HCA59 Antibody - BSA Free

Images

 
Independent Antibodies: Western Blot: HCA59 Antibody [NBP1-83168] - Analysis using Anti-C9orf78 antibody NBP1-83168 (A) shows similar pattern to independent antibody NBP1-83170 (B).
Immunocytochemistry/ Immunofluorescence: HCA59 Antibody [NBP1-83168] - Immunofluorescent staining of human cell line U-2 OS shows localization to nucleoplasm.
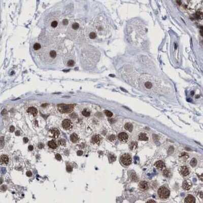
Immunohistochemistry-Paraffin: HCA59 Antibody [NBP1-83168] - Staining of human testis shows strong nuclear positivity in cells in seminiferous ducts.
Western Blot: HCA59 Antibody [NBP1-83168] - Lane 1: NIH-3T3 cell lysate (Mouse embryonic fibroblast cells). Lane 2: NBT-II cell lysate (Rat Wistar bladder tumor cells).
Genetic Strategies: Western Blot: HCA59 Antibody [NBP1-83168] - Analysis in U2OS cells transfected with control siRNA, target specific siRNA probe #1 and #2, using anti-C9orf78 antibody. Remaining relative ...read more
Western Blot: HCA59 Antibody [NBP1-83168] - Analysis in mouse cell line NIH-3T3 and rat cell line NBT-II.
Immunohistochemistry-Paraffin: HCA59 Antibody [NBP1-83168] - Staining of human gall bladder shows strong nuclear positivity in glandular cells.
Immunohistochemistry-Paraffin: HCA59 Antibody [NBP1-83168] - Staining of human bone marrow shows high expression.
Immunohistochemistry-Paraffin: HCA59 Antibody [NBP1-83168] - Staining of human pancreas shows low expression as expected.
Immunohistochemistry-Paraffin: HCA59 Antibody [NBP1-83168] - Staining of human testis.
Immunohistochemistry-Paraffin: HCA59 Antibody [NBP1-83168] - Staining of human kidney.
Immunohistochemistry-Paraffin: HCA59 Antibody [NBP1-83168] - Staining of human lymph node.
Orthogonal Strategies: Immunohistochemistry-Paraffin: HCA59 Antibody [NBP1-83168] - Analysis in human bone marrow and pancreas tissues. Corresponding HCA59 RNA-seq data are presented for the same tissues.
Independent Antibodies: Immunohistochemistry-Paraffin: HCA59 Antibody [NBP1-83168] - Staining of human bone marrow, fallopian tube, lymph node and testis using Anti-HCA59 antibody NBP1-83168 (A) shows similar ...read more
Immunohistochemistry: HCA59 Antibody [NBP1-83168] - Staining of human Fallopian tube shows moderate nuclear positivity in glandular cells.
Immunohistochemistry-Paraffin: HCA59 Antibody [NBP1-83168] - Staining of human lymph node shows strong nuclear positivity in non-germinal center cells.
Immunohistochemistry-Paraffin: HCA59 Antibody [NBP1-83168] - Staining of human pancreas shows very weak positivity in exocrine glandular cells as expected.

Product Details

Summary
Reactivity Hu, Mu, RtSpecies Glossary
Applications WB, ICC/IF, IHC, Mycoplasma
Clonality
Polyclonal
Host
Rabbit
Conjugate
Unconjugated
Format
BSA Free

Order Details

View Available Formulations
Catalog# & Formulation Size Price

HCA59 Antibody - BSA Free Summary

Description
Novus Biologicals Rabbit HCA59 Antibody - BSA Free (NBP1-83168) is a polyclonal antibody validated for use in IHC, WB and ICC/IF. Anti-HCA59 Antibody: Cited in 1 publication. All Novus Biologicals antibodies are covered by our 100% guarantee.
Immunogen
This antibody was developed against Recombinant Protein corresponding to amino acids: MPVVRKIFRRRRGDSESEEDEQDSEEVRLKLEETREVQNLRKRPNGVSAVALLVGEKVQEETTLVDDPFQMKTGGMVDMKKLKE
Isotype
IgG
Clonality
Polyclonal
Host
Rabbit
Gene
C9ORF78
Purity
Immunogen affinity purified
Innovator's Reward
Test in a species/application not listed above to receive a full credit towards a future purchase.

Applications/Dilutions

Dilutions
  • Immunocytochemistry/ Immunofluorescence 0.25-2 ug/ml
  • Immunohistochemistry 1:200 - 1:500
  • Immunohistochemistry-Paraffin 1:200 - 1:500
  • Knockdown Validated
  • Western Blot 0.04-0.4 ug/ml
Application Notes
For IHC-Paraffin, HIER pH 6 retrieval is recommended. Immunocytochemistry/Immunofluorescence Fixation Permeabilization: Use PFA/Triton X-100.
Control Peptide
HCA59 Protein (NBP1-83168PEP)
Publications
Read Publication using NBP1-83168.

Reactivity Notes

Reactivity reported in scientific literature (PMID: 23276153)

Packaging, Storage & Formulations

Storage
Store at 4C short term. Aliquot and store at -20C long term. Avoid freeze-thaw cycles.
Buffer
PBS (pH 7.2) and 40% Glycerol
Preservative
0.02% Sodium Azide
Purity
Immunogen affinity purified

Alternate Names for HCA59 Antibody - BSA Free

  • bA409K20.3
  • C9orf78
  • chromosome 9 open reading frame 78
  • HCA59
  • Hepatocellular carcinoma-associated antigen 59
  • HSPC220

Limitations

This product is for research use only and is not approved for use in humans or in clinical diagnosis. Primary Antibodies are guaranteed for 1 year from date of receipt.

Customers Who Viewed This Item Also Viewed...

NBP3-27888
Species: Hu, Mu, Rt
Applications: ELISA, ICC/IF,  IHC-P, WB
NBP1-88309
Species: Hu
Applications: ICC/IF, IHC,  IHC-P
NB100-1260
Species: Hu
Applications: IHC,  IHC-P, PEP-ELISA, WB
NBP2-55678
Species: Hu
Applications: ICC/IF, IHC,  IHC-P
NBP1-80306
Species: Av, Hu
Applications: ICC/IF, IHC,  IHC-P, KD, WB
NBP2-02486
Species: Hu, Mu, Rt
Applications: Flow, ICC/IF, IHC,  IHC-P, WB
NBP3-16867
Species: Hu, Mu, Rt
Applications: ELISA, IHC,  IHC-P, WB
MAB4364
Species: Rt
Applications: ICC, IHC, IP, KO, WB
NBP2-45545
Species: Hu, Mu, Rt
Applications: IHC,  IHC-P, WB
NB500-179
Species: Hu, Ma, Mu, Po, Rt
Applications: Flow, ICC/IF, IP, KD, Simple Western, WB
NBP1-76853
Species: Hu, Mu, Rt
Applications: ELISA, ICC/IF, IHC,  IHC-P, WB
NB300-155
Species: Hu, Mu, Rt
Applications: ICC/IF, IHC, IHC-Fr,  IHC-P, WB
NBP2-13980
Species: Hu
Applications: ICC/IF, IHC,  IHC-P, WB
NBP2-48542
Species: Hu
Applications: IHC,  IHC-P, WB
H00026574-M04
Species: Hu
Applications: ELISA, ICC/IF, IHC,  IHC-P, S-ELISA, WB
H00006760-B01P
Species: Hu
Applications: ICC/IF, WB
NBP2-46409
Species: Hu, Mu, Rt
Applications: IHC,  IHC-P, WB
NBP2-34145
Species: Hu
Applications: ICC/IF, IHC,  IHC-P
H00051270-M01
Species: Hu
Applications: ELISA, ICC/IF, S-ELISA, WB
NB100-2244
Species: Hu
Applications: IHC,  IHC-P, IP, WB

Publications for HCA59 Antibody (NBP1-83168)(1)

Reviews for HCA59 Antibody (NBP1-83168) (0)

There are no reviews for HCA59 Antibody (NBP1-83168). By submitting a review you will receive an Amazon e-Gift Card or Novus Product Discount.
  • Review with no image -- $10/€7/£6/$10 CAD/¥70 Yuan/¥1110 Yen
  • Review with an image -- $25/€18/£15/$25 CAD/¥150 Yuan/¥2500 Yen

Product General Protocols

Find general support by application which include: protocols, troubleshooting, illustrated assays, videos and webinars.

Video Protocols

WB Video Protocol
ICC/IF Video Protocol

FAQs for HCA59 Antibody (NBP1-83168) (0)

There are no specific FAQs related to this product. Read our general customer & technical service FAQs.

Customers Who Bought This Also Bought

Contact Information

Product PDFs

Calculators

Concentration Calculator

The concentration calculator allows you to quickly calculate the volume, mass or concentration of your vial. Simply enter your mass, volume, or concentration values for your reagent and the calculator will determine the rest.

=
÷

Review this Product

Be the first to review our HCA59 Antibody - BSA Free and receive a gift card or discount.

Bioinformatics

Gene Symbol C9ORF78