HSPC268 Antibody - BSA Free

Images

 
Immunocytochemistry/ Immunofluorescence: HSPC268 Antibody [NBP2-31902] - Staining of human cell line MCF7 shows localization to mitochondria. Antibody stainign is shown in green.
Immunohistochemistry-Paraffin: HSPC268 Antibody [NBP2-31902] - Staining of human placenta shows weak granular cytoplasmic positivity in trophoblastic cells.
Immunohistochemistry-Paraffin: HSPC268 Antibody [NBP2-31902] - Staining of human kidney shows strong granular cytoplasmic positivity in cells in tubules.
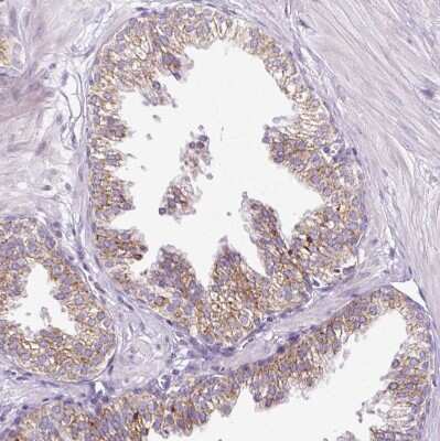
Immunohistochemistry-Paraffin: HSPC268 Antibody [NBP2-31902] - Staining of human prostate shows moderate granular cytoplasmic positivity in glandular cells.
Immunohistochemistry-Paraffin: HSPC268 Antibody [NBP2-31902] - Staining of human stomach shows strong granular cytoplasmic positivity in glandular cells.

Product Details

Summary
Reactivity Hu, Mu, RtSpecies Glossary
Applications ICC/IF, IHC
Clonality
Polyclonal
Host
Rabbit
Conjugate
Unconjugated
Format
BSA Free

Order Details

View Available Formulations
Catalog# & Formulation Size Price

HSPC268 Antibody - BSA Free Summary

Description
Novus Biologicals Rabbit HSPC268 Antibody - BSA Free (NBP2-31902) is a polyclonal antibody validated for use in IHC and ICC/IF. All Novus Biologicals antibodies are covered by our 100% guarantee.
Immunogen
This antibody was developed against a recombinant protein corresponding to amino acids: ELHFQAATYLCLLRSIRKHVALHQEFHGKGERSVEESAGLVGLKLPHQPGGKGWEP
Predicted Species
Mouse (93%), Rat (96%). Backed by our 100% Guarantee.
Isotype
IgG
Clonality
Polyclonal
Host
Rabbit
Gene
C7ORF55
Purity
Affinity purified
Innovator's Reward
Test in a species/application not listed above to receive a full credit towards a future purchase.

Applications/Dilutions

Dilutions
  • Immunocytochemistry/ Immunofluorescence 0.25-2 ug/ml
  • Immunohistochemistry 1:50 - 1:200
  • Immunohistochemistry-Paraffin 1:50 - 1:200
Application Notes
For IHC-Paraffin, HIER pH 6 retrieval is recommended. ICC/IF Fixation Permeabilization: Use PFA/Triton X-100.
Control Peptide
HSPC268 Protein (NBP2-31902PEP)

Packaging, Storage & Formulations

Storage
Store at 4C short term. Aliquot and store at -20C long term. Avoid freeze-thaw cycles.
Buffer
PBS (pH 7.2) and 40% Glycerol
Preservative
0.02% Sodium Azide
Purity
Affinity purified

Alternate Names for HSPC268 Antibody - BSA Free

  • C7orf55
  • chromosome 7 open reading frame 55
  • FLJ35699
  • FMC1
  • formation of mitochondrial complexes 1 homolog
  • HSPC268

Limitations

This product is for research use only and is not approved for use in humans or in clinical diagnosis. Primary Antibodies are guaranteed for 1 year from date of receipt.

Customers Who Viewed This Item Also Viewed...

NBP1-88885
Species: Hu, Rt
Applications: ICC/IF, IHC,  IHC-P, WB
NBP2-54591
Species: Hu
Applications: CyTOF-ready, Flow, ICC/IF, IHC,  IHC-P, PA
NBP1-82493
Species: Hu
Applications: IHC,  IHC-P, WB
NBP2-15524
Species: Hu
Applications: IHC,  IHC-P, WB
7268-CT
Species: Hu
Applications: BA
NBP2-41176
Species: Hu, Mu
Applications: ELISA, ICC/IF, WB
NBP1-86182
Species: Hu
Applications: ICC/IF, IHC,  IHC-P, WB
NBP2-56780
Species: Hu
Applications: ICC/IF, WB
H00728695-B01P
Species: Hu
Applications: ICC/IF, IP, WB
NBP1-89306
Species: Hu, Mu, Rt
Applications: IHC,  IHC-P, KD, WB
NBP2-46125
Species: Ca, Hu, Pm, Mu, Rt
Applications: ICC/IF, WB
NBP3-48261
Species: Hu, Mu, Rt
Applications: ELISA, ICC/IF, IHC, WB
NBP1-92563
Species: Hu
Applications: ICC/IF, IHC,  IHC-P, WB
AF5329
Species: Hu
Applications: IHC, KO, WB
NBP1-88927
Species: Hu, Mu
Applications: ICC/IF, IHC,  IHC-P, WB
NBP2-25196
Species: Hu, Mu
Applications: CyTOF-ready, Flow, ICC/IF, In vitro, WB
NB600-607
Species: Hu, Rt
Applications: ELISA, IHC,  IHC-P, WB
NBP2-67309
Species: Hu, Rt
Applications: Flow, ICC/IF, IHC,  IHC-P, IP, WB
NB100-524
Species: Hu, Mu
Applications: Flow-IC, Flow, ICC/IF, IHC, IHC-Fr,  IHC-P, IP, WB
NB100-594
Species: Hu, Mu
Applications: IHC,  IHC-P, IP, WB

Publications for HSPC268 Antibody (NBP2-31902) (0)

There are no publications for HSPC268 Antibody (NBP2-31902).
By submitting your publication information earn gift cards and discounts for future purchases.

Reviews for HSPC268 Antibody (NBP2-31902) (0)

There are no reviews for HSPC268 Antibody (NBP2-31902). By submitting a review you will receive an Amazon e-Gift Card or Novus Product Discount.
  • Review with no image -- $10/€7/£6/$10 CAD/¥70 Yuan/¥1110 Yen
  • Review with an image -- $25/€18/£15/$25 CAD/¥150 Yuan/¥2500 Yen

Product General Protocols

Find general support by application which include: protocols, troubleshooting, illustrated assays, videos and webinars.

Video Protocols

ICC/IF Video Protocol

FAQs for HSPC268 Antibody (NBP2-31902) (0)

There are no specific FAQs related to this product. Read our general customer & technical service FAQs.

Customers Who Bought This Also Bought

Contact Information

Product PDFs

Calculators

Concentration Calculator

The concentration calculator allows you to quickly calculate the volume, mass or concentration of your vial. Simply enter your mass, volume, or concentration values for your reagent and the calculator will determine the rest.

=
÷

Review this Product

Be the first to review our HSPC268 Antibody - BSA Free and receive a gift card or discount.

Bioinformatics

Gene Symbol C7ORF55