HGFR/c-MET Antibody (SJ19-05)

Images

 
Western Blot: HGFR/c-MET Antibody (SJ19-05) [NBP2-67412] - Western blot analysis of HGFR/c-MET on different lysates. Proteins were transferred to a PVDF membrane and blocked with 5% BSA in PBS for 1 hour at room ...read more
Immunocytochemistry/ Immunofluorescence: HGFR/c-MET Antibody (SJ19-05) [NBP2-67412] - Staining Met in Hela cells (green). The nuclear counter stain is DAPI (blue). Cells were fixed in paraformaldehyde, permeabilised ...read more
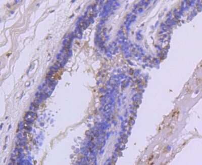
Immunohistochemistry-Paraffin: HGFR/c-MET Antibody (SJ19-05) [NBP2-67412] - Analysis of paraffin-embedded human tonsil tissue using anti-Met antibody. Counter stained with hematoxylin.
Flow Cytometry: HGFR/c-MET Antibody (SJ19-05) [NBP2-67412] - Flow cytometric analysis of HGFR/c-MET was done on Hela cells. The cells were fixed, permeabilized and stained with the primary antibody (1/50) (red). After ...read more
Western Blot: HGFR/c-MET Antibody (SJ19-05) [NBP2-67412] - Analysis of Met on different lysates using anti-Met antibody at 1/1,000 dilution. Positive control: Lane 1: Hela Lane 2: HepG2
Immunohistochemistry-Paraffin: HGFR/c-MET Antibody (SJ19-05) [NBP2-67412] - Analysis of paraffin-embedded human breast carcinoma tissue using anti-Met antibody. Counter stained with hematoxylin.
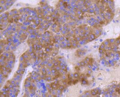
Immunohistochemistry-Paraffin: HGFR/c-MET Antibody (SJ19-05) [NBP2-67412] - Analysis of paraffin-embedded human liver cancer tissue using anti-Met antibody. Counter stained with hematoxylin.
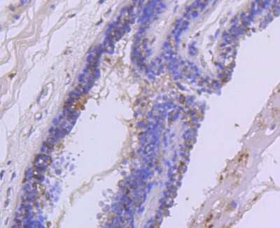
Immunohistochemistry-Paraffin: HGFR/c-MET Antibody (SJ19-05) [NBP2-67412] - Analysis of paraffin-embedded human lung cancer tissue using anti-Met antibody. Counter stained with hematoxylin.
Flow Cytometry: HGFR/c-MET Antibody (SJ19-05) [NBP2-67412] - Analysis of Hela cells with Met antibody at 1/50 dilution (red) compared with an unlabelled control (cells without incubation with primary antibody; black). ...read more

Product Details

Summary
Product Discontinued
View other related HGFR/c-MET Primary Antibodies

Order Details


    • Catalog Number
      NBP2-67412
    • Availability
      Product Discontinued

    Can't find what you are looking for? Use our Antibody Concierge Service & we will help you locate your antibody!

    Or feel free to contact us for alternative products.

HGFR/c-MET Antibody (SJ19-05) Summary

Additional Information
Recombinant Monoclonal Antibody.
Immunogen
Synthetic peptide within C-terminal human HGFR/c-MET. (SwissProt: P08581 Human)
Localization
Membrane, Secreted.
Isotype
IgG
Clonality
Monoclonal
Host
Rabbit
Gene
MET
Purity
Protein A purified
Innovator's Reward
Test in a species/application not listed above to receive a full credit towards a future purchase.

Applications/Dilutions

Dilutions
  • Flow Cytometry 1:50-1:100
  • Immunocytochemistry/ Immunofluorescence 1:50-1:200
  • Immunohistochemistry
  • Immunohistochemistry-Paraffin 1:50-1:200
  • Western Blot 1:1000-1:5000

Packaging, Storage & Formulations

Storage
Store at 4C short term. Aliquot and store at -20C long term. Avoid freeze-thaw cycles.
Buffer
TBS (pH7.4), 0.05% BSA, 40% Glycerol
Preservative
0.05% Sodium Azide
Concentration
1 mg/ml
Purity
Protein A purified

Alternate Names for HGFR/c-MET Antibody (SJ19-05)

  • AUTS9
  • cMET
  • c-MET
  • EC 2.7.10
  • EC 2.7.10.1
  • hepatocyte growth factor receptor
  • HGF R
  • HGF receptor
  • HGF/SF receptor
  • HGFR
  • Met (c-Met)
  • met proto-oncogene (hepatocyte growth factor receptor)
  • met proto-oncogene tyrosine kinase
  • MET
  • oncogene MET
  • Proto-oncogene c-Met
  • RCCP2
  • Scatter factor receptor
  • SF receptor
  • Tyrosine-protein kinase Met

Background

Met is a receptor protein-tyrosine kinase (RPTK) for hepatocyte growth factor (HGF), which is a multifunctional cytokine controlling cell growth, morphogenesis, and motility. Met overexpression has been identified in a variety of human cancers (1). Met kinase domain possesses unique features that distinguish met from other members of the src family of protein tyrosine kinases. These results also demonstrate that the product of the activated met gene is a fusion protein and that the amino terminal end of this fusion protein exhibits homology to laminin B1 (2). Data suggest that RanBP9, functioning as an adaptor protein for the Met tyrosine kinase domain, can augment the HGF-Met signaling pathway and that RanBP9 overexpression may cause constitutive activation of the Ras signaling pathway (1). Hereditary papillary renal carcinoma (HPRC) is a recently recognized form of inherited kidney cancer Results suggest that missense mutations located in the MET proto-oncogene lead to constitutive activation of the Met protein and papillary renal carcinomas (3)

Limitations

This product is for research use only and is not approved for use in humans or in clinical diagnosis. Primary Antibodies are guaranteed for 1 year from date of receipt.

Customers Who Viewed This Item Also Viewed...

294-HG
Species: Hu
Applications: BA
M6000B
Species: Mu
Applications: ELISA
NB110-68800
Species: Hu, Mu, Pm
Applications: ICC/IF, WB
AF231
Species: Hu
Applications: CyTOF-ready, Dual ISH-IHC, ELISA(Cap), ELISA(Det), ELISA(Sta), Flow, ICC, IHC, IP, Simple Western, WB
AF887
Species: Hu, Mu, Rt
Applications: CyTOF-ready, IHC, ICFlow, Simple Western, WB
DVE00
Species: Hu
Applications: ELISA
236-EG
Species: Hu
Applications: BA
AF1230
Species: Hu, Mu, Rt
Applications: IHC, KO, WB
NBP2-22203
Species: Hu, Pm, Mu, Rt
Applications: ELISA, Flow, ICC/IF, IHC,  IHC-P, WB
1129-ER
Species: Hu
Applications: BA
AF748
Species: Hu, Mu
Applications: CyTOF-ready, Dual ISH-IHC, Flow, ICC, IHC, Simple Western, WB
NBP2-19804
Species: Hu, Mu
Applications: ICC/IF, IHC,  IHC-P, WB
NB200-103
Species: Hu, Mu, Rt, Xp(-), Ye
Applications: CyTOF-ready, ELISA, Flow-IC, Flow, ICC/IF, IHC, IHC-Fr,  IHC-P, IP, WB
AF2685
Species: Hu
Applications: IHC, Simple Western, WB
AF467
Species: Hu, Mu
Applications: CyTOF-ready, Flow, ICC, IHC, Simple Western, WB
NBP2-15071
Species: Hu, Mu, Rt
Applications: ICC/IF, IHC,  IHC-P, KO, WB
NBP2-67412
Species: Hu
Applications: WB, Flow, ICC/IF, IHC

Publications for HGFR/c-MET Antibody (NBP2-67412) (0)

There are no publications for HGFR/c-MET Antibody (NBP2-67412).
By submitting your publication information earn gift cards and discounts for future purchases.

Reviews for HGFR/c-MET Antibody (NBP2-67412) (0)

There are no reviews for HGFR/c-MET Antibody (NBP2-67412). By submitting a review you will receive an Amazon e-Gift Card or Novus Product Discount.
  • Review with no image -- $10/€7/£6/$10 CAD/¥70 Yuan/¥1110 Yen
  • Review with an image -- $25/€18/£15/$25 CAD/¥150 Yuan/¥2500 Yen

Product General Protocols

Find general support by application which include: protocols, troubleshooting, illustrated assays, videos and webinars.

Video Protocols

WB Video Protocol
ICC/IF Video Protocol

FAQs for HGFR/c-MET Antibody (NBP2-67412) (0)

There are no specific FAQs related to this product. Read our general customer & technical service FAQs.

Contact Information

Product PDFs

Calculators

Concentration Calculator

The concentration calculator allows you to quickly calculate the volume, mass or concentration of your vial. Simply enter your mass, volume, or concentration values for your reagent and the calculator will determine the rest.

=
÷

Review this Product

Be the first to review our HGFR/c-MET Antibody (SJ19-05) and receive a gift card or discount.

Bioinformatics

Gene Symbol MET