB8930
Species: Hu
Applications: ICC, Simple Western, WB
NBP2-38029
Species: Hu
Applications: IHC

Publications for KRTDAP Antibody (NBP2-38029) (0)

There are no publications for KRTDAP Antibody (NBP2-38029).
By submitting your publication information earn gift cards and discounts for future purchases.

Reviews for KRTDAP Antibody (NBP2-38029) (0)

There are no reviews for KRTDAP Antibody (NBP2-38029). By submitting a review you will receive an Amazon e-Gift Card or Novus Product Discount.
  • Review with no image -- $10/€7/£6/$10 CAD/¥70 Yuan/¥1110 Yen
  • Review with an image -- $25/€18/£15/$25 CAD/¥150 Yuan/¥2500 Yen

Product General Protocols

Find general support by application which include: protocols, troubleshooting, illustrated assays, videos and webinars.

FAQs for KRTDAP Antibody (NBP2-38029) (0)

There are no specific FAQs related to this product. Read our general customer & technical service FAQs.

Customers Who Bought This Also Bought

Contact Information

Product PDFs

Calculators

Concentration Calculator

The concentration calculator allows you to quickly calculate the volume, mass or concentration of your vial. Simply enter your mass, volume, or concentration values for your reagent and the calculator will determine the rest.

=
÷

Review this Product

Be the first to review our KRTDAP Antibody - BSA Free and receive a gift card or discount.

Bioinformatics

Gene Symbol KRTDAP
Uniprot