IGF-I R/IGF1R Antibody (3C8B1)

Images

 
Western Blot: IGF-I R Antibody (3C8B1) [NBP1-51536] - Western blot analysis using IGF-I R mouse mAb against truncated IGF-I R recombinant protein.
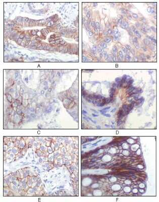
Immunohistochemistry-Paraffin: IGF-I R Antibody (3C8B1) [NBP1-51536] - Human gastric adenocarcinoma(A), colon adenocarcinoma(B), endometrial carcinoma(uterus)(C), ovary adenocarcinoma(D), lung squamous cell ...read more

Product Details

Summary
Product Discontinued
View other related IGF-I R/IGF1R Primary Antibodies

Order Details


    • Catalog Number
      NBP1-51536
    • Availability
      Product Discontinued

    Can't find what you are looking for? Use our Antibody Concierge Service & we will help you locate your antibody!

    Or feel free to contact us for alternative products.

IGF-I R/IGF1R Antibody (3C8B1) Summary

Immunogen
Purified recombinant fragment of IGF1R-Beta expressed in E. Coli.
Isotype
IgG2b
Clonality
Monoclonal
Host
Mouse
Gene
IGF1R
Purity
Unpurified
Innovator's Reward
Test in a species/application not listed above to receive a full credit towards a future purchase.

Applications/Dilutions

Dilutions
  • ELISA 1:10000
  • Immunohistochemistry 1:200-1:1000
  • Immunohistochemistry-Paraffin 1:200-1:1000
  • Western Blot 1:500-1:2000
Theoretical MW
96 kDa.
Disclaimer note: The observed molecular weight of the protein may vary from the listed predicted molecular weight due to post translational modifications, post translation cleavages, relative charges, and other experimental factors.

Packaging, Storage & Formulations

Storage
Store at 4C short term. Aliquot and store at -20C long term. Avoid freeze-thaw cycles.
Buffer
Ascites
Preservative
0.03% Sodium Azide
Purity
Unpurified

Alternate Names for IGF-I R/IGF1R Antibody (3C8B1)

  • CD221 antigen
  • CD221
  • EC 2.7.10
  • EC 2.7.10.1
  • IGF1R
  • IGF-1R
  • IGF-I R
  • IGF-I receptor
  • IGFIR
  • IGF-IR
  • IGFR
  • insulin-like growth factor 1 receptor
  • Insulin-like growth factor I receptor
  • JTK13
  • MGC142170
  • MGC142172
  • MGC18216
  • soluble IGF1R variant 1
  • soluble IGF1R variant 2

Background

IGF1R(insulin-like growth factor 1 receptor), a transmembrane receptor tyrosine kinase, is widely expressed in many cell types within fetal and postnatal tissues, and in many cell lines. Upon binding to its ligands, IGF-I and IGF-II, receptor autophosphorylation occurs. The triple tyrosine cluster within the kinase domain (Tyr1131, Tyr1135 and Tyr1136) is the earliest major site of autophosphorylation. Phosphorylation of these three tyrosine residues is necessary for kinase activation.Insulin receptors (IRs) share significant similarity with IGF1 receptors in both structure and function,including an equivalent triple tyrosine cluster within the activation loop of the kinase domain (Tyr1146, Tyr1150 and Tyr1151).Tyrosine autophosphorylation of insulin receptor is one of the earliest cellular responses to insulin stimulation. Autophosphorylation begins with phosphorylation of Tyr1146 and either Tyr1150 or Tyr1151. Full kinase activation requires the triple tyrosine phosphorylation.

Limitations

This product is for research use only and is not approved for use in humans or in clinical diagnosis. Primary Antibodies are guaranteed for 1 year from date of receipt.

Customers Who Viewed This Item Also Viewed...

291-G1
Species: Hu
Applications: BA
292-G2
Species: Hu
Applications: BA
NBP2-12793
Species: Hu, Mu
Applications: IHC,  IHC-P, IP, WB
MAB1417
Species: Bv, Hu, Mu
Applications: ICC, IHC
AF887
Species: Hu, Mu, Rt
Applications: CyTOF-ready, IHC, ICFlow, Simple Western, WB
NB100-82001
Species: Hu, Mu, Po, Rt
Applications: ICC/IF, IHC,  IHC-P, Simple Western, WB
AF231
Species: Hu
Applications: CyTOF-ready, Dual ISH-IHC, ELISA(Cap), ELISA(Det), ELISA(Sta), Flow, ICC, IHC, IP, Simple Western, WB
DGB300
Species: Hu
Applications: ELISA
AF1230
Species: Hu, Mu, Rt
Applications: IHC, KO, WB
NBP2-22203
Species: Hu, Pm, Mu, Rt
Applications: ELISA, Flow, ICC/IF, IHC,  IHC-P, WB
AF1067
Species: Hu, Mu, Rt
Applications: ELISA, IHC, Neut, WB
AF1067
Species: Hu, Mu, Rt
Applications: ELISA, IHC, Neut, WB
DY871
Species: Hu
Applications: ELISA
236-EG
Species: Hu
Applications: BA
AF1360
Species: Mu
Applications: IHC, WB
NBP1-90927
Species: Hu
Applications: IHC,  IHC-P, WB
NB300-514
Species: Bv, Hu, Mu, Pm, Rt
Applications: CyTOF-ready, ELISA, Flow, ICC/IF, IHC,  IHC-P, IP, WB
AF578
Species: Mu
Applications: ELISA(Cap), ELISA(Det), ELISA(Sta), IHC, WB

Publications for IGF-I R/IGF1R Antibody (NBP1-51536) (0)

There are no publications for IGF-I R/IGF1R Antibody (NBP1-51536).
By submitting your publication information earn gift cards and discounts for future purchases.

Reviews for IGF-I R/IGF1R Antibody (NBP1-51536) (0)

There are no reviews for IGF-I R/IGF1R Antibody (NBP1-51536). By submitting a review you will receive an Amazon e-Gift Card or Novus Product Discount.
  • Review with no image -- $10/€7/£6/$10 CAD/¥70 Yuan/¥1110 Yen
  • Review with an image -- $25/€18/£15/$25 CAD/¥150 Yuan/¥2500 Yen

Product General Protocols

Find general support by application which include: protocols, troubleshooting, illustrated assays, videos and webinars.

Video Protocols

WB Video Protocol

FAQs for IGF-I R/IGF1R Antibody (NBP1-51536) (0)

There are no specific FAQs related to this product. Read our general customer & technical service FAQs.

Contact Information

Product PDFs

Calculators

Concentration Calculator

The concentration calculator allows you to quickly calculate the volume, mass or concentration of your vial. Simply enter your mass, volume, or concentration values for your reagent and the calculator will determine the rest.

=
÷

Review this Product

Be the first to review our IGF-I R/IGF1R Antibody (3C8B1) and receive a gift card or discount.

Bioinformatics

Gene Symbol IGF1R