HOXB2 Antibody (PCRP-HOXB2-1F2) - Azide and BSA Free

Images

 
Protein Array: HOXB2 Antibody (PCRP-HOXB2-1F2) - Azide and BSA Free [NBP3-14063] - Analysis of Protein Array containing more than 19,000 full-length human proteins using HOXB2 Antibody (PCRP-HOXB2-1F2).
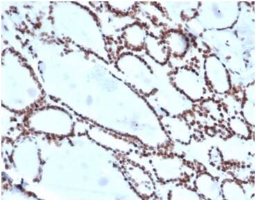
IHC analysis of formalin-fixed, paraffin-embedded human thyroid. Nuclear staining using HOXB2 Antibody (PCRP-HOXB2-1F2) - Azide and BSA Free at 2ug/ml in PBS for 30min RT. HIER: Tris/EDTA, pH9.0, 45min. 2 °: ...read more
Flow cytometric analysis of PFA-fixed HeLa cells. HOXB2 Antibody (PCRP-HOXB2-1F2) - Azide and BSA Free followed by goat anti-mouse IgG-CF488 (blue); isotype control (red).
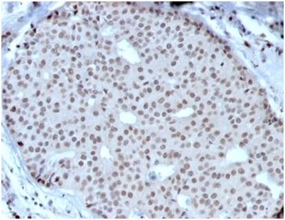
IHC analysis of formalin-fixed, paraffin-embedded human breast carcinoma. Nuclear staining using HOXB2 Antibody (PCRP-HOXB2-1F2) - Azide and BSA Free at 2ug/ml in PBS for 30min RT. HIER: Tris/EDTA, pH9.0, 45min. 2 °: ...read more
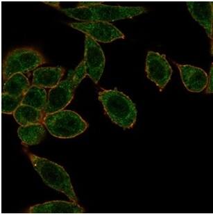
Immunofluorescence Analysis of PFA-fixed HeLa cells stained using HOXB2 Antibody (PCRP-HOXB2-1F2) - Azide and BSA Free. followed by goat anti-mouse IgG-CF488 (green). CF640A phalloidin (red).

Product Details

Summary
Reactivity HuSpecies Glossary
Applications WB, ELISA, Flow, ICC/IF, IHC, IP, MA
Clone
PCRP-HOXB2-1F2
Clonality
Monoclonal
Host
Mouse
Conjugate
Unconjugated
Format
Azide and BSA Free
Concentration
1 mg/ml

Order Details

HOXB2 Antibody (PCRP-HOXB2-1F2) - Azide and BSA Free Summary

Description
1.0 mg/ml of antibody purified from Bioreactor Concentrate by Protein A/G. Prepared in 10mM PBS WITHOUT BSA & azide. Also available at 200 ug/ml WITH BSA & azide (NBP3-13937).

Antibody with azide - store at 2 to 8C. Antibody without azide - store at -20 to -80 C.
Immunogen
Recombinant fragment (aa114-220) of human HOXB2 (Uniprot: P14652)
Localization
Nucleus, Nucleoplasm
Isotype
IgG2b
Clonality
Monoclonal
Host
Mouse
Gene
HOXB2
Purity
Protein A or G purified
Innovator's Reward
Test in a species/application not listed above to receive a full credit towards a future purchase.

Applications/Dilutions

Dilutions
  • ELISA
  • Flow Cytometry 1-2 ug/million cells
  • Immunocytochemistry/ Immunofluorescence 1-2 ug/ml
  • Immunohistochemistry-Paraffin 1-2 ug/ml
  • Immunoprecipitation 1-2 ug per 100-500 ug protein
  • Protein Array
  • Western Blot 1-2 ug/ml
Application Notes
ELISA: For coating, order this antibody without BSA

Immunohistochemistry (Formalin-fixed): 1-2ug/ml for 30 minutes at RT. Staining of formalin-fixed tissues requires heating tissue sections in 10mM Tris with 1mM EDTA, pH 9.0, for 45 min at 95C followed by cooling at RT for 20 minutes

Immunoprecipitation: 1-2ug per 100-500ug of total protein (1ml of cell lysate)
Theoretical MW
37.9 kDa.
Disclaimer note: The observed molecular weight of the protein may vary from the listed predicted molecular weight due to post translational modifications, post translation cleavages, relative charges, and other experimental factors.

Packaging, Storage & Formulations

Storage
Store at -20 to -80C. Avoid freeze-thaw cycles.
Buffer
10mM PBS
Preservative
No Preservative
Concentration
1 mg/ml
Purity
Protein A or G purified

Alternate Names for HOXB2 Antibody (PCRP-HOXB2-1F2) - Azide and BSA Free

  • homeo box 2H
  • homeo box B2
  • homeobox B2
  • Homeobox protein Hox-2.8
  • Homeobox protein Hox-2H
  • homeobox protein Hox-B2
  • HOX2
  • HOX2HHox-2.8
  • K8 home protein
  • K8

Background

The HOXB2 gene is a member of the Antp homeobox family and encodes a nuclear protein with a homeobox DNA-binding domain. It is included in a cluster of homeobox B genes located on chromosome 17. The encoded protein functions as a sequence-specific transcriptio

Limitations

This product is for research use only and is not approved for use in humans or in clinical diagnosis. Primary Antibodies are guaranteed for 1 year from date of receipt.

Customers Who Viewed This Item Also Viewed...

MAB7619
Species: Hu
Applications: ICC, IHC, Simple Western, WB
NBP2-16094
Species: Hu, Mu, Ze
Applications: ICC/IF, IHC-WhMt, IHC,  IHC-P, KO, WB
NB100-687
Species: Hu, Mu, Rt
Applications: Flow, ICC/IF, IHC,  IHC-P, Simple Western, WB
NBP2-34270
Species: Hu, Mu, Rt
Applications: Flow, ICC/IF, IHC, IHC-Fr,  IHC-P, Simple Western
NBP2-61931
Species: Hu, Rt
Applications: Flow, ICC/IF, IHC,  IHC-P, WB
NB300-223
Species: Bv, Ca, Ch, Eq, Hu, Mu, Po, Rt
Applications: ICC/IF, IHC, IHC-Fr,  IHC-P, WB
NBP2-47940
Species: Hu
Applications: CyTOF-ready, Flow, ICC/IF, IF, IHC,  IHC-P, Simple Western, WB
NBP2-61736
Species: Hu, Pm, Mu, Rt
Applications: ELISA, Flow, IHC,  IHC-P, WB
NBP2-29429
Species: Bv, Ca, Ch, Hu, Pm, Mu, Rb, Rt, Re, Ze
Applications: COMET, CyTOF-reported, Dual ISH-IHC, Flow-IC, Flow, ICC/IF, IHC, IHC-Fr,  IHC-P, mIF, Single-Cell Western, WB
NBP2-67559
Species: Hu
Applications: Flow, ICC/IF, IHC,  IHC-P, WB
NBP3-15261
Species: Hu, Mu, Rt
Applications: ICC/IF, IHC,  IHC-P, WB
NBP2-07996
Species: Hu
Applications: WB
NBP2-52486
Species: Hu
Applications: CyTOF-ready, ELISA, Flow, ICC/IF, IHC,  IHC-P, WB
7559-ST
Species: Hu
Applications: BA
NBP1-81572
Species: Hu, Mu, Rt
Applications: ICC/IF, IHC,  IHC-P, WB
NBP3-15243
Species: Hu, Mu, Rt
Applications: ICC/IF, IHC,  IHC-P, WB
NBP1-84730
Species: Hu
Applications: ICC/IF, IHC,  IHC-P, WB
DNST0
Species: Hu
Applications: ELISA

Publications for HOXB2 Antibody (NBP3-14063) (0)

There are no publications for HOXB2 Antibody (NBP3-14063).
By submitting your publication information earn gift cards and discounts for future purchases.

Reviews for HOXB2 Antibody (NBP3-14063) (0)

There are no reviews for HOXB2 Antibody (NBP3-14063). By submitting a review you will receive an Amazon e-Gift Card or Novus Product Discount.
  • Review with no image -- $10/€7/£6/$10 CAD/¥70 Yuan/¥1110 Yen
  • Review with an image -- $25/€18/£15/$25 CAD/¥150 Yuan/¥2500 Yen

Product General Protocols

Video Protocols

WB Video Protocol
ICC/IF Video Protocol

FAQs for HOXB2 Antibody (NBP3-14063) (0)

There are no specific FAQs related to this product. Read our general customer & technical service FAQs.

Customers Who Bought This Also Bought

Contact Information

Product PDFs

Calculators

Concentration Calculator

The concentration calculator allows you to quickly calculate the volume, mass or concentration of your vial. Simply enter your mass, volume, or concentration values for your reagent and the calculator will determine the rest.

=
÷

Review this Product

Be the first to review our HOXB2 Antibody (PCRP-HOXB2-1F2) - Azide and BSA Free and receive a gift card or discount.

Bioinformatics

Gene Symbol HOXB2