HSD17B13 Antibody (HSD17B13/13106) - Azide and BSA Free

Images

 
There are currently no images for HSD17B13 Antibody (NBP3-45075).

Every product we sell is backed by Novus' 100% Guarantee. If you have used this product, please submit your images and reviews to earn reward points.

Product Details

Summary
Reactivity HuSpecies Glossary
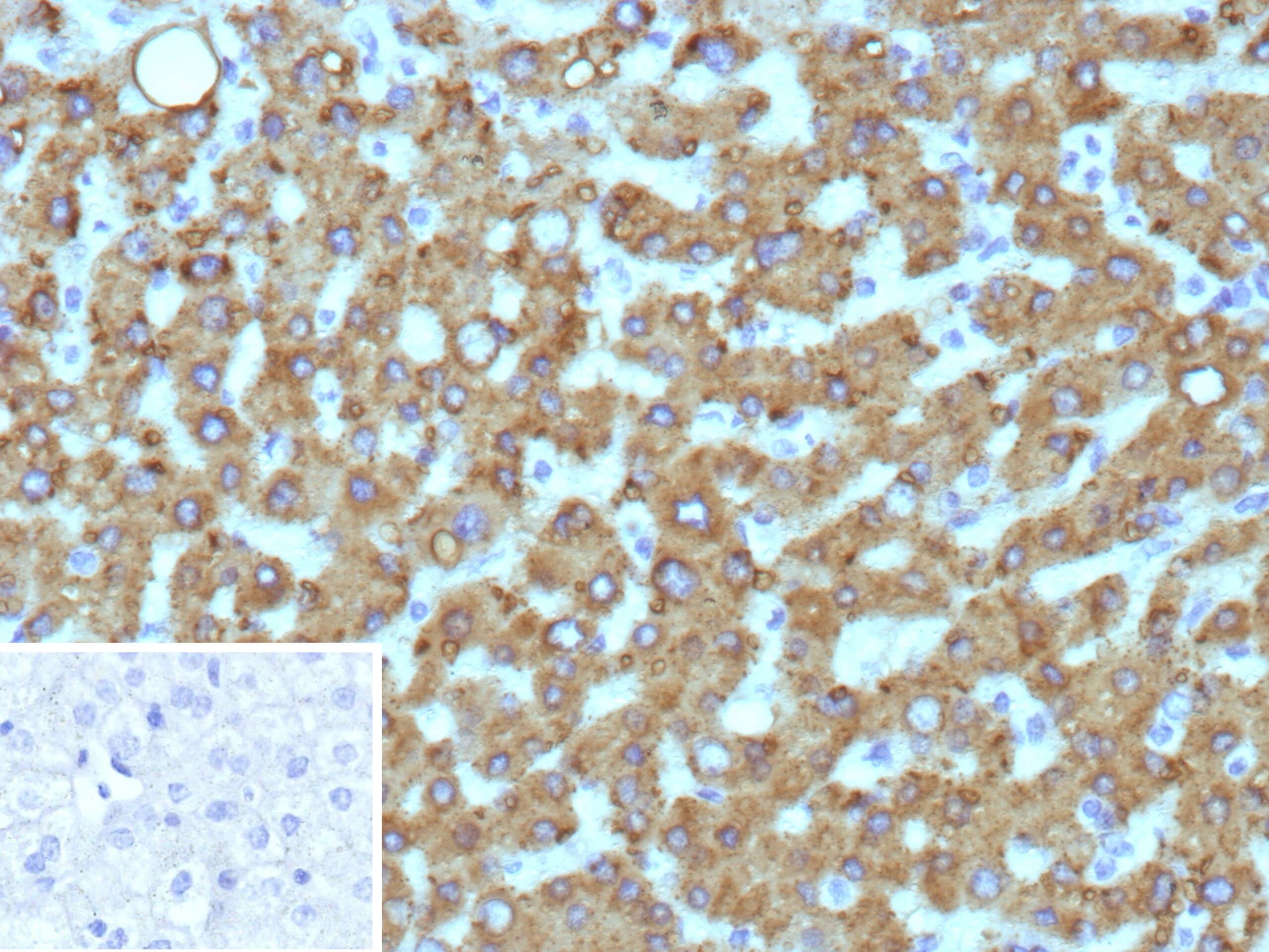
Applications IHC
Clone
HSD17B13/13106
Clonality
Monoclonal
Host
Mouse
Conjugate
Unconjugated
Format
Azide and BSA Free
Concentration
1 mg/ml

Order Details

View Available Formulations
Catalog# & Formulation Size Price

HSD17B13 Antibody (HSD17B13/13106) - Azide and BSA Free Summary

Description
1.0 mg/ml of antibody purified from Bioreactor Concentrate by Protein A/G. Prepared in 10mM PBS WITHOUT BSA & azide. Also available at 200 ug/ml WITH BSA & azide (NBP3-44609).

Antibody with azide - store at 2 to 8C. Antibody without azide - store at -20 to -80C. Non-hazardous. No MSDS required.
Immunogen
Recombinant fragment (around aa1-200) of human HSD17B13 protein (Uniprot: Q7Z5P4). Exact sequence is proprietary.
Isotype
IgG2b Kappa
Clonality
Monoclonal
Host
Mouse
Gene
HSD17B13
Purity
Protein A purified
Innovator's Reward
Test in a species/application not listed above to receive a full credit towards a future purchase.

Applications/Dilutions

Dilutions
  • Immunohistochemistry : 1-2ug/ml
Application Notes
Immunohistochemistry: 30 min at RT. Staining of formalin-fixed tissues requires heating tissue sections in 10mM Tris with 1mM EDTA, pH 9.0, for 45 min at 95C followed by cooling at RT for 20 minutes.
Theoretical MW
30 kDa.
Disclaimer note: The observed molecular weight of the protein may vary from the listed predicted molecular weight due to post translational modifications, post translation cleavages, relative charges, and other experimental factors.

Packaging, Storage & Formulations

Storage
Store at -20 to -80C. Avoid freeze-thaw cycles.
Buffer
10 mM PBS
Preservative
No Preservative
Concentration
1 mg/ml
Purity
Protein A purified

Alternate Names for HSD17B13 Antibody (HSD17B13/13106) - Azide and BSA Free

  • HMFN0376
  • hydroxysteroid (17-beta) dehydrogenase 13
  • member 3,17-beta-hydroxysteroid dehydrogenase 13
  • MGC138508,17-beta-HSD 13
  • NIIL497
  • SCDR9
  • short-chain dehydrogenase/reductase 9
  • UNQ497/PRO1014

Limitations

This product is for research use only and is not approved for use in humans or in clinical diagnosis. Primary Antibodies are guaranteed for 1 year from date of receipt.

Customers Who Viewed This Item Also Viewed...

AF3926
Species: Hu, Mu, Rt
Applications: Simple Western, WB
6507-IL/CF
Species: Hu
Applications: BA
NBP1-89782
Species: Hu
Applications: IHC,  IHC-P, WB
7734-LF
Species: Hu
Applications: BA
NBP1-85699
Species: Hu
Applications: ICC/IF, IHC,  IHC-P
NBP2-01740
Species: Ca, Hu, Pm, Pm, Rt
Applications: ICC/IF, IHC,  IHC-P, WB
NBP2-92668
Species: Hu, Mu, Rt
Applications: ELISA, ICC/IF, WB
NB100-56603
Species: Ca, Hu, Mu, Pm, Rt
Applications: IHC,  IHC-P, WB
NB110-58748
Species: Hu, Mu
Applications: ICC/IF, KD, Simple Western, WB
NBP1-94148
Species: Hu
Applications: IHC,  IHC-P
NBP1-92011
Species: Hu
Applications: ICC/IF, IHC,  IHC-P, Simple Western, WB
NBP2-46005
Species: Hu, Mu, Rt
Applications: ICC/IF, IHC,  IHC-P, IP, PLA, WB
H00152503-M01
Species: Hu, Mu
Applications: ELISA, ICC/IF, IHC,  IHC-P, WB
NBP2-47289
Species: Hu
Applications: ICC/IF, IHC,  IHC-P, WB
MAB6606
Species: Hu, Mu, Rt
Applications: WB
MAB3694
Species: Hu
Applications: IHC, WB
NBP1-91336
Species: Hu
Applications: WB
AF2905
Species: Hu
Applications: ELISA, ICC, WB
NBP1-86412
Species: Hu
Applications: IHC,  IHC-P
NBP3-45075
Species: Hu
Applications: IHC

Publications for HSD17B13 Antibody (NBP3-45075) (0)

There are no publications for HSD17B13 Antibody (NBP3-45075).
By submitting your publication information earn gift cards and discounts for future purchases.

Reviews for HSD17B13 Antibody (NBP3-45075) (0)

There are no reviews for HSD17B13 Antibody (NBP3-45075). By submitting a review you will receive an Amazon e-Gift Card or Novus Product Discount.
  • Review with no image -- $10/€7/£6/$10 CAD/¥70 Yuan/¥1110 Yen
  • Review with an image -- $25/€18/£15/$25 CAD/¥150 Yuan/¥2500 Yen

FAQs for HSD17B13 Antibody (NBP3-45075) (0)

There are no specific FAQs related to this product. Read our general customer & technical service FAQs.

Secondary Antibodies

 

Isotype Controls

Additional HSD17B13 Products

Research Areas for HSD17B13 Antibody (NBP3-45075)

Find related products by research area.

Blogs on HSD17B13

There are no specific blogs for HSD17B13, but you can read our latest blog posts.

Customers Who Bought This Also Bought

Contact Information

Product PDFs

Calculators

Concentration Calculator

The concentration calculator allows you to quickly calculate the volume, mass or concentration of your vial. Simply enter your mass, volume, or concentration values for your reagent and the calculator will determine the rest.

=
÷

Review this Product

Be the first to review our HSD17B13 Antibody (HSD17B13/13106) - Azide and BSA Free and receive a gift card or discount.

Bioinformatics

Gene Symbol HSD17B13