Kallikrein 3/PSA Antibody (SD07-45)

Images

 
Immunocytochemistry/ Immunofluorescence: Kallikrein 3/PSA Antibody (SD07-45) [NBP2-67746] - Staining PSA in PC-3M cells (green). The nuclear counter stain is DAPI (blue). Cells were fixed in paraformaldehyde, ...read more
Immunohistochemistry-Paraffin: Kallikrein 3/PSA Antibody (SD07-45) [NBP2-67746] - Immunohistochemical analysis of paraffin-embedded human prostate cancer tissue using anti-Kallikrein 3/PSA antibody. The section was ...read more
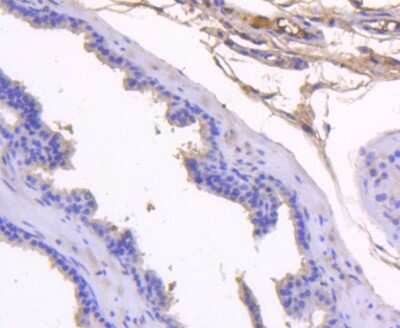
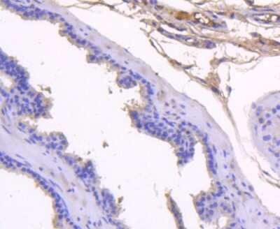
Immunohistochemistry-Paraffin: Kallikrein 3/PSA Antibody (SD07-45) [NBP2-67746] - Analysis of paraffin-embedded mouse prostate tissue using anti-PSA antibody. Counter stained with hematoxylin.

Product Details

Summary
Product Discontinued
View other related Kallikrein 3/PSA Primary Antibodies

Order Details


    • Catalog Number
      NBP2-67746
    • Availability
      Product Discontinued

    Can't find what you are looking for? Use our Antibody Concierge Service & we will help you locate your antibody!

    Or feel free to contact us for alternative products.

Kallikrein 3/PSA Antibody (SD07-45) Summary

Additional Information
Recombinant Monoclonal Antibody.
Immunogen
Recombinant protein within human Kallikrein 3/PSA aa 198-261/261. (SwissProt: P07288 Human)
Localization
Secreted.
Isotype
IgG
Clonality
Monoclonal
Host
Rabbit
Gene
KLK3
Purity
Protein A purified
Innovator's Reward
Test in a species/application not listed above to receive a full credit towards a future purchase.

Applications/Dilutions

Dilutions
  • Immunocytochemistry/ Immunofluorescence 1:50-1:200
  • Immunohistochemistry
  • Immunohistochemistry-Paraffin 1:50-1:200
  • Western Blot 1:1000

Packaging, Storage & Formulations

Storage
Store at 4C short term. Aliquot and store at -20C long term. Avoid freeze-thaw cycles.
Buffer
TBS (pH7.4), 0.05% BSA, 40% Glycerol
Preservative
0.05% Sodium Azide
Concentration
1 mg/ml
Purity
Protein A purified

Alternate Names for Kallikrein 3/PSA Antibody (SD07-45)

  • APS seminin
  • EC 3.4.21
  • EC 3.4.21.77
  • Gamma-seminoprotein
  • hK3
  • Kallikrein 3
  • kallikrein 3, (prostate specific antigen)
  • Kallikrein-3
  • kallikrein-related peptidase 3
  • KLK2A1
  • KLK3
  • P-30 antigen
  • prostate specific antigen
  • prostate-specific antigen
  • PSA semenogelase
  • PSA
  • Semenogelase
  • Seminin

Background

PSA is a chymotrypsin-like serine protease (kallikrein family) produced by the prostate epithelium, and abundant in seminal fluid. PSA can be detected in the sera of patients with prostatic carcinoma. It is predominantly complexed to a liverderived serine protease inhibitor, alpha-1-antichymotrypsin (ACT). A higher proportion of serum PSA is complexed to ACT in prostate cancer than in benign prostate hyperplasia.

Limitations

This product is for research use only and is not approved for use in humans or in clinical diagnosis. Primary Antibodies are guaranteed for 1 year from date of receipt.

Customers Who Viewed This Item Also Viewed...

NB100-56603
Species: Ca, Hu, Mu, Pm, Rt
Applications: IHC,  IHC-P, WB
NBP1-89146
Species: Hu
Applications: ICC/IF, IHC,  IHC-P
AF262
Species: Hu
Applications: ICC, IHC, Neut, WB
NBP2-38530
Species: Hu
Applications: ICC/IF, IHC,  IHC-P, WB
NBP2-92630
Species: Hu, Mu, Rt
Applications: ELISA, ICC/IF, IHC,  IHC-P, WB
NBP2-48909
Species: Hu, Mu
Applications: ICC/IF, IHC,  IHC-P, KO
NBP2-24763
Species: Hu, Pm
Applications: IHC,  IHC-P, WB
NBP2-24614
Species: Hu, Mu, Ma-Op, Pm, Rt
Applications: WB
NBP1-87345
Species: Hu
Applications: ICC/IF, IHC,  IHC-P
NBP1-87343
Species: Hu, Rt
Applications: IHC,  IHC-P, WB
NBP3-04411
Species: Hu, Mu, Rt
Applications: IHC,  IHC-P, WB
NBP3-20223
Species: Hu
Applications: ICC/IF, IP, WB
NBP1-45057
Species: Ca, Hu, Mu, Po, Rt
Applications: ICC/IF, IHC,  IHC-P, WB
NBP1-06046
Species: Hu
Applications: IHC,  IHC-P, PEP-ELISA, WB
NBP1-89284
Species: Hu, Po
Applications: ICC/IF, IHC,  IHC-P, KD, WB
NBP3-12487
Species: Hu, Mu, Rt
Applications: ELISA, IHC,  IHC-P, WB
NB100-91662
Species: Hu, Mu, Rt
Applications: Flow, ICC/IF, IHC,  IHC-P, Simple Western, WB
M6000B
Species: Mu
Applications: ELISA

Publications for Kallikrein 3/PSA Antibody (NBP2-67746) (0)

There are no publications for Kallikrein 3/PSA Antibody (NBP2-67746).
By submitting your publication information earn gift cards and discounts for future purchases.

Reviews for Kallikrein 3/PSA Antibody (NBP2-67746) (0)

There are no reviews for Kallikrein 3/PSA Antibody (NBP2-67746). By submitting a review you will receive an Amazon e-Gift Card or Novus Product Discount.
  • Review with no image -- $10/€7/£6/$10 CAD/¥70 Yuan/¥1110 Yen
  • Review with an image -- $25/€18/£15/$25 CAD/¥150 Yuan/¥2500 Yen

Product General Protocols

Find general support by application which include: protocols, troubleshooting, illustrated assays, videos and webinars.

Video Protocols

WB Video Protocol
ICC/IF Video Protocol

FAQs for Kallikrein 3/PSA Antibody (NBP2-67746) (0)

There are no specific FAQs related to this product. Read our general customer & technical service FAQs.

Contact Information

Product PDFs

Calculators

Concentration Calculator

The concentration calculator allows you to quickly calculate the volume, mass or concentration of your vial. Simply enter your mass, volume, or concentration values for your reagent and the calculator will determine the rest.

=
÷

Review this Product

Be the first to review our Kallikrein 3/PSA Antibody (SD07-45) and receive a gift card or discount.

Bioinformatics

Gene Symbol KLK3