HSF5 Antibody - BSA Free

Images

 
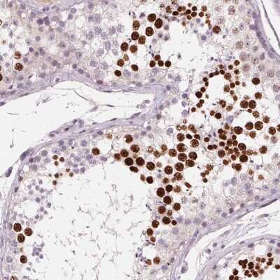
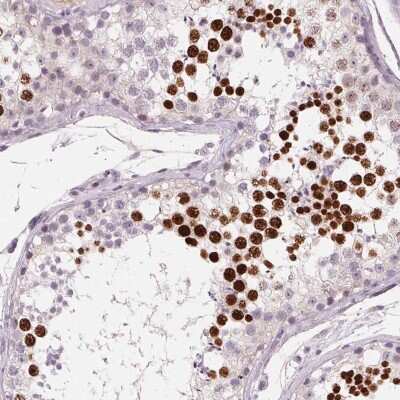
Orthogonal Strategies: Immunohistochemistry-Paraffin: HSF5 Antibody [NBP2-49401] - Staining in human testis and endometrium tissues using anti-HSF5 antibody. Corresponding HSF5 RNA-seq data are presented for the ...read more
Immunohistochemistry-Paraffin: HSF5 Antibody [NBP2-49401] - Staining of human testis shows high expression.
Immunohistochemistry-Paraffin: HSF5 Antibody [NBP2-49401] - Staining of human endometrium shows low expression as expected.

Product Details

Summary
Reactivity HuSpecies Glossary
Applications IHC
Clonality
Polyclonal
Host
Rabbit
Conjugate
Unconjugated
Format
BSA Free
Validated by:
       

Orthogonal Strategies

 

Order Details

View Available Formulations
Catalog# & Formulation Size Price

HSF5 Antibody - BSA Free Summary

Description
Novus Biologicals Rabbit HSF5 Antibody - BSA Free (NBP2-49401) is a polyclonal antibody validated for use in IHC. All Novus Biologicals antibodies are covered by our 100% guarantee.
Immunogen
This antibody was developed against a recombinant protein corresponding to amino acids: LNHNPSPSSVVFVQEGPPFSTHQVDANIKCQTSSRENILPSEQMGFLISEMGPASKPSEDTGLATPARYREHRSNSQQGKSPDLH
Isotype
IgG
Clonality
Polyclonal
Host
Rabbit
Gene
HSF5
Purity
Affinity purified
Innovator's Reward
Test in a species/application not listed above to receive a full credit towards a future purchase.

Applications/Dilutions

Dilutions
  • Immunohistochemistry 1:500 - 1:1000
  • Immunohistochemistry-Paraffin 1:500 - 1:1000
Application Notes
For IHC-Paraffin, HIER pH 6 retrieval is recommended.
Control Peptide
HSF5 Recombinant Protein Antigen (NBP2-49401PEP)

Reactivity Notes

Mouse (84%), Rat (80%).

Packaging, Storage & Formulations

Storage
Store at 4C short term. Aliquot and store at -20C long term. Avoid freeze-thaw cycles.
Buffer
PBS (pH 7.2) and 40% Glycerol
Preservative
0.02% Sodium Azide
Purity
Affinity purified

Alternate Names for HSF5 Antibody - BSA Free

  • FLJ40311
  • heat shock factor protein 5
  • heat shock transcription factor 5
  • heat shock transcription factor family member 5
  • HSF 5
  • HSTF 5
  • HSTF5
  • MGC134827

Limitations

This product is for research use only and is not approved for use in humans or in clinical diagnosis. Primary Antibodies are guaranteed for 1 year from date of receipt.

Customers Who Viewed This Item Also Viewed...

NBP2-15723
Species: Hu, Mu, Rt
Applications: ICC/IF, IHC,  IHC-P, IP, WB
NBP2-45626
Species: Hu
Applications: ICC/IF, IHC,  IHC-P, WB
H00000401-M01
Species: Hu, Rt
Applications: ELISA, ICC/IF, IHC, KD, WB
NBP1-77397
Species: Hu, Mu
Applications: Flow, IB, ICC/IF, IHC,  IHC-P, KD, Simple Western, WB
AF778
Species: Mu
Applications: WB
AF2440
Species: Mu
Applications: IHC, WB
AF2408
Species: Hu, Mu
Applications: CyTOF-ready, Flow, ICC, KO, Simple Western, WB
AF2584
Species: Mu
Applications: Simple Western, WB
MAB1417
Species: Bv, Hu, Mu
Applications: ICC, IHC
NBP3-16488
Species: Hu, Mu, Rt
Applications: ICC/IF, WB
MAB4987
Species: Hu, Mu, Rt
Applications: WB
645-WN
Species: Hu, Mu
Applications: BA
NBP1-86071
Species: Hu
Applications: IHC,  IHC-P
AF1001
Species: Mu
Applications: IHC
7347-WN
Species: Hu
Applications: BA
NBP1-20920
Species: Hu, Mu
Applications: ICC/IF, IHC,  IHC-P, PEP-ELISA, WB
NB300-186
Species: Hu, Rt
Applications: ICC/IF, Simple Western, WB
NBP2-22203
Species: Hu, Pm, Mu, Rt
Applications: ELISA, Flow, ICC/IF, IHC,  IHC-P, WB
NB120-2928
Species: Hu, Mu, Pm, Rb, Rt, Sh
Applications: ICC/IF, IHC,  IHC-P, IP, WB
NBP2-49401
Species: Hu
Applications: IHC

Publications for HSF5 Antibody (NBP2-49401) (0)

There are no publications for HSF5 Antibody (NBP2-49401).
By submitting your publication information earn gift cards and discounts for future purchases.

Reviews for HSF5 Antibody (NBP2-49401) (0)

There are no reviews for HSF5 Antibody (NBP2-49401). By submitting a review you will receive an Amazon e-Gift Card or Novus Product Discount.
  • Review with no image -- $10/€7/£6/$10 CAD/¥70 Yuan/¥1110 Yen
  • Review with an image -- $25/€18/£15/$25 CAD/¥150 Yuan/¥2500 Yen

Product General Protocols

Find general support by application which include: protocols, troubleshooting, illustrated assays, videos and webinars.

FAQs for HSF5 Antibody (NBP2-49401) (0)

There are no specific FAQs related to this product. Read our general customer & technical service FAQs.

Customers Who Bought This Also Bought

Contact Information

Product PDFs

Calculators

Concentration Calculator

The concentration calculator allows you to quickly calculate the volume, mass or concentration of your vial. Simply enter your mass, volume, or concentration values for your reagent and the calculator will determine the rest.

=
÷

Review this Product

Be the first to review our HSF5 Antibody - BSA Free and receive a gift card or discount.

Bioinformatics

Gene Symbol HSF5