GPR10 Antibody

Images

 
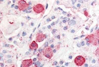
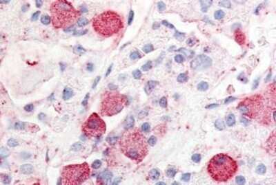
Immunohistochemistry-Paraffin: GPR10 Antibody [NBP1-02337] - Staining of human anterior pituitary. Immunohistochemistry of formalin-fixed, paraffin-embedded tissue after heat-induced antigen retrieval. Antibody ...read more

Product Details

Summary
Product Discontinued
View other related GPR10 Primary Antibodies

Order Details


    • Catalog Number
      NBP1-02337
    • Availability
      Product Discontinued

    Can't find what you are looking for? Use our Antibody Concierge Service & we will help you locate your antibody!

    Or feel free to contact us for alternative products.

GPR10 Antibody Summary

Immunogen
Synthetic 18 amino acid peptide from 3rd extracellular domain of human PRLHR / GPR10.
Specificity
Human GPR10. BLAST analysis of the peptide immunogen showed no homology with other human proteins.
Predicted Species
Monkey (94%), Primate (94%). Backed by our 100% Guarantee.
Isotype
IgG
Clonality
Polyclonal
Host
Rabbit
Gene
PRLHR
Purity
Immunogen affinity purified
Innovator's Reward
Test in a species/application not listed above to receive a full credit towards a future purchase.

Applications/Dilutions

Dilutions
  • Immunohistochemistry 1:10 - 1:500
  • Immunohistochemistry-Paraffin 10 ug/ml

Reactivity Notes

Predicted cross-reactivity based on sequence identity: Gorilla (100%), Panda (100%), Marmoset (94%), Equine (89%).

Packaging, Storage & Formulations

Storage
Store at 4C short term. Aliquot and store at -20C long term. Avoid freeze-thaw cycles.
Buffer
PBS
Preservative
0.1% Sodium Azide
Concentration
0.34 mg/ml
Purity
Immunogen affinity purified

Alternate Names for GPR10 Antibody

  • G protein-coupled receptor 10
  • GPR10
  • GPR10MGC126539
  • G-protein coupled receptor 10
  • GR3
  • hGR3
  • MGC126541
  • PRLHR
  • prolactin releasing hormone receptor
  • prolactin releasing peptide receptor
  • prolactin-releasing hormone receptor
  • prolactin-releasing peptide receptor
  • PrRP receptor
  • PrRPR

Background

Prolactin releasing hormone receptor (hGR3/GPR10) is a Releasing Hormone Receptor that controls the secretion of prolactin from the anterior pituitary.

Limitations

This product is for research use only and is not approved for use in humans or in clinical diagnosis. Primary Antibodies are guaranteed for 1 year from date of receipt.

Customers Who Viewed This Item Also Viewed...

NBP2-68591
Species: Hu
Applications: IHC,  IHC-P
AF1445
Species: Mu, Rt
Applications: ELISA(Cap), ELISA(Det), ELISA(Sta), IHC, Neut, Simple Western, WB
H00005087-M01
Species: Hu, Pm, Mu
Applications: ChIP, ELISA, ICC/IF, IHC,  IHC-P, IP, S-ELISA, WB
NBP2-34014
Species: Hu
Applications: IHC,  IHC-P
NB100-41403
Species: Hu, Mu, Rt
Applications: IHC,  IHC-P, PEP-ELISA, WB
NB100-1533
Species: Hu, Mu, Po, Rt, Sh
Applications: Flow, ICC/IF, IHC,  IHC-P, PEP-ELISA, WB
NBP3-05565
Species: Hu, Rt
Applications: WB
NBP1-46535
Species: Hu, Mu, Rb, Rt, Xp
Applications: ICC/IF, IHC-FrFl, IHC, IHC-Fr,  IHC-P, WB
AF1067
Species: Hu, Mu, Rt
Applications: ELISA, IHC, Neut, WB
NBP2-50037
Species: Hu, Mu, Rt
Applications: ICC/IF, IHC, KO, WB
NB300-731
Species: Gp, Hu, Mu, Rb, Rt, Sh, Ye
Applications: B/N, ChIP, Flow, GS, ICC/IF, IHC,  IHC-P, IP, WB
H00001392-M02
Species: Hu
Applications: ELISA, IHC,  IHC-P, S-ELISA, WB
DYC2510-2
Species: Hu, Mu, Rt
Applications: ELISA
291-G1
Species: Hu
Applications: BA
NBP2-16684
Species: Hu, Mu, Rt
Applications: EM, IHC,  IHC-P, WB
NBP1-02337
Species: Hu, Bv, Ca, Pm, Pm
Applications: IHC

Publications for GPR10 Antibody (NBP1-02337) (0)

There are no publications for GPR10 Antibody (NBP1-02337).
By submitting your publication information earn gift cards and discounts for future purchases.

Reviews for GPR10 Antibody (NBP1-02337) (0)

There are no reviews for GPR10 Antibody (NBP1-02337). By submitting a review you will receive an Amazon e-Gift Card or Novus Product Discount.
  • Review with no image -- $10/€7/£6/$10 CAD/¥70 Yuan/¥1110 Yen
  • Review with an image -- $25/€18/£15/$25 CAD/¥150 Yuan/¥2500 Yen

Product General Protocols

Find general support by application which include: protocols, troubleshooting, illustrated assays, videos and webinars.

FAQs for GPR10 Antibody (NBP1-02337) (0)

There are no specific FAQs related to this product. Read our general customer & technical service FAQs.

Secondary Antibodies

 

Isotype Controls

Additional GPR10 Products

Research Areas for GPR10 Antibody (NBP1-02337)

Find related products by research area.

Blogs on GPR10

There are no specific blogs for GPR10, but you can read our latest blog posts.

Contact Information

Product PDFs

Calculators

Concentration Calculator

The concentration calculator allows you to quickly calculate the volume, mass or concentration of your vial. Simply enter your mass, volume, or concentration values for your reagent and the calculator will determine the rest.

=
÷

Review this Product

Be the first to review our GPR10 Antibody and receive a gift card or discount.

Bioinformatics

Gene Symbol PRLHR
Entrez
Uniprot