HLA DMA Antibody (6B12NB) - Azide and BSA Free

Images

 
Western Blot: HLA DMA Antibody (6B12NB) - Azide Free [NBP2-44304] - Western blot analysis of (A) partial recombinant human HLA DMA protein, and lysates of (B) Ramos cells and (C) Raji cells using 1:500 dilution of HLA ...read more
Immunocytochemistry/ Immunofluorescence: HLA DMA Antibody (6B12NB) - Azide Free [NBP2-44304] - Daudi cells were fixed for 10 minutes using 10% formalin and then permeabilized for 5 minutes using 1X TBS + 0.5% ...read more
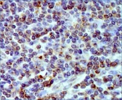
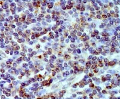
Immunohistochemistry-Paraffin: HLA DMA Antibody (6B12NB) - Azide Free [NBP2-44304] - IHC analysis of a formalin fixed and paraffin embedded tissue section of normal human tonsil using 1:200 dilution of HLA DMA antibody ...read more
Flow (Cell Surface): HLA DMA Antibody (6B12NB) - Azide Free [NBP2-44304] - Human PBMC cells were stained (surface) with HLA DMA (6B12NB) antibody (red) or isotype control (mouse IgG1; green). Blue line represents cells ...read more

Product Details

Summary
Reactivity Hu, PmSpecies Glossary
Applications WB, Flow, ICC/IF, IHC
Clone
6B12NB
Clonality
Monoclonal
Host
Mouse
Conjugate
Unconjugated
Format
Azide and BSA Free

Order Details

HLA DMA Antibody (6B12NB) - Azide and BSA Free Summary

Description
Novus Biologicals Mouse HLA DMA Antibody (6B12NB) - Azide and BSA Free (NBP2-44302) is a monoclonal antibody validated for use in IHC, WB and ICC/IF. All Novus Biologicals antibodies are covered by our 100% guarantee.
Immunogen
Partial recombinant human HLA DMA protein (between amino acids 10-300) [Entrez NP_006111]
Localization
Membranes of Late Endosomes / Lysosomes
Predicted Species
Primate (100%). Backed by our 100% Guarantee.
Isotype
IgG1 Kappa
Clonality
Monoclonal
Host
Mouse
Gene
HLA-DMA
Purity
Protein G purified
Innovator's Reward
Test in a species/application not listed above to receive a full credit towards a future purchase.

Applications/Dilutions

Dilutions
  • Flow (Cell Surface) 2.5 ug/million cells
  • Immunocytochemistry/ Immunofluorescence 10-20 ug/ml
  • Immunohistochemistry 1:200
  • Immunohistochemistry-Paraffin 1:200
  • Western Blot 2 ug/ml

Packaging, Storage & Formulations

Storage
Store at -20C. Avoid freeze-thaw cycles.
Buffer
PBS
Preservative
No Preservative
Purity
Protein G purified

Alternate Names for HLA DMA Antibody (6B12NB) - Azide and BSA Free

  • class II histocompatibility antigen, M alpha chain
  • D6S222E
  • DMA
  • HLA class II histocompatibility antigen, DM alpha chain
  • major histocompatibility complex, class II, DM alpha
  • MHC class II antigen DMA
  • Really interesting new gene 6 protein
  • RING6HLADM

Background

HLA-DMA belongs to the HLA class II alpha chain paralogues. This class II molecule is a heterodimer consisting of an alpha (DMA) and a beta chain (DMB), both anchored in the membrane. It is located in intracellular vesicles. DM plays a central role in the peptide loading of MHC class II molecules by helping to release the CLIP molecule from the peptide binding site. Class II molecules are expressed in antigen presenting cells (APC: B lymphocytes, dendritic cells, macrophages). The alpha chain is approximately 33-35 kDa and its gene contains 5 exons. Exon one encodes the leader peptide, exons 2 and 3 encode the two extracellular domains, exon 4 encodes the transmembrane domain and the cytoplasmic tail.

Limitations

This product is for research use only and is not approved for use in humans or in clinical diagnosis. Primary Antibodies are guaranteed for 1 year from date of receipt.

Customers Who Viewed This Item Also Viewed...

NBP3-39497
Species: Hu
Applications: ELISA
NBP1-31138
Species: Hu
Applications: IHC,  IHC-P, WB
MAB7265
Species: Mu
Applications: IHC, WB
NBP1-85010
Species: Hu
Applications: IHC,  IHC-P
NBP2-34294
Species: Hu, Mu, Rt
Applications: Flow, IHC,  IHC-P
NBP1-76847
Species: Hu, Mu, Rt
Applications: ELISA, ICC/IF, IHC,  IHC-P, WB
664-LI
Species: Hu
Applications: BA
NBP2-45316
Species: Hu, Pm
Applications: Flow, ICC/IF, IHC,  IHC-P, WB
NB100-1131
Species: ArHa, Hu
Applications: IHC,  IHC-P, PEP-ELISA, WB
NBP2-01346
Species: Ca, Hu, Pm, Mu, Pm, Rt
Applications: Flow, ICC/IF, IHC,  IHC-P, WB
AF3398
Species: Hu, Mu, Rt
Applications: ICC, KO, Simple Western, WB
NBP1-89296
Species: Hu
Applications: IHC,  IHC-P, WB
NBP2-32691
Species: Hu
Applications: IHC,  IHC-P, WB
H00003126-P01
Species: Hu
Applications: ELISA, AP, PA, WB
MAB1455
Species: Hu
Applications: CyTOF-ready, Dual ISH-IHC, ICC, IHC, ICFlow, Simple Western, WB
H00006890-M04
Species: Hu
Applications: ELISA, Flow, ICC/IF, WB
NB200-541
Species: Mu
Applications: IA, ICC/IF, IHC, IHC-Fr, IP, WB
NBP2-93797
Species: Hu, Mu, Rt
Applications: ICC/IF, IHC,  IHC-P, WB
NBP2-31769
Species: Hu
Applications: IHC,  IHC-P
NBP2-44304
Species: Hu, Pm
Applications: WB, Flow, ICC/IF, IHC

Publications for HLA DMA Antibody (NBP2-44304) (0)

There are no publications for HLA DMA Antibody (NBP2-44304).
By submitting your publication information earn gift cards and discounts for future purchases.

Reviews for HLA DMA Antibody (NBP2-44304) (0)

There are no reviews for HLA DMA Antibody (NBP2-44304). By submitting a review you will receive an Amazon e-Gift Card or Novus Product Discount.
  • Review with no image -- $10/€7/£6/$10 CAD/¥70 Yuan/¥1110 Yen
  • Review with an image -- $25/€18/£15/$25 CAD/¥150 Yuan/¥2500 Yen

Product General Protocols

Find general support by application which include: protocols, troubleshooting, illustrated assays, videos and webinars.

Video Protocols

WB Video Protocol
ICC/IF Video Protocol

FAQs for HLA DMA Antibody (NBP2-44304) (0)

There are no specific FAQs related to this product. Read our general customer & technical service FAQs.

Customers Who Bought This Also Bought

Contact Information

Product PDFs

Calculators

Concentration Calculator

The concentration calculator allows you to quickly calculate the volume, mass or concentration of your vial. Simply enter your mass, volume, or concentration values for your reagent and the calculator will determine the rest.

=
÷

Review this Product

Be the first to review our HLA DMA Antibody (6B12NB) - Azide and BSA Free and receive a gift card or discount.

Bioinformatics

Gene Symbol HLA-DMA