KCNT2 Antibody - BSA Free

Images

 
Immunocytochemistry/ Immunofluorescence: KCNT2 Antibody [NBP2-14146] - Staining of human cell line SH-SY5Y shows localization to vesicles.
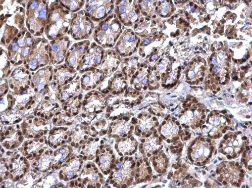
Immunohistochemistry-Paraffin: KCNT2 Antibody [NBP2-14146] - Staining of human stomach, upper shows strong cytoplasmic and nuclear positivity in glandular cells.

Product Details

Summary
Reactivity Hu, Mu, RtSpecies Glossary
Applications ICC/IF, IHC
Clonality
Polyclonal
Host
Rabbit
Conjugate
Unconjugated
Format
BSA Free

Order Details

View Available Formulations
Catalog# & Formulation Size Price

KCNT2 Antibody - BSA Free Summary

Description
Novus Biologicals Rabbit KCNT2 Antibody - BSA Free (NBP2-14146) is a polyclonal antibody validated for use in IHC and ICC/IF. All Novus Biologicals antibodies are covered by our 100% guarantee.
Immunogen
This antibody was developed against a recombinant protein corresponding to the amino acids: GIYRTESQKLTTSESQISISVEEWEDTKDSKEQGHHRSNHRNSTSSDQSDHPLLRR
Predicted Species
Mouse (93%), Rat (93%). Backed by our 100% Guarantee.
Isotype
IgG
Clonality
Polyclonal
Host
Rabbit
Gene
KCNT2
Purity
Immunogen affinity purified
Innovator's Reward
Test in a species/application not listed above to receive a full credit towards a future purchase.

Applications/Dilutions

Dilutions
  • Immunocytochemistry/ Immunofluorescence 0.25-2 ug/ml
  • Immunohistochemistry 1:50 - 1:200
  • Immunohistochemistry-Paraffin 1:50 - 1:200
Application Notes
For IHC-Paraffin, HIER pH 6 retrieval is recommended. ICC/IF,Fixation Permeabilization: Use PFA/Triton X-100.
Control Peptide
KCNT2 Protein (NBP2-14146PEP)

Packaging, Storage & Formulations

Storage
Store at 4C short term. Aliquot and store at -20C long term. Avoid freeze-thaw cycles.
Buffer
PBS (pH 7.2) and 40% Glycerol
Preservative
0.02% Sodium Azide
Purity
Immunogen affinity purified

Alternate Names for KCNT2 Antibody - BSA Free

  • KCa4.2
  • MGC119610
  • MGC119611
  • MGC119612
  • potassium channel subfamily T member 2
  • potassium channel, subfamily T, member 2
  • Sequence like an intermediate conductance potassium channel subunit
  • SLICKMGC119613
  • SLO2.1
  • sodium activated potassium channel
  • sodium and chloride activated ATP sensitive potassium channel
  • Sodium and chloride-activated ATP-sensitive potassium channel Slo2.1
  • sodium- and chloride-activated ATP-sensitive potassium channel
  • sodium-and chloride-activated ATP-sensitive potassium channel (SLICK)

Background

FUCNTION: Outward rectifying potassium channel. Produces rapidly activating outward rectifier K(+) currents. Activated by high intracellular sodium and chloride levels. Channel activity is inhibited by ATP and by inhalation anesthetics, such as isoflurane. Inhibited upon stimulation of G-protein coupled receptors, such as CHRM1 and GRIA1.; Subcellular location: Cell membrane; Multi-pass membrane protein

Limitations

This product is for research use only and is not approved for use in humans or in clinical diagnosis. Primary Antibodies are guaranteed for 1 year from date of receipt.

Customers Who Viewed This Item Also Viewed...

NBP2-80516
Species: Mu, Rt
Applications: IHC,  IHC-P, WB
NB100-2737
Species: Hu
Applications: ICC/IF, IHC, IP, WB
NBP1-87822
Species: Hu, Mu, Rt
Applications: ICC/IF, IHC,  IHC-P, KD, WB
NBP2-48615
Species: Hu
Applications: IHC,  IHC-P, WB
NBP1-28872
Species: Hu
Applications: ELISA, ICC/IF, IHC, IHC-Fr,  IHC-P, WB
NB110-39033
Species: Ch, Hu, Mu, Rt
Applications: ICC/IF, IHC, IHC-Fr,  IHC-P, WB
NBP2-20119
Species: Hu, Mu
Applications: IHC,  IHC-P, WB
NBP3-48775
Species: Hu, Mu, Rt
Applications: ICC/IF, WB
NBP2-12897
Species: Ha, Hu, Mu, Rt
Applications: ICC/IF, IHC,  IHC-P, IP, MiAr, WB
NBP3-03109
Species: Hu, Mu
Applications: IHC,  IHC-P, WB
NBP2-82026
Species: Hu, Mu, Rt
Applications: ELISA, ICC/IF, IHC,  IHC-P, WB
NBP1-86856
Species: Hu, Mu, Rt
Applications: IHC,  IHC-P, WB
NBP2-83132
Species: Hu
Applications: IHC,  IHC-P, WB
AF5657
Species: Hu
Applications: IHC, WB
NBP1-87466
Species: Hu, Mu, Rt
Applications: ICC/IF, IHC-FrFl, IHC, IHC-Fr,  IHC-P, WB
DBD00
Species: Hu
Applications: ELISA
NB100-56565
Species: Hu, Mu, Rt
Applications: ICC/IF, IHC, IHC-Fr,  IHC-P, Simple Western, WB
AF3398
Species: Hu, Mu, Rt
Applications: ICC, KO, Simple Western, WB
NBP2-84246
Species: Hu
Applications: WB
NBP2-14146
Species: Hu, Mu, Rt
Applications: ICC/IF, IHC

Publications for KCNT2 Antibody (NBP2-14146) (0)

There are no publications for KCNT2 Antibody (NBP2-14146).
By submitting your publication information earn gift cards and discounts for future purchases.

Reviews for KCNT2 Antibody (NBP2-14146) (0)

There are no reviews for KCNT2 Antibody (NBP2-14146). By submitting a review you will receive an Amazon e-Gift Card or Novus Product Discount.
  • Review with no image -- $10/€7/£6/$10 CAD/¥70 Yuan/¥1110 Yen
  • Review with an image -- $25/€18/£15/$25 CAD/¥150 Yuan/¥2500 Yen

Product General Protocols

Find general support by application which include: protocols, troubleshooting, illustrated assays, videos and webinars.

Video Protocols

ICC/IF Video Protocol

FAQs for KCNT2 Antibody (NBP2-14146) (0)

There are no specific FAQs related to this product. Read our general customer & technical service FAQs.

Secondary Antibodies

 

Isotype Controls

Additional KCNT2 Products

Research Areas for KCNT2 Antibody (NBP2-14146)

Find related products by research area.

Blogs on KCNT2

There are no specific blogs for KCNT2, but you can read our latest blog posts.

Customers Who Bought This Also Bought

Contact Information

Product PDFs

Calculators

Concentration Calculator

The concentration calculator allows you to quickly calculate the volume, mass or concentration of your vial. Simply enter your mass, volume, or concentration values for your reagent and the calculator will determine the rest.

=
÷

Review this Product

Be the first to review our KCNT2 Antibody - BSA Free and receive a gift card or discount.

Bioinformatics

Gene Symbol KCNT2