hnRNP U Antibody (JB23-43)

Images

 
Western Blot: hnRNP U Antibody (JB23-43) [NBP2-75526] - Analysis of HnRNP U on different cell lysates using anti-HnRNP U at 1/500 dilution.Positive control:Lane 1: NIH-3T3 Lane 2: SH-SY-5YLane 3: K562
Immunocytochemistry/ Immunofluorescence: hnRNP U Antibody (JB23-43) [NBP2-75526] - Staining HnRNP U in SHSY-5Y cells (green). The nuclear counter stain is DAPI (blue). Cells were fixed in paraformaldehyde, permeabilised ...read more
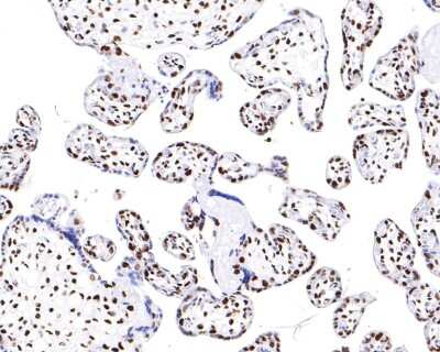
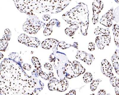
Immunohistochemistry-Paraffin: hnRNP U Antibody (JB23-43) [NBP2-75526] - Analysis of paraffin-embedded human placenta tissue with Rabbit anti-hnRNP U antibody washed with ddH2O and PBS, and then probed with the primary ...read more
Immunocytochemistry/ Immunofluorescence: hnRNP U Antibody (JB23-43) [NBP2-75526] - Staining HnRNP U in A431 cells (green). The nuclear counter stain is DAPI (blue). Cells were fixed in paraformaldehyde, permeabilised ...read more
Immunocytochemistry/ Immunofluorescence: hnRNP U Antibody (JB23-43) [NBP2-75526] - Staining HnRNP U in HepG2 cells (green). The nuclear counter stain is DAPI (blue). Cells were fixed in paraformaldehyde, permeabilised ...read more
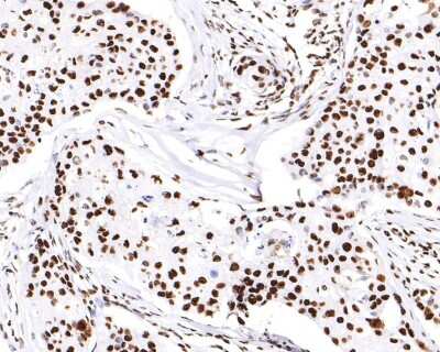
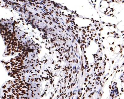
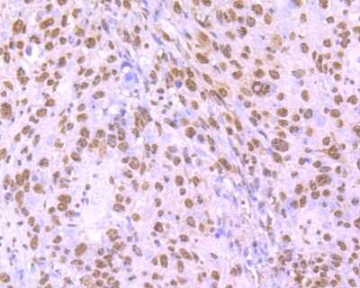
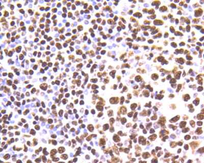
Immunohistochemistry-Paraffin: hnRNP U Antibody (JB23-43) [NBP2-75526] - Analysis of paraffin-embedded human tonsil tissue using anti-HnRNP U antibody. Counter stained with hematoxylin.
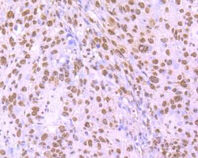
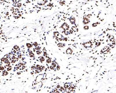
Immunohistochemistry-Paraffin: hnRNP U Antibody (JB23-43) [NBP2-75526] - Analysis of paraffin-embedded human lung cancer tissue using anti-HnRNP U antibody. Counter stained with hematoxylin.
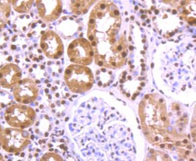
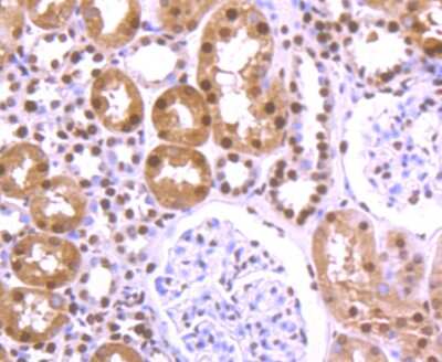
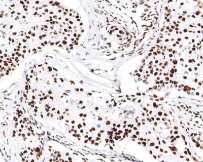
Immunohistochemistry-Paraffin: hnRNP U Antibody (JB23-43) [NBP2-75526] - Analysis of paraffin-embedded human kidney tissue using anti-HnRNP U antibody. Counter stained with hematoxylin.
Immunohistochemistry-Paraffin: hnRNP U Antibody (JB23-43) [NBP2-75526] - Analysis of paraffin-embedded mouse colon tissue using anti-HnRNP U antibody. Counter stained with hematoxylin.
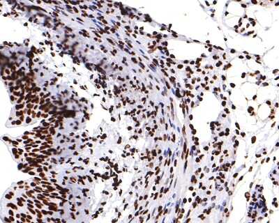
Immunohistochemistry-Paraffin: hnRNP U Antibody (JB23-43) [NBP2-75526] - Analysis of paraffin-embedded rat brain tissue using anti-HnRNP U antibody. Counter stained with hematoxylin.
Immunohistochemistry-Paraffin: hnRNP U Antibody (JB23-43) [NBP2-75526] - Analysis of paraffin-embedded rat brain tissue with Rabbit anti-hnRNP U antibody washed with ddH2O and PBS, and then probed with the primary ...read more
Immunohistochemistry-Paraffin: hnRNP U Antibody (JB23-43) [NBP2-75526] - Analysis of paraffin-embedded human tonsil tissue with Rabbit anti-hnRNP U antibody washed with ddH2O and PBS, and then probed with the primary ...read more
Immunohistochemistry-Paraffin: hnRNP U Antibody (JB23-43) [NBP2-75526] - Analysis of paraffin-embedded human cervix tissue with Rabbit anti-hnRNP U antibody washed with ddH2O and PBS, and then probed with the primary ...read more
Immunohistochemistry-Paraffin: hnRNP U Antibody (JB23-43) [NBP2-75526] - Analysis of paraffin-embedded human thyroid tissue with Rabbit anti-hnRNP U antibody washed with ddH2O and PBS, and then probed with the primary ...read more
Immunohistochemistry-Paraffin: hnRNP U Antibody (JB23-43) [NBP2-75526] - Analysis of paraffin-embedded human colon carcinoma tissue with Rabbit anti-hnRNP U antibody washed with ddH2O and PBS, and then probed with the ...read more
Immunohistochemistry-Paraffin: hnRNP U Antibody (JB23-43) [NBP2-75526] - Analysis of paraffin-embedded human skin tissue with Rabbit anti-hnRNP U antibody washed with ddH2O and PBS, and then probed with the primary ...read more
Immunohistochemistry-Paraffin: hnRNP U Antibody (JB23-43) [NBP2-75526] - Analysis of paraffin-embedded human breast tissue with Rabbit anti-hnRNP U antibody washed with ddH2O and PBS, and then probed with the primary ...read more
Immunohistochemistry-Paraffin: hnRNP U Antibody (JB23-43) [NBP2-75526] - Analysis of paraffin-embedded human breast carcinoma tissue with Rabbit anti-hnRNP U antibody washed with ddH2O and PBS, and then probed with the ...read more
Immunohistochemistry-Paraffin: hnRNP U Antibody (JB23-43) [NBP2-75526] - Analysis of paraffin-embedded human esophagus tissue with Rabbit anti-hnRNP U antibody washed with ddH2O and PBS, and then probed with the primary ...read more
Immunohistochemistry-Paraffin: hnRNP U Antibody (JB23-43) [NBP2-75526] - Analysis of paraffin-embedded mouse bladder tissue with Rabbit anti-hnRNP U antibody washed with ddH2O and PBS, and then probed with the primary ...read more

Product Details

Summary
Product Discontinued
View other related hnRNP U Primary Antibodies

Order Details


    • Catalog Number
      NBP2-75526
    • Availability
      Product Discontinued

    Can't find what you are looking for? Use our Antibody Concierge Service & we will help you locate your antibody!

    Or feel free to contact us for alternative products.

hnRNP U Antibody (JB23-43) Summary

Additional Information
Recombinant Monoclonal Antibody.
Immunogen
Recombinantpeptide within Human hnRNP U aa 1-140 / 825. (SwissProt: Q00839 Human; SwissProt: Q8VEK3 Mouse; SwissProt: Q6IMY8 Rat)
Localization
Nucleus. Cytoskeleton.
Isotype
IgG
Clonality
Monoclonal
Host
Rabbit
Gene
HNRNPU
Purity
Protein A purified
Innovator's Reward
Test in a species/application not listed above to receive a full credit towards a future purchase.

Applications/Dilutions

Dilutions
  • Immunocytochemistry/ Immunofluorescence 1:100-1:500
  • Immunohistochemistry
  • Immunohistochemistry-Paraffin 1:50-1:400
  • Western Blot 1:500-1:1000
Theoretical MW
120 kDa.
Disclaimer note: The observed molecular weight of the protein may vary from the listed predicted molecular weight due to post translational modifications, post translation cleavages, relative charges, and other experimental factors.

Packaging, Storage & Formulations

Storage
Store at 4C short term. Aliquot and store at -20C long term. Avoid freeze-thaw cycles.
Buffer
TBS (pH7.4), 0.05% BSA, 40% Glycerol
Preservative
0.05% Sodium Azide
Concentration
1 mg/ml
Purity
Protein A purified

Alternate Names for hnRNP U Antibody (JB23-43)

  • heterogeneous nuclear ribonucleoprotein U (scaffold attachment factor A)
  • heterogeneous nuclear ribonucleoprotein U
  • hnRNP U
  • HNRPU
  • p120 nuclear protein
  • p120
  • pp120
  • SAFA
  • SAF-AhnRNPU
  • Scaffold attachment factor A
  • U21.1

Background

hnRNP U belongs to the subfamily of ubiquitously expressed heterogeneous nuclear ribonucleoproteins (hnRNPs). The hnRNPs are RNA binding proteins and they form complexes with heterogeneous nuclear RNA (hnRNA). These proteins are associated with pre-mRNAs in the nucleus and appear to influence pre-mRNA processing and other aspects of mRNA metabolism and transport. While all of the hnRNPs are present in the nucleus, some seem to shuttle between the nucleus and the cytoplasm. The hnRNP proteins have distinct nucleic acid binding properties. The protein encoded by this gene contains a RNA binding domain and scaffold-associated region (SAR)-specific bipartite DNA-binding domain. This protein is also thought to be involved in the packaging of hnRNA into large ribonucleoprotein complexes. During apoptosis, this protein is cleaved in a caspase-dependent way. Cleavage occurs at the SALD site, resulting in a loss of DNA-binding activity and a concomitant detachment of this protein from nuclear structural sites. But this cleavage does not affect the function of the encoded protein in RNA metabolism. At least two alternatively spliced transcript variants have been identified for this gene.

Limitations

This product is for research use only and is not approved for use in humans or in clinical diagnosis. Primary Antibodies are guaranteed for 1 year from date of receipt.

Customers Who Viewed This Item Also Viewed...

NBP2-67327
Species: Hu, Mu, Rt
Applications: Flow, ICC/IF, IHC,  IHC-P, IP, WB
NBP2-12793
Species: Hu, Mu
Applications: IHC,  IHC-P, IP, WB
MAB1417
Species: Bv, Hu, Mu
Applications: ICC, IHC
PP-H4417-00
Species: Hu
Applications: DirELISA, IP, WB
NBP1-76855
Species: Hu
Applications: ELISA, ICC/IF, WB
MPTX20
Species: Mu
Applications: ELISA
NB300-731
Species: Gp, Hu, Mu, Rb, Rt, Sh, Ye
Applications: B/N, ChIP, Flow, GS, ICC/IF, IHC,  IHC-P, IP, WB
H00004068-M01
Species: Hu, Mu
Applications: ELISA, Flow, Func, WB
AF2685
Species: Hu
Applications: IHC, Simple Western, WB
NBP2-36776
Species: Hu
Applications: ICC/IF, IHC,  IHC-P, KD, WB
NB600-241
Species: Hu, Mu, Pl, Rt
Applications: ChIP, ChIP, EM, ICC/IF, IHC-WhMt, IHC, IHC-Fr,  IHC-P, IM, KD, Simple Western, WB
NBP2-29463
Species: Pm, Hu, Pm, Mu
Applications: Flow, ICC/IF, IHC,  IHC-P, WB
NBP2-38806
Species: Hu
Applications: ICC/IF, IHC,  IHC-P, WB
AF4259
Species: Hu, Mu, Rt
Applications: ICC, Simple Western, WB
AF231
Species: Hu
Applications: CyTOF-ready, Dual ISH-IHC, ELISA(Cap), ELISA(Det), ELISA(Sta), Flow, ICC, IHC, IP, Simple Western, WB
236-EG
Species: Hu
Applications: BA

Publications for hnRNP U Antibody (NBP2-75526) (0)

There are no publications for hnRNP U Antibody (NBP2-75526).
By submitting your publication information earn gift cards and discounts for future purchases.

Reviews for hnRNP U Antibody (NBP2-75526) (0)

There are no reviews for hnRNP U Antibody (NBP2-75526). By submitting a review you will receive an Amazon e-Gift Card or Novus Product Discount.
  • Review with no image -- $10/€7/£6/$10 CAD/¥70 Yuan/¥1110 Yen
  • Review with an image -- $25/€18/£15/$25 CAD/¥150 Yuan/¥2500 Yen

Product General Protocols

Find general support by application which include: protocols, troubleshooting, illustrated assays, videos and webinars.

Video Protocols

WB Video Protocol
ICC/IF Video Protocol

FAQs for hnRNP U Antibody (NBP2-75526) (0)

There are no specific FAQs related to this product. Read our general customer & technical service FAQs.

Secondary Antibodies

 

Isotype Controls

Additional hnRNP U Products

Research Areas for hnRNP U Antibody (NBP2-75526)

Find related products by research area.

Blogs on hnRNP U

There are no specific blogs for hnRNP U, but you can read our latest blog posts.

Contact Information

Product PDFs

Calculators

Concentration Calculator

The concentration calculator allows you to quickly calculate the volume, mass or concentration of your vial. Simply enter your mass, volume, or concentration values for your reagent and the calculator will determine the rest.

=
÷

Review this Product

Be the first to review our hnRNP U Antibody (JB23-43) and receive a gift card or discount.

Bioinformatics

Gene Symbol HNRNPU