JAM-A Antibody (SC60-07)

Images

 
Western Blot: JAM-A Antibody (SC60-07) [NBP2-67636] - Analysis of JAM-A on human liver tissue lysates with Rabbit anti-JAM-A antibody at 1/500 dilution. Lysates/proteins at 20 ug/Lane. Predicted band size: 33 kDa ...read more
Immunohistochemistry-Paraffin: JAM-A Antibody (SC60-07) [NBP2-67636] - Analysis of paraffin-embedded human endometrium tissue using anti-JAM-A antibody. The section was pre-treated using heat mediated antigen retrieval ...read more
Western Blot: JAM-A Antibody (SC60-07) [NBP2-67636] - Analysis of JAM-1 on different lysates using anti-JAM-1 antibody at 1/1,000 dilution. Positive control: Lane 1: Hela Lane 2: Human liver
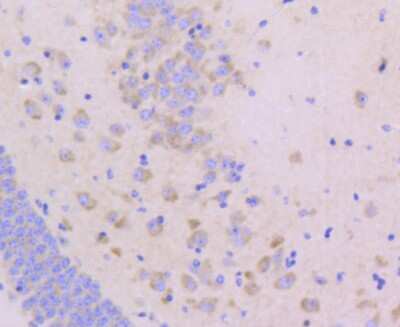
Immunohistochemistry-Paraffin: JAM-A Antibody (SC60-07) [NBP2-67636] - Analysis of paraffin-embedded mouse brain tissue using anti-JAM-1 antibody. Counter stained with hematoxylin.
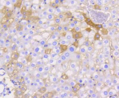
Immunohistochemistry-Paraffin: JAM-A Antibody (SC60-07) [NBP2-67636] - Analysis of paraffin-embedded mouse liver tissue using anti-JAM-1 antibody. Counter stained with hematoxylin.

Product Details

Summary
Product Discontinued
View other related JAM-A Primary Antibodies

Order Details


    • Catalog Number
      NBP2-67636
    • Availability
      Product Discontinued

    Can't find what you are looking for? Use our Antibody Concierge Service & we will help you locate your antibody!

    Or feel free to contact us for alternative products.

JAM-A Antibody (SC60-07) Summary

Additional Information
Recombinant Monoclonal Antibody.
Immunogen
Recombinant protein within human JAM-A aa 1-100. (SwissProt: Q9Y624 Human; SwissProt: O88792 Mouse; SwissProt: Q9JHY1 Rat)
Localization
Cell junction, Cell membrane.
Isotype
IgG
Clonality
Monoclonal
Host
Rabbit
Gene
F11R
Purity
Protein A purified
Innovator's Reward
Test in a species/application not listed above to receive a full credit towards a future purchase.

Applications/Dilutions

Dilutions
  • Immunohistochemistry
  • Immunohistochemistry-Paraffin 1:50-1:200
  • Western Blot 1:1000-1:5000

Packaging, Storage & Formulations

Storage
Store at 4C short term. Aliquot and store at -20C long term. Avoid freeze-thaw cycles.
Buffer
TBS (pH7.4), 0.05% BSA, 40% Glycerol
Preservative
0.05% Sodium Azide
Concentration
1 mg/ml
Purity
Protein A purified

Alternate Names for JAM-A Antibody (SC60-07)

  • CD321 antigen
  • CD321
  • F11 receptor
  • F11R
  • JAM-1
  • JAM1CD321
  • JAMA
  • JAM-A
  • JCAMJAM
  • Junctional adhesion molecule 1Platelet F11 receptor
  • junctional adhesion molecule A
  • PAM-1
  • PAM-1KAT
  • Platelet adhesion molecule 1

Background

Tight junctions represent one mode of cell-to-cell adhesion in epithelial or endothelial cell sheets, forming continuous seals around cells and serving as a physical barrier to prevent solutes and water from passing freely through the paracellular space. The protein encoded by this immunoglobulin superfamily gene member is an important regulator of tight junction assembly in epithelia. In addition, the encoded protein can act as (1) a receptor for reovirus, (2) a ligand for the integrin LFA1, involved in leukocyte transmigration, and (3) a platelet receptor. Multiple 5' alternatively spliced variants, encoding the same protein, have been identified but their biological validity has not been established.

Limitations

This product is for research use only and is not approved for use in humans or in clinical diagnosis. Primary Antibodies are guaranteed for 1 year from date of receipt.

Customers Who Viewed This Item Also Viewed...

H00050848-M01
Species: Hu
Applications: ELISA, ICC/IF, IHC,  IHC-P, PLA, S-ELISA, WB
NBP1-85047
Species: Hu, Mu, Po, Rt
Applications: ICC/IF, IHC,  IHC-P, WB
AF3449
Species: Hu
Applications: CyTOF-ready, ELISA(Cap), ELISA(Det), ELISA(Sta), Flow, WB
AF1213
Species: Mu
Applications: Block, ICC, IHC, WB
NBP1-87402
Species: Hu, Mu, Rt
Applications: ELISA, IHC,  IHC-P, KD, WB
NBP1-89627
Species: Hu
Applications: ICC/IF, IHC,  IHC-P, WB
AF1074
Species: Hu, Mu
Applications: IHC, Neut, Simple Western, WB
H00009076-M01
Species: Hu, Pm, Mu
Applications: ELISA, Flow, ICC/IF, IHC,  IHC-P, IP, WB
NBP1-87402
Species: Hu, Mu, Rt
Applications: ELISA, IHC,  IHC-P, KD, WB
AF7817
Species: Hu, Mu, Rt
Applications: WB
NBP2-92405
Species: Hu, Mu, Rt
Applications: WB
AF3628
Species: Hu, Mu, Rt
Applications: CyTOF-ready, Flow, ICC, IHC, Simple Western, WB
AF748
Species: Hu, Mu
Applications: CyTOF-ready, Dual ISH-IHC, Flow, ICC, IHC, Simple Western, WB
NBP1-81838
Species: Hu, Mu
Applications: IHC,  IHC-P, WB
NBP3-32621
Species: Hu, Mu, Rt
Applications: Flow, ICC/IF, IHC,  IHC-P, WB
NBP2-79843
Species: Hu
Applications: CyTOF-ready, ELISA, Flow, ICC/IF, IHC,  IHC-P, PA, WB
7268-CT
Species: Hu
Applications: BA
NBP2-67636
Species: Hu, Mu, Rt
Applications: WB, IHC

Publications for JAM-A Antibody (NBP2-67636) (0)

There are no publications for JAM-A Antibody (NBP2-67636).
By submitting your publication information earn gift cards and discounts for future purchases.

Reviews for JAM-A Antibody (NBP2-67636) (0)

There are no reviews for JAM-A Antibody (NBP2-67636). By submitting a review you will receive an Amazon e-Gift Card or Novus Product Discount.
  • Review with no image -- $10/€7/£6/$10 CAD/¥70 Yuan/¥1110 Yen
  • Review with an image -- $25/€18/£15/$25 CAD/¥150 Yuan/¥2500 Yen

Product General Protocols

Find general support by application which include: protocols, troubleshooting, illustrated assays, videos and webinars.

Video Protocols

WB Video Protocol

FAQs for JAM-A Antibody (NBP2-67636) (0)

There are no specific FAQs related to this product. Read our general customer & technical service FAQs.

Contact Information

Product PDFs

Calculators

Concentration Calculator

The concentration calculator allows you to quickly calculate the volume, mass or concentration of your vial. Simply enter your mass, volume, or concentration values for your reagent and the calculator will determine the rest.

=
÷

Review this Product

Be the first to review our JAM-A Antibody (SC60-07) and receive a gift card or discount.

Bioinformatics

Gene Symbol F11R