ID1 Antibody (JM92-13)

Images

 
Western Blot: ID1 Antibody (JM92-13) [NBP2-66897] - Western blot analysis of ID1 on different cells lysates using anti-ID1 antibody at 1/500 dilution. Positive control: Lane 1: Hela Lane 2:HepG2
Immunocytochemistry/ Immunofluorescence: ID1 Antibody (JM92-13) [NBP2-66897] - Staining Id1 in HepG2 cells (green). The nuclear counter stain is DAPI (blue). Cells were fixed in paraformaldehyde, permeabilised with ...read more
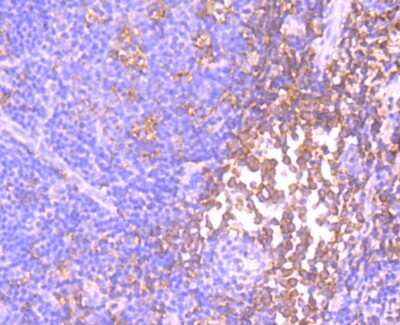
Immunohistochemistry-Paraffin: ID1 Antibody (JM92-13) [NBP2-66897] - Analysis of paraffin-embedded human tonsil tissue using anti-Id1 antibody. Counter stained with hematoxylin.
Flow Cytometry: ID1 Antibody (JM92-13) [NBP2-66897] - Analysis of HepG2 cells with Id1 antibody at 1/100 dilution (red) compared with an unlabelled control (cells without incubation with primary antibody; black).
Western Blot: ID1 Antibody (JM92-13) [NBP2-66897] - Analysis of Id1 on 293T cell using anti-Id1 antibody at 1/1,000 dilution.
Immunocytochemistry/ Immunofluorescence: ID1 Antibody (JM92-13) [NBP2-66897] - Staining Id1 in A549 cells (green). The nuclear counter stain is DAPI (blue). Cells were fixed in paraformaldehyde, permeabilised with 0.25% ...read more
Immunocytochemistry/ Immunofluorescence: ID1 Antibody (JM92-13) [NBP2-66897] - Staining Id1 in Hela cells (green). The nuclear counter stain is DAPI (blue). Cells were fixed in paraformaldehyde, permeabilised with 0.25% ...read more
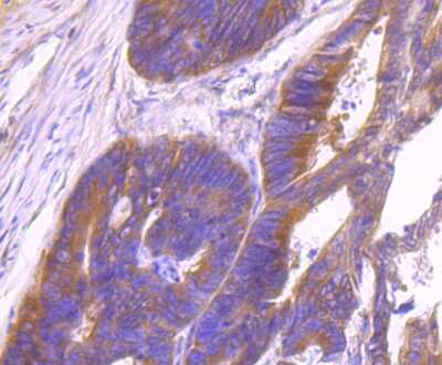
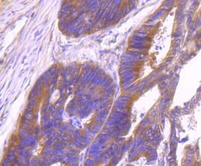
Immunohistochemistry-Paraffin: ID1 Antibody (JM92-13) [NBP2-66897] - Analysis of paraffin-embedded human colon tissue using anti-Id1 antibody. Counter stained with hematoxylin.
Immunohistochemistry-Paraffin: ID1 Antibody (JM92-13) [NBP2-66897] - Analysis of paraffin-embedded human liver tissue using anti-Id1 antibody. Counter stained with hematoxylin.
Immunohistochemistry-Paraffin: ID1 Antibody (JM92-13) [NBP2-66897] - Analysis of paraffin-embedded human placenta tissue using anti-Id1 antibody. Counter stained with hematoxylin.

Product Details

Summary
Product Discontinued
View other related ID1 Primary Antibodies

Order Details


    • Catalog Number
      NBP2-66897
    • Availability
      Product Discontinued

    Can't find what you are looking for? Use our Antibody Concierge Service & we will help you locate your antibody!

    Or feel free to contact us for alternative products.

ID1 Antibody (JM92-13) Summary

Additional Information
Recombinant Monoclonal Antibody.
Immunogen
Synthetic peptide within Human ID1 aa 11-60 / 155. (SwissProt: P41134 Human)
Localization
Cytoplasm. Nucleus.
Isotype
IgG
Clonality
Monoclonal
Host
Rabbit
Gene
ID1
Purity
Protein A purified
Innovator's Reward
Test in a species/application not listed above to receive a full credit towards a future purchase.

Applications/Dilutions

Dilutions
  • Flow Cytometry 1:50-1:100
  • Immunocytochemistry/ Immunofluorescence 1:50-1:200
  • Immunohistochemistry
  • Immunohistochemistry-Paraffin 1:50-1:200
  • Western Blot 1:500-1:2000
Publications
Read Publication using
NBP2-66897 in the following applications:

  • WB
    1 publication

Packaging, Storage & Formulations

Storage
Store at 4C short term. Aliquot and store at -20C long term. Avoid freeze-thaw cycles.
Buffer
TBS (pH7.4), 0.05% BSA, 40% Glycerol
Preservative
0.05% Sodium Azide
Concentration
1 mg/ml
Purity
Protein A purified

Alternate Names for ID1 Antibody (JM92-13)

  • BHLHB24
  • bHLHb24DNA-binding protein inhibitor ID-1
  • Class B basic helix-loop-helix protein 24
  • dJ857M17.1.2 (inhibitor of DNA binding 1, dominant negative helix-loop-helixprotein)
  • dJ857M17.1.2
  • ID
  • ID1
  • inhibitor of differentiation 1
  • Inhibitor of DNA binding 1
  • inhibitor of DNA binding 1, dominant negative helix-loop-helix protein

Background

Id1 is encoded by this gene is a helix-loop-helix (HLH) protein that can form heterodimers with members of the basic HLH family of transcription factors. The encoded protein has no DNA binding activity and therefore can inhibit the DNA binding and transcriptional activation ability of basic HLH proteins with which it interacts. This protein may play a role in cell growth, senescence, and differentiation. Two transcript variants encoding different isoforms have been found for this gene.

Limitations

This product is for research use only and is not approved for use in humans or in clinical diagnosis. Primary Antibodies are guaranteed for 1 year from date of receipt.

Customers Who Viewed This Item Also Viewed...

AF1513
Species: Mu
Applications: CyTOF-ready, Flow, IHC, IP, Simple Western, WB
NB300-581
Species: Am, Ca, Gp, Hu, Mu, Po, Rb, Rt, Sh
Applications: Flow, ICC/IF, IHC, IHC-Fr,  IHC-P, IP, Simple Western, WB
NBP3-35145
Species: Hu, Mu, Rt
Applications: ELISA, ICC/IF, IHC,  IHC-P, WB
NBP2-27194
Species: Bv, Ch, Eq, Ha, Hu, Pm, Rt
Applications: ICC/IF, WB
NBP2-02136
Species: Hu, Mu, Rt
Applications: Flow, ICC/IF, IHC,  IHC-P, WB
NBP1-30027
Species: Hu, Mu, Rt
Applications: ICC/IF, IHC,  IHC-P, WB
MAB7650
Species: Mu
Applications: IHC, WB
H00003400-B01P
Species: Hu, Mu
Applications: ICC/IF, WB
AF6116
Species: Hu
Applications: ICC, WB
355-BM
Species: Hu, Mu, Rt
Applications: BA
NBP2-29463
Species: Pm, Hu, Pm, Mu
Applications: Flow, ICC/IF, IHC,  IHC-P, WB
NB100-56511
Species: Hu, Mu
Applications: Flow, ICC/IF, IHC, IHC-Fr,  IHC-P, IP, KD, KO, WB
314-BP
Species: Hu
Applications: BA, BA
NBP1-85533
Species: Hu
Applications: ICC/IF, IHC,  IHC-P, WB
AF2039
Species: Hu
Applications: IHC, Simple Western, WB
NB200-106
Species: Mu, Rt
Applications: ELISA, ICC/IF, IHC, IHC-Fr,  IHC-P, WB
MAB1417
Species: Bv, Hu, Mu
Applications: ICC, IHC
NBP2-66897
Species: Hu
Applications: WB, Flow, ICC/IF, IHC

Publications for ID1 Antibody (NBP2-66897)(1)

We have publications tested in 1 confirmed species: Human.

We have publications tested in 1 application: WB.


Filter By Application
WB
(1)
All Applications
Filter By Species
Human
(1)
All Species
Showing Publication 1 - 1 of 1.
Publication using NBP2-66897 Applications Species
Shaw A Thermogenic regulation of human abdominal and neck area derived adipocytes by mitophagy, irisin and BMP7 Thesis 2022-01-01 (WB, Human)

Details:
Dilution used for WB 1:1002
WB Human

Reviews for ID1 Antibody (NBP2-66897) (0)

There are no reviews for ID1 Antibody (NBP2-66897). By submitting a review you will receive an Amazon e-Gift Card or Novus Product Discount.
  • Review with no image -- $10/€7/£6/$10 CAD/¥70 Yuan/¥1110 Yen
  • Review with an image -- $25/€18/£15/$25 CAD/¥150 Yuan/¥2500 Yen

Product General Protocols

Find general support by application which include: protocols, troubleshooting, illustrated assays, videos and webinars.

Video Protocols

WB Video Protocol
ICC/IF Video Protocol

FAQs for ID1 Antibody (NBP2-66897) (0)

There are no specific FAQs related to this product. Read our general customer & technical service FAQs.

Secondary Antibodies

 

Isotype Controls

Additional ID1 Products

Research Areas for ID1 Antibody (NBP2-66897)

Find related products by research area.

Blogs on ID1

There are no specific blogs for ID1, but you can read our latest blog posts.

Contact Information

Product PDFs

Calculators

Concentration Calculator

The concentration calculator allows you to quickly calculate the volume, mass or concentration of your vial. Simply enter your mass, volume, or concentration values for your reagent and the calculator will determine the rest.

=
÷

Review this Product

Be the first to review our ID1 Antibody (JM92-13) and receive a gift card or discount.

Bioinformatics

Gene Symbol ID1