HSP90 alpha Antibody

Images

 
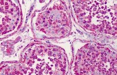
Immunohistochemistry-Paraffin: HSP90 alpha Antibody [NBP1-02459] - Staining of human testis tissue after heat-induced antigen retrieval. Antibody concentration 2.5 ug/ml.

Product Details

Summary
Product Discontinued
View other related HSP90 alpha Primary Antibodies

Order Details


    • Catalog Number
      NBP1-02459
    • Availability
      Product Discontinued

    Can't find what you are looking for? Use our Antibody Concierge Service & we will help you locate your antibody!

    Or feel free to contact us for alternative products.

HSP90 alpha Antibody Summary

Immunogen
Synthetic peptide from human HSP90 alpha corresponding to aa 289-300.
Isotype
IgG
Clonality
Polyclonal
Host
Rabbit
Gene
HSP90AA1
Purity
Immunogen affinity purified
Innovator's Reward
Test in a species/application not listed above to receive a full credit towards a future purchase.

Applications/Dilutions

Dilutions
  • ELISA 1:5000 - 1:25000
  • Immunohistochemistry 2.5 ug/ml
  • Immunohistochemistry-Paraffin 2.5 ug/ml
  • Western Blot 1:500 - 1:2500
Application Notes
IHC: NBP1-02459 was validated for use in immunohistochemistry on a panel of 21 formalin-fixed, paraffin-embedded (FFPE) human tissues after heat induced antigen retrieval in pH 6.0 citrate buffer. After incubation with the primary antibody, slides were incubated with biotinylated secondary antibody, followed by alkaline phosphatase-streptavidin and chromogen. The stained slides were evaluated by a pathologist to confirm staining specificity.

Packaging, Storage & Formulations

Storage
Store at 4C short term. Aliquot and store at -20C long term. Avoid freeze-thaw cycles.
Buffer
20mM Potassium Phosphate (pH 7.2) and 0.15M NaCl
Preservative
0.01% Sodium Azide
Concentration
1 mg/ml
Purity
Immunogen affinity purified

Alternate Names for HSP90 alpha Antibody

  • FLJ31884
  • Heat shock 86 kDa
  • heat shock 90kD protein 1, alpha
  • heat shock 90kD protein 1, alpha-like 4
  • heat shock 90kD protein, alpha-like 4
  • heat shock 90kDa protein 1, alpha
  • heat shock protein 90kDa alpha (cytosolic), class A member 1
  • heat shock protein HSP 90-alpha
  • HSP86
  • Hsp89
  • HSP89A
  • HSP90 alpha
  • Hsp90
  • HSP90A
  • HSP90AA1
  • HSP90AHSP86
  • HSP90N
  • HSPC1
  • HSPC1HSP 86
  • HSPCA
  • HSPCAHSP89A
  • HSPCAL1
  • HSPCAL4
  • HSPN
  • LAP2
  • Renal carcinoma antigen NY-REN-38

Background

Hsp90 is a member of the heat shock protein 90 family that functions as a molecular chaperone and has ATPase activity. Hsp90 family proteins are highly conserved between isoforms and species. Several signal transduction pathways depend on Hsp90 function including erbB2, steroid hormone receptors (such as androgen, progesterone, glucocorticoid, and aryl-hydrocarbon), and hypoxia sensing (Hif1alpha). Recent reports show that tumor cells are more sensitive to Hsp90 inhibition and that Hsp90 from tumor cells is more sensitive to small molecule inhibitors (eg 17AAG). The mechanism of this differential sensitivity of normal versus tumor Hsp90 is not known (although mutation has been ruled out). One possible mechanism may be differences in post-translational modification of tumor Hsp90. Hsp90 is a cytoplasmic protein that forms a homodimer in vivo, and interacts with TOM34, AHSA1, HDAC6 and SMYD3.

Limitations

This product is for research use only and is not approved for use in humans or in clinical diagnosis. Primary Antibodies are guaranteed for 1 year from date of receipt.

Customers Who Viewed This Item Also Viewed...

NBP1-81696
Species: Hu, Mu, Rt
Applications: ICC/IF, IHC,  IHC-P, WB
NB300-731
Species: Gp, Hu, Mu, Rb, Rt, Sh, Ye
Applications: B/N, ChIP, Flow, GS, ICC/IF, IHC,  IHC-P, IP, WB
AF887
Species: Hu, Mu, Rt
Applications: CyTOF-ready, IHC, ICFlow, Simple Western, WB
NBP1-77397
Species: Hu, Mu
Applications: Flow, IB, ICC/IF, IHC,  IHC-P, KD, Simple Western, WB
NBP2-32972
Species: Ch, Pm, Hu, Pm, Mu, Rt, Sh
Applications: Flow, ICC/IF, IHC,  IHC-P, WB
NB120-2788
Species: Bv, Fe, Fi, Ha, Hu, Mu, Pm, Rt
Applications: B/N, Flow, IB, ICC/IF, IHC, IHC-Fr,  IHC-P, IP, Simple Western, WB
NB300-500
Species: Am, Bv, Ca, Dr, Hu, Mu, Po, Rt, Sh
Applications: IHC, IHC-Fr,  IHC-P, WB
NB300-576
Species: Ch, Gp, Hu, Mu, Pm, Rb, Rt, Xp
Applications: Flow, ICC/IF, IHC,  IHC-P, IP, WB
H00010963-M01
Species: Hu, Mu
Applications: ELISA, ICC/IF, IHC,  IHC-P, IP, S-ELISA, WB
1129-ER
Species: Hu
Applications: BA
NBP1-88866
Species: Hu
Applications: IHC,  IHC-P
NBP1-76544
Species: Hu, Mu, Rt
Applications: ELISA, ICC/IF, IHC,  IHC-P, Simple Western, WB
NB110-96874
Species: Ca, Ha, Hu, Mu, Rt
Applications: ICC/IF, IHC,  IHC-P, IP, WB
MAB4540
Species: Hu, Mu, Rt
Applications: IHC, Simple Western, WB
H00007178-M06
Species: Hu, Mu, Rt
Applications: ELISA, WB
NBP3-13279
Species: Hu, Mu, Rt
Applications: ICC/IF, IHC,  IHC-P, WB
NB100-56161
Species: Hu, Mu, Rt
Applications: IHC,  IHC-P, IP, WB
NB110-57586
Species: Bv, Ch, Hu, Mu, Pm, Rb, Rt
Applications: IHC,  IHC-P, KD, WB
NB300-619
Species: Bv, Ch, Ha, Hu, Mu, Rt
Applications: ICC, ICC/IF, IHC,  IHC-P, IP, WB
NBP1-02459
Species: Hu, Mu, Rt, Ch, Dr, Pm
Applications: WB, ELISA, IHC

Publications for HSP90 alpha Antibody (NBP1-02459) (0)

There are no publications for HSP90 alpha Antibody (NBP1-02459).
By submitting your publication information earn gift cards and discounts for future purchases.

Reviews for HSP90 alpha Antibody (NBP1-02459) (0)

There are no reviews for HSP90 alpha Antibody (NBP1-02459). By submitting a review you will receive an Amazon e-Gift Card or Novus Product Discount.
  • Review with no image -- $10/€7/£6/$10 CAD/¥70 Yuan/¥1110 Yen
  • Review with an image -- $25/€18/£15/$25 CAD/¥150 Yuan/¥2500 Yen

Product General Protocols

Find general support by application which include: protocols, troubleshooting, illustrated assays, videos and webinars.

Video Protocols

WB Video Protocol

FAQs for HSP90 alpha Antibody (NBP1-02459) (0)

There are no specific FAQs related to this product. Read our general customer & technical service FAQs.

Secondary Antibodies

 

Isotype Controls

Additional HSP90 alpha Products

Research Areas for HSP90 alpha Antibody (NBP1-02459)

Find related products by research area.

Blogs on HSP90 alpha.

Hsp90A - helping to fold a wide variety of signal transduction proteins
Heat-shock protein 90 (Hsp90) is a conserved ATP-dependent chaperone with diverse cellular functions. Hsp90 is ubiquitously expressed but is further induced upon cellular stress such as heat-shock or nutrient deprivation. Hsp90 is essential for the...  Read full blog post.

Contact Information

Product PDFs

Calculators

Concentration Calculator

The concentration calculator allows you to quickly calculate the volume, mass or concentration of your vial. Simply enter your mass, volume, or concentration values for your reagent and the calculator will determine the rest.

=
÷

Review this Product

Be the first to review our HSP90 alpha Antibody and receive a gift card or discount.

Bioinformatics

Gene Symbol HSP90AA1
Entrez
Uniprot