HGFR/c-MET Antibody (OTI1E6)

Images

 
Western Blot: HGF R/c-MET Antibody (1E6) [NBP2-45822] - Analysis of HEK293T cells were transfected with the pCMV6-ENTRY control (Left lane) or pCMV6-ENTRY c-MET.
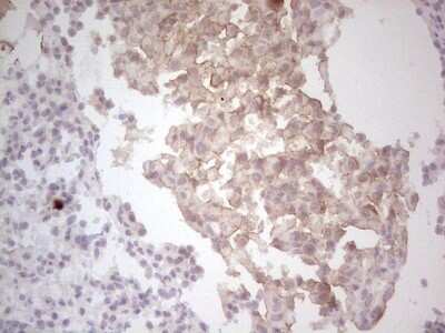
Immunohistochemistry: HGF R/c-MET Antibody (1E6) [NBP2-45822] - Analysis of Human lung carcinoma tissue.

Product Details

Summary
Product Discontinued
View other related HGFR/c-MET Primary Antibodies

Order Details


    • Catalog Number
      NBP2-45822
    • Availability
      Product Discontinued

    Can't find what you are looking for? Use our Antibody Concierge Service & we will help you locate your antibody!

    Or feel free to contact us for alternative products.

HGFR/c-MET Antibody (OTI1E6) Summary

Immunogen
Human recombinant protein fragment corresponding to amino acids 570-885 of human MET(NP_000236) produced in E.coli.
Isotype
IgG2b
Clonality
Monoclonal
Host
Mouse
Gene
MET
Purity
Immunogen affinity purified
Innovator's Reward
Test in a species/application not listed above to receive a full credit towards a future purchase.

Applications/Dilutions

Dilutions
  • Immunohistochemistry 1:150
  • Western Blot 1:2000
Theoretical MW
153 kDa.
Disclaimer note: The observed molecular weight of the protein may vary from the listed predicted molecular weight due to post translational modifications, post translation cleavages, relative charges, and other experimental factors.

Reactivity Notes

Please note that this antibody is reactive to Mouse and derived from the same host, Mouse. Mouse-On-Mouse blocking reagent may be needed for IHC and ICC experiments to reduce high background signal. You can find these reagents under catalog numbers PK-2200-NB and MP-2400-NB. Please contact Technical Support if you have any questions.

Packaging, Storage & Formulations

Storage
Store at -20C. Avoid freeze-thaw cycles.
Buffer
PBS (pH 7.3), 1.0% BSA and 50% Glycerol
Preservative
0.02% Sodium Azide
Concentration
1 mg/ml
Purity
Immunogen affinity purified

Alternate Names for HGFR/c-MET Antibody (OTI1E6)

  • AUTS9
  • cMET
  • c-MET
  • EC 2.7.10
  • EC 2.7.10.1
  • hepatocyte growth factor receptor
  • HGF R
  • HGF receptor
  • HGF/SF receptor
  • HGFR
  • Met (c-Met)
  • met proto-oncogene (hepatocyte growth factor receptor)
  • met proto-oncogene tyrosine kinase
  • MET
  • oncogene MET
  • Proto-oncogene c-Met
  • RCCP2
  • Scatter factor receptor
  • SF receptor
  • Tyrosine-protein kinase Met

Background

Met is a receptor protein-tyrosine kinase (RPTK) for hepatocyte growth factor (HGF), which is a multifunctional cytokine controlling cell growth, morphogenesis, and motility. Met overexpression has been identified in a variety of human cancers (1). Met kinase domain possesses unique features that distinguish met from other members of the src family of protein tyrosine kinases. These results also demonstrate that the product of the activated met gene is a fusion protein and that the amino terminal end of this fusion protein exhibits homology to laminin B1 (2). Data suggest that RanBP9, functioning as an adaptor protein for the Met tyrosine kinase domain, can augment the HGF-Met signaling pathway and that RanBP9 overexpression may cause constitutive activation of the Ras signaling pathway (1). Hereditary papillary renal carcinoma (HPRC) is a recently recognized form of inherited kidney cancer Results suggest that missense mutations located in the MET proto-oncogene lead to constitutive activation of the Met protein and papillary renal carcinomas (3)

Limitations

This product is for research use only and is not approved for use in humans or in clinical diagnosis. Primary Antibodies are guaranteed for 1 year from date of receipt.

Customers Who Viewed This Item Also Viewed...

294-HG
Species: Hu
Applications: BA
M6000B
Species: Mu
Applications: ELISA
NB110-68800
Species: Hu, Mu, Pm
Applications: ICC/IF, WB
AF231
Species: Hu
Applications: CyTOF-ready, Dual ISH-IHC, ELISA(Cap), ELISA(Det), ELISA(Sta), Flow, ICC, IHC, IP, Simple Western, WB
AF887
Species: Hu, Mu, Rt
Applications: CyTOF-ready, IHC, ICFlow, Simple Western, WB
DVE00
Species: Hu
Applications: ELISA
236-EG
Species: Hu
Applications: BA
AF1230
Species: Hu, Mu, Rt
Applications: IHC, KO, WB
DYC1825-2
Species: Hu, Mu, Rt
Applications: ELISA
1129-ER
Species: Hu
Applications: BA
AF748
Species: Hu, Mu
Applications: CyTOF-ready, Dual ISH-IHC, Flow, ICC, IHC, Simple Western, WB
NBP2-19804
Species: Hu, Mu
Applications: ICC/IF, IHC,  IHC-P, WB
NB200-103
Species: Hu, Mu, Rt, Xp(-), Ye
Applications: CyTOF-ready, ELISA, Flow-IC, Flow, ICC/IF, IHC, IHC-Fr,  IHC-P, IP, WB
AF2685
Species: Hu
Applications: IHC, Simple Western, WB
AF467
Species: Hu, Mu
Applications: CyTOF-ready, Flow, ICC, IHC, Simple Western, WB
NBP2-15071
Species: Hu, Mu, Rt
Applications: ICC/IF, IHC,  IHC-P, KO, WB
NBP2-45822
Species: Hu, Mu, Rt
Applications: WB, IHC

Publications for HGFR/c-MET Antibody (NBP2-45822) (0)

There are no publications for HGFR/c-MET Antibody (NBP2-45822).
By submitting your publication information earn gift cards and discounts for future purchases.

Reviews for HGFR/c-MET Antibody (NBP2-45822) (0)

There are no reviews for HGFR/c-MET Antibody (NBP2-45822). By submitting a review you will receive an Amazon e-Gift Card or Novus Product Discount.
  • Review with no image -- $10/€7/£6/$10 CAD/¥70 Yuan/¥1110 Yen
  • Review with an image -- $25/€18/£15/$25 CAD/¥150 Yuan/¥2500 Yen

Product General Protocols

Find general support by application which include: protocols, troubleshooting, illustrated assays, videos and webinars.

Video Protocols

WB Video Protocol

FAQs for HGFR/c-MET Antibody (NBP2-45822) (0)

There are no specific FAQs related to this product. Read our general customer & technical service FAQs.

Contact Information

Product PDFs

Calculators

Concentration Calculator

The concentration calculator allows you to quickly calculate the volume, mass or concentration of your vial. Simply enter your mass, volume, or concentration values for your reagent and the calculator will determine the rest.

=
÷

Review this Product

Be the first to review our HGFR/c-MET Antibody (OTI1E6) and receive a gift card or discount.

Bioinformatics

Gene Symbol MET