HSP90 alpha Antibody (SY14-06)

Images

 
Western Blot: HSP90 alpha Antibody (SY14-06) [NBP2-67396] - Analysis of HSP90 alpha on PC-12 cell lysates with Rabbit anti-HSP90 alpha antibody at 1/500 dilution. Lysates/proteins at 10 ug/Lane. Predicted band size: 85 ...read more
Immunocytochemistry/ Immunofluorescence: HSP90 alpha Antibody (SY14-06) [NBP2-67396] - Staining Hsp90 alpha in Ags cells (green). The nuclear counter stain is DAPI (blue). Cells were fixed in paraformaldehyde, ...read more
Immunohistochemistry-Paraffin: HSP90 alpha Antibody (SY14-06) [NBP2-67396] - Analysis of paraffin-embedded mouse testis tissue using anti-Hsp90 alpha antibody. Counter stained with hematoxylin.
Western Blot: HSP90 alpha Antibody (SY14-06) [NBP2-67396] - Analysis of Hsp90 alpha on COS-1 cell lysates using anti-Hsp90 alpha antibody at 1/1,000 dilution.
Western Blot: HSP90 alpha Antibody (SY14-06) [NBP2-67396] - Analysis of HSP90 alpha on COS-1 cell lysates. Proteins were transferred to a PVDF membrane and blocked with 5% BSA in PBS for 1 hour at room temperature. The ...read more
Immunocytochemistry/ Immunofluorescence: HSP90 alpha Antibody (SY14-06) [NBP2-67396] - Staining Hsp90 alpha in Hela cells (green). The nuclear counter stain is DAPI (blue). Cells were fixed in paraformaldehyde, ...read more
Immunocytochemistry/ Immunofluorescence: HSP90 alpha Antibody (SY14-06) [NBP2-67396] - Staining Hsp90 alpha in NIH/3T3 cells (green). The nuclear counter stain is DAPI (blue). Cells were fixed in paraformaldehyde, ...read more
Immunohistochemistry-Paraffin: HSP90 alpha Antibody (SY14-06) [NBP2-67396] - Analysis of paraffin-embedded human breast tissue using anti-Hsp90 alpha antibody. Counter stained with hematoxylin.
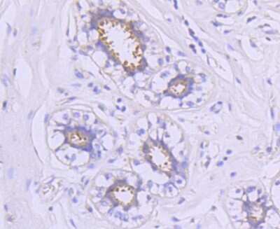
Immunohistochemistry-Paraffin: HSP90 alpha Antibody (SY14-06) [NBP2-67396] - Analysis of paraffin-embedded human colon cancer tissue using anti-Hsp90 alpha antibody. Counter stained with hematoxylin.
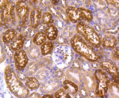
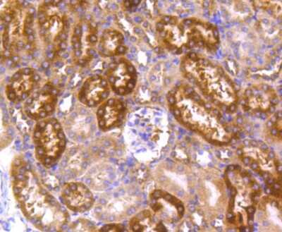
Immunohistochemistry-Paraffin: HSP90 alpha Antibody (SY14-06) [NBP2-67396] - Analysis of paraffin-embedded human kidney tissue using anti-Hsp90 alpha antibody. Counter stained with hematoxylin.
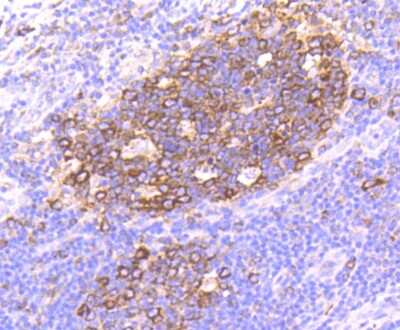
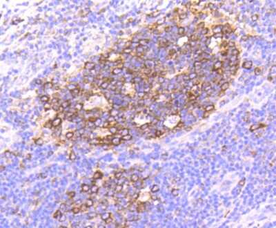
Immunohistochemistry-Paraffin: HSP90 alpha Antibody (SY14-06) [NBP2-67396] - Analysis of paraffin-embedded human tonsil tissue using anti-Hsp90 alpha antibody. Counter stained with hematoxylin.

Product Details

Summary
Product Discontinued
View other related HSP90 alpha Primary Antibodies

Order Details


    • Catalog Number
      NBP2-67396
    • Availability
      Product Discontinued

    Can't find what you are looking for? Use our Antibody Concierge Service & we will help you locate your antibody!

    Or feel free to contact us for alternative products.

HSP90 alpha Antibody (SY14-06) Summary

Additional Information
Recombinant Monoclonal Antibody.
Immunogen
Synthetic peptide within Human HSP90 alpha aa 51-100 / 732. (SwissProt: P07900 Human; SwissProt: P07901 Mouse; SwissProt: P82995 Rat)
Localization
Nucleus, Cytoplasm, Melanosome, Cell membrane, Mitochondrion.
Isotype
IgG
Clonality
Monoclonal
Host
Rabbit
Gene
HSP90AA1
Purity
Protein A purified
Innovator's Reward
Test in a species/application not listed above to receive a full credit towards a future purchase.

Applications/Dilutions

Dilutions
  • Immunocytochemistry/ Immunofluorescence 1:50-1:200
  • Immunohistochemistry
  • Immunohistochemistry-Paraffin 1:50-1:200
  • Western Blot 1:500-1:2000

Packaging, Storage & Formulations

Storage
Store at 4C short term. Aliquot and store at -20C long term. Avoid freeze-thaw cycles.
Buffer
TBS (pH7.4), 0.05% BSA, 40% Glycerol
Preservative
0.05% Sodium Azide
Concentration
1 mg/ml
Purity
Protein A purified

Alternate Names for HSP90 alpha Antibody (SY14-06)

  • FLJ31884
  • Heat shock 86 kDa
  • heat shock 90kD protein 1, alpha
  • heat shock 90kD protein 1, alpha-like 4
  • heat shock 90kD protein, alpha-like 4
  • heat shock 90kDa protein 1, alpha
  • heat shock protein 90kDa alpha (cytosolic), class A member 1
  • heat shock protein HSP 90-alpha
  • HSP86
  • Hsp89
  • HSP89A
  • HSP90 alpha
  • Hsp90
  • HSP90A
  • HSP90AA1
  • HSP90AHSP86
  • HSP90N
  • HSPC1
  • HSPC1HSP 86
  • HSPCA
  • HSPCAHSP89A
  • HSPCAL1
  • HSPCAL4
  • HSPN
  • LAP2
  • Renal carcinoma antigen NY-REN-38

Background

HSP90 proteins are highly conserved molecular chaperones that have key roles in signal transduction, protein folding,protein degradation, and morphologic evolution. HSP90 proteins normally associate with other cochaperones and playimportant roles in folding newly synthesized proteins or stabilizing and refolding denatured proteins after stress.There are 2 major cytosolic HSP90 proteins, HSP90AA1, an inducible form, and HSP90AB1 (MIM 140572), a constitutiveform. Other HSP90 proteins are found in endoplasmic reticulum (HSP90B1; MIM 191175) and mitochondria (TRAP1; MIM606219) (Chen et al., 2005 (PubMed 16269234)).(supplied by OMIM)

Limitations

This product is for research use only and is not approved for use in humans or in clinical diagnosis. Primary Antibodies are guaranteed for 1 year from date of receipt.

Customers Who Viewed This Item Also Viewed...

NBP1-81696
Species: Hu, Mu, Rt
Applications: ICC/IF, IHC,  IHC-P, WB
NB300-731
Species: Gp, Hu, Mu, Rb, Rt, Sh, Ye
Applications: B/N, ChIP, Flow, GS, ICC/IF, IHC,  IHC-P, IP, WB
AF887
Species: Hu, Mu, Rt
Applications: CyTOF-ready, IHC, ICFlow, Simple Western, WB
NBP1-77397
Species: Hu, Mu
Applications: Flow, IB, ICC/IF, IHC,  IHC-P, KD, Simple Western, WB
NBP2-32972
Species: Ch, Pm, Hu, Pm, Mu, Rt, Sh
Applications: Flow, ICC/IF, IHC,  IHC-P, WB
NB120-2788
Species: Bv, Fe, Fi, Ha, Hu, Mu, Pm, Rt
Applications: B/N, Flow, IB, ICC/IF, IHC, IHC-Fr,  IHC-P, IP, Simple Western, WB
NB300-500
Species: Am, Bv, Ca, Dr, Hu, Mu, Po, Rt, Sh
Applications: IHC, IHC-Fr,  IHC-P, WB
NB300-576
Species: Ch, Gp, Hu, Mu, Pm, Rb, Rt, Xp
Applications: Flow, ICC/IF, IHC,  IHC-P, IP, WB
H00010963-M01
Species: Hu, Mu
Applications: ELISA, ICC/IF, IHC,  IHC-P, IP, S-ELISA, WB
1129-ER
Species: Hu
Applications: BA
NBP1-88866
Species: Hu
Applications: IHC,  IHC-P
NBP1-76544
Species: Hu, Mu, Rt
Applications: ELISA, ICC/IF, IHC,  IHC-P, Simple Western, WB
NB110-96874
Species: Ca, Ha, Hu, Mu, Rt
Applications: ICC/IF, IHC,  IHC-P, IP, WB
MAB4540
Species: Hu, Mu, Rt
Applications: IHC, Simple Western, WB
H00007178-M06
Species: Hu, Mu, Rt
Applications: ELISA, WB
NBP3-13279
Species: Hu, Mu, Rt
Applications: ICC/IF, IHC,  IHC-P, WB
NB100-56161
Species: Hu, Mu, Rt
Applications: IHC,  IHC-P, IP, WB
NB110-57586
Species: Bv, Ch, Hu, Mu, Pm, Rb, Rt
Applications: IHC,  IHC-P, KD, WB
NB300-619
Species: Bv, Ch, Ha, Hu, Mu, Rt
Applications: ICC, ICC/IF, IHC,  IHC-P, IP, WB
NBP2-67396
Species: Hu, Mu, Rt, Pm
Applications: WB, ICC/IF, IHC

Publications for HSP90 alpha Antibody (NBP2-67396) (0)

There are no publications for HSP90 alpha Antibody (NBP2-67396).
By submitting your publication information earn gift cards and discounts for future purchases.

Reviews for HSP90 alpha Antibody (NBP2-67396) (0)

There are no reviews for HSP90 alpha Antibody (NBP2-67396). By submitting a review you will receive an Amazon e-Gift Card or Novus Product Discount.
  • Review with no image -- $10/€7/£6/$10 CAD/¥70 Yuan/¥1110 Yen
  • Review with an image -- $25/€18/£15/$25 CAD/¥150 Yuan/¥2500 Yen

Product General Protocols

Find general support by application which include: protocols, troubleshooting, illustrated assays, videos and webinars.

Video Protocols

WB Video Protocol
ICC/IF Video Protocol

FAQs for HSP90 alpha Antibody (NBP2-67396) (0)

There are no specific FAQs related to this product. Read our general customer & technical service FAQs.

Secondary Antibodies

 

Isotype Controls

Additional HSP90 alpha Products

Research Areas for HSP90 alpha Antibody (NBP2-67396)

Find related products by research area.

Blogs on HSP90 alpha.

Hsp90A - helping to fold a wide variety of signal transduction proteins
Heat-shock protein 90 (Hsp90) is a conserved ATP-dependent chaperone with diverse cellular functions. Hsp90 is ubiquitously expressed but is further induced upon cellular stress such as heat-shock or nutrient deprivation. Hsp90 is essential for the...  Read full blog post.

Contact Information

Product PDFs

Calculators

Concentration Calculator

The concentration calculator allows you to quickly calculate the volume, mass or concentration of your vial. Simply enter your mass, volume, or concentration values for your reagent and the calculator will determine the rest.

=
÷

Review this Product

Be the first to review our HSP90 alpha Antibody (SY14-06) and receive a gift card or discount.

Bioinformatics

Gene Symbol HSP90AA1