GRASP65 Antibody (JB36-34)

Images

 
Western Blot: GRASP65 Antibody (JB36-34) [NBP2-75516] - Analysis of GRASP65 on different cell lysates using anti-GRASP65 at 1/500 dilution.Positive control:Line 1: THP-1 Line 2: SKBR3
Immunocytochemistry/ Immunofluorescence: GRASP65 Antibody (JB36-34) [NBP2-75516] - Staining GRASP65 in MCF-7 cells (green). The nuclear counter stain is DAPI (blue). Cells were fixed in paraformaldehyde, permeabilised ...read more
Immunohistochemistry-Paraffin: GRASP65 Antibody (JB36-34) [NBP2-75516] - Analysis of paraffin-embedded human uterine tissue using anti-GRASP65 antibody. Counter stained with hematoxylin.
Flow Cytometry: GRASP65 Antibody (JB36-34) [NBP2-75516] - Analysis of MCF-7 cells with GRASP65 antibody at 1/50 dilution (red) compared with an unlabelled control (cells without incubation with primary antibody; black). ...read more
Immunocytochemistry/ Immunofluorescence: GRASP65 Antibody (JB36-34) [NBP2-75516] - Staining GRASP65 in HepG2 cells (green). The nuclear counter stain is DAPI (blue). Cells were fixed in paraformaldehyde, permeabilised ...read more
Immunocytochemistry/ Immunofluorescence: GRASP65 Antibody (JB36-34) [NBP2-75516] - Staining GRASP65 in HUVEC cells (green). The nuclear counter stain is DAPI (blue). Cells were fixed in paraformaldehyde, permeabilised ...read more
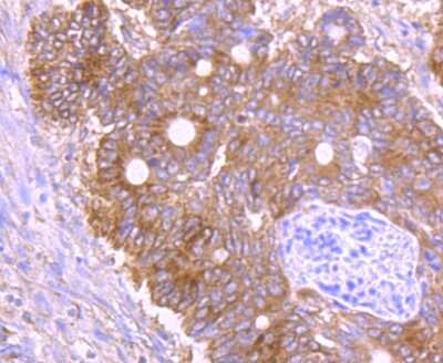
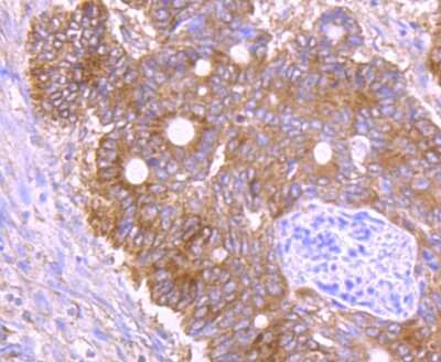
Immunohistochemistry-Paraffin: GRASP65 Antibody (JB36-34) [NBP2-75516] - Analysis of paraffin-embedded human colon cancer tissue using anti-GRASP65 antibody. Counter stained with hematoxylin.

Product Details

Summary
Product Discontinued
View other related GRASP65 Primary Antibodies

Order Details


    • Catalog Number
      NBP2-75516
    • Availability
      Product Discontinued

    Can't find what you are looking for? Use our Antibody Concierge Service & we will help you locate your antibody!

    Or feel free to contact us for alternative products.

GRASP65 Antibody (JB36-34) Summary

Additional Information
Recombinant Monoclonal Antibody.
Immunogen
Synthetic peptide within Human GRASP65 aa 396-440 / 440. (SwissProt: Q9BQQ3 Human)
Localization
Golgi apparatus.
Isotype
IgG
Clonality
Monoclonal
Host
Rabbit
Gene
GORASP1
Purity
Protein A purified
Innovator's Reward
Test in a species/application not listed above to receive a full credit towards a future purchase.

Applications/Dilutions

Dilutions
  • Flow Cytometry 1:50-1:100
  • Immunocytochemistry/ Immunofluorescence 1:50-1:200
  • Immunohistochemistry
  • Immunohistochemistry-Paraffin 1:50-1:200
  • Immunoprecipitation
  • Western Blot 1:500-1:1000
Theoretical MW
46 kDa.
Disclaimer note: The observed molecular weight of the protein may vary from the listed predicted molecular weight due to post translational modifications, post translation cleavages, relative charges, and other experimental factors.

Packaging, Storage & Formulations

Storage
Store at 4C short term. Aliquot and store at -20C long term. Avoid freeze-thaw cycles.
Buffer
TBS (pH7.4), 0.05% BSA, 40% Glycerol
Preservative
0.05% Sodium Azide
Concentration
1 mg/ml
Purity
Protein A purified

Alternate Names for GRASP65 Antibody (JB36-34)

  • Golgi peripheral membrane protein p65
  • Golgi phosphoprotein 5MGC118897
  • golgi reassembly stacking protein 1, 65kDa
  • Golgi reassembly-stacking protein 1
  • Golgi reassembly-stacking protein of 65 kDa
  • GRASP65MGC118894
  • P6565 kDa

Background

GRASP65 (Golgi ReAssembly Stacking Protein) is a conserved protein that participates in the stacking of cisternae. This protein associates with GM130 and is phosphorylated by the MEK1 substrate ERK2, Polo-like kinase (Plk) and cdc2-cyclin B. GRASP65 thus plays a role in a cell cycle-dependent reorganization of the Golgi apparatus and may control mammalian cell entry into mitosis.

Limitations

This product is for research use only and is not approved for use in humans or in clinical diagnosis. Primary Antibodies are guaranteed for 1 year from date of receipt.

Customers Who Viewed This Item Also Viewed...

NB100-56583
Species: Hu, Rb, Rt
Applications: Flow, IHC,  IHC-P, KO, Simple Western, WB
AF632
Species: Hu
Applications: AgAct, Simple Western, WB
NBP1-88650
Species: Hu
Applications: IHC,  IHC-P, KD, WB
NBP2-01345
Species: Hu, Mu, Rt
Applications: Flow, ICC/IF, IHC,  IHC-P, WB
M6000B
Species: Mu
Applications: ELISA
NB100-2176
Species: Hu, Mu, Rt
Applications: ChIP, ICC/IF, IHC,  IHC-P, IP, WB
MAB8930
Species: Hu
Applications: ICC, Simple Western, WB
NB100-56507
Species: Hu, Mu, Rt
Applications: CyTOF-ready, Flow, ICC/IF, IHC,  IHC-P, IP, KO, Simple Western, WB
NB300-605
Species: Hu, Mu, Po, Rt
Applications: Flow, IB, ICC/IF, IHC, IHC-Fr,  IHC-P, In vitro, WB
AF1230
Species: Hu, Mu, Rt
Applications: IHC, KO, WB
AF2699
Species: Mu
Applications: Simple Western, WB
NB100-689
Species: Hu, Rt
Applications: IHC, IHC-Fr,  IHC-P, Simple Western, WB
NBP2-50037
Species: Hu, Mu, Rt
Applications: ICC/IF, IHC, KO, WB
NBP2-47415
Species: Hu
Applications: ICC/IF, IHC,  IHC-P, WB
AF3235
Species: Hu, Mu, Rt
Applications: IHC, WB
AF887
Species: Hu, Mu, Rt
Applications: CyTOF-ready, IHC, ICFlow, Simple Western, WB
NBP2-22203
Species: Hu, Pm, Mu, Rt
Applications: ELISA, Flow, ICC/IF, IHC,  IHC-P, WB
MAB17761
Species: Hu, Mu, Rt
Applications: ICC, WB
MAB208
Species: Hu
Applications: CyTOF-ready, ELISA(Cap), ELISA(Det), ELISA(Sta), ICC, ICFlow, Neut, Simple Western, WB

Publications for GRASP65 Antibody (NBP2-75516) (0)

There are no publications for GRASP65 Antibody (NBP2-75516).
By submitting your publication information earn gift cards and discounts for future purchases.

Reviews for GRASP65 Antibody (NBP2-75516) (0)

There are no reviews for GRASP65 Antibody (NBP2-75516). By submitting a review you will receive an Amazon e-Gift Card or Novus Product Discount.
  • Review with no image -- $10/€7/£6/$10 CAD/¥70 Yuan/¥1110 Yen
  • Review with an image -- $25/€18/£15/$25 CAD/¥150 Yuan/¥2500 Yen

Product General Protocols

Video Protocols

WB Video Protocol
ICC/IF Video Protocol

FAQs for GRASP65 Antibody (NBP2-75516) (0)

There are no specific FAQs related to this product. Read our general customer & technical service FAQs.

Secondary Antibodies

 

Isotype Controls

Additional GRASP65 Products

Research Areas for GRASP65 Antibody (NBP2-75516)

Find related products by research area.

Blogs on GRASP65

There are no specific blogs for GRASP65, but you can read our latest blog posts.

Contact Information

Product PDFs

Calculators

Concentration Calculator

The concentration calculator allows you to quickly calculate the volume, mass or concentration of your vial. Simply enter your mass, volume, or concentration values for your reagent and the calculator will determine the rest.

=
÷

Review this Product

Be the first to review our GRASP65 Antibody (JB36-34) and receive a gift card or discount.

Bioinformatics

Gene Symbol GORASP1