GSKIP Antibody

Images

 
Western Blot: GSKIP Antibody [NBP2-30378] - Lane 1: Marker [kDa] 250, 130, 100, 70, 55, 35, 25, 15, 10Lane 2: Human cell line RT-4
Immunocytochemistry/ Immunofluorescence: GSKIP Antibody [NBP2-30378] - Staining of human cell line A-431 shows localization to nucleoli & the Golgi apparatus. Antibody staining is shown in green.
Immunohistochemistry-Paraffin: GSKIP Antibody [NBP2-30378] - Staining of human skeletal muscle shows moderate cytoplasmic and nuclear positivity in myocytes.
Immunohistochemistry-Paraffin: GSKIP Antibody [NBP2-30378] - Staining of human small intestine shows strong cytoplasmic positivity in goblet cells.
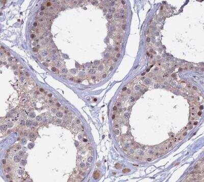
Immunohistochemistry-Paraffin: GSKIP Antibody [NBP2-30378] - Staining of human testis shows moderate nuclear positivity in cells in seminiferous ducts and leydig cells.
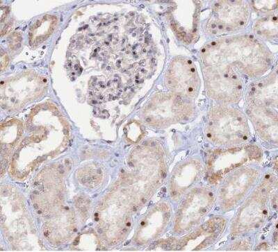
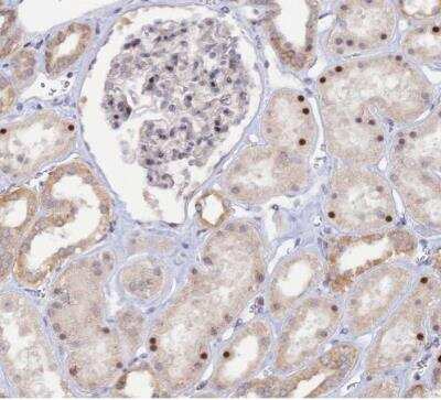
Immunohistochemistry-Paraffin: GSKIP Antibody [NBP2-30378] - Staining of human kidney shows moderate nuclear positivity in glomeruli and cells in tubules.

Product Details

Summary
Product Discontinued
View other related GSKIP Primary Antibodies

Order Details


    • Catalog Number
      NBP2-30378
    • Availability
      Product Discontinued

    Can't find what you are looking for? Use our Antibody Concierge Service & we will help you locate your antibody!

    Or feel free to contact us for alternative products.

GSKIP Antibody Summary

Immunogen
This antibody was developed against a recombinant protein corresponding to amino acids: METDCNPMELSSMSGFEEGSELNGFEGTDMKDMRLEAEAVVNDVLFAVNNMFVSKSLRCADDVAYINVET
Predicted Species
Mouse (90%), Rat (94%). Backed by our 100% Guarantee.
Isotype
IgG
Clonality
Polyclonal
Host
Rabbit
Gene
GSKIP
Purity
Immunogen affinity purified
Innovator's Reward
Test in a species/application not listed above to receive a full credit towards a future purchase.

Applications/Dilutions

Dilutions
  • Immunocytochemistry/ Immunofluorescence 0.25-2 ug/ml
  • Immunohistochemistry 1:50 - 1:200
  • Immunohistochemistry-Paraffin 1:50 - 1:200
  • Western Blot 1:100 - 1:250
Application Notes
For IHC-Paraffin, HIER pH 6 retrieval is recommended. ICC/IF Fixation Permeabilization: Use PFA/Triton X-100.

Packaging, Storage & Formulations

Storage
Store at 4C short term. Aliquot and store at -20C long term. Avoid freeze-thaw cycles.
Buffer
PBS (pH 7.2) and 40% Glycerol
Preservative
0.02% Sodium Azide
Purity
Immunogen affinity purified

Alternate Names for GSKIP Antibody

  • chromosome 14 open reading frame 129
  • GSK3beta interaction protein
  • GSK3-beta interaction protein
  • GSKIP
  • MGC4945

Limitations

This product is for research use only and is not approved for use in humans or in clinical diagnosis. Primary Antibodies are guaranteed for 1 year from date of receipt.

Customers Who Viewed This Item Also Viewed...

NBP1-47470
Species: Hu, Mu, Pm, Rt
Applications: ELISA, Flow, ICC/IF, IHC,  IHC-P, Simple Western, WB
AF1329
Species: Hu, Mu, Rt
Applications: ChIP, CyTOF-ready, ICC, IHC, ICFlow, Simple Western, WB
AF3287
Species: Hu, Mu, Rt
Applications: WB
NBP2-32840
Species: Hu, Pm, Mu, Rt
Applications: Flow, ICC/IF, IHC,  IHC-P, WB
AF887
Species: Hu, Mu, Rt
Applications: CyTOF-ready, IHC, ICFlow, Simple Western, WB
DGD150
Species: Hu
Applications: ELISA
NB600-302
Species: Bv, Dr, Hu, Mu
Applications: ChIP, ELISA, Flow-IC, Flow, IB, ICC/IF, IHC, IHC-Fr,  IHC-P, IP, PLA, S-ELISA, Simple Western, WB
NBP2-25162
Species: Bv, Eq, Hu, Mu, Po, Rt
Applications: ICC/IF, IHC, PLA, WB
NB600-600
Species: Ca, Hu, Mu
Applications: ChIP, ELISA, Flow-IC, IB, ICC/IF, IHC,  IHC-P, KD, WB
NB100-689
Species: Hu, Rt
Applications: IHC, IHC-Fr,  IHC-P, Simple Western, WB
NBP1-48309
Species: Hu, Mu, Rt
Applications: Flow-IC, Flow, ICC/IF, IHC,  IHC-P, IP, Simple Western, WB
NBP2-14430
Species: Hu
Applications: ICC/IF, IHC,  IHC-P, WB
MAB208
Species: Hu
Applications: CyTOF-ready, ELISA(Cap), ELISA(Det), ELISA(Sta), ICC, ICFlow, Neut, Simple Western, WB
NBP3-16858
Species: Hu, Mu, Rt
Applications: IHC,  IHC-P, WB
NBP2-00532
Species: Ca, Hu, Pm, Mu, Rt
Applications: Flow, ICC/IF, IHC,  IHC-P, WB
NBP1-83387
Species: Hu, Mu
Applications: ICC/IF, IHC,  IHC-P, KD, WB
H00006925-M03
Species: Hu, Pm, Mu, Rb, Rt
Applications: ELISA, ICC/IF, IHC,  IHC-P, IP, WB
NBP2-30378
Species: Hu, Mu, Rt
Applications: WB, ICC/IF, IHC

Publications for GSKIP Antibody (NBP2-30378) (0)

There are no publications for GSKIP Antibody (NBP2-30378).
By submitting your publication information earn gift cards and discounts for future purchases.

Reviews for GSKIP Antibody (NBP2-30378) (0)

There are no reviews for GSKIP Antibody (NBP2-30378). By submitting a review you will receive an Amazon e-Gift Card or Novus Product Discount.
  • Review with no image -- $10/€7/£6/$10 CAD/¥70 Yuan/¥1110 Yen
  • Review with an image -- $25/€18/£15/$25 CAD/¥150 Yuan/¥2500 Yen

Product General Protocols

Find general support by application which include: protocols, troubleshooting, illustrated assays, videos and webinars.

Video Protocols

WB Video Protocol
ICC/IF Video Protocol

FAQs for GSKIP Antibody (NBP2-30378) (0)

There are no specific FAQs related to this product. Read our general customer & technical service FAQs.

Contact Information

Product PDFs

Calculators

Concentration Calculator

The concentration calculator allows you to quickly calculate the volume, mass or concentration of your vial. Simply enter your mass, volume, or concentration values for your reagent and the calculator will determine the rest.

=
÷

Review this Product

Be the first to review our GSKIP Antibody and receive a gift card or discount.

Bioinformatics

Gene Symbol GSKIP
Uniprot