Granzyme K Antibody - BSA Free

Images

 
Orthogonal Strategies: Immunohistochemistry-Paraffin: Granzyme K Antibody [NBP2-49387] - Analysis in human tonsil and cerebral cortex tissues. Corresponding Granzyme K RNA-seq data are presented for the same ...read more
Immunohistochemistry-Paraffin: Granzyme K Antibody [NBP2-49387] - Staining of human spleen shows strong granular cytoplasmic positivity in cells in red pulp.
Immunohistochemistry-Paraffin: Granzyme K Antibody [NBP2-49387] - Staining of human tonsil shows high expression.
Immunohistochemistry-Paraffin: Granzyme K Antibody [NBP2-49387] - Staining of human cerebral cortex shows no positivity in neurons as expected.
Immunohistochemistry-Paraffin: Granzyme K Antibody [NBP2-49387] - Staining of human rectum shows weak granular cytoplasmic positivity in leukocytes.
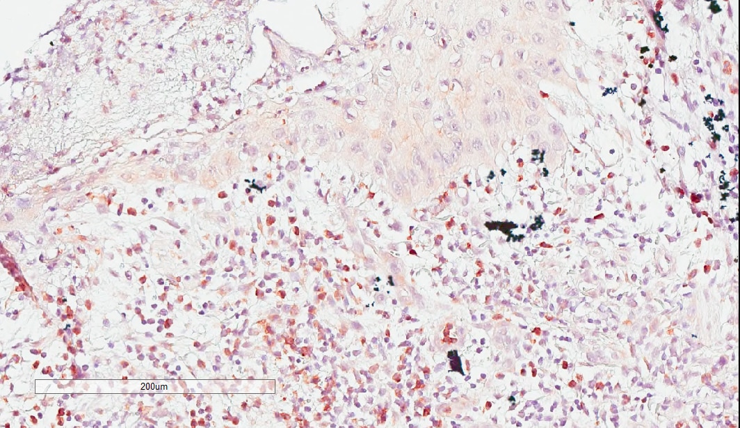
Immunohistochemistry-Paraffin: Granzyme K Antibody [NBP2-49387] - Staining of human skeletal muscle shows no positivity in myocytes as expected.

Product Details

Summary
Reactivity HuSpecies Glossary
Applications IHC
Clonality
Polyclonal
Host
Rabbit
Conjugate
Unconjugated
Format
BSA Free
Validated by:
       

Orthogonal Strategies

 

Order Details

View Available Formulations
Catalog# & Formulation Size Price

Granzyme K Antibody - BSA Free Summary

Description
Novus Biologicals Rabbit Granzyme K Antibody - BSA Free (NBP2-49387) is a polyclonal antibody validated for use in IHC. Anti-Granzyme K Antibody: Cited in 2 publications. All Novus Biologicals antibodies are covered by our 100% guarantee.
Immunogen
This antibody was developed against a recombinant protein corresponding to amino acids: KCKVTGWGATDPDSLRPSDTLREVTVTVLSRKLCNSQSYYNGDPFITKDMVCAGDAKGQKDS
Isotype
IgG
Clonality
Polyclonal
Host
Rabbit
Gene
GZMK
Purity
Affinity purified
Innovator's Reward
Test in a species/application not listed above to receive a full credit towards a future purchase.

Applications/Dilutions

Dilutions
  • Immunohistochemistry 1:200 - 1:500
  • Immunohistochemistry-Paraffin 1:200-1:500
Application Notes
For IHC-Paraffin, HIER pH 6 retrieval is recommended.
Control Peptide
Granzyme K Recombinant Protein Antigen (NBP2-49387PEP)
Reviewed Applications
Read 1 Review rated 5
using
NBP2-49387 in the following applications:

Publications
Read Publications using
NBP2-49387 in the following applications:

Packaging, Storage & Formulations

Storage
Store at 4C short term. Aliquot and store at -20C long term. Avoid freeze-thaw cycles.
Buffer
PBS (pH 7.2) and 40% Glycerol
Preservative
0.02% Sodium Azide
Purity
Affinity purified

Alternate Names for Granzyme K Antibody - BSA Free

  • EC 3.4.21
  • EC 3.4.21.-
  • EC 3.4.21.4
  • Fragmentin-3
  • Granzyme 3
  • granzyme K (granzyme 3; tryptase II)
  • granzyme K (serine protease, granzyme 3; tryptase II)
  • Granzyme K
  • Granzyme-3
  • Granzyme-K
  • GZMK
  • NK-Tryp-2
  • NK-Tryptase-2
  • PRSS
  • TRYP2
  • TRYP2granzyme-3
  • Tryptase II

Background

The granzyme family of proteins belong to the larger peptidase S1 family. Granzyme A and granzyme B are serine proteases that facilitate apoptotic signaling in cytotoxic T lymphocytes (CTL) and natural killer (NK) cells. Within the granules of activated CTLs, granzyme A and B are processed and converted to their active forms by the lysosomal cysteine protease cathepsin C. Once cleaved, these active proteases target distinct substrates for proteolysis and, thereby, mediate apoptosis through two different pathways. Granzyme H localizes to cytoplasmic granules of cytolytic T lymphocytes and is important for target cell lysis in cell-mediated immune responses. Granzyme K (GMZK), also designated granzyme-3 or NK-tryptase-2 (NK-TRYP-2), contains one peptidase S1 domain. Granzyme K is a serine protease localizing to the granules of natural killer cells and cytotoxic T lymphocytes. It is primarily expressed in thymus, lung, spleen and peripheral blood leukocytes.

Limitations

This product is for research use only and is not approved for use in humans or in clinical diagnosis. Primary Antibodies are guaranteed for 1 year from date of receipt.

Customers Who Viewed This Item Also Viewed...

AF2905
Species: Hu
Applications: ELISA, ICC, WB
NBP1-49045
Species: Mu, Rt
Applications: Cell Depl, CyTOF-ready, Flow, ICC/IF, IHC, IHC-Fr,  IHC-P, IP, InhibTFunc
NBP2-26444
Species: Hu, Mu, Rt
Applications: IHC, IHC-Fr,  IHC-P, mIF, WB
202-IL
Species: Hu
Applications: BA
NBP1-97512
Species: Mu
Applications: ICC/IF, IHC, IHC-Fr,  IHC-P, IP, WB
NBP1-62583
Species: Hu
Applications: WB
NBP3-47902
Species: Hu, Mu, Rt
Applications: ELISA, IHC, WB
AF1034
Species: Mu, Rt
Applications: IHC, Simple Western, WB
NBP2-30949
Species: Hu
Applications: IHC,  IHC-P
NB100-74635
Species: Hu
Applications: IHC,  IHC-P, IP, WB (-)
NBP2-44520
Species: Ca(-), Hu, Rt(-)
Applications: Flow-IC, Flow, ICC/IF, IF, IHC,  IHC-P, MI, WB
AF2408
Species: Hu, Mu
Applications: CyTOF-ready, Flow, ICC, KO, Simple Western, WB
NB100-56565
Species: Hu, Mu, Rt
Applications: ICC/IF, IHC, IHC-Fr,  IHC-P, Simple Western, WB
NBP1-81293
Species: Hu
Applications: ICC/IF, IHC,  IHC-P, KD, WB

Publications for Granzyme K Antibody (NBP2-49387)(2)

We have publications tested in 1 confirmed species: Human.

We have publications tested in 1 application: Immunohistochemistry-Paraffin.


Filter By Application
Immunohistochemistry-Paraffin
(2)
All Applications
Filter By Species
Human
(2)
All Species

Review for Granzyme K Antibody (NBP2-49387) (1) 51

Average Rating: 5
(Based on 1 review)
We have 1 review tested in 1 species: Human.

Reviews using NBP2-49387:
Filter by Applications
IHC
(1)
All Applications
Filter by Species
Human
(1)
All Species
Images Ratings Applications Species Date Details
Immunohistochemistry Granzyme K NBP2-49387
Enlarge
5
reviewed by:
Verified Customer
IHC Human 06/16/2017
View

Summary

ApplicationImmunohistochemistry
Sample Testedhuman skin
SpeciesHuman
LotR88017

Product General Protocols

Find general support by application which include: protocols, troubleshooting, illustrated assays, videos and webinars.

FAQs for Granzyme K Antibody (NBP2-49387) (0)

There are no specific FAQs related to this product. Read our general customer & technical service FAQs.

Secondary Antibodies

 

Isotype Controls

Additional Granzyme K Products

Research Areas for Granzyme K Antibody (NBP2-49387)

Find related products by research area.

Blogs on Granzyme K

There are no specific blogs for Granzyme K, but you can read our latest blog posts.

Customers Who Bought This Also Bought

Contact Information

Product PDFs

Calculators

Concentration Calculator

The concentration calculator allows you to quickly calculate the volume, mass or concentration of your vial. Simply enter your mass, volume, or concentration values for your reagent and the calculator will determine the rest.

=
÷

Recent Reviews

5
5
1
4
0
3
0
2
0
1
0

Verified Customer
06/16/2017
Application: IHC
Species: Human

Bioinformatics

Gene Symbol GZMK