HDAC6 Antibody (JJ09-09)

Images

 
Western Blot: HDAC6 Antibody (JJ09-09) [NBP2-67891] - Analysis of HDAC6 on Jurkat cells lysates using anti-HDAC6 antibody at 1/1,000 dilution.
Immunocytochemistry/ Immunofluorescence: HDAC6 Antibody (JJ09-09) [NBP2-67891] - Staining HDAC6 in HepG2 cells (green). The nuclear counter stain is DAPI (blue). Cells were fixed in paraformaldehyde, permeabilised with ...read more
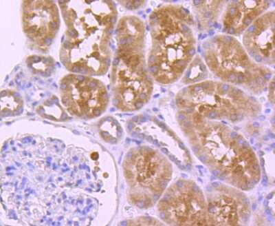
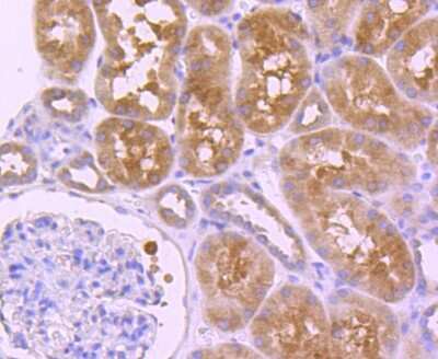
Immunohistochemistry-Paraffin: HDAC6 Antibody (JJ09-09) [NBP2-67891] - Analysis of paraffin-embedded human kidney tissue using anti-HDAC6 antibody. Counter stained with hematoxylin.
Immunocytochemistry/ Immunofluorescence: HDAC6 Antibody (JJ09-09) [NBP2-67891] - Staining HDAC6 in 293 cells (green). The nuclear counter stain is DAPI (blue). Cells were fixed in paraformaldehyde, permeabilised with ...read more
Immunocytochemistry/ Immunofluorescence: HDAC6 Antibody (JJ09-09) [NBP2-67891] - Staining HDAC6 in Hela cells (green). The nuclear counter stain is DAPI (blue). Cells were fixed in paraformaldehyde, permeabilised with ...read more
Simple Western: HDAC6 Antibody (JJ09-09) [NBP2-67891] - Human SVG-A cells tested at the indicated concentrations using 1:25 dilution of the antibody. Image from verified customer review.

Product Details

Summary
Product Discontinued
View other related HDAC6 Primary Antibodies

Order Details


    • Catalog Number
      NBP2-67891
    • Availability
      Product Discontinued

    Can't find what you are looking for? Use our Antibody Concierge Service & we will help you locate your antibody!

    Or feel free to contact us for alternative products.

HDAC6 Antibody (JJ09-09) Summary

Additional Information
Recombinant Monoclonal Antibody.
Immunogen
Synthetic peptide within Human HDAC6 aa 1-50 / 1,215. (SwissProt: Q9UBN7 Human)
Localization
Cell projection, Cytoplasm, Cytoskeleton, Nucleus.
Isotype
IgG
Clonality
Monoclonal
Host
Rabbit
Gene
HDAC6
Purity
Protein A purified
Innovator's Reward
Test in a species/application not listed above to receive a full credit towards a future purchase.

Applications/Dilutions

Dilutions
  • Immunocytochemistry/ Immunofluorescence 1:50-1:200
  • Immunohistochemistry
  • Immunohistochemistry-Paraffin 1:50-1:400
  • Immunoprecipitation
  • Simple Western
  • Western Blot 1:1000-1:5000
Application Notes
Simple Western reported in verified customer review.
Reviewed Applications
Read 1 Review rated 4
using
NBP2-67891 in the following applications:

Packaging, Storage & Formulations

Storage
Store at 4C short term. Aliquot and store at -20C long term. Avoid freeze-thaw cycles.
Buffer
TBS (pH7.4), 0.05% BSA, 40% Glycerol
Preservative
0.05% Sodium Azide
Concentration
1 mg/ml
Purity
Protein A purified

Alternate Names for HDAC6 Antibody (JJ09-09)

  • CPBHM
  • EC 3.5.1.98
  • FLJ16239
  • HD6
  • HD6FLJ16239
  • HDAC6
  • Histone Deacetylase 6
  • JM21
  • KIAA0901
  • PPP1R90

Background

Histones play a critical role in transcriptional regulation, cell cycle progression, and developmental events. Histone acetylation/deacetylation alters chromosome structure and affects transcription factor access to DNA. The protein encoded by this gene belongs to class II of the histone deacetylase/acuc/apha family. It contains an internal duplication of two catalytic domains which appear to function independently of each other. This protein possesses histone deacetylase activity and represses transcription.

Limitations

This product is for research use only and is not approved for use in humans or in clinical diagnosis. Primary Antibodies are guaranteed for 1 year from date of receipt.

Customers Who Viewed This Item Also Viewed...

NBP2-03993
Species: Bv, Ca, Hu, Mu, Pm
Applications: WB
NB100-56340
Species: Hu, Mu, Rt
Applications: IHC, IHC-Fr,  IHC-P, KO, Simple Western, WB
NB120-2928
Species: Hu, Mu, Pm, Rb, Rt, Sh
Applications: ICC/IF, IHC,  IHC-P, IP, WB
NBP1-87109
Species: Hu, Mu
Applications: ICC/IF, IHC,  IHC-P, KD, WB
NBP2-22152
Species: Hu, Mu, Pm, Rt
Applications: ChIP, ChIP, ICC/IF, IHC,  IHC-P, WB
NB100-1923
Species: Ce
Applications: IHC,  IHC-P, IP, WB
NB100-1669
Species: Hu
Applications: ChIP, ICC/IF, IHC,  IHC-P, IP, Simple Western, WB
NBP2-22151
Species: Hu, Mu, Pm, Rt
Applications: ICC/IF, IHC,  IHC-P, Simple Western, WB
NBP2-29463
Species: Pm, Hu, Pm, Mu
Applications: Flow, ICC/IF, IHC,  IHC-P, WB
H00007001-M01
Species: Hu
Applications: ELISA, ICC/IF, IHC,  IHC-P, KD, WB
H00008878-M01
Species: Bv, Ha, Hu, Mu, Rb, Rt
Applications: ELISA, ICC/IF, IHC, IHC-Fr,  IHC-P, IP, WB
AF231
Species: Hu
Applications: CyTOF-ready, Dual ISH-IHC, ELISA(Cap), ELISA(Det), ELISA(Sta), Flow, ICC, IHC, IP, Simple Western, WB
NBP2-15971
Species: Hu, Mu, Rt
Applications: ICC/IF, IHC,  IHC-P, KO, WB
NBP3-03473
Species: Hu, Mu, Rt
Applications: ICC/IF, IHC,  IHC-P, KO, WB
NB300-731
Species: Gp, Hu, Mu, Rb, Rt, Sh, Ye
Applications: B/N, ChIP, Flow, GS, ICC/IF, IHC,  IHC-P, IP, WB
NBP1-31381
Species: Hu, Mu, Rt
Applications: ICC/IF, IHC,  IHC-P, IP, WB
NBP2-37399
Species: Hu
Applications: CyTOF-ready, ELISA, Flow, ICC/IF, IHC,  IHC-P, WB
NBP2-75440
Species: Hu, Mu, Rt
Applications: Flow, ICC/IF, IHC,  IHC-P, IP, WB
H00002965-M01
Species: Hu
Applications: ELISA, ICC/IF, IHC,  IHC-P, KD, S-ELISA, WB
NBP2-02627
Species: Ca, Hu, Pm, Mu, Rt
Applications: Flow, ICC/IF, IHC,  IHC-P, WB

Publications for HDAC6 Antibody (NBP2-67891) (0)

There are no publications for HDAC6 Antibody (NBP2-67891).
By submitting your publication information earn gift cards and discounts for future purchases.

Review for HDAC6 Antibody (NBP2-67891) (1) 41

Average Rating: 4
(Based on 1 review)
We have 1 review tested in 1 species: Human.

Reviews using NBP2-67891:
Filter by Applications
Simple Western
(1)
All Applications
Filter by Species
Human
(1)
All Species
Images Ratings Applications Species Date Details
Simple Western HDAC6 NBP2-67891
Enlarge
4
reviewed by:
Verified Customer
Simple Western Human 03/15/2019
View

Summary

ApplicationSimple Western
Sample TestedSVG-A whole cell lysate
SpeciesHuman
LotHK-0703

Product General Protocols

Find general support by application which include: protocols, troubleshooting, illustrated assays, videos and webinars.

Video Protocols

WB Video Protocol
ICC/IF Video Protocol

FAQs for HDAC6 Antibody (NBP2-67891) (0)

There are no specific FAQs related to this product. Read our general customer & technical service FAQs.

Secondary Antibodies

 

Isotype Controls

Additional HDAC6 Products

Research Areas for HDAC6 Antibody (NBP2-67891)

Find related products by research area.

Blogs on HDAC6.

LAMP2: Protector of the lysosome
LAMP2 belongs to the family of membrane glycoproteins who confer selectins with carbohydrate ligands. LAMP2 has been implicated in tumor cell metastasis, as well as overall protection, maintenance, and adhesion of the lysosome. It appears that LAMP2 m...  Read full blog post.

Contact Information

Product PDFs

Calculators

Concentration Calculator

The concentration calculator allows you to quickly calculate the volume, mass or concentration of your vial. Simply enter your mass, volume, or concentration values for your reagent and the calculator will determine the rest.

=
÷

Recent Reviews

4
5
0
4
1
3
0
2
0
1
0

Verified Customer
03/15/2019
Application: Simple Western
Species: Human

Bioinformatics

Gene Symbol HDAC6