HIBCH Antibody (OTI3H5)

Images

 
Western Blot: HIBCH Antibody (3H5) [NBP2-02673] - Analysis of extracts (35ug) from 9 different cell lines by using anti-HIBCH monoclonal antibody.
Immunohistochemistry: HIBCH Antibody (3H5) [NBP2-02673] - Human Prostate cancer tisuuse was stained using HIBCH antibody, showing the up-regulation of HIBCH. This image was submitted via customer Review.
Flow Cytometry: HIBCH Antibody (3H5) [NBP2-02673] - HEK293T cells transfected with either overexpression plasmid (Red) or empty vector control plasmid (Blue) were immunostained by anti-HIBCH antibody, and then analyzed ...read more
Western Blot: HIBCH Antibody (3H5) [NBP2-02673] - HEK293T cells were transfected with the pCMV6-ENTRY control (Left lane) or pCMV6-ENTRY HIBCH (Right lane) cDNA for 48 hrs and lysed. Equivalent amounts of cell lysates ...read more
Immunohistochemistry-Paraffin: HIBCH Antibody (3H5) [NBP2-02673] - Staining of paraffin-embedded Adenocarcinoma of Human colon tissue using anti-HIBCH mouse monoclonal antibody.
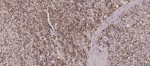
Immunohistochemistry-Paraffin: HIBCH Antibody (3H5) [NBP2-02673] - Staining of paraffin-embedded Human Kidney tissue using anti-HIBCH mouse monoclonal antibody.
Immunohistochemistry-Paraffin: HIBCH Antibody (3H5) [NBP2-02673] - Staining of paraffin-embedded Human liver tissue using anti-HIBCH mouse monoclonal antibody.

Product Details

Summary
Reactivity Hu, CaSpecies Glossary
Applications WB, Flow, IHC
Clone
OTI3H5
Clonality
Monoclonal
Host
Mouse
Conjugate
Unconjugated
Concentration
0.9 mg/ml

Order Details

HIBCH Antibody (OTI3H5) Summary

Description
Novus Biologicals Mouse HIBCH Antibody (OTI3H5) (NBP2-02673) is a monoclonal antibody validated for use in IHC, WB and Flow. All Novus Biologicals antibodies are covered by our 100% guarantee.
Immunogen
Full length human recombinant protein of human HIBCH (NP_055177) produced in HEK293T cell.
Isotype
IgG2a
Clonality
Monoclonal
Host
Mouse
Gene
HIBCH
Purity
Immunogen affinity purified
Innovator's Reward
Test in a species/application not listed above to receive a full credit towards a future purchase.

Applications/Dilutions

Dilutions
  • Flow Cytometry 1:100
  • Immunohistochemistry 1:50
  • Immunohistochemistry-Paraffin 1:50
  • Western Blot 1:1000-2000
Theoretical MW
39.4 kDa.
Disclaimer note: The observed molecular weight of the protein may vary from the listed predicted molecular weight due to post translational modifications, post translation cleavages, relative charges, and other experimental factors.
Reviewed Applications
Read 1 Review rated 5
using
NBP2-02673 in the following applications:

Packaging, Storage & Formulations

Storage
Store at -20C. Avoid freeze-thaw cycles.
Buffer
PBS (pH 7.3), 1.0% BSA and 50% Glycerol
Preservative
0.02% Sodium Azide
Concentration
0.9 mg/ml
Purity
Immunogen affinity purified

Alternate Names for HIBCH Antibody (OTI3H5)

  • 3-hydroxyisobutyryl-CoA hydrolase
  • EC 3.1.2.4,3-hydroxyisobutyryl-coenzyme A hydrolase3-hydroxyisobutyryl-CoA hydrolase, mitochondrial
  • HIB-CoA hydrolase
  • HIBYLCOAH
  • HIBYL-CoA-H

Background

This gene encodes the enzyme responsible for hydrolysis of both HIBYL-CoA and beta-hydroxypropionyl-CoA. Mutations in this gene have been associated with 3-hyroxyisobutyryl-CoA hydrolase deficiency. Alternative splicing results in multiple transcript variants.

Limitations

This product is for research use only and is not approved for use in humans or in clinical diagnosis. Primary Antibodies are guaranteed for 1 year from date of receipt.

Customers Who Viewed This Item Also Viewed...

NBP1-88220
Species: Hu, Mu, Rt
Applications: ICC/IF, IHC,  IHC-P, KD, WB
NBP1-87974
Species: Hu
Applications: IHC,  IHC-P, WB
788-G8/CF
Species: Hu, Mu, Rt
Applications: BA
NBP1-84722
Species: Hu
Applications: ICC/IF, IHC,  IHC-P
NBP1-89766
Species: Hu, Mu, Rt
Applications: ICC/IF, IHC,  IHC-P, WB
AF-241-NA
Species: Hu
Applications: CyTOF-ready, ELISA(Cap), ELISA(Det), ELISA(Sta), Flow, IHC, Neut, WB
AF3025
Species: Hu
Applications: ELISA, ICC, WB
NBP1-80985
Species: Hu
Applications: IHC,  IHC-P, WB
NBP2-46477
Species: Ca, Hu, Pm, Mu, Rt
Applications: ICC/IF, IHC,  IHC-P, WB
NBP2-68870
Species: Hu
Applications: ICC/IF
NBP1-86124
Species: Hu, Mu, Rt
Applications: IHC,  IHC-P, WB
NBP1-85786
Species: Hu, Mu, Rt
Applications: ICC/IF, IHC,  IHC-P, WB
NBP1-76577
Species: Hu, Mu, Rt
Applications: ELISA, ICC/IF, IHC,  IHC-P, WB
NBP2-14407
Species: Hu
Applications: IHC,  IHC-P, WB
NBP1-82296
Species: Hu
Applications: ICC/IF, IHC,  IHC-P
MAB330
Species: Hu
Applications: CyTOF-reported, Flow, IHC, Neut
NBP1-71838
Species: Hu, Mu
Applications: ChIP, IP, Simple Western, WB
NBP2-55525
Species: Hu
Applications: ICC/IF
NBP2-43648
Species: Hu, Mu, Rt, Ze
Applications: ICC/IF, IHC,  IHC-P, WB
NBP2-02673
Species: Hu, Ca
Applications: WB, Flow, IHC

Publications for HIBCH Antibody (NBP2-02673) (0)

There are no publications for HIBCH Antibody (NBP2-02673).
By submitting your publication information earn gift cards and discounts for future purchases.

Review for HIBCH Antibody (NBP2-02673) (1) 51

Average Rating: 5
(Based on 1 review)
We have 1 review tested in 1 species: Human.

Reviews using NBP2-02673:
Filter by Applications
IHC
(1)
All Applications
Filter by Species
Human
(1)
All Species
Images Ratings Applications Species Date Details
Immunohistochemistry HIBCH NBP2-02673
Enlarge
5
reviewed by:
Sachin Puri
IHC Human 06/15/2017
View

Summary

ApplicationImmunohistochemistry
Sample TestedProstate tissue
SpeciesHuman

Product General Protocols

Find general support by application which include: protocols, troubleshooting, illustrated assays, videos and webinars.

Video Protocols

WB Video Protocol

FAQs for HIBCH Antibody (NBP2-02673) (0)

There are no specific FAQs related to this product. Read our general customer & technical service FAQs.

Secondary Antibodies

 

Isotype Controls

Additional HIBCH Products

Research Areas for HIBCH Antibody (NBP2-02673)

Find related products by research area.

Blogs on HIBCH

There are no specific blogs for HIBCH, but you can read our latest blog posts.

Customers Who Bought This Also Bought

Contact Information

Product PDFs

Calculators

Concentration Calculator

The concentration calculator allows you to quickly calculate the volume, mass or concentration of your vial. Simply enter your mass, volume, or concentration values for your reagent and the calculator will determine the rest.

=
÷

Recent Reviews

5
5
1
4
0
3
0
2
0
1
0

Sachin Puri
06/15/2017
Application: IHC
Species: Human

Bioinformatics

Gene Symbol HIBCH
Entrez