IL-3 Antibody

Images

 
Recombinant Mouse IL‑3 (Catalog # 403-ML) stimulates proliferation in the M‑NFS‑60 mouse myelogenous leukemia lymphoblast cell line in a dose-dependent manner (orange line). Proliferation ...read more

Product Details

Summary
Reactivity MuSpecies Glossary
Applications WB, B/N
Clonality
Polyclonal
Host
Goat
Conjugate
Unconjugated
Concentration
LYOPH

Order Details

IL-3 Antibody Summary

Immunogen
E. coli-derived recombinant mouse IL-3
Asp33-Cys166
Accession # P01586
Specificity
Detects mouse IL-3 in direct ELISAs and Western blots. In direct ELISAs, less than 1% cross-reactivity with recombinant human IL-3 is observed.
Source
N/A
Isotype
IgG
Clonality
Polyclonal
Host
Goat
Gene
IL3
Purity Statement
Antigen Affinity-purified
Endotoxin Note
<0.10 EU per 1 μg of the antibody by the LAL method.
Innovator's Reward
Test in a species/application not listed above to receive a full credit towards a future purchase.

Applications/Dilutions

Dilutions
  • Neutralization 0.01-0.03 ug/mL
  • Western Blot 0.1 ug/mL
Reviewed Applications
Read 1 Review rated 3
using
AF-403-NA in the following applications:

Publications
Read Publications using
AF-403-NA in the following applications:

Packaging, Storage & Formulations

Storage
Use a manual defrost freezer and avoid repeated freeze-thaw cycles.
  • 12 months from date of receipt, -20 to -70 °C as supplied.
  • 1 month, 2 to 8 °C under sterile conditions after reconstitution.
  • 6 months, -20 to -70 °C under sterile conditions after reconstitution.
Buffer
Lyophilized from a 0.2 μm filtered solution in PBS with Trehalose. *Small pack size (SP) is supplied either lyophilized or as a 0.2 µm filtered solution in PBS.
Preservative
No Preservative
Concentration
LYOPH
Reconstitution Instructions
Reconstitute at 0.2 mg/mL in sterile PBS.

Notes

This product is produced by and ships from R&D Systems, Inc., a Bio-Techne brand.

Alternate Names for IL-3 Antibody

  • Hematopoietic growth factor
  • IL3
  • IL-3
  • IL-3MGC79398
  • interleukin 3 (colony-stimulating factor, multiple)
  • interleukin-3
  • Mast cell growth factor
  • mast-cell growth factor
  • MCGF
  • MCGFMGC79399
  • MULTI-CSF
  • multilineage-colony-stimulating factor
  • Multipotential colony-stimulating factor
  • P-cell stimulating factor
  • P-cell-stimulating factor

Background

Interleukin 3 is a pleiotropic factor produced primarily by activated T cells that can stimulate the proliferation and differentiation of pluripotent hematopoietic stem cells as well as various lineage committed progenitors. In addition, IL-3 also affects the functional activity of mature mast cells, basophils, eosinophils and macrophages. Because of its multiple functions and targets, it was originally studied under different names, including mast cell growth factor P-cell stimulating factor, burst promoting activity, multi-colony stimulating factor, thy-1 inducing factor and WEHI-3 growth factor. In addition to activated T cells, other cell types such as human thymic epithelial cells, activated mouse mast cells, mouse keratinocytes and neurons/astrocytes can also produce IL-3. At the amino acid sequence level, mature human and mouse IL-3 share only 29% sequence identity. Consistent with this lack of homology, IL-3 activity is highly species-specific and human IL-3 does not show activity on mouse cells.

IL-3 exerts its biological activities through binding to specific cell surface receptors. The high affinity receptor responsible for IL-3 signaling is composed of alpha and beta subunits. The IL-3R alpha is a member of the cytokine receptor super family and binds IL-3 with low affinity. Two distinct beta subunits, AIC2A ( beta IL-3) and AIC2B ( beta c) are present in mouse cells. beta IL-3 also binds IL-3 with low affinity and forms a high affinity receptor with the alpha subunit. The beta c subunits does not bind any cytokine but forms functional high affinity receptors with the alpha subunit of the IL-3, IL-5 and GM-CSF receptors. Receptors for IL-3 are present on bone marrow progenitors, macrophages, mast cells, eosinophils, megakaryocytes, basophils, and various myeloid leukemic cells.

  1. Yokota, T. et al. (1984) Proc. Natl. Acad. Sci. USA 81:1070.
  2. Fung, M.C. et al. (1984) Nature 307:233.
  3. Miyatake, S. et al. (1985) Proc. Natl. Acad. Sci. USA 82:316.

Limitations

This product is for research use only and is not approved for use in humans or in clinical diagnosis. Primary Antibodies are guaranteed for 1 year from date of receipt.

Customers Who Viewed This Item Also Viewed...

7954-GM/CF
Species: Hu
Applications: BA
255-SC
Species: Hu
Applications: BA
7954-GM/CF
Species: Hu
Applications: BA
M6000B
Species: Mu
Applications: ELISA
6507-IL/CF
Species: Hu
Applications: BA
202-IL
Species: Hu
Applications: BA
MEP00B
Species: Mu
Applications: ELISA
M5000
Species: Mu
Applications: ELISA
MAB414
Species: Mu
Applications: ELISA(Cap), ELISA(Det), ELISA(Sta), Neut, WB
MAB414
Species: Mu
Applications: ELISA(Cap), ELISA(Det), ELISA(Sta), Neut, WB
AF4117
Species: Rt
Applications: IHC, WB
288-TPN/CF
Species: Hu
Applications: BA
201-LB
Species: Hu
Applications: BA
NBP3-07388
Species: Hu
Applications: Flow, ICC/IF, IHC,  IHC-P
485-MI
Species: Mu
Applications: BA
DTM100
Species: Hu
Applications: ELISA
7268-CT
Species: Hu
Applications: BA
NBP2-79843
Species: Hu
Applications: CyTOF-ready, ELISA, Flow, ICC/IF, IHC,  IHC-P, PA, WB
AF-403-NA
Species: Mu
Applications: WB, B/N

Publications for IL-3 Antibody (AF-403-NA)(3)

Review for IL-3 Antibody (AF-403-NA) (1) 31

Average Rating: 3
(Based on 1 review)
We have 1 review tested in 1 species: Mouse.

Reviews using AF-403-NA:
Filter by Applications
Simple Western
(1)
All Applications
Filter by Species
Mouse
(1)
All Species
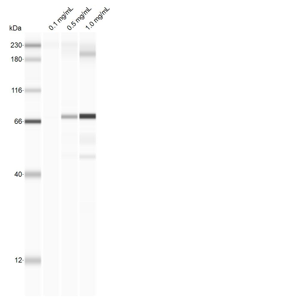
Images Ratings Applications Species Date Details
Simple Western IL-3 AF-403-NA
Enlarge
3
reviewed by:
Verified Customer
Simple Western Mouse 06/04/2019
View

Summary

ApplicationSimple Western
Sample TestedMouse Spleen
SpeciesMouse
LotAAH0110121

Product General Protocols

Find general support by application which include: protocols, troubleshooting, illustrated assays, videos and webinars.

Video Protocols

WB Video Protocol

FAQs for IL-3 Antibody (AF-403-NA) (0)

There are no specific FAQs related to this product. Read our general customer & technical service FAQs.

Customers Who Bought This Also Bought

Contact Information

Product PDFs

Calculators

Concentration Calculator

The concentration calculator allows you to quickly calculate the volume, mass or concentration of your vial. Simply enter your mass, volume, or concentration values for your reagent and the calculator will determine the rest.

=
÷

Recent Reviews

3
5
0
4
0
3
1
2
0
1
0

Verified Customer
06/04/2019
Application: Simple Western
Species: Mouse

Bioinformatics

Gene Symbol IL3
Uniprot